继续操作前请注册或者登录。

女子不想要二胎,差点因此酿成悲剧,医生回想起来都冷汗直流!


38岁女子,姓何。
何女士2天前开始觉得胸口不大舒服,也说不上太不舒服,就是有点闷,不大利索。想起去年体检时医生说她血脂偏高,血压也偏高,要警惕冠心病,一想到这她就有些慌了,难不成真的是冠心病来了?
本想去医院看看,但一想到医院人头攒动,就皱眉了。正好这天早上胸闷似乎也缓解一些,加上工作忙,又忘了这件事。
直至那天下午,何女士跟家里人(丈夫)闹了些小矛盾,生了一肚子气后,胸闷又来了,而且变本加厉地来。除了胸闷,还隐隐觉得胸口疼痛,上楼梯或者快步走路都会使得胸闷、胸痛加重。
何女士怕了。跟丈夫说,胸口不舒服,要上医院。
丈夫本来也是生闷气,但听到老婆身体不舒服,怕真出了问题,只好驱车来到医院。
急诊科。

何女士到达急诊科时,胸闷、胸痛似乎好一些了,但说话稍大声时又感到严重些,所以说话的声音都比平常小了几个分贝。
急诊科医生老马听到何女士有胸闷、胸痛,既往又有血脂血压偏高的情况,二话不说先让何女士躺下来拉个心电图再说,还怪她不应该自己开车来,应该叫120。
老马边给患者做心电图边问情况,问痛了多久了,怎么痛法,哪里最痛,以前有过这种疼痛没有。
何女士都小心翼翼地给了回答。
这是第一次疼痛,以前没试过这么严重的胸闷、胸痛,而且似乎活动度大一些胸闷胸痛就加重一些,我都不敢大声说话了。何女士跟医生诉苦。
一旁的规培医生也帮何女士量了血压,140/80mmHg,这个血压还行,稍微高一些吧,老马说。同时给何女士听了心肺, 似乎没发现太大异常。
心电图拉出来了,果然有问题。
心电图看到II、III、aVF导联,还有V1-V4导联的T波导致,而且ST段似乎压低一些。
这是心肌缺血的表现,老马告诉何女士,说不定你真有冠心病。为了安全考虑,得住院,去心内科好好看看。
心电图是个很普通的检查,但是能提供非常有价值的意义。能反映出心脏是否有缺血,是否有坏死,但何女士自己不会看,只有医生会看。所以医生说什么导联什么压低,她是一头雾水,但是冠心病几个字她听得清清楚楚。
严重么?不会要命吧?她胆战心惊地问老马,紧皱着眉头。
老马说这个情况不好说,得住院观察。你这个心脏估计有血管狭窄,就是冠状动脉狭窄,一旦你活动或者紧张的时候,心脏需要更多血液,而这时候狭窄的冠状动脉就供不应求了,所以心脏会缺血,心脏缺血地厉害了,就会产生疼痛和胸闷。这太常见了。有些人说不定一下子就猝死了。急诊科医生说。他说完这句话后看到何女士差点被吓到脸色苍白了,只好缓一缓语气,继续说,也有些人情况相对稳定,时好时坏,不至于发生严重的急性心肌梗死,但终归是需要治疗的。
何女士此刻脸色的确苍白了,不知道是被吓唬到了,还是真的是病情加重了。一旁的丈夫只好安慰她,说医生是把所有可能情况告诉我们,不一定就是急性心肌梗死,住院看看吧,就当放松一下。
是不是心肌梗死,除了看心电图,还要抽血化验心肌酶、肌钙蛋白,老马说。这些蛋白平时都是存在心肌细胞的,如果真的有心肌坏死,那么这些蛋白会漏出到血液,我们抽血化验就能看到它们的数量显著增高。
还好,后来抽血查了肌钙蛋白是正常的。就连心肌酶也都是正常的。
何女士看到自己正常的抽血结果后,才好好松了口气。
心肌酶、肌钙蛋白正常,不一定就是说一定不是心梗了,还得观察,因为指标升高得有个时间,晚点再复查。当然,即便这些指标都是正常的,你的冠状动脉估计都是有问题的,都是有狭窄的,得住院检查清楚。再决定需不需要放心脏支架治疗。
何女士本来轻松了一些,听到老马医生说可能需要放心脏支架,又被吓到了。
都是不一定的,住院再说。老马说。
很快规培医生把所有抽血化验结果都拿过来了,肝肾功能电解质都是正常的,凝血指标也是正常的,就连D-二聚体也是正常的。
这个D二聚体正常意味着什么你知道么,老马问一旁的规培医生。
D二聚体正常基本排除了肺血栓栓塞可能。规培医生回答。
老马点点头,认可了这个说法,一个患者胸痛胸闷,除了要考虑冠心病,还要警惕肺栓塞、主动脉夹层、气胸等等可能,这些都是可能顷刻毙命的疾病,不能耽误。急诊科医生要保持时刻清晰的头脑。
老马接着问他,D二聚体是怎么产生的知道吗?为什么它正常就能排除肺栓塞?
