知名男星体重暴涨40斤,身体亮红灯:放纵欲望,终会慢慢拖垮你



终身成长词典已上线1606/10000词条
今天是精读君陪伴你终身成长的第2745天
 
1
最近,在网上看到一段视频,视频曝光了知名男星郑恺的饭量,相当惊人。
 
视频中,郑恺正在用餐,记者看到桌上一人食的饭菜,有些惊讶地问道:“恺哥,你每天都吃这么多吗?”
 
不料,郑恺淡定地回复道:“不是每天,是一顿。”

记者再次询问一天有几顿,郑恺毫不掩饰地说:“一天有5顿。”

有没有被惊讶到?
 
看看桌面上摆放的食物,除了一碗米饭,还有7碗配菜,以及一大碗的汤料。
 
不夸张地说,两个食量中等的成年人,一顿饭能吃下这些就算不错了。
 
果不其然,在连续过度饮食两个月后,郑恺从人人称赞的“小猎豹”,变成了身材发福、大腹便便的中年人。体重也从原先的130斤,飙升到170斤。
 
体重暴涨40斤的同时,郑恺坦言,他现在血脂血压、内脏脂肪全部已经超标,平时还有点高血压的反应。

更严重的是,现在连喘口气都有点堵着脖子的感觉,让他十分不舒服。
不得不说,当一个人放开了吃,丝毫不加节制,他的身体迟早会亮起红灯。
 
但幸运的是,郑恺的过度饮食虽有意为之,却也是为了新戏角色的需求。
 
一段时间的放纵,已经让他不堪重负。
 
但生活中却有太多人,明明清醒地知道过度放纵自己带来的伤害,却还是义无反顾地深陷其中。
 
2
春节前,广州一名29岁男子因剧烈腹痛进了医院。
 
一开始男子以为只是“吃坏了肚子”,就吃了几片治疗急性肠胃炎的抗生素片,不料疼痛越来越厉害。
 
随后,脸色渐渐变得苍白,满脸是汗,就连呼吸也变得急促。
 
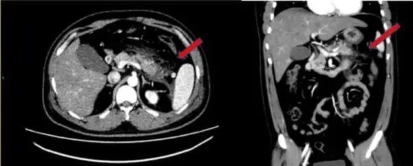
就医后,医生抽血化验,发现男子血液在试管中分层明显,上层竟悬浮着油脂样的乳糜血。

 
腹部增强CT提示胰腺尾部肿胀,胰腺周围脂肪间隙模糊,多发斑片状。

 
血压检验更是标注多项指标异常,甘油三脂高达44.49毫摩尔/升,是正常人近25倍,胆固醇是正常人的近3倍。
 
医生检查后断定,男子所患的是急性坏死性胰腺炎和2型糖尿病伴酮症酸中毒。
 
许多人诧异,从未有过糖尿病史和高脂血症病史的男子,怎会突然患上如此严重的疾病?
 
经过多番了解,真相才浮了出来。
 
男子平日饮食不规律,且喜欢暴饮暴食。春节前夕聚会,朋友为了投其所好,点了一桌子他的“最爱”,猪手、牛杂等满桌食物下去,彻底压垮了他的身体。
 
虽然深知自己饮食习惯不好,但男子还是对自己患上如此严重的疾病心有余悸。
 
尼尔·波兹曼在《娱乐至死》中说:“毁掉我们的不是我们所憎恨的东西,而恰恰是我们所热爱的东西。”
 
放纵自己,肆无忌惮地享受那些美食,你终会被欲望所拖垮。
 
相反的,克制欲望,有节制有规划地迎接生活,人生才会渐渐走向佳境。
 
 
3
前段时间,在《亮剑》中扮演“孙德胜”的演员江水,在某短视频平台晒出了自己的近况,惊艳了众人。
 
视频中,刚健身完的江水秀出了自己完美的身材。

 
作为老戏骨,江水满身的肌肉让他看起来十分健壮,轮廓分明的腹肌让他的身材丝毫不输给那些长日葛优躺的年轻人。
 
视频发出后,众多粉丝感到自愧不如。
 
拥有如此众人羡慕的身材,其实都来自于江水长年累月对自己严格的身材管理。
 
江水常常在社交平台晒出自己的健身日常,除了拍戏时间,他每天都会坚持几个小时的健身。

 
如今,极致自律带给他的,正是他人遥不可及的完美身材与健康体魄。
 
《依恋心理》说到:趣味不分高低贵贱,但一定有消耗和补充型两种。
 
胡吃海喝、任性妄为,就是一种消耗型趣味,它能带给你一时的满足。但如果长期沉迷其中,只会慢慢消耗你的身体。
 
相反的,坚持健身、努力锻炼就是一种补充型趣味。当你坚持做了,或许一开始你会觉得有些不适,但只要长期投入,它带给你的惊喜绝对超乎你的想象。
 
只有补充型趣味,才能让我们的人生,越来越晴朗。
 

 
4
有一个值得我们关注的概念,叫做双曲贴现。
 
它形容人们的贴现决策,类似于双曲线,说的是:多数人宁愿要金额较小的眼前酬劳,也不要金额较大的日后报酬。
 
我们都知道,黑猩猩最喜欢的食物是香蕉。于是,研究员制定了一个规则,他给每只黑猩猩分发了一个干果。
 
如果哪只黑猩猩能够忍住20分钟,不吃掉手里的干果,它就能用干果换取一只香蕉。
 
这群黑猩猩大部分缺乏忍耐能力,贪婪地吃掉了到手的干果,仅有几只黑猩猩一直努力克制自己。
 
后来,这些具有强大克制力的黑猩猩,获得超值的回报,拿到了香蕉。
 
多数黑猩猩,为了眼前的干果放弃了好吃的香蕉;只有少数黑猩猩,理性决策,最终得到了香蕉,这就是双曲贴现。

 
试想一下,现实生活中:
 
你是愿意大快朵颐地享受一场美食,还是克制自己,坚持绿色饮食以换来健康的身体?
 
你是愿意立即看一场电影获得足够的感官刺激,还是练字三个月换来一手漂亮的书法?
 
你是选择立即看一部电视剧消遣多余的时光,还是愿意读一本有难度的书获得思维的碰撞?
 
放纵欲望,及时行乐,这是多数人的倾向,因此,双曲贴现的现象,发生也很普遍。
 
可是,唯有时刻关注并对抗自身的双曲贴现倾向,才能拥有更好的人生。
 
作家廖一梅在《悲观主义的花朵》书中说道:
 
“如果你不相信克制是通向幸福境界的门钥匙,放纵肯定更不是。”
 
低级的欲望,也许放纵就能获得;但高级的欲望,只有自律才能得到。
 
共勉。
↓免费试读《终身成长词典》前30个词条
到顶部