石棉是一类致癌物,每年致23万人死亡,为什么会存在于电热锅中?



在古时候,一些富有的波斯人会使用一种神奇的布料,这种布料在处理污渍的时候不是放在水里清洗,而是放入火中烤一会儿。
当时的人们认为,这种布料的原材料是一种被称为“火蜥蜴”的动物的皮毛,相传这种动物生活在火中,遇水则死亡。
不过,现在人们可以揭开这种布料的神秘面纱了,它的原材料叫作石棉——一种具有很高耐火性的天然矿物。
当我们谈论天然矿物的时候,我们经常会联想到像石头一样的块状物体,但石棉是以纤维状存在的,有时候就像棉花一样。

用石棉做的布料,源:LukaszKatlewa
关于石棉和它的应用
石棉是一种天然的硅酸盐矿物,世界上有6种不同石棉,它们都是由细长的纤维状晶体组成的。
也正因为这种“纤维状”的特性,石棉可以制作成布料,石棉纤维在大约815℃时会被机械分解,但直到1520℃才会被完全分解。
很明显,普通的火焰很难达到这样的温度,所以故事中的布料可以在火中进行清洁。

图注:透闪石石棉
石棉除了高耐火性外,它还是一种极好的电绝缘体,而且耐腐蚀,这些独特的物理特性让石棉在许多应用场景中发挥作用。
在古时候,它被用作永久性灯芯,出现在一些古墓中,以及一些瓷器和防火的布料也都会用到石棉,但很少有人真正去大量开采石棉。
到了工业时代,石棉的应用迎来了爆发,19世纪80年代,全球石棉的产量在50吨左右每年,而到了90年代,这个数字直接变成了10000吨。

图注:1944年一个石棉矿场
到了1977年,世界石棉需求达到了峰值,大约25个国家每年生产近480万吨石棉,85个国家生产数千种石棉产品。
这些产品大部分是建筑相关的,包括阻燃涂料、混凝土、砖、管道和壁炉的隔离等等,几乎一套房子每一个地方都含有石棉。

石棉做的耐热手套,源:LukaszKatlewa
在建筑物之外的应用包括炉火等高温物体的隔热,还有就是一些电热产品的隔热,包括电热锅,熨斗等等都会用到石棉隔热,当然还有一些隔热手套等防火产品。
然而,好景不长,石棉的危害很快就显现了出来,许多人因为长期接触石棉而患上了癌症,关于石棉的诉讼和赔偿至今还在持续。

用石棉板材建成的房子,源:John M
石棉如何造成伤害?
虽然,近代石棉的危害是在1897年才被曝光的——一位奥地利医生将他的一名患者的肺部问题归咎于吸入石棉粉尘。
但事实上,石棉的危害在很早以前就已经被记载,古希腊和古罗马都曾利用了石棉的特性,他们也都记录了石棉对那些开采和加工的人的影响。
当时人们就发现开采和加工石棉的矿工会得一种严重的肺病,而且是清楚地知道这种疾病和石棉有关。

因为,有许多记载表明当时的石棉矿工会用山羊膀胱中的一种薄膜来制作呼吸过滤器,以减少石棉的吸入量,用法就像我们的现在的口罩一样。
这种肺病现在被称为石棉肺,它进而还会引发肺癌,只不过石棉引发癌症与许多人想得不一样。
石棉既不像一些致癌化学物质一样可以在食物链中持续堆积,也不像一些辐射危害一样靠近了就会致癌风险。

实际上,石棉的危害来自人体的摄入,它在体内无法被排出去,从而引起组织和器官的病变,包括吞入和吸入对人体都是有害的。
每根石棉纤维都是由许多微观的“原纤维”组成,这些“原纤维”可以通过磨损等过程释放到大气中。

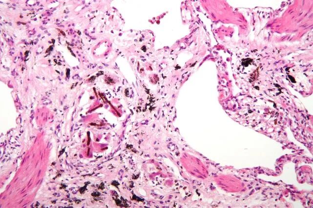
肺部纤维化,源:Nephron
一旦被人体摄入,这些“原纤维”就会堆积在人的肺组织或体内的膜衬里,并逐渐导致细胞死亡,随着时间推移,这个过程就会引发癌变。
石棉引发的癌症包括间皮瘤,肺癌,喉癌,卵巢癌等等,由于癌症的引发需要很长时间——有时候可能需要20年之久,所以许多人可能并没有把癌症和石棉相关联。
2017年发表的一项研究声称,石棉暴露导致的全球每年死亡人数在237,000人左右;之后2018年,一项针对2016年因石棉暴露导致死亡的调查报告中,死亡人数是222,321人,其中美国有39,275 人。

两项研究的数据是差不多的,石棉的应用确实无时无刻都在夺走生命。
既然石棉的危害这么大,为什么没有被禁止,还会有这么多人会接触到石棉呢?
为什么人们至今还在接触石棉?
2017年10月27日,世界卫生组织把全部6种石棉定义为一类致癌物,但是石棉确实没有被全面禁止。
(注:一类致癌物指的是已经有大量的研究表明该物质确实致癌,所以可以说石棉致癌是板上钉钉的事)

有一项调查统计发现,目前全世界有1.25 亿人面临职业接触石棉的风险,而更多的人会因为接触石棉产品而产生风险。
事实上,石棉的禁用从上世纪70年代就开始了,最早禁用石棉的国家是澳大利亚,他们分别于1967年禁用青石棉和80年代中期禁用铁石棉(这两种被认为是最危险的石棉纤维类型),不过澳大利亚至今也没有完全禁止石棉的使用。

到目前为止,全世界有66个国家全面禁止石棉的使用,而其他国家则是限制石棉的适用范围,以及明确规定石棉的使用标准。
咱们国家就是属于后者,我们在许多产品中确实允许使用石棉,但是必须严格按照规定使用。
比如电热锅中的电阻丝往往就会被包裹在石棉中以防止着火,不过这个有严格的要求,它必须不会暴露到空气中,更不可能接触食物。

所以,虽然我们使用石棉,但是要接触到其实还不是一件容易的事。只是如果电热锅坏掉的话,一定妥善处理,不然可能会摄入石棉。
最后
直到今天,石棉导致的健康风险依然严峻,除了许多人的职业接触之外,其实还有一个原因——那就是石棉使用的遗留问题。

据报道,尽管英国很早就全面禁止使用石棉产品了(1985年彻底禁止),但英国现在依然有50% 以上的房屋含有石棉,这些都是潜在风险。
石棉是非常好辨别的物质,如果真的需要处理的话,那请一定要做好防护措施。
你都看到这里了不关注,点赞,分享下吗?
扩展阅读:
地球上最丰富的金属,如何从皇冠和帝王餐具变成易拉罐专属材料?
镭女孩的尸骨在发光,是科学悲剧,还是无良商家的商业阴谋?
如果把别人的癌细胞注入体内会怎么样?无良美国医生曾这么做过
到顶部