这点倒是问倒了规培医生。
老马解释说,如果患者真的有血栓栓塞了肺动脉,一旦血栓形成,机体马上会相应启动纤溶系统,目的是溶解血栓,这是人体进化那么多年来的平衡系统。血栓在形成瞬间,溶栓系统就开始了。一旦溶解了部分血栓,就会产生一些小分子物质,D二聚体就是其中一种。所以我们如果发现患者D二聚体升高了,那意味着可能有血栓形成了。当然,所有地方的血栓都可以导致D二聚体升高,不一定就是肺血栓栓塞。
规培医生边听边点头,责怪自己看书还是太少。
现在患者D二聚体正常的,我们也可以放心一些。应该不会是肺栓塞。
何女士最终被送入心内科,入院诊断是:冠心病、心绞痛。
入院的时候,心内科的医生再次给何女士查了心肺,没有太大异常。还复查了心电图,结果跟之前差不多。这时候何女士的胸闷、胸痛已经没那么明显了。但如果稍微走路活动一下,还是能感觉到胸口有些不舒服。
医生给何女士吃了阿司匹林、氯吡格雷抗血小板。还用了降脂药物。这些都是冠心病的常规治疗,阿司匹林、氯吡格雷的目的是预防血小板聚集,从而防止血栓形成,因为一旦血栓形成堵住心脏的冠状动脉,那就是心肌梗死了,必须要警惕,必须要吃药。
此外,还用了硝酸甘油,硝酸甘油是扩张血管的药物,尤其是能扩张心脏冠状动脉,这样一来就能缓解心脏缺血缺氧,缓解心绞痛。
果然,药物用了不久,何女士的症状缓解了不少,在病房里稍微活动也不会有太多不舒服了。这才没那么焦虑。住院期间,她丈夫忙前忙后也全身湿透了,何女士看在眼里,也难免有些感动,气也消了大半,情绪稳定后,胸闷胸痛就更是消失殆尽了。
医生说,看看这两天能不能安排做冠脉造影检查。冠脉造影能明确看清楚冠状动脉是否有狭窄,是否有斑块形成,狭窄程度有多厉害,能不能明确诊断冠心病,冠脉造影说了算。如果看到冠状动脉有严重狭窄,影响了血供,现场就可以植入支架,扩张开冠脉,从而缓解病情。
何女士前思后虑,最终还是答应做冠脉造影。
可就在住院第2天,何女士又出问题了。
这出乎大家意料。

那天早上何女士起床上厕所,突然就一个站不稳,狠狠摔倒在地上,头皮都磕破了,出了些血。这吓坏了她丈夫。
赶紧冲过去抱起她,喊了两句没见何女士答应,估计摔昏迷了,又赶着冲出病房大声喊护士医生。
护士医生听到呼喊后匆匆赶来。
等医生到达现场的时候,何女士已经悠悠醒来。她丈夫急的跟热锅上的蚂蚁一样,拼命问要不要紧。
医生赶紧把何女士搬上床,推入监护室。接上心电监护,紧盯着心率和血压、血氧饱和度等。
何女士已经彻底清醒了,观察神志、意识等没有多大问题,就是前额这里破了些皮,出了点血。可以查个头颅CT,看看有没有摔到骨折或者脑出血。医生说。
问题是,何女士为什么会摔到。医生反复问了她丈夫,也说不清楚,反正就是起来上厕所,然后就摔到了,没有任何前兆。何女士自己也是记不起来自己为什么会摔到了。
这不是个好信号。
心内科病人突然晕厥倒地,最怕什么?最怕心脏的毛病。严重的冠心病也是会导致心脏缺血然后心脏功能衰竭、大脑供血不足,然后会晕厥摔倒。但是这都得有个过程啊,心脏缺血的时候会有胸痛胸闷发作的,不会无端端突然就晕厥的。
所以不像急性心肌梗死。心内科医生分析。但为了以防万一,还是复查了心电图。还好,心电图真的没有发现急性心肌梗死图形。
