继续操作前请注册或者登录。

【麻醉热点】高渗盐水复苏



高渗盐水复苏

病例 形式:回顾病例分析

患者,男,33岁,因被机动车撞击所致的闭合性脑外伤和腹痛送至急诊室就诊。该患者出车祸时曾一度失去意识,但目前清醒,并主诉颈部及腹部疼痛。该患者既往无特殊病史或手术史,未服用任何药物,无过敏史。否认烟酒及药物的使用。其生命体征为:血压90/60mmHg,心率110次/分,呼吸频率24次/分,体温36.5℃。
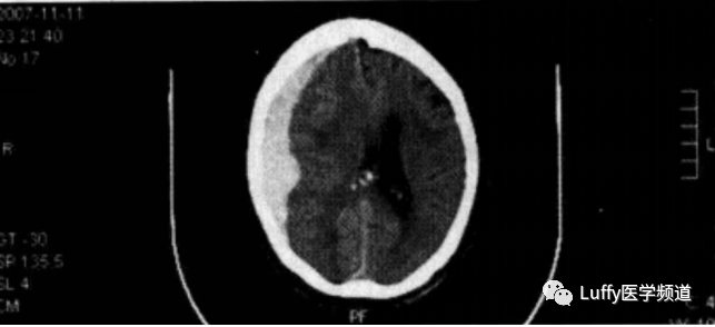
体格检查发现该患者主要为躯体阳性体征和左侧第V脑神经麻痹。后颈部触痛,双肺听诊呈清音,腹部膨隆,有反跳痛,肠鸣音消失。在车祸现场和急诊室输注3L的生理盐水后,实验室检查结果如下:Hb 96g/L,WBC 13×109/L,Na+ 145mmol/L,K+ 3.6mmol/L,HCO3- 18mmol/L,Cl - 110mmol/L,肌酐1.4mg/dl,BUN 31mg/ dl。腹腔穿刺可抽出血性液体。胸部X线片提示膈下游离气体。头颅和颈部CT提示双侧额叶挫伤和右侧额顶叶一中等大小的硬膜下血肿(图13.1)。腹部CT提示盲肠穿孔。
该患者行剖腹探查术,引流硬膜下血肿,行脑室外引流并监测颅内压。该患者静脉输注了6L生理盐水,500ml白蛋白,以及2个单位的浓缩红细胞。术后48小时,该患者持续昏迷,颅脑CT提示弥漫性脑水肿。术后第3天,该患者出现少尿,腹内压达35mmHg。

