继续操作前请注册或者登录。

2007年吉林男子捡到块“怪肉”,回家后体积疯长,大卸八块都没用


2007年,家住吉林长春市的周先生,从路边捡回家一块白花花的怪肉。
这团怪肉自从进了周先生家的门,就引发了一系列诡异的事。
周先生最开始把它浸泡在水中,这团怪肉竟不可遏制地疯狂生长!
而更让人奇怪的是,浸泡怪肉的水即使不换也不腐不臭,甚至越发清澈。
周先生越想越怕,心想这到底是什么“妖物”!于是尝试着将这怪肉大卸八块,可仍然改变不了它不断生长的趋势。
无奈之下周先生求助了当地的记者。最终在记者的帮助下,才解开了关于怪肉身份的一系列谜团!
那么,这团怪肉究竟是什么来历?除了上述之外,还有哪些神奇之处?

(周先生家的怪肉)
对于这些问题的答案,还要从故事的开头讲起。
一、离奇的怪肉
2007年,家住吉林长春的周先生某一天吃完饭后,在街边闲逛,无意间走到了一处建筑工地附近。
走着走着就踢到了一块白花花、软乎乎的东西,周先生疑惑地低头去看,只见地上的东西看起来很像是我们平时吃的肉。
这不禁让周先生大为疑惑,这么大的一块肉怎么会被丢弃在路边呢?
周先生百思不得其解,愣是在路边想到了天黑,最终看到无人认领,决定将这块“肉”带回家好好利用一番。
然而,周先生怎么也没想到,他的这一行为,为自己家带来了接二连三的离奇事件!
回到家后,他把这块白花花的东西放到了家中的鱼缸,想将这东西当鱼饲料用。
令他没想到的是,几天时间过去了,这团怪肉的分量丝毫没少,而鱼缸中原本浑浊的水也变得无比清澈,甚至干净到泛光。

(怪肉碎块)
这一现象让周先生意识到了这东西的不简单,只要他一有时间,就会盯着水缸中的怪肉看。
但奈何这东西过于神秘,实在是想不明白这究竟是什么东西,竟会有如此奇特的功效。
没过一段时间,周先生又在这团怪肉身上发现了不同寻常的事情。
东北当地夏季蚊子非常多,周先生某天心血来潮,尝试着将泡怪肉的水装到喷雾瓶中,看看会怎样。
将这水喷到身上后,他惊奇地发现被怪肉泡过的水,竟然会有和花露水一般驱蚊的功效。
这两件事情的发生让周先生惊喜万分,他虽然不知道这块怪肉究竟是个什么东西,但他隐隐地觉察到这东西绝对是个宝贝!
可再接下来发生的事情却如同给周先生泼了一盆冷水,他也不敢确定这究竟是惊喜还是惊吓了。
随着时间的推移,这块怪肉开始逐渐变大,以一种难以控制的速度疯狂地生长着。

(盛放怪肉的水缸)
原先只用一个鱼缸便能装下的东西,后来要放到水缸里才可以,到后来,周先生不得不拿出家里几乎所有的容器,大到水缸小到脸盆,全都装满了怪肉。
而更让周先生感到可怕的,是这个怪肉还会“下崽”!
一次周先生的妻子在搬动这块怪肉换水时,惊讶地发现怪肉的旁边还有个小崽。

(怪肉下的崽)
不仅会长大,还会下崽,这让周先生不由怀疑,这块怪肉难道是什么怪物?
怪肉的光临让周先生一家十分恐慌。
为了防止这真会是什么怪物,周先生干脆把这怪肉大卸八块,以绝后患!
从生物学的角度来看,这样处理后再怎么厉害的怪物也该没了性命了吧。
可事情并没有这么简单。
被大卸八块后的怪肉,竟然还能够继续生长。这难道还是个不死不坏的“妖物”?
周先生一家这下犯了难,在饱受心理煎熬之后,最终选择了求助当地的记者来搞清楚这究竟是何方神圣。

