继续操作前请注册或者登录。

“嘎嘣”,我寻思这口干脆面可真脆,一舔发现是牙崩了


俗话说:牙疼不是病,疼起来要人命。明明牙齿又酸又软,偶尔还隐隐作痛,“牙科恐惧症”却让很多人对医院的大门望而却步,只能在越来越痛的逼迫下进入,最后含泪清空钱包。

让我们一起看看大家与牙齿之间的“爱恨纠葛”吧。
798
跟看牙相比,生孩子那点疼算什么!
我与牙疼的故事要从20年前说起,小时候我和爷爷奶奶一起生活,零食没少吃,也不知道要刷牙,于是六七岁的时候就开始第一次牙疼。奶奶给我一颗止痛药吃了了事。自此,我与牙疼将近20年的斗争开始了。
后来牙齿又疼了几次,零几年的农村没有人听说过小朋友牙疼,奶奶也没想着要带我去医院,在她问遍村里老人后,在我每一次牙疼时,她都准备一种“偏方”:通草炒鸡蛋、通草炒瘦肉、米酒加热后含在疼痛的位置、盐炒至变色后刷牙等等。当然,牙该疼还是继续疼,吃了也没用。
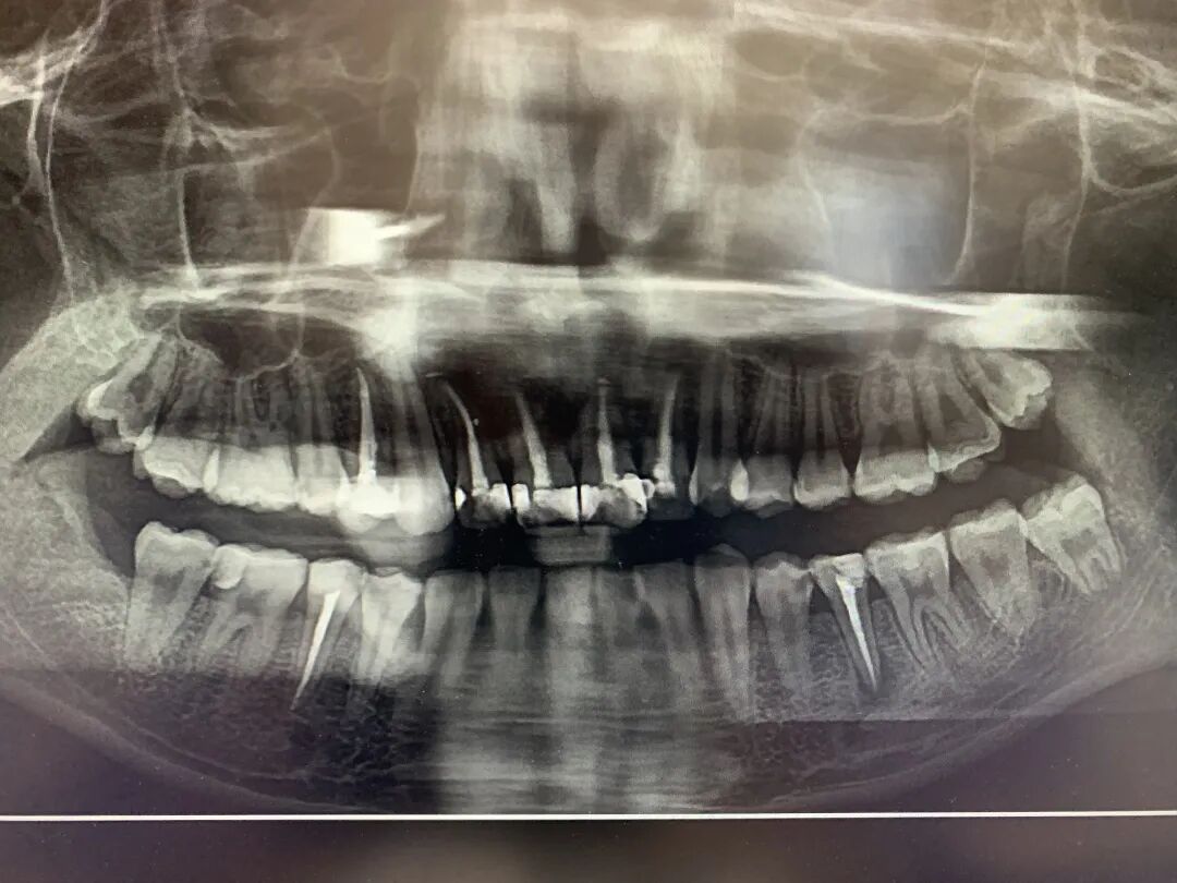
由于没有好好爱护牙齿,我的看牙经历并不好受,恐惧也让其他牙齿问题越拖越严重。偶然的机会让我开始直面牙齿问题,牙医发现有六颗龋齿要修补,门牙发黑需要处理牙套;又因为四颗智齿拔出、三个牙位缺失牙齿,旁边的牙齿倾斜,之后我要种植牙也不是件容易的事儿。

