最新:新型冠状病毒感染肺炎确诊217例!从病情病理到口罩选择,大众该如何预防?



       春节临近,这场原本淡出公众视野的疫情再次进入了人们的视野。本以为会消失却似乎有蔓延趋势的新型冠状病毒疫情扰乱了每一个中国人的春节计划。
       今天,距武汉华南海鲜市场发现首例新型冠状病毒已近一个月。昨日(1月20号),北京、广州等地突然出现新发新型冠状病毒肺炎病例,截止至1月20日19:00,武汉新增198例。境内新型冠状病毒感染肺炎确诊217例。国家卫健委表示,专家研判认为当前疫情仍可防可控。但新型冠状病毒传染来源尚未找到,疫情传播途径尚未完全掌握,病毒变异仍需严密监控。
 
       疫情时间线梳理
      2019年12月31日:武汉市卫健委第一次发布“不明原因病毒性肺炎”通报,发现 27 例;
      2020年1月8日:初步确认了新型冠状病毒为此次疫情的病原;
      2020年1月14日:世界卫生组织(WHO)正式将引发此轮肺炎的病毒命名为2019新型冠状病毒(2019-nCoV);
      2020年1月16日:日本国内发现首例感染新型冠状病毒的病例;
      2020年1月17日:泰国公共卫生部表示,发现第二例新型冠状病毒感染病例;
      2020年1月18日:武汉新型冠状病毒感染肺炎患者增至 121 例;
      2020年1月19日:武汉新型冠状病毒感染肺炎患者增至 198 例;
     截至2020年1月20日18时:境内累计报告新型冠状病毒感染的肺炎病例224例,其中新型冠状病毒感染肺炎确诊217例(武汉市198例,北京市5例,广东省14例)。
        正值春运大潮,武汉逐渐呈爆发式的病例和多个异地确诊病例让人们充满了焦虑、疑问甚至恐慌。为了让大家对新型冠状病毒有所了解,我们根据WHO官方信息进行梳理和整合,希望帮助大家更直观地了解疫情做好预防措施。

   1.武汉疫情的传染源来自哪里?
     推测来自野生哺乳动物,食用野味。
   2.什么是冠状病毒和新型冠状病毒?
       冠状病毒是自然界广泛存在的一类病毒,因该病毒形态在电镜下观察类似王冠而得名。目前为止发现,冠状病毒仅感染脊椎动物,可引起人和动物呼吸道、消化道和神经系统疾病。
       新型冠状病毒(nCoV)是一种先前尚未在人类中发现的新型冠状病毒,如此次中国武汉的新型冠状病毒2019-nCov。

     新型冠状病毒2019-nCov
   3.新型冠状病毒和SARS非典一样吗?
       冠状病毒是一大类病毒的总称,在此次武汉肺炎之前,已知就有6种可以感染人类的冠状病毒。其中4种在人群中较为常见,致病性低,一般仅引起类似普通感冒的轻微呼吸道症状。另外2种就是大家熟知发生在广东的SARS冠状病毒和韩国的MERS冠状病毒,这两种冠状病毒比较严重。
       此次的新型冠状病毒2019-nCov,据专业人士对其的基因序列分析,初步判定其与SARS整个基因组的相似度在80%左右,但相似性较高并不意味着毒力或传染性相当。根据目前已知的病例情况来看,此次病毒传染性和致死率远比SARS病毒低,根据武汉卫健委通报,截至1月19日22时,死亡患者3名。

           
   4.感染的患者临床会有什么症状?
      一般来说,感染冠状病毒的人通常会得肺炎,并引发一系列呼吸系统症状。依照目前临床数据来看:
       一般症状:发热、乏力、干咳、难逐渐出现呼吸困难。部分患者起病症状轻微,可无发热。
       严重者:急性呼吸窘迫综合征、脓毒症休克、难以纠正的代谢性酸中毒、凝血功能障碍。
       多数患者为中轻症,预后良好,少数患者病情危重, 甚至死亡。

           
    5.此次新型冠状病毒感染患者有什么特点?
       从武汉市目前确诊的病例统计来看,以男性为主,中老年发病人数较多。病例早期都以发热和咳嗽的症状为主,年龄较大、体质较差、有基础性疾病的患者,比较容易发展为重症。
      根据现有病原学研究和流行病学调查的初步结果显示,大多数病例与华南海鲜批发市场暴露相关,少数病例否认有华南海鲜批发市场暴露史,个别病例曾接触过类似病例。目前未发现社区传播。

冠状病毒系统发生树(图片来源/中国疾控动态)
           