(记者到访)
虽然在求助电话里就说听了周先生的描述,记者早有心理准备,可等到了周先生家后,还是被眼前的景象给吓了一跳。
来到周先生家中,记者压着手指头数着装怪肉的容器。不多不少,正好有10大缸!
等周先生掀开遮盖容器的白布后,记者更是惊掉了下巴。
一块一块被周先生拆解开来的怪肉呈现在记者的眼前,白花花的、粉嫩嫩的……
记者壮着胆子伸手拿起了其中的一块,确实是肉的质感,一丝一丝的,摸起来还有点粗糙。周先生则在一旁跟记者讲述着关于这块怪肉的事情。

(记者拿起怪肉)
他向记者说道,这用来浸泡怪肉的水已有一个月没换过了,却仍然清澈无味。
有生活常识的人都知道,用来浸泡水果蔬菜的水,时间长了都会变得浑浊并出现难闻的气味,就连静置的清水本身时间久了也会变质变味。
可这装有怪肉的水却出乎意料地干净。
这时候,周先生又想起了一件事,他要现场给记者做个实验。
只见周先生让记者撕下一小块怪肉放在盆中,然后在盆中加入了热水。
随着热水的加入,怪肉很快就融化在了水中。

(怪肉溶于热水)
紧接着,周先生让记者喝一口这溶有怪肉的水,而在这之前周先生自己也已经喝了有五次了。
记者壮着胆子抿了一小口,如普通的水一般,这水并没有什么特殊的气味或是味道。
随后周先生又让记者撕一小块怪肉放到嘴里尝一尝。
这时已经喝过怪肉汤的记者也不躲避了,干脆撕了一块放到嘴中嚼了起来。

(记者尝怪肉)
这怪肉能吃、能喝还能溶于水,它的来历更加扑朔迷离了。
紧接着,周先生又带记者去看了这怪肉下的崽子。
怪肉的崽子呈半个椭圆的形状,和怪肉本身的质地差不多,但要小很多。
细心观察的记者突然发现在这个小崽的身上有三个奇怪的扣形标记,而这个标记周先生之前也没注意到过,他们谁也解释不清楚这标记的来历。

(怪肉小崽)
这一下大家都开始怀疑,这东西难道就是传说中的外星生命体?而这三个奇怪的扣形标记是不是也大有玄机?
二、解开怪肉的真相
为了解开这个谜团,记者联系了当地的研究所,将怪肉样本送去检验,想从科学的角度分析这东西的身份。
可几天之后得到的结果却让所有人都有些许失望,怪肉的检测报告显示没有任何生命体征。
也就是说之前的猜想全部都要被推翻,这怪肉不可能是什么妖物!更不会是什么外星神秘体。
可这一连串奇怪的现象也都是真实存在的,那这块怪肉究竟是什么呢?
正当大家一筹莫展时,突然有消息传来,在西北大学存放着和周先生家的怪肉很是相像的东西。
更神奇的是,西北大学的怪肉身上也有着神奇的印记。

(西北大学的怪肉)
得知此消息,记者和周先生立即前往了西北大学一探究竟。
据西北大学的专家介绍,这块怪肉来自于地下,在实验室中已经存放了20多年。
在这20多年间,研究人员们几乎没有给这怪肉换过水,可即便没有换水,这水仍然闻不到任何异味。
和周先生家的怪肉一样,西北大学的怪肉在这20年间体积也是明显变大了。
至于印记,西北大学的怪肉上有着印刷体一般的“50H”字样。

(“50H”字样)
因此起初研究人员们猜测这怪肉是古代用于殉葬的军马身上的皮,古代军马身上有时会烙上号码,因此只有这样才能够解释得通这块怪肉身上印记的来源。
可很快这个猜想就被推翻了。
随着研究的深入,专家们认为怪肉身上的印记并非人为造成的,而是在怪肉生长的过程中自行形成的。
后来,一位见证了这块怪肉出土过程的人员透露,在怪肉被发现的时候,它的下方正压着一个铝制的门牌。在肉块出土时,门牌号就已经印在了上面。

