继续操作前请注册或者登录。

“阳”后肺变白了是什么原因造成的?



近期随着新冠重症高峰的来临,坊间出现越来越多“肺变白了”的症状,而且有不少病例因此症状导致死亡。那“阳”后肺变白了到底是什么原因造成的?
为什么“阳后”肺变白了
肺变白了(俗称大白肺)是一种通俗的说法,通常指的是临床上非常重的肺部感染,死亡几率非常高,大多见于病毒性肺炎,肺间质纤维化。
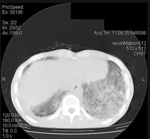
正常情况下,拍摄CT和X光片时,我们的肺在影像片上显示是黑色的。这是因为肺里面是我们吸入的空气,空气容易被X光穿透。所以,正常的肺在X线下,看起来是黑色的。如果肺里有炎症、有液体渗出,或者有占位性病变、有实变,导致肺内的气体减少,拍片的时候,X光不容易透过去,整个肺看起来就可能是白色的。这类患者往往病情危重,有生命危险,专业术语称为重症肺炎,俗称“大白肺”。

新冠肺炎病情恶化时,会出现以深部气道和肺泡损伤为特征的炎性反应。大量炎性渗出以及肺的实变,就会出现“大白肺”的情况。也就是说,新冠肺炎重症的患者肺里有较多黏液分泌物,这些分泌物将小气道堵塞,气体就无法进入到肺内。临床上的主要症状是患者会感到明显的缺氧,呼吸费力,经手指末梢测得的血氧饱和度逐步下降,随病情加重直至呼吸衰竭而死亡。
“大白肺”会有什么症状
临床症状上比较典型的是呼吸困难,尤其是患者在干体力活或者是在活动之后会加重,可伴随有喘息、气促、气短、乏力,甚至精神萎靡的症状。
严重可出现有呼吸窘迫,导致低氧血症合并有高碳酸血症引起呼吸衰竭的表现。而且患者容易出现营养不良,导致消瘦。此外随着阻塞性肺气肿的发展,肺泡的弹性回缩力下降,肺功能失去正常的状态,尤其是在合并有感染时,容易出现咳脓臭痰,喘息症状加重,甚至有咯血,而且有体温持续升高的症状。
近期,有不少人阳转阴后依旧咳嗽、气短、胸闷、活动多一点就喘,到医院一检查,发现病毒已侵犯肺部,已经变成白肺了。因此,如果出现上述症状,请一定要及时到医院拍【低剂量螺旋CT】检查一下,看看是是否已经转为肺炎,因为白肺是重症的一个重要标志,而一旦转为重症,死亡率是极高的。
END
往期回顾
REVIEW
“阳过”后警惕病毒性心肌炎
年轻博士居家隔离时高烧昏厥去世!| 出现下列症状一定要及时去医院治疗
癌症科普:什么是原位癌、微浸润癌、浸润癌
点击阅读原文进入【防护专区】
少量现货血氧仪、口罩、甘草干姜汤...欲购从速
到顶部