不就是眼睛睁不开,怎么还进ICU差点凉了?


李医生已经开通了工作微信号,朋友们可以在文末扫码添加我为好友一起交流医学知识,并且拉入健康医学交流群。
——正文———
本文根据真实病例改编
老李今年50了,跟大多数中年男性一样,过着上有老下有小、不上不下的生活,没大富大贵,却也过得有滋有味。
就是这两周,老李总是觉得眼睛老也睁不开。倒也不是困,就觉得眼皮子没力气。本以为是自己睡得少,或者累着了,多休息休息就好了。可眼看着症状越来越严重,一点没有好转的迹象,老婆也催他去医院赶紧看看。

这天,老李找了离家最近的一家三甲医院。
到了导医台,老李告诉护士,自己眼皮子耷拉下来了,尤其是右眼,都快睁不开了,只剩一条缝,离远了看还以为自己是岳云鹏。
导医的护士也算比较有经验了。
这种眼睑下垂,可能是先天的,大多数是后天的。后天的原因又包括眼睛本身的病变(眼部手术、创伤、隐形眼镜、感染、肿瘤)等,或者脑子里有肿瘤压迫颅内神经,还可能是重症肌无力导致的眼睑下垂。
于是,导医让他先去神经内科看看。
神经内科的医生做了简单的体检,发现眼睛本身没什么问题,也怀疑是重症肌无力。于是开了抗乙酰胆碱受体(AchR)抗体的检测。
人体的肌肉收缩由神经控制,神经和肌肉相连接的结构叫做神经肌肉接头,神经末梢会释放乙酰胆碱(Ach),乙酰胆碱到了肌肉接头的乙酰胆碱受体(AchR)会刺激肌肉发生去极化和收缩。

神经肌肉接头
有些病人会产生抗AchR抗体,导致乙酰胆碱无法结合受体,从而无法产生收缩运动,这就是所谓的重症肌无力(Myasthenia gravis, MG)。注意,不是鸡无力,是肌无力。

果不其然,老李的抗AchR抗体明显升高,这基本上可以确诊为眼肌型的重症肌无力了。
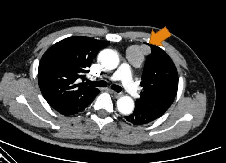
神经内科医生留了个心眼,还让老李做了个胸部CT。老李心生疑惑,说我好好的做什么胸部CT,不过还是听医生的话做了检查。
好家伙,胸腔里有一个直径3.6公分的肿块。

箭头所指为胸腺瘤
“你去胸外科吧。”神经内科医生对老李说道。
老李也因此落到了孙医生的手里。
孙医生在门诊看到老李的时候,他眼睑下垂已经很厉害了,于是决定把老李收进病房,考虑进行手术。
这种病人并不算罕见,大概10%的重症肌无力都合并有胸腺瘤,孙医生又给老李复查了增强CT,胸部磁共振,都提示是胸腺瘤。不过遇到这种病人还是要当心一点,孙医生曾经遇到过几例非常凶险的情况。
各种指南都建议把肌无力症状改善之后再做手术。神经内科又来了,给老李会诊之后,开了溴吡斯的明。
这什么药?怎么这么拗口?
这个药,跟大名鼎鼎的敌敌畏一个原理,都能够使乙酰胆碱增多,只不过一个是毒药,一个是救命药。

没错,就是那个敌敌畏
老李吃了药之后,果然眼睛都大了许多,从岳云鹏一下变成了小燕子赵薇,老李媳妇也很高兴,老李再也不能在让他洗碗的时候装眼睛睁不开了。
过了两周,老李在网上问诊复查,跟孙医生无意中提到一句,“眼睛好多了,就是前两天走路的时候向前栽了一下,差点栽个跟头。”
听到这里,孙医生心里咯噔一下,心想坏了,“老李,赶紧再去神经内科就诊。”
老李觉得无所谓,但老李媳妇从上次之后就对孙医生无比信任,硬把老李拉到了医院。
到了神经内科,医生一看,这情况不妙,赶紧收进病房。原因是老李之前是眼肌型的肌无力,仅仅表现为眼睑无力,现在无意识向前栽倒,说明肌无力发展到了全身,导致身体乏力,变成了全身型重症肌无力。
全身型肌无力严重的时候可以出现全身肌肉无力,甚至累及呼吸肌,导致呼吸衰竭。
神经内科的医生们给老李加大了药物剂量,但效果不明显,决定使用丙球冲击。丙种球蛋白是一种免疫球蛋白,冲击治疗可以抑制重症肌无力患者抗AchR抗体的产生,从而缓解肌无力症状。
丙球用完之后,老李症状没改善,眼睛反而完全睁不开,吃饭也没有力气了。就在医生们准备换治疗方案的时候,
意外发生了。
老李突然全身抽搐,神志不清,全身冒冷汗,血压一下子升高到了220/120mmHg,是我们正常人血压的两倍,氧饱和度也降低到了正常下限90%,情况非常危急,随时可能心脏骤停,甚至死亡。
医生们紧急抽了动脉血,做了血气分析。好家伙,二氧化碳分压达到了104mmHg!pH只有7.0!正常人二氧化碳分压最高也就47mmHg,这病人已经严重的呼吸性酸中毒,或者说是二氧化碳中毒了。