    6.此次新型冠状病毒疫情是人传人传播吗?
       此次武汉发生新型冠状病毒疫情的传播方式目前还未确定,目前不能排除有限人传人的可能,不过持续人传人的风险较低。目前,正结合临床和流行病学资料开展进一步研究。
       从其他省份出现的首发确诊病例来看,均属于来自武汉的输入性病例(即患病者从武汉到了其他地区)。因此,如果你并未与病例(观察和确诊病例)发病后有共同居住、学习、工作或其他密切接触,那么也不必过分担心被传染的问题。
           
     7.目前有针对新型冠状病毒治疗的方式吗?
       由新型冠状病毒引起的疾病目前没有特效的治疗方法,但是许多症状都可以治疗和控制,因此可以根据患者实际情况临床状况进行治疗。截至1月19日22时,武汉市累计报告新型冠状病毒感染的肺炎病例198例中也有25例已治愈出院。
           
    8.我想出门,该如何选择口罩?
         目前,市面上有棉布口罩、纸口罩、活性炭口罩、海绵口罩、医用外科口罩和N95口罩等多种类别。但能起到预防传染性疾病的功能的只有医用外科口罩和N95口罩。
         以冠状病毒为例(2019-nCoV是冠状病毒的一种),平均直径约100nm即0.1.um,再加上传播载体,比如飞沫直径约1-5um,而N95对0.3um非油性颗粒过滤效果≥95%,可以实现有效的过滤,所以首选N95型口罩。
         医用外科口罩:医用外科口罩一般用于医疗门诊、实验室、手术室等高要求环境,为医护人员工作时所佩戴的口罩。安全系数相对较高,对于细菌、病毒的抵抗能力较强。医用外科口罩也可用于防流感。
        医用外科口罩有三层,从外到内分别是防水层、过滤层、舒适层。舒适层是一层无纺布,佩戴时白色的无纺布朝内,蓝色的防水层朝外,有金属片的一边朝上,不要戴反,橡皮筋挂上双耳后捏紧金属片和鼻子贴合,抚平两颊,使口罩和面部之间尽量不留缝隙。
         N95型口罩:N95型口罩是是NIOSH(美国国家职业安全卫生研究所)认证的9种防颗粒物口罩中的一种。“N”的意思是不适合油性的颗粒(炒菜产生的油烟就是油性颗粒物,而人说话或咳嗽产生的飞沫不是油性的);“95”是指,在NIOSH标准规定的检测条件下,过滤效率达到95%。N95不是特定的产品名称。只要符合N95标准,并且通过NIOSH审查的产品就可以称为“N95型口罩”。
        N95口罩的最大特点就是可以预防由患者体液或血液飞溅引起的飞沫传染。飞沫的大小为直径1至5微米。美国职业安全与健康管理局(OSHA)针对医疗机构规定,暴露在结核病菌下的医务人员必须佩戴N95标准以上的口罩。

口罩的选择
           
     9.我们应该如何远离新型冠状病毒?
        正值春运高峰,人流密集流动性也大,这个期间,更容易造成传染病的传播。因此,需要广大老百姓加强对传染病的认识,尽量避免去有疫情的地方,以及人群密集的地方,尽量待在家里,减少外出,以免被传染,特别是避免与表现出呼吸道疾病症状(例如咳嗽和打喷嚏)的人密切接触。
远离人群集会,尽可能减少外出。
佩戴对应有效的口罩,在外时少摘取,回家前摘取后仍在室外的垃圾桶或垃圾袋中。
病从口入,勤洗手:用肥皂、洗手液洗手,从户外回家或咳嗽喷嚏后前后要洗手,准备食物、用餐前后要洗手。
好奇害死猫,远离家禽动物:尽可能远离家禽和各种动物,远离动物粪便和接触过的场所。
食物要煮熟,水要烧开,不吃生食和未煮熟的牛奶、蛋和肉类食物。
咳嗽喷嚏时用纸巾或屈肘遮住口鼻,不要随地吐痰。
远离医院和有急性呼吸道症状的人。
身处室内时保持空气流通,勤洗净化器和空调滤网。
多吃蔬菜水果,提高抵抗力,注意防寒保暖。
如有发热、咳嗽等呼吸道症状,特别是近期接触过患者和出入过武汉的人员,应及时佩戴口罩去医院就诊告知具体情况。

Jackzhao整理

新型冠状病毒传染来源仍未找到
 

世界卫生组织此前已经发出警告称,武汉新型冠状病毒可能会进一步扩散。世界卫生组织昨日表示,部分近期确诊的新病例与武汉市华南海鲜城没有关连。告诫各国做好疾病防控准备,基于目前情况,世卫组织仍然不建议限制地区贸易与旅行。
 
为了有效控制传染病的发生、传播和扩散,需要从源头上寻找疫病源,从而在根本上切断疫病传播途径。因此,尽快找到疫病源,是目前防控工作重点之一。一般认为重点防控地点为农贸市场,其中野生动物、禽畜等是重要源头之一。此外,切断传播途径、保护易感人群同样重要。
香港中文大学医学院呼吸系统科讲座教授、新型传染病中心主任许树昌称,如果找不到病毒源并控制病毒源,就无法扑灭疫情。他认为,目前看来这种病毒在人与人之间广泛传播的风险似乎很小,尽管他指出该病毒可能会变异。
 
