痰培养有念珠菌,临床医生千万不要这么做!


*仅供医学专业人士阅读参考

有些医生根本不知道这个指南,经常诊断肺念珠菌病
 
痰培养到念珠菌,很多医生就抗真菌。
我不得已大声疾呼:刀下留人,赶紧停药!

不能酱紫诊断肺念珠菌病!
不能酱紫诊断肺念珠菌病!
不能酱紫诊断肺念珠菌病!
念珠菌属是人体内最大的真菌正常菌群,在呼吸道、消化道、泌尿生殖道等与外界相通的器官中广泛存在,这些部位的标本很容易检出念珠菌,临床上往往单纯将痰液、尿液、粪便等临床标本中培养到念珠菌属作为诊断念珠菌病的依据,导致抗真菌药的过度应用。
肺念珠菌病,须知6件事
1、从呼吸道分泌物中分离出念珠菌几乎是无临床意义的。
2、临床诊断肺念珠菌病需要:危险因素(比如免疫力低下)+临床特征+微生物学依据,这三大“法宝“。我说的是临床诊断,不是确诊,确诊需要更高级的“法宝”,比如病理。单独一个痰培养或者支气管肺泡灌洗液培养,是说明不了问题的。
3、目前西方的很多学者都认为,肺念珠菌病很少见,美国则认为很罕见。肺真菌病中,曲霉才是头号“恐怖分子“。
4、痰培养到念珠菌,首先看看痰标本合格吗?合格痰:显微镜下,鳞状上皮细胞<10个/低倍视野,白细胞>25个/低倍视野。不合格,弃如敝履,鄙视它。
5、假如痰标本合格,那么,继续做痰培养,合格痰或下呼吸道分泌物多次(≥2次)分离到同一种念珠菌,且镜检同时见到多量假菌丝和孢子,才有点意义。
再结合临床分析,有木有危险因素?胸部CT有什么特点?这样才能诊断念珠菌病。并且提醒自己,原发性肺念珠菌病很少见,血液系统感染播散到肺相对多一些,但是很明显,血液感染需要血标本培养到念珠菌才有价值(没有污染的血标本)。
6、一句话,千万要知道,肺念珠菌病很少见。要是你隔三差五的就诊断个肺念珠菌病,当当当,肯定是过度诊断。我个人的经验,在临床上,很多很多患者痰培养到念珠菌,不理ta,继续抗细菌,患者一样好好的。
病理确诊的肺念珠菌病很少见,非常少见,那就来说说如何临床诊断。
临床诊断有“3宝”
三大“法宝”:危险因素+临床特征+微生物学。
危险因素:各种原因引起的免疫力低下,大手术、长期住ICU或机械通气、全胃肠外营养、体内留置导管和长期使用广谱抗生素等等。
临床特征:无特异性(CT见下文)。
微生物学:合格痰或下呼吸道分泌物多次(≥2次)分离到同一种念珠菌,且镜检同时见到多量假菌丝和孢子。
表1

假如符合临床诊断,也要知道,肺念珠菌病很少见,其他治疗无效,再考虑。或者寻找更高级的依据:无菌术下取得的肺组织、胸腔积液或血液标本培养有念珠菌生长,或者病理发现念珠菌。
肺念珠菌病一般没有曲霉病严重,一般表现为斑片、实变影,肺尖部病变少见,胸腔积液相对少见,可伴有肺门淋巴结增大。
继发性念珠菌肺炎(比如血液感染播散到肺部)胸部X线检查可能会无异常发现。
肺念珠菌病空洞少见,与曲霉相比,肺念珠菌病实变影较多见,而肺曲霉病的空洞更多见。
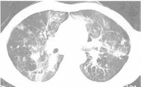
下面是1例病理确诊的,CT无特异。[1]

图1
下面是另外1例,临床诊断,单独氟康唑治疗好转,CT示多发空洞,肺念珠菌病空洞少见,算是一例不太典型的CT。[2]

图2
权威文献如何评价肺念珠菌病
■ 《美国成年人及危重患者肺部真菌感染治疗指南(2011)》:念珠菌侵犯肺实质引起的念珠菌肺炎罕见。从呼吸道分泌物中分离出念珠菌是无临床意义的。
■ 《中国念珠菌病诊断与治疗专家共识(2011)》:念珠菌肺炎和肺脓肿均甚少见。痰或者支气管分泌物检测到念珠菌多为定植菌,不能以此诊断为肺念珠菌病。
以“病理确诊+肺念珠菌病”搜索国内文献,寥寥无几。
协和医院报道:38例确诊的肺部真菌感染,肺曲霉菌感染占首位(15例,39.5%),其次为肺隐球菌感染(13例,34.2%),第三为毛霉菌和其他类型丝状真菌,而真正念珠菌肺炎少见,只有2小例。[3]
国内有学者写过肺念珠菌病的论文,研究目的居然是:研究纽约Mount Sinai医学中心151例尸检材料的肺部病变。牛!研究资料居然是美国的。
结果:134例尸检有肺部病变,肺念珠菌病9例,占6.7%。[4]