哪种酸碱失衡?
下病危通知!转ICU!插管!
医生们有条不紊地抢救着老李,老李媳妇在ICU门外已经吓坏了,心想着我老公好好的,之前就眼睛睁不开,这怎么就要没了?然后忍不住哭了出来。
医生们没空解释,除了插管呼吸机辅助通气,他们还要把老李的生命体征搞稳定,一堆工作要做。孙医生听说老李突然病危,也赶紧来到ICU帮忙。
“肌无力危象。”孙医生在下楼去ICU的时候,已经想到了这个词语。
肌无力危象是重症肌无力病人最最严重的情况,是肌无力累及呼吸肌之后导致的呼吸衰竭和全身严重并发症。
ICU医生们讨论之后决定给与甲强龙(激素)冲击,连续冲击之后,老李的病情也逐渐稳定下来,5天之后也终于拔除了气管插管。
本以为能顺利转出ICU,结果没想到刚拔掉插管,老李又喘不上气了,还有大量的痰,他的肺部又感染了,真是够折腾的。
ICU医生重新给他戴上无创呼吸机,孙医生也经常来看他,又帮他吸痰,终于在半个月后转出了ICU,又在半个月后顺利出院。
孙医生再看到老李的时候,已经是2个月后了,老李这次是来切掉胸腔内的胸腺瘤的。孙医生仔细检查之后,觉得手术时机已经到了,终于帮他切掉了胸腺瘤。
手术很顺利,还好没再出岔子。老李出院的时候,感慨万千,自己也算是鬼门关里走了一遭。还好有胸外科医生、神经内科医生、ICU医生的通力协作,自己才捡回一条命,不然真的要小命不保,想给老婆洗碗都没机会了。
孙医生经历了这一场堪称“教科书式”的病例,也是觉得收获不少,于是把这个病例整理了一下,讲给了年轻的医生,让他们涨涨见识、学学知识。
我坐在下面听着,深感这一职业责任重大,真马虎不得。
来源:我想逗乐这个闷闷的世界

号外: 李医生工作号开通了  
后台一直有很多朋友留言咨询医学健康问题,我很少能一一回复,实在是精力有限,有些朋友在后台非常坚持,又好笑又无奈,我能理解大家求医迫切的心理,也能理解大家不掌握医学知识时对自己健康的担忧。
后来跟小助手商量了,决定启用我的工作微信号(李鸿政医生),我会建立交流群,大家可以在群内互相交流。
同时小助手会发布一个云文档,大家可以在文档里填写想要了解的医疗问题,我每隔一两天会尽量抽出一点时间统一回答2-5个问题(不收费的,纯属交流),就当大家在网络上交个朋友,也是对关注我的朋友做出真诚的回应。
再次感谢大家对李医生的关注,希望我的努力能为医学科普、医患关系做一点正面的工作。感激!感恩!
识别二维码加我好友,我再把大家拉入我的交流群。可能由于人数较多,添加好友不会太快,请耐心等等。
↓ ↓ ↓ 长按以上二维码,添加李鸿政医生为好友吧

↑ ↑ ↑ 长按以上二维码,添加李鸿政医生为好友吧
重要通知!重要通知!重要通知!
更多精彩医学知识,可以点击上方公众号链接关注我每天9点,不见不散
微信公众号最近改版!为了方便大家能够每天看到李医生的文章,希望大家动动手指,按照以下方法把听李医生说的公众号加个星标!

喜欢这篇文章的话请点亮“在看” “点赞” | 坚持原创不容易,以示鼓励 | 让我们一起努力,一起奋斗 |点击“分享”给您的朋友,一起为健康努力!
丁香园、网易号、一点号、微博  @听李医生说
知乎、今日头条 、大鱼号、李鸿政Pro、趣头条  @李鸿政医生
抖音号  @李鸿政
到顶部