显示牙齿缺位、倾斜等问题 | 图源作者
所以去年一整年我都在看牙,今年还在继续。第一次种植牙术后我忍不住发朋友圈吐槽:跟看牙相比,生孩子那点疼算什么!

不愿透露姓名的小倒霉蛋
摔了一跤后,我的门牙缺了六年才接上
还记得2008年的那场大雪,当时我8岁。因为早上起晚了,我妈怕我迟到,一直催我快点走,结果快到学校的时候,雪天路滑又着急赶路,我摔了一大跤,把门牙摔断了一颗。
当时牙防所说,需要等18岁时再装烤瓷牙,于是没做什么处理。一直到我14岁时,一位牙医说现在有新的技术解决我的牙齿问题,可以不用等到18岁了。时隔6年我终于能有完整的门牙了。牙齿确实挺牢固的,接完一个星期我就开始大胆啃苹果和骨头,手术过程没打麻药也不疼。
但是近两三年,我这颗接上的门牙以及旁边那颗牙,会在喝冰奶茶和热汤时不定时地疼。医生说是因为“发炎”,给我开了甲硝唑。然后我每次牙疼就自己买药吃,没有再去医院仔细检查。
转折是我去年买保险送了洗牙,就顺便拍了个牙片,好家伙,医生说我的牙齿问题已经严重到需要做根管治疗了。但我当时牙齿不疼,以为他想骗我的钱,也没把严重程度放在心上。第二天在陪家人看病时,医生建议我做个CT检查,这才发现牙龈内长了颗大囊肿。
医生给了我两种解决方法,要么保守治疗:保留本牙,在牙龈上开创,把囊肿挖出来再缝合,但有复发的可能性;要么把患齿拔了后把囊肿清理干净,植骨准备种植牙,这样治疗比较彻底(当然清空钱包也很彻底)。
如图所见我选择了第二种。


手术过程 | 图源作者

琥珀的爪爪
我没体验过真正的牙疼,直到开始正畸……
正畸前,我只体会过智齿的一点点疼,在拔智齿之后也没再疼过。直到开始准备正畸,我才知道牙疼是真的要命。
最初是给做过根管治疗的牙再完善治疗,由于上次没有完全填好,这次大夫捅牙胶尖(一种医疗器械)时,我直接一个灵魂升天,一天都没缓过来。万幸,第二天痛感明显减弱,第三天就没事了。
更痛的还在后面,等戴上牙套,第一个小时感觉超级良好,我以为自己是那个不会疼的幸运鹅。没想到一顿饭的工夫人就没了,甚至疼到晚上睡觉都不安稳,持续了一周。
一周多后,疼痛基本消失了,但是往后每个月都要疼上几天。不过,牙是自己要整的,疼也得忍着。等摘掉牙套看到自己整齐的牙列,大概我会觉得这两年还是很值得吧。

牙齿治疗的记录 | 图源作者

小雨林
长大后我发现看牙这事不能拖,越拖越贵还越疼
我在3岁时第一次补了蛀牙,那时家长们的健康意识还不够强,觉得小孩子长蛀牙也没什么,换牙就好了。幸好我有一个学医的姑姑,坚持带我去补了牙。
上大学后,我明白了看牙这事不能逃避、不能拖,越拖越贵还越疼,主动去检查了牙齿。发现开始长水平阻生智齿后,我就有了拔智齿的打算。经过一个星期的思想建设,一个勇敢的大学生踏出了独自前往市口腔医院拔智齿的第一步,并且提前买好了一次性冰袋堆在宿舍(和未知的恐惧斗智斗勇)。
拔牙过程其实没有想象中那么疼,我觉得还赶不上之前的牙龈发炎疼。整个过程就像是装修队作业,切、磨、钻、撬,实在不行还得上锤子。麻药效果过后有点疼,第二天拔牙处很烫还有点肿,但到了第三天就好多了,最后我顺利拆线恢复了。
独自面对了水平阻生智齿的拔除,自我感觉超勇敢。我会继续好好照顾自己的二十几颗牙,定期去口腔医院检查,将可能发生的疼痛扼杀在摇篮,而且我再也没有智齿烦恼了!