国外确诊的也不多。
《Pulmonary candidiasis in patients with cancer: an autopsy study》(《癌症患者的肺念珠菌病:一项尸检研究》),这篇文献的引用频率90次,美国德克萨斯州大学的报道,是肺念珠菌病的重量级文献。
研究历时5年,做过尸体解剖的676例癌症患者纳入研究,254例患者(38%)病理证实有肺炎。在254例肺炎中,36例(14%)病理证实为肺念珠菌病。痰培养到念珠菌,特异度才60%,支气管肺泡灌洗液的特异度也才57%,一句话特异性不好。[5]
另外一篇高级文献,1077份支气管肺泡灌洗液,85(8%)份培养到念珠菌,64例患者被诊断可疑念珠菌肺炎,只有2例(3%)因为念珠菌肺炎抗真菌,有5%是因为其他部位真菌感染抗真菌,92%的患者培养到的念珠菌最终都考虑污染或者定植。[6]
印度有学者报道,文章标题:《Pulmonary Candidiasis: A Rare Diagnosis on Autopsy-A 5 Year Study in a Tertiary Care Hospital》(《肺念珠菌病:一项罕见的尸检诊断—在一家三级医院进行的5年研究》),结果:143例尸检,只有2例(1.3%)肺念珠菌病。

国外的研究,那些很牛的医学机构,痰标本合格,痰培养到的念珠菌,大多数都是污染或者定植!我们经常痰培养到的念珠菌,价值更小。
如何取得合格痰
自行咳痰采集法:尽可能晨痰,用冷开水漱口,深吸气,然后用力咳出呼吸道深部痰液,标本量不少于1 ml,避免将唾液、漱口水、鼻涕等混入痰中,室温下2小时内送检(越快越好),尽可能在抗生素使用前采集。
肺念珠菌病在中国是不是很少见,目前仍有争议,可能不少,但是肯定不多。
首先,美国的指南说肺念珠菌病罕见。
其次,国内刘又宁大神的研究则显示,就算是病理确诊的肺念珠菌病,也占肺真菌病的14.8%,不多见,但也不少见。但是这个研究国内16家水平很高的医院参加,历时10年,病理确诊的肺念珠菌病居然只有54例!平均一家医院要10年才确诊3例左右。[7]
最后,有些医生根本不知道这个指南,经常诊断肺念珠菌病。很多医生知道这个指南,几乎不诊断肺念珠菌病。

我个人的经验,肺念珠菌病可能不少,但是肯定不多,自从受美国指南的启发,临床不理会痰培养念珠菌,继续抗细菌,患者都好了。

最后,再说说刘又宁等大神的观点:多项回顾性研究(包括尸检)以及前瞻性研究,均一致显示,呼吸道分泌物(包括支气管肺泡灌洗液)念珠菌培养阳性无确切临床意义。[8]
最后的最后,我说的是肺念珠菌病很少见,但是,念珠菌菌血症不少见,在美国,念珠菌是引起医院血循感染第4位的常见病原菌。别弄混淆了。
就是念珠菌是吸血鬼,但是不喜欢吃肺泡。
参考文献:
[1]王卿. 艾滋病合并肺部念珠菌感染的影像学与病理学对照[J]. 继续医学教育, 2014(2):41-42.
[2]Xie L X, Liu S Y, Chen Y S, et al. CT appearances and pathology of pulmonary candidiasis: a case control study.[J]. Academic Journal of Second Military Medical University, 2009, 29(4):391-394.
[3]参考文献:曹彬, 蔡柏蔷, 王辉,等. 肺部真菌感染152例病原谱再评价[J]. 中华结核和呼吸杂志, 2007, 30(4):279-283.
[4]刘德纯, 林清森. 获得性免疫缺陷综合征的肺部病变:151例尸检材料病理学研究[J]. 蚌埠医学院学报, 1997(2):77-80.
[5]参考文献:Kontoyiannis D P, Reddy B T, Torres H A, et al. Pulmonary candidiasis in patients with cancer: an autopsy study.[J]. Clin Infect Dis, 2002, 34(3):400.
[6]参考文献:Wood G C, Mueller E W, Croce M A, et al. Candida sp. isolated from bronchoalveolar lavage: clinical significance in critically ill trauma patients.[J]. Intensive Care Medicine, 2006, 32(4):599-603.
[7]刘又宁. 肺念珠菌感染真的很少见吗?[J]. 中华结核和呼吸杂志, 2011, 34(2):81-82.
[8]施毅,刘又宁,张波,周新.肺念珠菌病[J].中国感染与化疗杂志,2011,11(2):114-118.
本文来源:医学界呼吸频道
本文作者:孙丹雄
责任编辑:戴戴 章丽
版权申明
 本文原创 欢迎转发朋友圈
- End -

征  稿
《医学界呼吸频道》长期招聘线上约稿作者,1.呼吸内科临床实用、有趣的内容;2.呼吸内科医生有趣的诊疗故事;3.呼吸内科行业重磅进展;4.其他(呼吸内科医生感兴趣的内容即可)。欢迎来稿分享!我们将为您提供有竞争力的稿费和展现您才华的平台。投稿邮箱:daijiaxing@yxj.org.cn(来稿必回复)
*医学界力求其发表内容在审核通过时的准确可靠,但并不对已发表内容的适时性,以及所引用资料(如有)的准确性和完整性等作出任何承诺和保证,亦不承担因该些内容已过时、所引用资料可能的不准确或不完整等情况引起的任何责任。请相关各方在采用或者以此作为决策依据时另行核查。

到顶部