那会不会是突然发生的心律失常呢?这是非常可能的情况。如果何女士在起床上厕所那瞬间突然发作恶性心律失常,比如室性心动过速或者严重的心动过缓,那是可以导致心脏功能显著受抑制而发生大脑缺血缺氧的,所以会晕厥。考虑到何女士有冠心病可能,那么这样的心律失常发作也不是没有可能。
大家对这个分析比较认可。
所以何女士得住在监护室,24小时心电监护看着,记录着,万一真的再次发生心律失常能及时发现,并且留下证据。
尽管不大方便,比如活动不方便,出入也不方便,但何女士还是答应留在心内科监护室。
重新量了个血压,血压偏低,只有90/50mmHg。
还有另外一种可能性,管床医生说,我们给患者用了硝酸酯类药物,这类药物能扩张心脏冠状动脉,增加心脏供血供氧。但它也能同时扩张身体其他血管,比如全身的动脉和静脉,这样一来,患者完全可能发生低血压,尤其是体位突然变动时更容易发生低血压,这叫体位性低血压,血压低到一定程度,患者会大脑缺血缺氧,一下子就会晕厥过去。
嗯,几个医生围在一起讨论何女士的病情,觉得体位性低血压可能性更高。讨论后让停了这药物,以免再次发生低血压可能。
但恶性心律失常的可能性仍不能排除,必要时完善相关电生理检查。主任发话了。
抓紧时间,看看明天能不能安排给她做冠脉造影吧,确定冠脉狭窄程度,看要不要植入支架。主任说。
做冠脉造影前,病人都先住在监护室,安全些。管床医生跟患者丈夫沟通了。
本以为停了硝酸酯类药物,患者就不会再发生事情了。
没想到,这天晚上意外再次发生了。
晚上22:00左右,何女士刚吃完丈夫送进来的糖水,突然又发生了晕厥,幸亏当时还是躺床上,所以何女士直接摔到在床上,没有造成二次伤害。
管床医生迅速冲到床边,呼喊何女士,重新量了血压,88/50mmHg,血氧饱和度仅有92%。不到20秒时间,何女士就自己苏醒了。醒来后,呼吸有些急促,何女士自己也害怕,一定要自己丈夫进来陪。
这次,管床医生提高了警惕。何女士这次发病,血压一直没有太低,最低就是目前这个88/50mmHg,这个血压一般不至于导致患者晕厥啊。难道患者对低血压特别不耐受,稍微低一些的血压都会晕厥么?
不大像。住院期间监测何女士的血压也经常有过90/60mmHg。所以今晚这个88/55mmHg的血压不会是导致晕厥的凶手。
那会是什么呢?心律失常么?也没有啊。整晚上心电监护都是很正常的,没有看到心律失常发生,心电监护也没有报警。为了确认不是心律失常,管床医生迅速翻阅了心电监护记录,这30分钟以内,心律都是正常的。
也不是心律失常导致的晕厥。管床医生自言自语,神色凝重。
管床医生眼睛又瞥到了心电监护的血氧饱和度,仅有92%的饱和度。赶紧给她吸上氧。他吩咐旁边的护士。
正常人的血氧饱和度应该有98%-100%,92%算是比较低了。

问题是,患者一直没有缺氧的啊,为什么现在血氧饱和度会低到这个程度呢?是真的低了还是测量不准?为了看清楚到底是不是真有低氧血症,管床医生拿来注射器,对准何女士的股动脉,直接抽了1ml动脉血,做床边血气分析。
2分钟后结果出来了,何女士动脉血里面的氧分压仅有55mmHg(正常90-100)。
我靠,患者真的是缺氧啊。即便是冠心病,一般也不至于导致低氧血症的啊。难不成肺有问题?管床医生提高了警惕。
管床医生此刻大脑正进行风暴。
以最快的速度在分析何女士的一系列问题,为什么会前后2次晕厥。而这次晕厥,既没有明显低血压,有没有严重的心律失常。
患者有胸闷、胸痛,又有呼吸偏促,现在还明确缺氧了,难道.....
