为什么有的人会“看见鬼”?



老冯开通了人生、家庭、亲子、情感、就业、创业等问题的咨询服务,已经帮助很多读者朋友排忧解难,咨询费199元/20分钟(如此类推,可以延长),如果您需要老冯为您出谋划策、提供参考意见,请加下面这个微信并表明来意:

 

老冯我跟大家分享我十几年前有一回看见“鬼”的经历。
 
这篇小文对你会有启发,且能增长见识,建议耐心读完。
 
十几年前的一天晚上,我睡到凌晨两三点的时候,突然感到有重物压着我,我在惊慌中看到一个黑色人影,从我床前走过,我想挣扎着起来,但起不来,总觉得有什么东西压着我。
 
片刻,那黑影在窗台前站了一会,消失了,我身上的重物感,也缓解了,于是,我起床,把所有的灯都打开,没敢再睡,一直睁眼到天亮。
 
当时我有个朋友,是三甲医院神经内科的医生,于是,第二天,我去找他,说了这事。
 
听我讲完我的“见鬼”故事,医生朋友不假思索地告诉我:睡眠瘫痪症。
他说,比我这个病例恐怖得多的病例,他早已司空见惯,都可以从医学上解释,而且,基本上都能治疗。
 
他告诉我,“睡眠瘫痪症”就是“鬼压床”,又叫梦魇,是一种轻微的、而且是常见的精神疾病,主要和压力过大等因素有关,而至于我在睡房里看到的那个“鬼”,其实是我在梦中看到的景象,但是由于“睡眠瘫痪”之故,我的大脑和身体尚未完全苏醒,所以,梦境被“投射”到了“现实”中。
 
简单地说:由于患上“睡眠瘫痪症”,我“看到”了自己的梦。
 
说得更清楚一点,我“看见”的“鬼”,其实并不在我的睡房里,而是在我的大脑里。
 
一切,都是人的大脑,想象出来的。
 
被医生朋友一解释,我恍然大悟。
 
那一刹那,我对“隔行如隔山”这五个字的理解,被刷新了。
 
医生朋友还说,像我这样的病人,他见得多了,“睡眠瘫痪症”并不是什么大病,我“看见”的也不是什么“鬼”,人的脑子是机器,凡是机器,都会出错。然后,医生朋友给我开了一些改善睡眠的药,后来,我就再也看不到那些“东西”了。
 
我本来就不太相信世上有“鬼”,那回经医生朋友启蒙,后来就更是不信。
 
我这人的好奇心和求知欲,特别强,当时我还在香港上班,使用互联网特别便利,那次“见鬼”的经历,使我对人类“见鬼”这类现象,产生了打破砂锅问到底的心理,结果一搜,哇,发现了一个全新的世界。
 
原来,“见鬼”这种事,在全世界神经内科的临床实践上,早就是一个常见现象,而且还有一个专业的叫法,叫“幻视”。
 
而且,各国医学界对“幻视”这种病,早有研究,对这病的发病机理,早就弄清楚了,而且,早就有了成熟的治疗方案。
 
原来,人类出现幻听、幻视(见鬼)的常见病因,出了“睡眠瘫痪症”(梦魇)以外,还有一个病因,那就是:
 
大脑颞叶受损
 
是的,大脑颞叶受损,有时候会导致病人“看”到不存在的事物。

大脑颞叶位置图,这个脑区受损,会产生幻听幻视(见鬼)
 
北京大学第一医院神经内科主任黄一宁教授,曾经接到过一个病人,这个病人很生猛,他在自己家里“看见”了逝去的亲人,属于典型的“见鬼”。
 
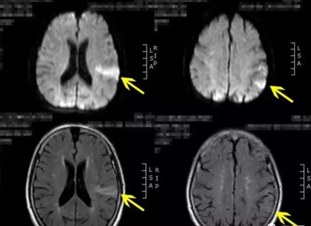
黄一宁教授对该病人的大脑做了MRI(磁共振成像),发现病人的颞叶,存在明显的缺血病灶,翻译成人话来说就是:病人大脑的颞叶区,发生了局部脑梗,导致脑功能失常,以至于产生了幻视。

如图,“见鬼”患者颞叶可见明显缺血病灶,简单地说,就是局部脑梗,导致出现幻视
 
而有趣的是:大脑的颞叶区失常之后,大脑就会从人脑记忆的“数据库”里,胡乱找出来一些影像信息碎片,然后,杂乱无章地拼接到一起,所以,病人就在自己的大脑里,“看”到了在客观世界上不存在的影像,这,就是“见鬼”的原理。
 
以下这个视频,是北京大学第一医院神经内科主任黄一宁教授,在一档科普电视节目里,讲解他的病人因为大脑颞叶受损引起幻听幻视(见鬼)。
再举一个例子。
 
北京清华长庚医院神经内科主任医师武剑在北京电视台《健康北京》栏目,对全国观众讲述了他接到的这么一个病例:

