继续操作前请注册或者登录。

男子发热、胸痛,第二回的CT才终于救了他一命:有这个症状时,千万不要大意!


52岁男子,姓章。
52岁的年龄本该仍然是黄金年龄段,没想到半年前来了一次意外,让生活蒙上阴影。半年前章先生突然觉得左侧肢体乏力、麻木,常看医学科普的他,马上就联想到会不会是脑袋出了问题,比如脑出血或者脑梗塞。
他担心的是对的。
一侧肢体出现麻木、无力,尤其是中老年人,往往就是脑血管的问题。脑袋控制人体所有的肌肉活动,当大脑某块区域缺血受损,那么这部分区域控制的肌肉就会出现功能障碍。章先生迅速打的来到医院,急诊入院,当时拍的头颅CT并没有看到明显问题,但急诊科医生认为头颅CT正常只能排除脑出血,不能排除脑梗死,脑梗死一般要24小时后做CT才能看到有改变,所以还是要章先生住入了神经内科。
神经内科医生给予了相应治疗,后来复查头颅CT和MRI,明确诊断为急性基底节脑梗死。
章先生的警惕,捡回了一条小命。
经过治疗后,病情逐渐平稳,肢体麻木、无力也都基本恢复正常。章先生出院了。
但事情并没有结束。
出院后的第7天,章先生开始出现发热,在家自己测了体温,最高体温39.0°C,而且有畏寒、胃口不好,有点小咳嗽,其他倒没什么了,没有胸闷、气促,没有明显腹痛、腹胀等,刚开始以为是着凉了感冒了,自己在药店买了些感冒药,吃了药后体温能降下来,但很快体温又爬上去了。
反复发热了3天。
章先生着急了,先去了社区医院看。社区医院听说章先生有咳嗽,考虑有肺炎可能性大,建议拍摄了胸片,同时抽血化验了感染指标。
结果出来后,看到的确右侧肺部有少许炎症,遂诊断为肺炎。
大意了,如果是肺炎的话,单纯吃感冒药是不可能好的,感冒药里有退烧成分,的确可以短时间退热,但是肺炎是有细菌感染的(多数是细菌,少数病毒或其他),必须用抗生素治疗才行,单纯退烧是治标不治本。医生告诉章先生。
医生给开了一些口服的抗生素,左氧氟沙星。除了病毒和真菌,基本上常见的细菌它都能覆盖,应该会有效果。
吃了抗生素后,章先生的体温的确再次下降了。整个人精神似乎也好一些。
果然治病还是得对症。
但咳嗽还是间断有,而且更让章先生担心的是,剑突的部位开始有隐隐作痛。章先生是很谨慎的人,问医生为什么会这样。

