这种“穿肠烂肚”的疾病,极易被误诊为肠胃炎,一旦患上无法治愈


李医生已经开通了工作微信号,朋友们可以在文末扫码添加我为好友一起交流医学知识,并且拉入健康医学交流群。
——正文———
  这是由《南方周末》报道的一则新闻:
2008年,周鸿进行了回肠-结肠切除手术。在这几年时间里,他先后出现肠粘连、痔疮、肠梗阻和肠痿等病症。
2016年的一天晚上,他亲眼看着自己晚上喝的粥,从阑尾手术后刀口处的脓包里流了出来。那一刻,他吓呆了。
即使病情已经危急到了这种程度,医生给出的建议依然是无法手术,要等伤口自己长好。
也是在这几个月的时间里,他的体重从110斤降到了70斤。

在经历了多年的病痛折磨和生不如死后,他来到南京军区总医院,也是在这里他被确诊为——克罗恩病。
极易被误诊的克罗恩病
克罗恩病,相信很多人是第一次听说这个疾病。这是一种炎症性肠病,会引起肠胃道(GI)炎症。

由中华医学会制定的《炎症性肠病诊断与治疗的共识意见(2018年)》显示,炎症性肠病在我国的发病率为1.77/10万-3.14/10万。
从这个数据来看,患病人群并不是很大。但是由于克罗恩病诊断困难,极易误诊,且很难治疗,属于终生性疾病,这也导致病人越来越多。
原则上来说,任何年龄段的人都有可能患上克罗恩病,不过发病高峰往往集中在20-40岁间。且近些年来发病率持续上升,且没有性别差异。
克罗恩病有个典型的特征,就是不断在缓解与复发间徘徊。也就是说,可能一段时间你感觉良好,过一阵子你又会感觉到不适。
由于克罗恩病和我们平常见到的“拉肚子”“腹泻”等症状很相似,这也导致不少克罗恩病病人在早期被误诊,从而耽误最佳的诊疗时机。
克罗恩病最常见的症状有:腹泻、便血、发烧、食欲不振和身体虚弱、体重明显减轻、腹痛(腹部右下侧)、关节痛和皮肤红肿等。
然而,在现实生活中,克罗恩病患者的临床症状往往五花八门。比如有的病人是肛痿和肛周脓肿为首发症状;而有的病人是以腹痛为首发症状,结果被误诊为慢性胃炎或阑尾炎;更有甚者,最后被误诊为心理疾病。
克罗恩病从何而来
克罗恩病,可以说从我们的口腔到肛门,影响着一切。但这个病目前病因还是没有确定,唯一认为可能造成的因素有遗传、环境和感染等。
不过新华社曾经报道的一则案例却给大家提了个醒:
这是《新华社》于2017年11月21日报道的新闻,文中的玲玲刚满11岁,在2016年7月时到了在广东打工的父母那里上学。

也是自那时起,玲玲开始出现腹痛和腹泻等症状。一开始家里人都认为玲玲是吃坏了肚子,没当回事。
一个月后,玲玲腹痛腹泻症状加重。此后的一年时间里,每天大便大便至少4-5次。
2017年9月,玲玲每天大便的次数增加到10次,且体重骤降20斤。家人这才紧张起来,带着玲玲赶往医院检查。
医院在其大便里查出了脓细胞、白细胞和红细胞等,认为是感染性腹泻并开始抗生素输液治疗。结果是,腹泻越来越严重,玲玲也越来越瘦。
最终,经过联合会诊后,玲玲被确诊为克罗恩病。

医生也很好奇玲玲为什么会患上这种病,在与玲玲家人沟通后,得出了初步的结论:
原来玲玲很喜欢吃辣条,平时父母也不少给琳琳零花钱。所以每天少则两三包,多则五六包的辣条,最终成为了患病的诱因。虽然没有明确的细菌等导致生病,但长期大量吃辣条肯定是重要诱因。
虽然病因尚不清楚,但像玲玲这样的不健康饮食刺激胃肠道,多多少少为克罗恩病提供了机会。
另外,有研究显示克罗恩病和经济发展有着很密切的关系。在西方发达国家中,克罗恩病的发病率要明显高于发展中国家。
而随着我国经济水平的发展,克罗恩病也相应的在升高,所以克罗恩病又被称为“富贵病”。
还有一点需要注意,就是克罗恩病往往会“重点盯着”抵抗力强的年轻人。这也就是说,克罗恩病可能是一种免疫缺陷引发的疾病。
如何确诊与治疗?
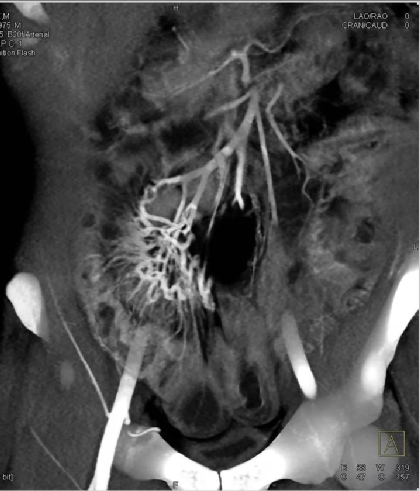
克罗恩病的确诊与治疗都是极其复杂的,如果怀疑克罗恩病,医生可能需要通过血液检查、粪便检查和结肠镜、胃镜或小肠胶囊内镜、小肠X线拍片、磁共振(MRI)肠造影等多项检查,才能做出最后的判断。
克罗恩病目前没有任何治愈手段,只能通过多种方法来控制和缓解,因此也被称为“绿色癌症”。

不过随着医疗水平的发展,目前已经有多种激素和免疫制剂能够控制病情。再加上去年,治疗该病最常用的生物制剂——类克,降价进入了医保目录,所以现在的克罗恩病患者不再像以前那样因为治疗昂贵而饱受折磨。
需要注意的是,克罗恩病说直白点就是肠子里面长满了溃疡,所有的营养都难以吸收甚至无法吸收。所以我们在平时,一定要注意饮食的健康,尽量少吃垃圾食品和不健康的食品。
来源:DrX说

号外: 李医生工作号开通了  
后台一直有很多朋友留言咨询医学健康问题,我很少能一一回复,实在是精力有限,有些朋友在后台非常坚持,又好笑又无奈,我能理解大家求医迫切的心理,也能理解大家不掌握医学知识时对自己健康的担忧。
后来跟小助手商量了,决定启用我的工作微信号(李鸿政医生),我会建立交流群,大家可以在群内互相交流。
再次感谢大家对李医生的关注,希望我的努力能为医学科普、医患关系做一点正面的工作。感激!感恩!
识别二维码加我好友,我再把大家拉入我的交流群。可能由于人数较多,添加好友不会太快,请耐心等等。
↓ ↓ ↓ 长按以上二维码,添加李鸿政医生为好友吧

↑ ↑ ↑ 长按以上二维码,添加李鸿政医生为好友吧
重要通知!重要通知!重要通知!
更多精彩医学知识,可以点击上方公众号链接关注我每天9点,不见不散
微信公众号最近改版!为了方便大家能够每天看到李医生的文章,希望大家动动手指,按照以下方法把听李医生说的公众号加个星标!

喜欢这篇文章的话请点亮“在看” “点赞” | 坚持原创不容易,以示鼓励 | 让我们一起努力,一起奋斗 |点击“分享”给您的朋友,一起为健康努力!
丁香园、网易号、一点号、微博  @听李医生说
知乎、今日头条 、大鱼号、李鸿政Pro、趣头条  @李鸿政医生
抖音号  @李鸿政
到顶部