继续操作前请注册或者登录。

已故黑人妇女的癌细胞,已分裂达5000万吨,分布世界各地



1951年,一位贫穷的非裔美国妇女来到了约翰霍普金斯医院,她向医生抱怨她的腹股沟经常无故出血和疼痛,她担心这会影响到她的工作。
这位妇女的名字叫亨丽埃塔·拉克斯(Henrietta Lacks),当时她刚刚30岁,然而她肯定不会知道自己的这次就医在之后的70年里拯救了数十亿人。
当然,她本人并没有杰出的成就,但是从她身上提取的细胞直到今天还活跃在世界各地的生物实验室,被人们称为海拉细胞(Hela Cells)。
我第一次听说海拉细胞是在我老婆那里,我老婆是一个生物相关专业的毕业生,曾经接触过这个细胞,当时令我吃惊的是海拉细胞竟然是“永生”的,但我并不清楚它的实际用途。
那么为什么海拉细胞如此特殊,它又是如何拯救这么多人的呢?

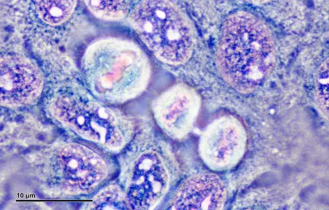
图为:海拉细胞是第一个永生细胞系
海拉细胞的由来
由于当时的种族歧视,约翰霍普金斯医院是马里兰州为数不多的愿意治疗非裔美国病人的医院之一。
拉克斯在医院接受了妇科医生霍华德·琼斯(Howard Jones)的检查,琼斯在她的宫颈上发现了一个巨大的恶性肿瘤,也就是宫颈癌。
正因为如此,琼斯决定为拉克斯进行镭治疗,这项技术是当时治疗这种可怕疾病的最佳方法,不过现在已经不再使用。
然而,医生们在拉克斯不知情的情况下拿走了她的癌细胞样本,命名为海拉细胞,并送到附近的乔治·盖伊博士的组织实验室。

此前的许多年里,盖伊博士和他的科学家同事们一直试图用来自不同病人的样本在培养液中培养组织,但这些组织细胞一旦脱离人体就会迅速的死亡,直到海拉细胞的出现。
当时没有人知道为什么,但是海拉细胞确实从未死亡,相反,它们无限期地生长,每20-24小时翻一番,因此得到一个“永生细胞”的称号。
这绝对是一个神奇的医学突破,在过去的几十年里,只要研究人员试图在人类细胞实验找到治愈疾病的方法,这些细胞都会迅速的死亡,根本没有足够的时间对样品进行不同的测试。
然而,海拉细胞的出现解决了这个困境,这些细胞能够存活下来,并且一次又一次完成自我复制,给研究人员足够的研究时间和空间,这真是一个完美的医学“小白鼠”。

海拉细胞的科学贡献
到目前为止,有超过6.5万份科学论文与海拉细胞有关,涉及将近1.1万个专利,21世纪以来有5个诺贝尔奖和它有关。
虽然许多研究不为人们所熟知,但是通过海拉细胞研制的两种疫苗确实拯救了数十亿人。一个是脊髓灰质炎疫苗,另一个是人乳头瘤病毒(HPV)疫苗!
骨髓灰质炎是由骨髓灰质炎病毒引起的急性传染病,就是我们常说的小儿麻痹症,这种疾病的传染性极强,在患者家庭中,15岁以下易感染人群100%会发病。
在20世纪50年代早期,医学家乔纳斯·索尔克(Jonas Salk)已经研制出了一种脊髓灰质炎疫苗,也已经清楚疫苗的工作原理,但是苦于找不到一个实地试验的方法。
理论上,索尔克需要找恒河猴细胞进行测试,但考虑到疫苗会杀死细胞,对于如此大规模的研究来说这太昂贵了。

图为:在康复中心的小儿麻痹症患者
1952年,人们发现海拉细胞对脊髓灰质炎既敏感,又不会被杀死,这使它成为最理想的宿主细胞来源。
塔斯基吉研究所的科学家建造了一个工厂来复制海拉细胞,在其鼎盛时期,每周运送大约2万管培养物,这使得索尔克能够成功地测试这种疫苗。
在接下六十多年里,这些疫苗在全球范围内消灭了99%脊髓灰质炎,可以说是海拉细胞让这种疾病提前消失。
同样的,20世纪80年代,哈拉尔·祖尔·豪森(Harald zur Hausen)发现海拉细胞含有HPV-18,随后的工作导致了HPV疫苗的开发。
题外话:哈拉尔·祖尔·豪森也因为发现HPV和宫颈癌之间的联系而获得了2008年诺贝尔医学奖。
现在许多国家使用这种疫苗来保护年轻女孩免受与子宫颈癌相关的HPV感染。据估计,HPV疫苗接种将有助于减少70%的宫颈癌死亡人数。

自1950年代以来,科学家已经使海拉细胞生长了多达5000万吨,分布到世界各地的研究所里,在中国,就连高中生都有机会接触到它。
海拉细胞的这种一次又一次地分裂或者说永生,现在的解释是,这是一种过度活跃的端粒酶的表达,它在每次分裂后都会重建端粒,防止细胞老化和衰老,并允许细胞永久分裂。
人们也是通过海拉细胞知道细胞衰老的原因,随着细胞分裂(人的成长或身体修复损伤),每个分裂都从被称为端粒的染色体末端脱落,这种端粒的损失被认为是细胞衰老的驱动力。

海拉细胞的缺点
然而在我们歌颂海拉细胞的神奇和不朽的同时,很多研究所的研究项目也被它迫害至深,甚至有些实验室禁止海拉细胞进入。
因为海拉细胞最严重的一个问题是,它在实验室中会积极的污染其他细胞培养物,科学家们通常不会检测他们细胞系的纯度,所以许多受污染细胞系的研究不得不被抛弃。
另一个问题是它没有正常的人类细胞核型(细胞中染色体的数量和外观)。人类细胞中有46条染色体,而海拉细胞中有76至80条染色体,多余的染色体来自于人类乳头状瘤病毒(HPV)感染导致癌症。

虽然海拉细胞在许多方面与正常的人类细胞相似,但它们既不正常,也不完全属于人类,因此必须限制它的使用。
也正因为海拉细胞存在一些问题,于是牵扯出另外一个道德方面的问题。
我们前面说过,所有这些研究都是在拉克斯本人以及其家属不知情的情况下完成的,拉克斯本人也绝对不会想到自己的细胞到现在还在作为科学研究样本(她本人在提起细胞10个月后去世)。
由于海拉细胞污染了其他培养物,在1970年代,科学家们不得不在拉克斯家族其他成员中提取样本,以便了解这种细胞为何具有侵略性,以及区分海拉细胞系和其他细胞系。
这让该家族第一次知道自己原来自己家族的细胞还有这样的用途,许多人从海拉细胞中获利,但是拉克斯家族中的任何一个人都没有。

现在我们打开搜索引擎搜索“海拉细胞”,有多条海拉细胞的广告,其中包括出售信息,很多公司通过培养海拉细胞获利,但这和拉克斯家族并没有多大关系。
最后
可能有些人没有听说过海拉细胞,但是你现在使用的许多产品都是通过海拉细胞测试的,比如化妆品,不过所有这些都和拉克斯家族无关。
不过就在今年,英国一家拥有1400名员工的生命科学公司向亨丽埃塔·拉克斯基金会捐款,以支持为拉克斯女士的后代提供科学,技术,工程和数学方面的高等教育奖学金,这算是一种回报吧。
到顶部