车车
疼得半个头都嗡嗡作响,我敷着冰冻矿泉水坐着睡觉
上班时吃着干脆面和同事头脑风暴,突然“嘎嘣”一声。我寻思这口干脆面可真脆,又嚼了一口发现不对就吐出来了,用舌头一舔发现是牙崩了。
之后这个牙就这么一直缺着。几年后我怀孕了,本想孕前把牙的问题处理好,但一直拖延着没弄,结果到孕晚期直接疼到升天。
一开始只是张嘴进凉风牙会疼,不敢用那边的牙嚼东西。到孕36周的一天晚上,我疼得半个头都嗡嗡作响,躺卧的姿势让牙齿更疼,所以只能坐起来。我试图用凉水漱口缓解,结果又酸又疼;又试着用患牙咬姜,也不太管用。最后,我把一瓶冰冻的矿泉水包上毛巾、放在脸上冷敷才睡着了,而且还是坐着睡的。
第二天我去了产院牙科,确诊急性牙髓炎。医生给我清理了牙齿,用了灭神经的药,当天就不疼了。过了一周去换药,医生把患牙封上,并且告诉我生完孩子还得再去做根管治疗。
问题来了,现在孩子三个月了,我还是懒得去。

Jaycee
看牙超贵,钱包受罪             
我小时候不注意刷牙,体检发现蛀了一片,医生让我补牙,但我不敢跟家里人说。结果就是四颗门牙全都开始疼,我花了小一万块钱做了五个根管治疗。
我的牙非常容易蛀。在根管治疗之后,我最近又补了10颗牙,本人在国外,看牙都花了一万多美金了(这边补牙拔牙都很贵)。

令我破费的一口牙 | 图源作者

小米
牙疼经历影响了我的择偶标准和育儿概念
终于轮到我有发言权的牙科了!提起整治一口牙的历程,心和钱包都痛……
我从初二开始和口腔问题作斗争,还记得那时候家里有一架古筝,有一次蛀牙牙疼得不行就把脑袋一个劲儿地往古筝上撞,把我妈吓得不轻。第二天去医院检查才发现,原来俩门牙都报废了,根尖周脓肿,牙龈上长了两个大包,只能根管治疗。
接着是初三,左下边的第一、第二磨牙和第一、第二前磨牙的牙龈上也出现大包,我痛得不行,一查发现又是坏完了,全部都得根管治疗。
等到了大三,又又又是一阵钻心的痛,我发现是门牙旁的牙坏了,蛀了半个。当时其实有留住牙根的办法,但是我选了拔牙,好可惜。于是从大三开始,我上颌最前的四颗牙齿就是假牙了。假牙做过两次,第一次是烤瓷牙,又厚又大,后来拆了做了全瓷牙。
更悲惨的是,原先笑起来不露牙龈的我,现在变得露牙龈,非常不好看,从那时开始我拍照也不敢笑了。后来,我还知道了自己三个前磨牙都有畸形中央尖,小时候不懂,所以也没有调整过。
工作以后,我感觉到了第一颗智齿的存在(因为蛀了,还开始疼了),于是鼓起勇气在三年内分三次把四颗智齿全部拔了。说起我牙齿不好的原因,可能有遗传方面的(我妈牙齿也非常不好),也有后天我不好好刷牙。
我和老公交往,就因为他白白大大的门牙加了分!结婚前我又“考察”了他的父母,确认了牙齿都很好才结婚的(哈哈)。现在我有两个宝宝,每天晚上就算他们哭,我也要逼着他们刷牙,牙线也得跟上。年纪一到就立刻涂氟、窝沟封闭!虽然花钱大几千心疼,但是我怕以后给他们治牙钱包更疼。现在两个小朋友看着都有点反颌的倾向,我在妹妹一岁左右的时候就带她去医院检查了。真是不敢让他们重蹈我的覆辙。