图13.1右侧额顶骨硬膜下血肿伴脑室受压及颅内压增加证据

病例讨论
颅脑外伤、多发性外伤和严重烧伤病人进行容量复苏,不应仅仅以维持血流动力学稳定为最终目标,同时应注重输注液体的量和性质。鉴于细胞外容量是血容量的4~5倍,创伤和烧伤病人必须给予大量等渗晶体液以维持血流动力学稳定。创伤、烧伤和大手术必将导致一部分液体进入细胞内和第三间隙,从而使得细胞外液与血容量比率增大。随之发生进行性脑肿胀、肺水增多、腹内压增高以及免疫紊乱和微循环功能障碍。使用小剂量高渗盐水能恢复血液循环和减少第三间隙液体量,从而降低上述严重事件的发生率,并预防和降低脑水肿、肺水肿和腹腔室隔综合征的发生。
创伤性脑损伤
创伤性脑外伤后常常伴随而来的是脑水肿和颅内高压,这类患者往往预后不良。使用甘露醇脱水仍然是广泛推荐使用的治疗方法。然而实验数据显示,高渗盐水(hypertonic saline,HTS)(3%,7.5%,23.4%)能有效地降低颅内压,并能维持更长的时间。然而评估创伤性脑外伤病人使用高渗盐水有效性的前膽性随机人群实验仍然是有限的。Vailet等人对20例创伤性脑外伤和难治性颅内高压病人分别使用7.5%HTS和甘露醇进行治疗,发现HTS更加有效。Cooper等人通过对TBI患者分别使用250ml7.5%HTS和乳酸林格液进行了比较,发现虽然两组的预后没有差异,但是HTS组能使脑灌注压增高维持更长一段时间,这与前面的实验结果一致。虽然实验室和临床试验证实了HTS能有效降低颅内压,但证实其在改善预后方面的数据仍然缺乏。一个明显的干扰因素是大部分研究对象同时遭受了多发性外伤,从而难以辨别发病和死亡的根本原因。
急性肺损伤/成人呼吸窘迫综合征/免疫调节
40%的多发性外伤患者会发生急性肺损伤和成人呼吸窘迫综合征。外伤和失血性休克的患者肺微循环内激活的中性粒细胞释放大量的炎性因子,这是造成二次损伤的一个重要因素。实验室研究发现HTS能介导免疫调节,从而减轻炎症反应。Junge和Col-leagues发现在鼠失血性休克模型中,HTS(7.5%氯化钠盐水,4ml/ kg)在体外能提高T细胞功能,在体内能提高细胞介导的免疫功能。HTS也能提高败血症动物的生存率。Rizoli等在啮齿类动物失血性休克模型中比较使用HTS和乳酸林格液进行复苏时发现,HTS能明显降低经肺的白蛋白渗漏,肺泡灌洗液中中性粒细胞数和肺损伤的组织病理学程度。
继发性腹腔室隔综合征
腹腔室隔综合征是指持续性腹内压增高≥20mmHg,伴或不伴有腹腔灌注压低于50mmHg,同时伴有新发的单个或多器官功能衰竭。腹腔室隔综合征可原发于腹部外伤和腹腔手术,也可继发于非创伤患者和烧伤患者尤其是休克病人大量液体复苏导致的内脏水肿。消化道容易发生缺血再灌注损伤,微血管通透性增加,从而导致腹腔大量游离液体和腹腔内高压。腹腔内高压和继发性腹腔室隔综合征通过减少前负荷和增加全身血管阻力,明显降低心输出量。腹腔内高压也能损害呼吸功能、肾功能、胃肠道功能和肝功能,导致多器官功能衰竭。用于改变上述病理生理变化的大量晶体液复苏往往导致腹腔室隔综合征的发生,并被称之为“无效晶体前负荷”。有研究显示危重病人第一个24小时容量复苏使用超过6L的晶体液会导致腹腔室隔综合征和多器官功能衰竭的高发生率。在这点上,使用HTS在降低腹腔内高压的发生率上有着明显的优势。对烧伤面积大于40%体表面积的患者比较使用高渗盐水和标准乳酸林格液,Oda等人发现HTS能明显降低腹腔内高压和继发性腹腔室隔综合征的发生率。同时也发现HTS可以改善氧合作用。尽管有这些初步的研究结果,但在有关应用HTS预防继发性腹腔室隔综合征的最终推荐方案制订前,仍需进行进一步的随机对照试验。
静脉用高渗盐水的种类和使用方法
容量复苏时使用HTS能调动细胞内液,减轻细胞水肿及减少所需液体总量。与等渗晶体复苏相比,高渗盐水复苏能更加迅速地扩张血容量、增加心输出量和改善氧运输。最常使用的高渗盐水其成分是7.5%氯化钠和6%右旋糖苷70,这是一种渗透压为等浓度人白蛋白2~3倍的胶体液。数小时内以4~6ml/kg的量输注HTS是安全和有效的。临床研究发现10~15分钟内输注250ml7.5%氯化钠液也能很好的耐受。表13.1列举了几种常用的HTS。
表13.1 HTS 特点
HTS浓度(%)
Na+/CI -(mmol /)
渗透压(mOsm/)
最大输注速率
3
513
1030
100ml/h
5
855
1710
100ml/h
7.5
1282
2400
250ml(推注)
23.4
4000
8000
NA
静脉应用HTS的并发症
高渗盐水复苏与高渗透压和高钠血症有关。使用甘露醇时血浆渗透压超过320mOsm/L能导致急性肾功能衰竭;而有关HTS与这些并发症的研究数据尚缺乏。低渗性低钠血症时快速纠正血清钠浓度易导致脑桥脱髓鞘病变。然而回顾性研究中,MRI检査和尸检均未能发现中央脑桥脱髓鞘病变。其他观点认为,使用HTS能导致可复性颅内高压和高氯性代谢性酸中
毒的发生。
总之,使用HTS治疗创伤性脑损伤、多发性外伤和烧伤患者是一新观点;然而由于缺乏相关的临床研究资料,其应用受到限制。当前的随机对照试验将会给我们提供有关这种治疗方法的新视角。

关键信息
1. HTS通过降低颅内压能有效治疗脑外伤。
2. 大量晶体复苏可能导致继发性腹腔室隔综合征,而使用HTS能减少继发性腹腔室隔综合征的发生。
3.应用HTS的并发症包括高氯性代谢性酸中毒、高渗透压和可复性颅内高压。

问题

1.脑外伤的患者使用高渗盐水复苏将会发生下列哪项并发症?A.脑桥脱髓鞘病变B.脑水肿C.脑血管痉挛D.可复性颅内高压E.尿崩症答案:D 2.一位33岁男性患者,烧伤面积达50%,与等渗晶体液复苏相比,使用高渗盐水复苏时,下列哪项生理学指标会降低?A.腹腔内压B.Pa02/Fi02C.尿量D.心输出量E.胃pH值答案:A 3.与使用小量高渗盐水复苏相比,使用大量乳酸林格液复苏时,下列哪项电解质紊乱更易发生?  A.低镁血症B.低钙血症C.低钾血症D.低钠血症E.低氯血症答案:D


到顶部