社区医生解释说,咳嗽的时间长了,可能会损伤肋软骨,有点痛也是正常的,或者本身就有点胸膜炎,都可能导致疼痛,问题不大。如果不放心,可以复查一个胸部CT,看清楚一些。
章先生指着自己的剑突,问医生这下面都有哪些器官呢?我自己百度了说下面有肺脏、心脏、膈肌等器官,是不是都可能是它们导致的问题?
社区医生不愿意再多花时间解释了,眼前这个病人显然太焦虑了,问题太多。大手一挥,说先去大医院把CT做了再说。
无奈,章先生只好来到当地一家三甲医院。
三甲医院什么都好,就是人多。
即便是急诊,人也特多。
章先生直接来挂急诊号,说自己胸痛。章先生是研究过流程的了,胸痛病人是可以优先处理的。所以干脆直接说自己胸痛。
急诊护士一听说这个中年人胸痛,立即警惕起来,通知了值班医生。
计划奏效。
中年人胸痛,是急诊科医生的噩梦。因为这可能是很致命的疾病,比如急性心肌梗死、肺栓塞、主动脉夹层、急性心包积液、气胸等,这些都会死人的。
而且是可能立刻死在医生面前。
所以医生一听到病人胸痛,那是丝毫不敢大意。直接先拉过来做心电图。
章先生被安排进入了抢救室,规培医生给拉了心电图,还好,没看到明显的心肌梗死图形。
值班的急诊科医生是老马,老马我们大家都认识了,急诊科混了十几年的老兵。老马听说章先生除了胸痛,还有反复发热,之前还做过胸片提示有肺炎。现在做了心电图没看到太异常的改变,心也放下了一半。
你是哪个部位最痛?怎么痛法?老马问章先生。
章先生指着自己的剑突,说这里疼为主,有时候是隐隐痛,有时候是像刀割一样痛。说不清楚。
有没有胸闷?有没有像石头压在胸口那样闷闷痛、喘不上气的感觉?老马问。这是心肌梗死的典型胸痛表现,压榨样疼痛。
没有。章先生回答的很干脆。
有没有高血压、糖尿病、冠心病病史以前?老马再问。
有时候量血压偏高,也不是很高,一直没有吃药。糖尿病没有。冠心病也没发现。章先生回答。
老马给他简单听了听心肺,没有发现太明显异常,摁了摁肚子,章先生有些皱眉,似乎有点痛,不明显。老马心里有了主意,患者反复发烧了几天,再加上之前的胸片所示,估计就是个肺炎了,不会是什么致命的疾病。既然如此,就安排抽了血,常规做血常规、肝肾功能、电解质、凝血、心肌酶、肌钙蛋白等项目,然后让去做胸部CT。
医生,我其实除了剑突这个位置痛,有时候这个位置偏低一点也会痛,不知道有没有关系。我查了书,剑突偏低一点的位置是胃脏和肝脏,不知道这些部位会不会有问题。章先生对老马说。
老马准备走了,听他这么说,又回过头来,说我们先查了血再说吧。
胸部CT结果先出来了,双侧肺炎,但不算严重。
明确你有肺炎,没有看到肿瘤或者其他。考虑你的发热、剑突疼痛都跟肺炎有关的。继续用抗生素吧,这回我给你用静脉的,不用口服的。老马解释说。
又等了一段时间,抽血指标也都出来了。血常规提示白细胞总数偏高,其余基本没明显异常。心肌酶不高,肌钙蛋白偏高一点点,估计意义不大。为了安心,老马吩咐规培医生再次给章先生拉了个心电图,还是正常的。
看来这个胸痛是个小问题。

