继续操作前请注册或者登录。

国际首例,新冠病毒肺炎危重症患者病理活检报道,为深入了解新冠肺炎发病机制和疾病进程提供科学依据




2019年12月下旬,新型冠状病毒肺炎(COVID-19)于武汉爆发,2020年2月下旬,中国的新冠疫情在除湖北地区以外的各省市已基本实现控制,然而令人意想不到的是,在这个关键转折点,COVID-19疫情却于中国境外的多个国家爆发。
截至目前,全球范围内累计确诊超过9万例,死亡人数超过3000人,其中韩国、意大利、伊朗和日本等国疫情形势较为严峻。世界卫生组织WHO已将COVID-19疫情的全球风险调整为最高级别,并呼吁各国采取积极措施遏制疫情发展。
近日,国家感染性疾病临床医学研究中心,深圳市第三人民医院(南方科技大学第二附属医院)的研究人员在预印本平台 Preprint 上发表题为:Clinical pathology of critical patient with novel coronavirus pneumonia (COVID-19)。
该研究在国际上首次展示了COVID-19危重患者的临床病理活检,为深入了解这种疾病的发病机制和疾病进程提供了科学依据。

COVID-19疫情已演变为全球性公共卫生事件,迄今为止,新型冠状病毒(SARS-CoV-2)仍无特效药,危重症患者的死亡率一直居高不下,然而COVID-19危重患者的组织病理学我们几乎一无所知。
2020年1月4日,一名66岁男性从武汉返深圳时,出现了高热和咳嗽症状,送往深圳市第三人民医院后被确诊为COVID-19,患者后续病情恶化,出现严重呼吸衰竭并进行了手术治疗。这名患者体健,除轻度高血压外无其他的慢性疾病。
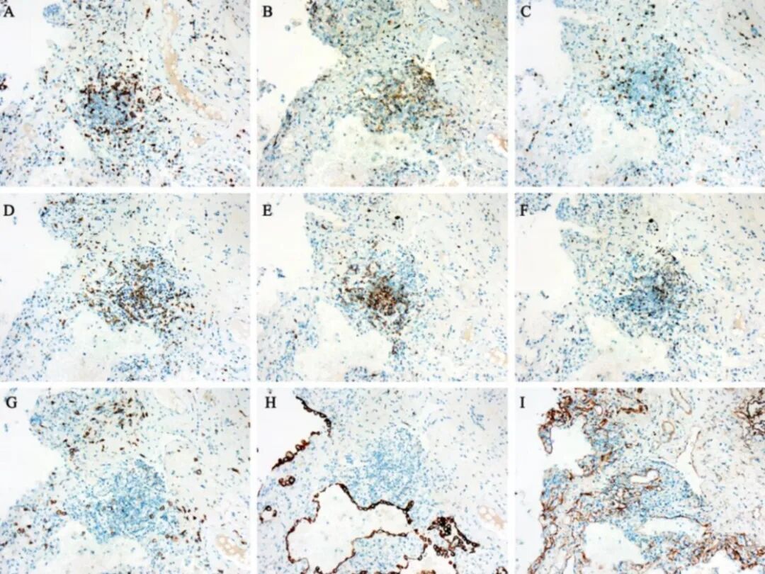
在此研究中,研究人员对该患者全肺活组织切片,并通过HE染色、免疫组织化学染色和特殊染色(包括Masson染色、PAS染色和六胺银染色)对其病理变化进行了描述。
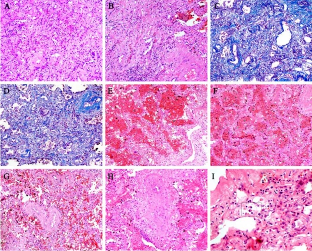
送检全肺组织呈弥漫性充血,局部出血坏死,以右下肺外侧缘明显。肺切面有严重的充血和出血改变。

该病变主要组织病理学表现为广泛的肺间质纤维化伴部分透明变性,小血管增生,血管壁增厚,管腔狭窄闭塞并形成微血栓;局部可见出血性肺梗死。肺泡间隔增宽,肺泡上皮细胞萎缩、增生、鳞状上皮化生。肺泡腔出血明显,含有水肿液、纤维素样渗出、脱落的肺泡上皮细胞和炎症细胞。单核细胞、淋巴细胞和浆细胞等炎症细胞以肺间质浸润为主。

除此之外,研究人员还发现了数个多核巨细胞和胞浆内病毒包涵体,坏死性细支气管炎表现为细支气管壁坏死,管腔内可见纤维素样渗出、脱落的上皮细胞以及炎症细胞。Masson染色表明大量肺间质发生纤维化,而免疫组化结果显示免疫细胞CD3、CD4、CD8、CD20、CD79a、CD5、CD38、CD68阳性,且未见其他细菌、真菌感染。

新型冠状病毒具有潜伏期长、传播途径多和早期症状不明显等特点,因此它在人群中的传染能力极强。目前,SARS-CoV-2颇具席卷全球之势,疫情形势不容乐观。
在此,深圳市第三人民医院的研究人员通过全肺活组织切片、HE染色和免疫组化染色等,从而描述危重症COVID-19患者肺部的病理性变化,为深入了解这一疾病的发病机制和疾病进程提供了重要的理论依据。 
论文链接:
https://www.preprints.org/manuscript/202002.0407/v3
点击文末“阅读原文”,即可查看原论文
BioWorld  
BioWorld始终致力于报道生命科学领域最前沿、最重要、最有趣的研究进展,目前已有20万学者关注,现组建生命科学/医学/科普领域研究生/教授/科普交流群。如需进群,请长按下面二维码,添加管理员微信。
温馨提示:添加管理员微信时请备注(姓名/学校/专业/职位, 科普爱好者请备注“科普”,否则不予通过),以便我们邀请您进入相应交流群。


到顶部