香港大学感染及传染病中心总监何栢良指出,新型冠状病毒不能经水产传播,只能透过哺乳类动物感染后再传至人类。他认为需要查出湿街市售卖的野味,并作出样本比对。许树昌则认为,传染病主要途径仍然是经病人飞沫或分泌物传播,他认为环境污染感染人数将更多。他估计或有野生动物的分泌物在市场内出现,人类的活动令病毒扩散,例如是将动物四处运送,或鞋子将病毒带到其他地方。
 

美国马里兰大学医学院病毒学家Matthew Frieman说,在“害怕或不害怕”的程度上而言,他对这次疫情的关注程度是10分中的4分。现有病例表明,这种感染不是很致命,而且在人与人之间不易传播。
约翰·霍普金斯大学医学院的病毒学家和细胞生物学家Carolyn Machamer约说,目前大约有六名患者处于重症状态。其他患者已接受治疗并出院。人们似乎能够抵抗感染并康复。她认为:“这是一种严重的感染,但不像SARS或MERS那样。”

 新型冠状病毒如何临床处理
 

华中科技大学同济医学院附属同济医院呼吸与危重症医学科分享的“新型冠状病毒感染的肺炎诊疗方案(试行)”指出,此次病例流行病学特点:目前收治病例多数有武汉市华南海鲜市场暴露史。部分病例为家庭聚集性发病。现在也有散发的病例。需要注意的是今天多数通报中并未阐明具有华南海鲜市场暴露史,这意味可能由于其他疫病源与人传人导致的结果。
 
新型冠状病毒感染的肺炎临床表现多为发热,乏力,呼吸道症状以干咳为主,并逐渐出现呼吸困难,严重者急性呼吸窘迫综合征、脓毒症休克、难以纠正的代谢性酸中毒和出凝血功能障碍。部分患者起病症状轻微,可无发热。多数患者预后良好,少数患者病情危重,甚至死亡。
 

来源:复旦大学附属中山医院高晓东,三种病毒肺炎比较
 
临床诊断中需要与主要与流感病毒、副流感病毒、腺病毒、呼吸道合胞病毒、鼻病毒、人偏肺病毒、SARS、MERS病毒等其他已知病毒性肺炎鉴别,与肺炎支原体、衣原体肺炎及细菌性肺炎等鉴别。还要与非感染性疾病,如血管炎、皮肌炎和机化性肺炎等鉴别。
 
实验室检查主要表现,发病早期白细胞总数正常或减低,淋巴细胞计数减少。部分患者出现肝酶、肌酶和肌红蛋白增高。多数患者C反应蛋白和血沉升高,降钙素原正常。严重者D-二聚体升高。
 

来源:华中科技大学同济医学院附属同济医院呼吸与危重症医学科
 
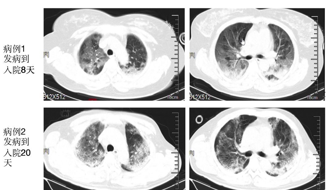
胸部影像学表现为早期呈现多发小斑片影及间质改变,以肺外带明显。进而发展为双肺多发磨玻璃影、浸润影,严重者可出现肺实变,胸腔积液少见。
 
注:武汉协和医院发热门诊当前处置建议(张劲农华中科技大学附属协和医院呼吸科编写,2020.1.18.,仅供学术交流参考):
1. 发热
2. 发热>38,有咽痛咳嗽,但无呼吸困难,血常规+CRP+甲乙流和合胞病毒核酸+ 肺CT。
3. 若肺CT提示病毒性肺炎,把CT片放在阅片灯上照下来,需要照高像素图以便于识别,6-8个视野一张图最好,发给群里,请专家会诊。
4. 确定病毒性肺炎后:(1)口服拜复乐0.4 Qd或者可乐必妥0.4(无喹诺酮过敏或不耐受史)+奥司他韦75毫克BID,5天 ;或(2)静脉滴注罗氏芬2.0(或厄他配南1.0,仅限于夜间不能做皮试且患者不耐受喹诺酮)+生理盐水250,希舒美饭后口服,0.25 Qd,首剂加倍。厄他配南需要在附近药房购买。隔离留观,申请做2019-nCoV 检测。
5. 若CT排除病毒性肺炎或其他肺炎,按1方法处理,可加阿莫西林1.0 Tid 口服。体温降下来后,医嘱:居家隔离,不适随诊。
6. 若CT提示病毒性肺炎且伴呼吸困难、缺氧(吸入空气时血氧饱和度。
7. 发热处理:体温大于38.5,可以用布洛芬口服液(需要在附近药房购买)退热。体温降到38度以下即可,过低不利于抗病毒。布洛芬有潜在胃损伤,不耐受者改用复方氨基比林或物理降温。泰诺等感冒药也可退热。
8. 咳嗽咽痛治疗:可用蜂蜜、薄荷糖对症,也可购买蜜炼川贝枇杷膏对症。右美沙芬已经证实无效,不要再推荐。
9. 病毒性上呼吸道感染局部症状需要2周或更长时间才能完全缓解