医生,我感觉这个剑突下疼痛更明显了,而且有点想吐。章先生皱着眉头跟老马说。
老马在看隔壁床的危重病人,本来都准备让章先生去留观室了,此时听到章先生这么说,顿时提高了警惕。肺炎的患者,一般不会有恶心、呕吐的。肺炎多数是咳嗽、咳痰、胸痛、咯血、呼吸困难等呼吸道症状,偶尔也会有消化道症状,比如恶心、呕吐,但很少见。
患者如果真的有恶心、呕吐,首先要考虑的肯定是消化系统的疾病。
老马处理好病人后,走到章先生跟前,让他躺下,再次检查了肚子的情况。整个腹部还是软的,这是正常的,但剑突下、肚脐以上似乎真有轻微压痛,这不像是肺炎导致的啊。老马寻思着。
既往有过胆囊炎、肝炎之类的疾病么?老马问。
没有,都没有。我就上个月在其他医院住过院,当时是脑梗死,但治疗后都好转了,医生也没说我有胆囊炎啊。章先生回答。
老马沉吟了一会,开始隐隐有些担心。本来觉得这仅仅是个普通的肺炎患者,但患者在这之前有过脑梗死,现在又有点轻微的胸痛或者说腹痛(剑突上下),社区医院吃了抗生素效果却不好......这一切一切都似乎在警醒老马,别大意了啊。
宁可杀错,不可放过。
万一患者真的有肝脓肿、肝炎、胆囊炎、胆结石、胰腺炎等等疾病,漏诊了那就麻烦了。可是体格检查不像啊,腹部没有很明显的压痛、反跳痛,整个腹部都是软的。这说明即便是有腹部问题,也不算很严重。
这样吧,直接再做个腹部CT再说吧。老马下了决心。
还做CT?章先生瞪大了眼睛。
是的,刚刚做的CT只能看到你的胸部,看不到腹部。我看你剑突下有疼痛,说不定那就是腹痛了,是腹部脏器有问题可能,有时候有些疾病比较隐匿,非得做检查才能发现。老马给他解释。
早知道刚刚为什么不一起做了?章先生有点不悦,低声说了一句。
老马没回他,做不做。
做,既然医生都建议了,肯定得做。章先生意识到自己可能说错话了,赶紧赔笑。
规培医生推着章先生再次去了CT室。
过了几分钟,CT室来电话,找老马。说章先生的腹部CT看到了问题,好像脾脏有些问题,但是平扫的CT看不清楚,要不要给做个增强看看。
增强CT肯定是比平扫看的更清晰的。所谓的增强CT,就是先把造影剂打入患者的血管,再来做CT。通过与造影剂的对比,有些病灶就能看得一清二楚了,尤其是血管内的病灶。
老马同意做增强,但得人家患者同意才行啊。
老马放下手头工作,赶去CT室,跟章先生说明了情况,章先生也同意做增强。于是签了字,打了针,再次推入CT室。
章先生是忐忑的。因为老马告诉他脾脏有问题。
他现在只能祈祷,希望问题不大。
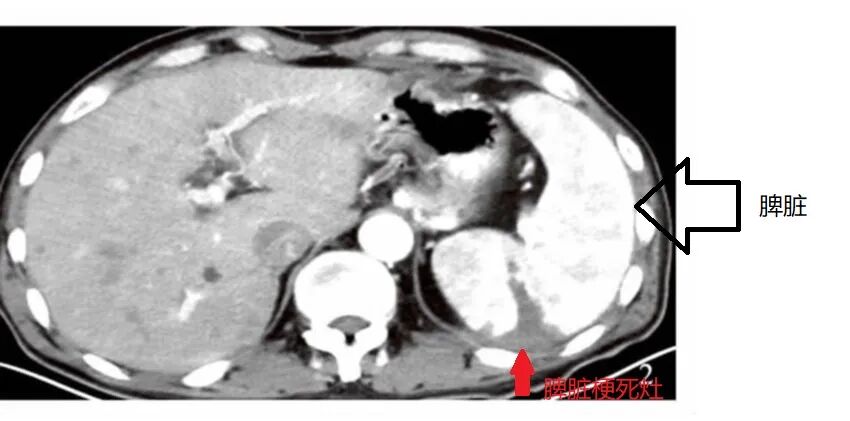
结果出来了,脾梗死。

