继续操作前请注册或者登录。

青年男性,常发生肺炎,以为肺结核,至死亡做了尸体解剖,才知是这么戏剧的疾病!


大家好,我是李医生。
世界之大,什么病例都会有。跟大家分享一个惊险的案例:
事情得回到6年前,一个21岁的男青年,因为反复咳嗽、胸痛、发热而去看医生。
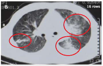
当地医院医生把他收入院,前后住了几次院了,做了很多检查,包括胸部CT,最初他被诊断为肺炎,但经过抗感染治疗后病情没有明显好转。
这就奇怪了,青年男性咳嗽、发热、胸痛,最常见的疾病就是肺炎,一般情况下用几次抗生素下去肺炎多数能压的下来,很快就会好转,但这个病人的情况没那么简单。
如果不是肺炎,那会是什么呢?
有经验的朋友马上就会联想到了另外一个疾病,对,就是肺结核。
肺结核在中国还是很常见的,最近几年每年都有70万左右的新发肺结核病例呢。
肺结核其实也是一种肺炎,只不过肺结核分枝杆菌引起的肺炎跟普通细菌引起的不大一样,普通细菌性肺炎都是急性的,一般病程也就1-2周,顶多2-3周,症状是明显的发热、咳嗽、咳痰、胸痛等,而肺结核往往是慢性的,可能有几个月的咳嗽了,尤其是反复发热、长期发热,所以我们一般不把肺结核称之为肺炎。
眼前这个年轻的患者,反复咳嗽、咳痰、胸痛、发热,显然不是普通的肺炎了。

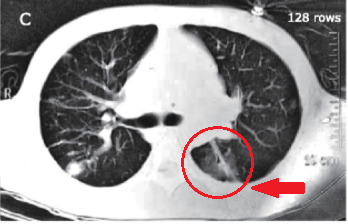
(第一次胸部CT)
应该是肺结核,医生分析说。
只要能在患者的痰液中找到结核分枝杆菌,那就确定无疑了。
于是给患者留了第一次痰,送去化验,没找到抗酸杆菌。一般情况下,抗酸杆菌如果阳性,意味着差不多就是结核分枝杆菌了,极少数情况下也可能是非结核分枝杆菌。
第一次没找到,于是留了第二次痰,第三次,第四次,多留几次痰,肯定能找到抗酸杆菌,毕竟患者的胸部CT看起来那么像肺结核,而且也有长期反复的发热、咳嗽、咳痰、胸痛,必须得是肺结核啊。
可是,结果让大家失望了,三番四次留的痰液中,都没有看到抗酸杆菌的踪影。
怎么回事?年轻医生不理解了。
上级医师分析,痰液中没找到抗酸杆菌,也不能就此否定肺结核诊断,毕竟那么多肺结核患者,真正能在痰液中找到抗酸杆菌的只有20%左右的人,大部分人痰液中都找不到,因为他们的结核杆菌藏得比较深,不会通过支气管排出来,所以我们找不到,也是有可能的。
万一不是肺结核呢?
万一是其他疾病呢?
甚至有人怀疑会不会是艾滋病引起的真菌感染,毕竟患者左手臂还有纹身呢,虽然不能认为纹身就是坏人,但是有纹身的年轻人,尤其是纹着一条龙的年轻人总能让人浮想联翩。
查过了,艾滋病抗体都是阴性的,痰里面也没有找到真菌。
甚至连纤维支气管镜都做了,把镜子直接从患者鼻腔进入,穿过咽喉,进入气道,深入肺部,获取了病变组织的分泌物,却依然没有发现抗酸杆菌。
没有大的证据指向是肺结核。
但是患者给人的感觉就是肺结核啊,长期低热、咳嗽、胸痛,最近似乎还有点咯血了,痰中带血,排除了肺癌、肺真菌感染、普通肺炎等,肺结核是没跑了啊,不少肺结核患者是找不到证据的。
这时候应该怎么办呢?
诊断性抗结核治疗!
换句话说,我们现在考虑你是肺结核,但是证据不足,我们准备先给你上抗结核的药物,如果有效,那就是肺结核,如果没效,那就不是肺结核可能性大,当然,也有可能是耐药的肺结核。
患者听完后,是懂非懂,接受了安排。毕竟身体的毛病让他太难受了,只要不是肺癌,那就好说,肺结核虽然难缠,却也不是绝症啊,总有机会。
于是拿了抗结核药物,出院。
用了一段时间药物后,效果也没有太好,但也不是完全没有效果。患者心里都有些着急了,想办法联系了另外两家比较厉害的医院,都去看了,结论也是肺结核,让继续诊断性抗结核治疗。

(第二次胸部CT)
一抗就是3年。
这期间患者还是有各种各样的不舒服,胃口不好,吃东西不多,觉得腹胀,乏力,胸口不舒服。时间长了,人也变得消瘦了。一看就是一个重病缠身的样子。
直到2018年,患者去了一家省级三甲医院,医生看完情况后也觉得很奇怪,于是安排重新做了一次胸部增强CT,并且做了三维重建。
没想到这次检查发现了大问题。
发现了以往从来没有发现过的一个大问题。
这次胸部CT增强扫描,发现在患者的左侧胸腔里面有一条线性阴影,而且还挺长的。做了三维重建,的确是有一根细长的东西在肺里面,这不简单啊。

(第三次胸部CT)
这根细长的东西到底是什么呢?没有人知道。
但回顾患者以前的胸部CT,应该是一开始就有的,只不过之前它周围病灶太多,看不清晰,现在病灶少了一些,而且还做了三维重建,看起来就清晰一些了,能认出是一根细长的阴影,这肯定不是患者体内原本就有的,也不会是普通的感染痕迹,从来没有见过细菌或者病毒造成的感染能如此规整(一条直线型)。