(挖掘怪肉)
西北大学怪肉身上的印记解释通了,那周先生家的呢?
记者再次回到周先生家,对拥有三个奇怪印记的怪肉小崽进行了仔细地查看。
眼尖的人这时突然发现这怪肉的形状和头盔的样子很像,这三个印记也和安全帽上的锁扣的样子有些许吻合。
联想发现怪肉的地方是在一个工地旁,他们做出了判断。

(建筑工地)
所谓的怪肉小崽其实并不是怪肉生下来的,而是本身就跟这怪肉长在一起,只是在浸泡在水里的过程中生长脱落了下来。
而这个小崽原本长在了头盔当中,在生长过程中已经形成了头盔的形状,这三个印记也是这么来的。
印记得以解释得通了,那这块怪肉究竟是什么来历?
经过查阅资料,记者发现类似的怪肉在国内已经不是第一次被发现了。
1992年,西安周至县的一位村民在渭河边打捞上了一块怪肉,怪肉的上半部分是黑褐色的,而下半部分是乳白色的,表面看起了很有光泽,手感则十分顺滑。
2010年,青岛的王先生在废弃的河道边也发现了一块能吃、能喝也能溶于水的怪肉,只是他发现的怪肉是黑色的,与王先生家的怪肉在外表上看起来并不一样。

(青岛怪肉)
2006年河北的牛先生则发现了三块怪肉,其中一块整体是黄色的,而另外两块则是红色的。
这三块怪肉都有着一样的特质,比如泡在水里会让水不烂不臭,也能够防蚊子等等。
当时参与讨论的专家们,一致认为这些怪肉本质是同一种东西,而外形上的巨大差异则是由生长环境的不同所导致的。
所有这些怪肉,从古至今都被冠以相同的名字——太岁。
三、太岁是什么?
太岁多被记载于我国的古籍之中,并由此延伸出了神秘的太岁文化。
太岁是在中国古代天文学中被虚拟出来的与木星相对并于其反方向运行的星体。
早在东汉时期,对太岁的崇拜就已经开始流行了。
那时的人们将太岁视为掌管时间、年岁的神灵,同时也和一定的时间、方位联系了起来,人们不能在太岁所特定的方位上行事。
因此也就延伸出了“太岁头上动土”这么一句古话。

(民间传说中太岁星君画像)
但关于太岁的具体形态,从古至今并没有出现任何的记载。
直到近代,我国才开始接二连三地有人在发现太岁的存在。
由于迷信和无知,民间传言太岁有长生不老的功效,也有人说岁能够治疗癌症,因此捡到太岁的人很多都因此大赚了一笔。
也难怪先前发现太岁的市民们,都将这东西是做奇珍异宝一般放在家中。
河北省农科院遗传所王朝江研究院多年来致力于研究人们所谓的太岁。
针对2007年河北省牛先生发现的三个太岁中的黄色太岁,王朝江对其深层组织进行切片,并通过显微镜进行观察,开始时也如先前的研究员一样并未发现任何生命迹象。