代糖喷射战士
国外接线员说你先自己补一下,我马上订了回国的机票
我崩掉了某颗后槽牙的一个小角,于是决定去治疗牙齿。坐标英国,我去之前对奥运会开幕式上大力宣传的NHS(英国国家医疗服务体系)充满了期待,发现可能需要补牙之后就信心满满地开始尝试:
第一步,去注册过的属地医疗中心,得到了一个牙科预约专线的电话。
第二步,尝试拨打这个电话,被告知请明天赶早。
第三步,早上九点开始打电话,一直占线。
第四步,努力一小时之后拨通了电话,被告知现在不能给你安排,要先去注册一个账号申请一个牙医……
绝望的我询问,那在申请到牙医之前该怎么办?得到了接线员亲切而热情的答复:你可以去附近的药房,领一个垫料,自己先补一下,那边的药剂师会给你开止痛药的。
挂了电话之后,接线员反复强调的那句“you must make sure you make it(指崩了的那颗牙)very dry!”在我脑海里反复回响的场景,现在想来可以说是“万籁此俱寂,但余钟磬音”了。悲愤的我缓过神之后迅速订了一张假期回国的机票。
后续:国内五分钟挂上了号,牙医看了一眼说:“你这个补牙倒是不急,但是边上的智齿长出来了呀。”说时迟那时快,在我发出代表质疑的“啊”之后,温柔的牙医阿姨一手按头一手持钳,略施寸劲就完成了豚口拔牙的操作,整个过程不超过一分钟。以至于我嘴里塞着止血的棉花走出诊室的时候,陪同的朋友大为纳闷:“你补个牙怎么五分钟都没有就搞定了?”
之后,我在同一个牙医手下接连失去了两颗阻生智齿,直到下一个假期才补了牙。

当时吐槽的朋友圈 | 图源作者

牙齿倍棒的方块
我的牙科就医史就是贪小便宜的血泪史
从小就有很严重的蛀牙,我一直以为是自己牙釉质不好。直到近些年看到催吐时胃酸对牙齿的腐蚀,才明白自己小时候控制食物倒流的坏习惯对牙齿有多么严重的影响。加上那时留守农村,没有养成良好的卫生习惯,我的四颗门牙和四颗“六龄牙”蛀得不成样子,其他牙齿也存在一些问题。
初三那年是我被蛀牙狠狠击倒的第一次,右下的“六龄牙”发炎,右脸肿成左脸的两倍大。我吃不下、睡不着,学习也学不进脑子,还在牙医不当的操作下被凿穿了牙根,自此我对看牙存下了很深的阴影。
后来陆陆续续地治牙补牙,高三那年门牙开始发炎而且有异味(都是重要时刻发作),之前补的牙也出现了脱落。但是因为在关键备考时期,我只是简单看了一下医生,自己用止疼药熬过去了。高考后好了伤疤忘了疼,没有及时治疗……
前几次去看牙,找的都是收费便宜的地方,治疗效果不行,属于贪小便宜吃大亏。大二再次去拔牙时,我自己找了有资质的牙科医院,设备很齐全而且医生也相当温柔。当我还沉浸在牙医姐姐和护士姐姐的聊天内容时,医生就完成了拔牙。之后我骑着小电驴回家,吃吃喝喝依旧,没几天就好了。
常受牙疼困扰,所以我曾经立志于四十岁拔掉全部牙齿,换一口铮亮亮的假牙。到了现在开始自己挣钱,我才逐渐明白了钱的来之不易,还是保护好牙为妙,自己的牙,吃嘛嘛香!
我的就医史就是贪小便宜的血泪史,假如一开始就选择在正规牙科医院治疗,也许我就不会走弯路、经历那些重复的苦痛。现在每当有人不爱惜自己牙齿的时候,我都想站出来一把鼻涕一把泪地讲一讲自己的糟糕经历,大家千万别重蹈覆辙。

提起牙齿治疗,大家都是一把辛酸泪呀。牙科疾病往往可以在其微小时被解决,以避免日后的剧烈疼痛和昂贵治疗。因此,定期检查牙齿非常必要。

不知道你有没有相关的看牙经历想和我们分享呢?或者有想要讨论的话题也欢迎在评论区留言和我们聊聊。
文中动图来源:SOOGIF
编辑:颖雯、代天医

本文来自果壳病人(ID:health_guokr),未经授权不得转载,如有需要请联系health@guokr.com
到顶部