武剑主任医师,讲述自己接治“见鬼”病人
 
有个病人,是个老年人,她在自己的卧室里,看到了“鬼”, 武剑医生对病人的大脑做了磁共振拍照,果然,又是发现,这个病人大脑的颞叶,存在缺血性脑梗,也就是说,又是颞叶受损,导致大脑产生的幻视,也就是俗称的“见鬼”。
 
由于身体机能下降之故,老年人大脑颞叶受损的几率,远高于常人,这就是为什么民间自古以来有一种说法,说一个老年人一旦看见了“不干净的东西”,往往离去世之日就不远了。
 
其实,这是合理的,而且在医学上早有解释:罹患重大疾病晚期的老年人,由于身体机能急速下降,大脑颞叶受损的几率剧增,产生幻听、幻视(见鬼)的概率,自然远高于常人。
再举一个例子。
 
去年(2020年)广州三九脑科医院,接到一个来自肇庆市的60岁病人,男性,姓陈,这个陈叔同样生猛,他声称天天都“见到鬼”。
 
广州三九脑科医院对这个陈叔进行拍照之后,发现:病人左侧颞叶动静脉畸形。
 
果然,又是大脑颞叶出的问题。
 
于是,广州三九脑科医院给陈叔进行了“动静脉畸形栓塞术”,联合放疗科行放射治疗右侧丘脑动静脉畸形等疗法,治疗效果理想,出院之后,陈叔不再“看见鬼”了。
 
总之,现代医学上,已经有很多这样的病例:很多人声称“看见鬼”,查来查去,发现就是大脑这台“机器”,出了“故障”,而且重要的是,绝大多数,都能治好。
 
还有一个典型的人群,也是经常“见鬼”的,这个群体,就是精神病患者,尤其是精神分裂症患者,这类人也经常“看”到各种在世界上不存在的人物和事物。
 
所谓“见鬼”现象,精神病院是典型的重灾区,不过,并不是精神病院周边“鬼”多,而是精神病患者脑子里的“鬼”多,也就是说,精神病患者“看到鬼”,也是因为脑子出了问题,他们“看到”的东西,在客观世界是不存在的。
 
凭什么这样说?因为临床医学,早已无数次证明:精神病患者的幻视(见鬼)现象,经过服药之后,是可以消除和缓解的。同理,颞叶受损的脑梗患者的幻视(见鬼)现象,经过规范治疗之后,一般也不会再“看”到那些“东西”了。
 
此外,中国古话也说,小孩子更容易“看到不干净的东西”,这个现象,其实在科学上,也早已得到解释:因为颞叶是人的大脑发育较晚的一个部位,有的儿童颞叶发育不完全、不成熟,儿童的认知功能就不完整,容易产生幻听、幻视(见鬼)的现象。
 
除此之外,人类还有一些场合可以产生幻视(见鬼)现象,例如人类误吃某些毒蘑菇,会看到穿着五彩衣服的人物,在身边跳舞,这个在全球各地医院,早就有很多这一类的病例。
 
下面这个视频,就是一个误吃了毒蘑菇的病人,讲述他自己在中毒期间,看到各种“五彩小人”、马牛羊等各种幻象:
好,写到这里,老冯给大家小小总结一下:
 
总结一:“睡眠瘫痪症”是人类“见鬼”的常见原因,简单地说,就是人在大脑和身体处于半梦半醒之间的状态,会“看”到自己的梦内容,也就是说,把梦的画面和现实世界混淆了。
 
总结二:在非睡眠状态下,人类“见鬼”现象在神经医科临床上早已屡见不鲜,其中最常见的病因,就是大脑颞叶受损,导致大脑胡乱拼凑记忆库的信息,导致在大脑中“看”见“鬼”。
 
总结三:重大疾病晚期患者(最典型的是老年人)身体机能下降,发生颞叶受损等大脑出错的机会远高于健康人,所以,相当于年轻人而言,老年人(尤其病人)更容易“看见鬼”。
 
总结四:儿童大脑颞叶发育不完全,认知功能不完整,所以,相对于大人而言,儿童更容易发生幻听、幻视(见鬼)现象。
 
总结五:某些毒蘑菇吃了之后,损伤大脑功能,也能使人“看”到不存在的事物。此外,某些吸毒人员,也有类似的体验。
 
注意,老冯这篇小文,并不能充分证明这个宇宙中没有鬼,而只是跟大家分享一个简单的事实:幻视(见鬼)现象,在现代神经医学的临床经验里,其实是一个常见的现象,而且科学研究早就证明了:人类大脑颞叶受损,可以导致幻听、幻视(见鬼)症状的产生。重要的是,这是病,而且是可以治疗的。今天公众号次条以下,是老冯为您精选的好茶、好酒、好书,这些好货的销售平台叫“一条生活馆”,是中国著名头部电商平台(客服电话4009206008),正规商家,选品一流,您可以放心下单,“一条生活馆”的提成,是老冯主要收入来源之一,请您多多支持老冯,感谢您!
到顶部