专家呼吁加强疫情信息公开透明化
 

环球时报:专家呼吁加强疫情信息公开透明化
 
环球时报英文版撰文称,春节临近,加强疫情信息公开透明化具有重要意义。事实证明,在重大或突发事件中,信息透明能防止谣言传播和大众恐慌。封锁或选择性披露消息,越容易造成恐慌。16年前,SARS疫情刻意隐藏,披露信息延迟的情况,这次不太可能再次发生。匿名观察家指出,疫情信息公开透明化有利增强公众对预防的认识,消除疑虑并赋予公众疾病防控信心。
SARS专家管轶接受财新网表示,对于疫情防控,一定要充分做到3C,即Communication(交流)、Cooperation(合作)和Coordination(协调)。他希望,防控情况和作风不要跟SARS高度相像,否则会在百姓和全球间引发负面影响他认为如果违背这一原则,就会出现混乱,也会在出招之前把自己的眼睛和手脚束缚起来。

 健康建议,敲黑板!! 
要预防肺炎及呼吸道传染病,大家必须时刻保持良好的个人及环境卫生,包括:
1) 经常保持双手清洁,尤其在触摸口、鼻或眼之前;触摸扶手或门把等公共设施后;或当手被呼吸道分泌物污染时,如咳嗽或打喷嚏后;
2) 妥善保养排水渠管和定期(约每星期一次)把约半公升的清水注入每一排水口(U型隔气口),以确保环境卫生;
3) 洗手时应以清洗液和清水清洁双手,搓手最少20秒,用水过清并用抹手纸弄干。如没有洗手设施,或双手没有明显污垢时,使用含70至80%的酒精搓手液洁净双手亦为有效方法;
4) 打喷嚏或咳嗽时应用纸巾掩盖口鼻,把用过的纸巾弃置于有盖垃圾箱内,然后彻底清洁双手;
5) 当出现呼吸道感染病征,应戴上外科口罩,(如何戴口罩戳这里❤),
不应上班或上学,避免前往人多挤迫的地方,及尽早向医生求诊。

外游预防措施
民众外游时应注意以下预防措施:
l 避免在可能出现新型冠状病毒感染传播的国家/地区与发烧或有呼吸道病征的人士有密切接触。如果不可避免与他们接触,应戴上外科口罩,并继续佩戴直至14天;
l 避免到访医院。如有必要到访医院,应佩戴外科口罩及时刻注重个人和手部卫生;
l 避免接触动物(包括野味)、禽鸟或其粪便;
l 避免到湿货街市、活家禽市场或农场;
l 避免近距离接触患者,特别是有急性呼吸道感染症状的患者;
l 切勿进食野味及切勿光顾有提供野味的餐厅;
l 注意食物安全和卫生,避免进食或饮用生或未熟透的动物产品,包括奶类、蛋类和肉类,或食用可能被动物分泌物、排泄物(例如尿液)或产品污染的食物,除非已经煮熟、洗净或妥为去皮;
l 身处外地时,如身体不适,特别是有发烧或咳嗽,应戴上外科口罩,立即通知酒店职员或旅游领队,并尽快求诊;
l 从外地回家后,若出现发烧或其他病征,应立即求诊,主动告诉医生最近曾到访的地方及有否接触动物;并佩戴外科口罩,以防传染他人。
注:内容来自香港卫生署

WHO推荐的2019-nCoV防护小贴士


 

 

来源:复旦大学华山医院感染科编译
     相关文章一览
    1.武汉病毒性肺炎疫情病原体初步判定为新型冠状病毒
    2.戴口罩有用吗?如何有效预防?新型冠状病毒科普(图示)
     文章参考:
     [1] 武汉市卫健委 - 新型冠状病毒感染的肺炎疫情知识问答
     http://wjw.wuhan.gov.cn/front/web/showDetail/2020011509040
     [2] 中国疾病预防控制中心 - 冠状病毒
     http://www.chinacdc.cn/yyrdgz/202001/t20200109_211159.html


Science科学 
了解未知 开启认知

按此关注中文公众号
Science科学英语平台 
THE SCIENCE OF EVERYTHING

按此关注英文公众号
您的关注和转发,是对科学事业最大的支持!

◢ 豁然开朗请打赏 ◣

点击“星标”,给予支持!点击“在看”,助力传播!
到顶部