管床医生想到这里,思维顿了一下。突然想到了昨天问病史时,患者说这2年来一直在口服避孕药,不想要二胎,所以一直在吃避孕药.....避孕药....长期吃避孕药那是会可能导致血液粘稠的啊,血液粘稠又完全可能导致血栓形成啊,万一这个血栓脱落了,流入肺动脉,岂不是肺栓塞了???
管床医生越想越怕。
难道患者有肺血栓栓塞症?(也就是肺栓塞)
可是入院就查了患者的D二聚体是正常的啊,而且一直都没有咯血、咳嗽等症状啊。真的会是肺栓塞么?
如果不是肺栓塞,又会是什么呢?万一真的是肺栓塞而没被发现的话,肺动脉很快就会被血栓堵住,血流会中断,那么肺泡里面的氧气就无法被送到心脏了,患者说不定很快就会因为缺氧而暴毙。
一想到暴毙,管床医生后背忍不住发凉,汗毛都竖起来了。上个月就有一个暴毙的患者,事后死亡病例分析认为是肺栓塞可能,可惜家属不同意做尸体解剖。
不管了,先按肺栓塞处理。先做个心脏彩超看看。刚好监护室有心脏彩超机子,管床医生让护士把机子推过来,准备立即做心脏彩超。
心脏彩超,顾名思义能看到心脏的功能和变化。
管床医生跟何女士简单解释了下,说现在要做心脏彩超。何女士都理解,尽量配合。虽然现在胸闷更难受了,呼吸偏促。
管床医生手脚麻利,三两下就把探头放在何女士的心前区。紧盯着屏幕。大气不敢喘。
这一看不得了,患者的整个右心都明显扩大了,包括右心室、右心房都明确扩大了。这是很明显的异常啊。要知道,患者今天早上做的心脏彩超还基本是正常的啊。
今晚怎么整个右心就扩大了呢。
肯定是出了问题。而管床医生也马上就分析得出了结论。
肯定是肺栓塞了!
人体心脏分左右,右心收集了静脉血,然后泵入肺动脉,肺动脉再细分为毛细血管,在肺泡处获得了充分氧气后,汇集为肺静脉,肺静脉的血回流入左心,左心再把血液泵给全身使用,全身使用后变成静脉血,回流到右心......周而复始。
现在右心突然增大了,只有一个解释,那就是右心流出道被堵住了,血液不容易流出去,自然会被滞留在右心,所以会撑大右心。右心流出道是什么?就是肺动脉啊。右心的血液首先要泵入肺动脉啊,如果肺动脉被血栓堵住了,右心是不是会变大?
肯定的。
虽然心脏超声看不到肺动脉有血栓,但明显看到了右心扩大,仅此也基本可以推断存在了肺栓塞。
必须再进一步做胸部CT血管造影,明确是不是真有肺血栓栓塞。如果真有,那就要马上给予溶栓治疗,只有即时溶解掉血栓,恢复肺动脉血流,才可能安全,否则会有性命危险。管床医生找患者丈夫,下了病危通知书。
管床医生的斩钉截铁,彻底吓坏了患者丈夫,却也得到了信任,他没过多犹豫,同意做CT,赶紧做。
获得家属同意后,管床医生急忙联系CT室,容不得耽误。
何女士也觉得越来越憋气了,现在被扣上了面罩吸氧,加大了氧流量,但监测到的血氧饱和度依然只有93%左右。
这tm真有问题啊。
紧急做了胸部CT血管造影,要注射造影剂的,可能会对肾功能有些损伤,但现在也顾不上了,万一真有副作用,再做处理。管床医生给患者家属签字的时候说。
结果出来了。
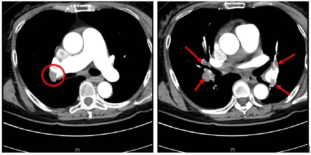
右肺动脉看到充盈缺损影!什么意思?就是说,造影剂流过肺动脉时,有一部分区域是没有造影剂的,造影剂绕过去了。为什么呢?只有一个解释。那就这里有血栓堵着。血栓不能直接在CT上显影。但是造影剂可以显影。正常的血管会充满造影剂,如果某一个区域没有造影剂,那就基本可以断定,这个位置被血栓霸占了。

(注:红圈及箭头所指,都是充盈缺损影,都是血栓,堵住了肺动脉,非本病人)
所以,何女士真的是肺栓塞。
管床医生既激动,又紧张。
也有刺激!
