屁股塞2斤金条、菊花藏8部手机…人类对肛门的探索太可怕了!



走私黄金,在印度海关人员看来不是什么新鲜事了。
总有人为了逃税,想要把金子悄咪咪地从阿拉伯国家带到印度。金子藏哪儿的都有,巧克力盒、钱包、雨伞、钢笔…
但最近有个走私犯不走寻常路,他把金条藏进了屁股里…

价值4.6万英镑的2磅(约2斤重)黄金都塞进去了,如果大家对2斤重的黄金到底有多少没啥概念,
这是海关人员拿出来的金子照片。

据说,当时这名男子是因为在机场走路姿势非常诡异,所以被工作人员拦下来进行了检查,这才发现了黄金。
Emmm…难以想象那是怎样尴尬的场景。
见多识广的网友都震惊了:
“那么多金条塞进体内,他居然还能走。”

“他到底是怎么能把这些都塞进去的啊?”

“看着都疼!!”

“拥有黄金屁股的那个男人。”

同样是菊花“偷渡”,这位印度男子能藏2斤金条已经让人大开眼界,但事实证明,人类的能量超乎你的想象。
上个月,巴西某监狱一位男性囚犯肛门中被发现有8部带电的手机,4根USB线,7个手机芯片还有1根充电器电线…
他当时是刚到达监狱,接受电子检查,体内的电子装置直接被扫描仪显示出来了。
好家伙,这琳琅满目的电子产品,感觉在监狱里开个手机店都不成问题了。

他这也是靠“非法偷渡”挣钱,把这些手机、充电线都包好了塞进屁股,通过人体运送进监狱,分给需要的狱友,交易完成之后他就能得到一笔相应的钱。
说是手机店好像也没什么不对??
最后这个男囚不需要医疗帮助,自己把8部手机、充电线啥的都排出来了。

围观了这条新闻的网友表示:自行排出?看上去业务好像很熟练的样子…
这两个人的目的都是进行违法行动,除了他们这种“肛门非法偷渡”之外,大千世界,茫茫人海,总有人对直肠的承受能力有着无尽的好奇心,想要往屁股里塞各种稀奇古怪的东西。
《互联网外科杂志》有云,“纵观历史,从直肠里取出来的各种物品,几乎都是超出想象的。”

有多超出想象呢?前方即将出现一波令人迷惑又隐隐作痛的X光片。
▷一个玻璃杯
根据《外科年鉴》报道,一位来自密西西比的72岁老农民在附近的垃圾场拉屎。
突然间他的木腿(指木制假肢)折断,导致他“重重地”摔在了玻璃瓶上。
就…挺突然的。

▷活鳗鱼
一位50岁老人被怀疑患有腹膜炎,去到急诊室就诊,结果X光片上显示出了鳗鱼的阴影。
他的腹痛其实是鳗鱼咬了他的结肠导致的。
后来这位老人承认,他把这条50厘米的鱼插入体内,是为了缓解便秘。

▷速溶咖啡罐,盖子上还有别针
一名男子把一罐速溶咖啡塞进了自己的直肠,而这个咖啡罐盖子内部的橡胶部分还插着很多别针。
他没说为啥要这么做。
从此人类的未解之谜又多了一个。

▷屁股里塞了半年的振动棒
性玩具很明显应该是最容易被卡进屁股里的东西了,但总有人能够超越极限。
根据《澳大利亚医学杂志》报道,1979年,一位64岁男子把一个振动棒留在体内放了半年,医生才帮他取出来。
他就保持着体内有“异物”的状态,坚持了一次世界旅行,让那个振动棒成为“世界上旅行次数最多的直肠异物”。
真是一项值得骄傲的世界纪录。

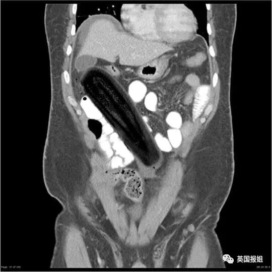
▷西葫芦
在一位50岁男性的腹腔内,可以看到这颗19厘米长的蔬菜,顶端紧挨着胆囊。
研究这个案例的医生们发出了讨论:
到底是使了多大劲儿,才能用一个圆钝的蔬菜怼到直肠穿孔。

▷一个大啤酒杯
这位不愿意透露姓名的男士,坚称自己把啤酒杯塞进屁股里,是为了“减轻便秘。”

▷一个瓶子
这位60岁男士同样是为了缓解便秘,才试着把瓶子塞进去“以毒攻毒”。

▷两个鸡蛋

▷打蛋器
或许,跟上面那个塞鸡蛋的可以认识一下?

▷磁带

▷橘子
谁说水果一定让你身体好的?(狗头.jpg

▷圆茄子
研究案例的段子手医生表示:
圆茄子的形状意味着,一旦它的赤道(也就是最宽的部分)挤进了肛门边缘,它就会有往上窜的趋势。
而当这种情况发生的时候,嗯…就意味着你要去急诊室了。

▷橡皮拳头

▷花生酱罐

▷台球
警告:晚上裸体打台球,可能会导致严重伤害。

▷375mL的气泡饮料瓶

很明显,在说到肛门这一片“新天地”里发掘过什么稀奇古怪的东西,医护人员是最有发言权的。
面对网友真诚的提问——你们见过卡在屁股里最疯狂的东西是什么?医护人员们纷纷踊跃发言。
“一个密封塑胶袋,里面有一个铝制水瓶,和一个棒球。”

“曾经有个哥们儿进来急诊,说自己肚子疼、直肠出血。
刚开始还以为是憩室炎或者某种胃肠道溃疡出血,他被收治并进行了检查。
结果居然是,他把三支笔和两把黄油刀塞进了屁股里。
当被问到这件事的时候,他声称对于自己屁股里怎么会有这些东西完全不知情,
他肯定是‘洗完澡之后不小心滑倒在这些东西上了’。”

“我岳母在当地一家医院工作,有个哥们儿一年要做几次手术,因为他一定要把芭比娃娃的头塞自己屁股里,完全停不下来。”

“带盖的剃须膏。”


“世界各地,每个X光部门都有一个活页夹。
里面有很多照片,照片上都是一些明显不属于人体的物品在人体内的样子。
这些活页夹是由X光部门高贵体面的男人女人们策划出来的,他们小心谨慎地保存着我们这个物种的肛门历史。”

谁看了不说一句,人类真奇妙…
最后,还有一个可以说最奇怪的故事。
一对同性恋人在一次啪啪啪过程中,决定尝试点不一样的新刺激,于是一个人躺下,让另一个人用漏斗把液态水泥倒进了肛门。
水泥不能长时间保持液态,当水泥硬化后,它就变成了巨大的水泥团,必须要手术才能清除。

这些迷惑又诡异的案例,让人不禁再一次感叹人类的奇妙,不过有一说一,如果大家某天也不小心洗澡的时候滑倒了,
屁股“正好撞上了什么东西”,还是要及时就医,直肠有异物很危险的。
当然,别滑倒把东西怼进屁股里,那就更好了~
Source:
https://metro.co.uk/2016/10/06/11-of-the-most-bizarre-foreign-objects-found-up-peoples-backsides-6175049/
https://www.ems1.com/trauma/articles/29-shocking-x-ray-images-of-rectal-foreign-bodies-eyiQeBMZDdkX2rvK/
https://www.cantuemfoco.com.br/2020/09/preso-e-flagrado-com-8-celulares-cabos.html
听说
把【报姐】设置为 ☆星标☆
更容易抢到C位哦 ~


到顶部