(黄色太岁)
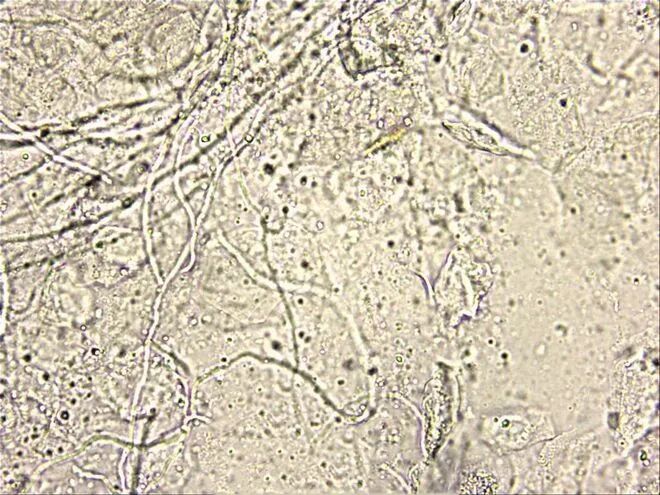
但当他在其中加入了一些培养基后再进行观察时,太岁切面上出现了如波纹一样的丝状物。
王朝江很坚定地认为,这就是人们一直在寻找的细胞。
事实上,在几年之前,王朝江就曾对太岁进行过类似的实验。
他通过对太岁的内部组织进行试管培养,最终从中分离出了一种丝状真菌,经过鉴定这些真菌中包含有三种酵母菌。

(显微镜下的真菌)
也就是说,太岁很有可能是多菌类生物体,是拥有生命的。
而在当年,也有很多学者也对王朝江所提出的结论进行了诸多质疑。
例如中科院生物研究所的郭英兰曾对太岁进行了较长时间的研究,但始终没有发现任何生命迹象,更没有在其中发现类似真菌的结构。
中科院生物所形态学专家茆晓岚也表示所谓的太岁并不存在细胞结构。
一时之间,关于太岁的真身众说纷纭。
如今随着科学技术的发展,太岁也揭开了其神秘的面纱。
经过科学研究证实,太岁是介于原生物和真菌之间的棉絮菌,由细胞构成,是存在生命体征的。
可为何过往很多专家在研究中都不曾发现太岁的生物细胞呢?
原来太岁的结构特征使得它切片很难切得足够薄,而如果切片超过菌体自身的厚度时就很难通过显微镜观察清楚了,也就无法观察到细胞的结构。

(专家实验)
而菌丝角质化后,它的形态则会进一步改变,菌丝的结构也就更不容易被观察到了。
关于周先生家怪肉的奇异现象也得到了科学的解释。
太岁以微生物为食,因此会大量吞噬周围的微生物,放置在水中会不断地生长。
而臭味和腐烂都是由微生物造成的,盛放太岁的水也就能长期保持清澈无味。
至于太岁身上的奇特印记,如先前周先生和记者所猜想的一致,太岁的生长受周围环境的影响很大,会因为周身物体的形状而改变自身的形状。
太岁是人类迄今为止所发现的最古老的古生物活体标本,可以说是当今地球上所有生物的祖先。

(太岁)
因此周先生的确可以说是捡到宝了!
但关于太岁的功效至今没有科学研究证明它对人体有益或是能够食用,吃了太岁就能够长生不老更是天方夜谭!
由于不同的太岁其菌体构成也大不相同,其对人体的益害还有待考究。因此专家们还是建议大家对其以收藏为主,不可轻易服用。
结语:
周先生家关于怪肉的故事到这里就告一段落了。
面对未知的事物,周先生始终保持着好奇的心理,并不断地去发现细节,探求真相。
正是周先生的这种精神,带领着我们去探寻着关于太岁的神奇特质。
希望每一个人都可以如周先生一样,保持对生活中许许多多事物的好奇,永远以一个探索的眼光看待我们的世界!
参考文献
王朝江,王世清.统计分析确认“太岁”是一种土生客观物体[J].华北农学报,2014:202.
王朝江,王世清.三种不同形态太岁所含古菌的结构研究[J].生物技术,2017:78-83.
男子钓鱼钓起“怪物”专家鉴定疑似太岁[J].钓鱼,2015:68.
仲富兰.太岁 古代道德英雄 兼说六十星宿的民俗学意义[J].国学,2013:74-75.
邢路军,蔡小华.太岁信仰习俗与太岁研究进展[J].河北旅游职业学院学报,2009:94-96.
姜莹莹,耿熹.众专家质疑怪物太岁有生命[J].今日科苑,2007:56-57.

到顶部