(图非章先生,仅为科普介绍用)
章先生一听到梗死两个字,瞬间整个人都不好了。上个月才有脑梗死呢,这回又来个脾梗死,还让不让人活啊。
老马却松了一口气,总算没漏掉患者。万一让他回家了,这个脾梗死就漏掉了。脾脏在人体腹部的左侧,而且脾脏的动脉是比较少交通支的,比较容易导致缺血坏死。患者的腹痛,不用说肯定是脾梗死导致的,而不是肺炎。老马想到这里的时候,背后一阵冷汗。差点就按肺炎让患者回家了,万一患者后续发生脾破裂,大出血,那就玩完了。
大家都玩完了。
问题是,好端端的,为什么会有脾梗死呢??
是脾动脉自己栓塞梗死了?还是有外源性的栓子脱落掉入脾动脉,导致脾梗死呢?考虑到患者不久前发生过脑梗死,现在又有脾梗死。老马不由得打了一个寒颤。
这背后肯定还有大问题的!
肯定还有深藏未露的凶手!
老马首先考虑到的就是患者会不会是有心房颤动(房颤),房颤的患者容易在心房内形成血栓,一旦这个血栓掉下来就可能流入大脑导致脑梗死,一旦流入脾动脉就会导致脾梗死,而一旦流入肾动脉,就会导致肾脏梗死。
真是房颤么???
老马很快就否认了这个可能性。因为刚刚在急诊科前后两次心电图都没有看到房颤图形啊。房颤的时候,患者的心脏跳动是没有规律的,就是小鸟翅膀颤动一样,所以称之为心房颤动。心电图很容易辨认的。
老马虽然不是心内科医生,但这种普通的常见的心电图肯定是会辨认的。
而且刚刚心脏听诊,也没有听到有房颤啊。
除了房颤会有血栓形成导致器官梗死,还会有别的可能性么?
有的。
老马马上想到了这一点。
每年急诊科都会遇到几个类似的病例,这样的栓塞的病例老马今年遇到2个了。这个可能是第三个。
患者还有发热呢,如果不是肺炎导致的发热呢?如果是这个深藏的疾病导致的发热呢?那就可以解释得通了。
感染性心内膜炎!!这个诊断呼之欲出了。
患者有发热,又有胸痛/腹痛,现在发现脾梗死,之前还有脑梗死,这一切都指向一种可能性,那就是感染性心内膜炎。当心脏内膜有感染,有破坏,那就会导致局部有栓子形成(并非血栓,可能是细菌和坏死物的堆积),这些栓子平时悬在心脏内膜上,一旦脱落,也是会可能导致脾梗死的。
想到这里,老马立即让心内科医生过来会诊。
心内科医生到了后,听了老马的分析,同意考虑感染性心内膜炎的可能,先给患者听了心脏,他听得很仔细,眉头轻微皱了一下,说心脏这里似乎能听到一点杂音,不是特别明显。先做个心脏彩超看看吧,是非曲直就一目了然了,如果真的是有栓子(赘生物),心脏彩超能看得见。
章先生看到有来了一个医生,知道情况不是太妙,有点紧张了。
心内科医生安慰他,说暂时不用太担心,如果真的是感染性心内膜炎,积极抗感染治疗一般都能好转的,少数病人需要手术。
马上安排了心脏彩超检查。
结果显示:二尖瓣后叶部分腱索断裂伴有轻度脱垂,不严重,但是有。而且局部还有赘生物形成。
一切都跟之前分析的一样。
真相终于明了。

这个疾病老马也不是第一次见了,可是每次见它真面目前都要大费周章,走了不少弯路。感染性心内内膜炎是细菌感染居多,需要强力抗生素治疗。章先生又被安排住院了。
经过了一段时间的强力抗生素治疗之后,病情逐步好转。
后来也没需要进一步手术治疗。一般感染性心内膜炎的患者,如果发生了严重的心力衰竭,那就要手术切掉坏了的心脏瓣膜,换新的机械瓣膜。这回上天帮助了章先生一回,抗生素很凑效,没有发生严重的并发症,避免了一次大手术。但如果不是老马心细如发及时发现,再延误一段时间,那就不好讲了。
现在问题来了,患者之前的脑梗死,到底是不是这个心脏栓子脱落导致的呢?还是说是其他原因导致的呢?现在很难说的清楚了。因为回顾了上一次住院治疗,当时医生并没做心脏彩超,所以不知道当时心脏是否完好。
考虑到章先生是脑梗死好转出院后好几天才发热,说不定上次脑梗死的时候还没有这个心脏的问题,这也是说得通的。
一切都只能是猜测了。
祝好!
另外,多数身体的症状都是小毛病,像章先生这样的例子毕竟是少见的,大家也不要太害怕,不要老觉得自己的胸口痛也是有大问题。当然了,如果真的是胸口痛,那还是要去看医生的。
重要通知!重要通知!重要通知!
微信公众号最近改版!为了方便大家能够每天看到李医生的文章,希望大家动动手指,按照以下方法把听李医生说的公众号加个星标!

最后,为了在特殊时刻还能跟大家分享、交流,我们启用了另外一个公众号(Dr家庭医学),可以说是我的小号吧,那里我们会跟大家分享科学有趣、有料的家庭医学知识,希望能帮助到每个家庭、每个人。喜欢的朋友扫码关注,谢谢大家!

喜欢这篇文章的话请点亮“在看” “点赞” | 坚持原创不容易,以示鼓励 | 让我们一起努力,一起奋斗 |点击“分享”给您的朋友,一起为健康努力!
丁香园、网易号、一点号、微博  @听李医生说
知乎、今日头条 、大鱼号、趣头条  @李鸿政医生
到顶部