这要是自己没多个心眼,患者可就坏在自己手里了。想到这一茬,后背又是一阵发凉。
管床医生立即电话联系了上级医生,上级医生匆忙赶回来后,拍板给患者用了尿激酶。尿激酶是一种溶解血栓的药物,患者已经明确是肺栓塞,而且血压偏低了,这说明患者的病情很重,必须要及时溶解掉血栓,恢复肺动脉血流,才有机会。
溶栓药是肯定要用的。
问题是,尿激酶这种溶栓药也是一把双刃剑,如果剂量偏小,那就溶解不掉血栓。但万一剂量偏大了,极有可能导致大出血。如果是皮肤出血那倒没什么,万一是脑袋里面的血管出血,那就遭殃了,那就真的是偷鸡不成蚀把米了。
有风险,但还是要做。上级医生说。
跟患者本人说了,也跟家属说了,都签了字,同意溶栓治疗。
管床医生看着护士小心翼翼地把药物推入患者的静脉,他大气都不敢喘。
眼睛盯着心电监护,血氧饱和度仍然只有90%。心率120次/分,血压90/60mmHg。管床医生眼睛都没眨,一直盯着何女士。
不到30分钟时间,何女士的呼吸频率逐渐降低到25次/分,后来降至了20次/分。血氧饱和度也提高到了95%,98%。
心率也降至了80次/分。
一切都向好的方向发展了。
何女士自己也舒缓下来了。
管床医生的小心脏也终于落地了。上级医生过来看时,面无表情,不露声色,只说了一句,缓解了就好,继续观察,别整出脑出血就好。
第二天查房时,何女士基本恢复如常了。
倒是皮肤出现了一些瘀斑,这肯定是尿激酶的副作用了,管床医生分析。幸运的是,何女士一直很清醒,没有脑出血的任何迹象。
再也没有晕厥。也没有胸闷、胸痛发生。
再拉心电图时,患者的心肌缺血表现也都消失了。
回过头来分析,患者的冠心病是假的,那是因为肺栓塞缺氧而引起的继发性改变。可是,为什么患者一开始的D二聚体是正常的呢,又为什么第一次心脏彩超没看到肺栓塞迹象呢?
嗯,不好解释。可能是一开始血栓不严重,或者是没到D二聚体升高的时候。也可能是血栓分几次形成或者脱落,才导致反复发生了晕厥。
好的,接下来要解决另外一个关键的问题。何女士为什么会发生肺栓塞呢?
大多数情况,肺血栓栓塞症的血栓都是来源大腿深静脉。一旦大腿深静脉形成血栓,这些血栓什么时候不牢固了,脱落了,就会随着血液回流到肺动脉,堵住肺动脉,那就是肺栓塞了。
那么,为什么患者的大腿深静脉会有血栓形成呢?
原因很多,骨折、长期卧床、长期使用避孕药、恶性肿瘤等等因素都可能导致血栓形成。而何女士,为了避免二胎,这两年一直以来都在口服避孕药。
嗯,或许这就是根源。
就在管床医生信心满满地给何女士做下肢血管彩超试图找到深静脉血栓时,结果却让他大失所望,何女士的双下肢静脉并无血栓形成。
的确让人失望。
那这个血栓从何而来呢?管床医生无法解释。主任也解释不了。只能让何女士停了避孕药,吃一段时间抗凝药,预防血栓形成,预防再次发生肺栓塞。
而这,可能又引出另一段故事了。
最后,长期口服避孕药是避孕的常用方法,一般没问题的,大家不要太紧张。该用药避孕的时候就用药避孕,没问题的。但李医生认为,男士用避孕套可能会是更加健康的方法。
祝好。
(完)
最后,为了在特殊时刻还能跟大家分享、交流,我们启用了另外一个公众号(Dr家庭医学),可以说是我的小号吧,那里我们会跟大家分享科学有趣、有料的家庭医学知识,希望能帮助到每个家庭、每个人。喜欢的朋友扫码关注,谢谢大家!

喜欢这篇文章的话请点亮“在看” “点赞” | 坚持原创不容易,以示鼓励 | 让我们一起努力,一起奋斗 |点击“分享”给您的朋友,一起为健康努力!
丁香园、网易号、一点号、微博  @听李医生说
知乎、今日头条 、大鱼号、趣头条  @李鸿政医生
到顶部