(三维重建)
紧接着,患者的血里面找到了很多细菌。
患者脓毒症了。
这回大家都不再考虑是肺结核了。
问题是,肺里面为什么会有这个细长型的阴影呢,看起来像是一根牙签啊,一根大号牙签,比如说烧烤店里面那些羊肉串、牛肉串的竹签?
患者想起来了!
3年前,患者跟几个同伴喝多了,跟另外一伙人打了一架,大家喝得醉醺醺的,不记得为什么打架了,但也是从那次打架后,就开始有胸痛、咳嗽、发烧了,还记得当时有人拿着竹签就捅.....
很可能自己当时就被竹签捅到了后背,然后刺穿皮肤,直接进入胸腔了。由于体外没看到竹签了,也就一直没想到有这么一回事。
那就对了。
由于竹签本身不容易在CT上显影,因为密度不够高,如果是铁签,一开始就会发现了。现在之所以能发现竹签的踪影,应该是竹签周围有一圈炎症,炎症显影了,带着竹签的痕迹显出来(备注:请放射科的老师指正)
也正是由于这个竹签一直留在胸腔、肺内,所以彩会导致反反复复的感染,反复炎症,也有脓肿形成,从三维重建来看,竹签直接刺入了左肺动脉,时间长了就会影响了右心脏,导致右心符合增高,继而出现右心衰竭。所以患者会有胃肠道淤血表现,有胃口不好、腹胀等。
苦命的是,患者还一直被当做肺结核来治疗,还坚持了3年的抗结核治疗。
当然,这三年的抗结核治疗效果是不好的。
推理应该是这样的,证据呢?总不能剖口胸膛肉眼直视下看看是不是竹签吧?
还真是这样,如果真的要治疗,那也只能在稳定情况下,手术切开胸膛,把竹签去掉,否则炎症会一直存在。但这个手术又谈何容易。
患者此时已经很虚弱了,右心功能不全,甚至要出现功能衰竭了,能不能承受得起手术也是一回事。另外,这个竹签直接刺入了左肺动脉,要把它完整拿出来,势必要缝补肺动脉,动脉啊,可不是缝衣服那么简单。
虽然诊断几乎明确了,但是治疗难度相当大,加上患者现在情况不好,预后不是太理想。更关键的是,患者经济条件不好,没办法承受得起昂贵的住院、手术费用了。
他拒绝了进一步治疗。
回家后,他没办法进食了,1个月后,死亡了。
让人唏嘘不已。
由于病例比较复杂,时间迁延,涉及的东西比较多,诊断也不是100%肯定,可能会有医疗官司,于是做了尸体解剖。
做完尸检后,结果总算水落石出了,跟之前的推测一样,患者左侧胸腔、肺、血管里面有一根10cm长的竹签。

(大家看到这根致命的竹签了么?就是它!)
患者这么多年的发热、咳嗽、胸痛,不是肺结核引起,也不是肺癌或者其他病原微生物导致,而是这根因为斗殴意外进入体内的竹签。
这根竹签直接刺入了左肺动脉,所以一直有炎症、感染,因为竹签本身是不干净的,附带有病原微生物。所以反复引起脓肿。表现类似肺结核。
当初医生为什么误诊为肺结核呢?除了症状像,更重要的是胸部CT表现也像。我们说原发型肺结核的X线胸片表现为哑铃型阴影,哑铃大家见过吧?就是原发病灶、肿大的肺门淋巴结这两个看起来像哑铃的两端,而中间的引流淋巴管炎像哑铃中间那根铁(手握住的地方),就好像这样:

然后这个患者的表现也是符合的,因为竹签啊,这根竹签模拟了引流淋巴管炎的情况,两端还有脓肿病灶,看起来真的很像原发型肺结核,所以为什么几家医院都会以为是肺结核。

患者最终死亡了,分析死亡原因应该是长期竹签留在体内,反复炎症、脓肿、血栓形成,导致肺动脉发生变化,继而影响了右心功能,导致右心衰竭。最终发生了多器官功能衰竭。
没到最终,谁也想不到竟然会是一根竹签惹的祸。并且是一次醉酒斗殴引发的血案。
(本文完)
病例来源:中国医学科学杂志(英文版),竹签意外刺入胸腔引发的肺炎、多发性肺梗塞和肺脓肿:一例误诊为肺结核的病例报告(英文),原作者:瞿朋飞等人
本文是在原有案例基础上进行适当编译,如有侵权,请联系我删文。
李医生开通了工作微信,可以添加好友15920355911(微信号),然后拉入健康交流群。李医生朋友圈会经常发布很多有意思科普内容,喜欢朋友的也可以围观。由于人数较多,我很难一一回复大家的咨询问题,群内主要作为大家交流的群。如需付费咨询,请备注疾病咨询。
↓ ↓ ↓ 长按以上二维码,添加李鸿政医生为好友吧

↑ ↑ ↑ 长按以上二维码,添加李鸿政医生为好友吧
为了跟大家分享、交流,我们启用了另外一个公众号(Dr家庭医学),可以说是我的小号吧,那里我们会跟大家分享科学有趣、有料的家庭医学知识,希望能帮助到每个家庭、每个人。↓点击下方卡片即可关注!
喜欢这篇文章的话请点亮“在看” “点赞” | 坚持原创不容易,以示鼓励 | 让我们一起努力,一起奋斗 |点击“分享”给您的朋友,一起为健康努力!丁香园、网易号、一点号、微博  @听李医生说知乎、今日头条 、李鸿政Pro、趣头条  @李鸿政医生、抖音号  @李鸿政
到顶部