这个颜值与功效都在线的中药,却已经渐渐绝种了 | 刘钊



“我们把古人的智慧和方法加载到我们的研究对象上,逐渐产生新的知识和技术,我们应该珍视这些技术。”
刘钊
北京健泽中医诊所主治医师

可能有很多朋友会奇怪,为什么会有一个中医出现在这儿?或者有的朋友会觉得这个人真的是中医吗?
我真的是中医,一个如假包换,做事谨小慎微,又感情丰富,努力干活的小中医。

古人如何养生?《黄帝内经·素问·上古天真论》里介绍说“法于阴阳,和于术数,食饮有节,起居有常,不妄作劳”。这样才是养生,它其实是一种生活方式。
简而言之就是您要提前进入退休状态,不要随便吃,不要随便玩,周末要在家好好休息,不要陪孩子去上辅导班,然后晚上也不要加班,要早点睡觉。
这是现实中我们的生活方式吗?显然不是!
既然古人的这种养生方式看起来很矫情,那大家为什么如此关心它,关注它,去谈论它?
因为如何延续生命这个话题一直是和人类生产、生活相伴而行的。人们希望自己的生命被延长,实际这是一种非常朴素的愿望。
我们希望我们的生命能够得到延续。随着人类的开始活动,医学就已经诞生了。
中医和西医是传统医学和现代医学的杰出代表。中医在这个世界上已经存在了上千年,它不断发展壮大。可是时至今日,我们会意识到中医的话语权可能在降低。

中医真的代表落后的知识,甚至是封建迷信吗?
  思想早餐  
已完成:10% //////////
历史上中医的样子
出土的战国时期《五十二病方》里,介绍了一种治疗内痔的方法,就是套扎术。如今,即便有了四千多块钱的吻合器,现代临床依然在使用这种结扎术。

除了《五十二病方》里面的记载,在《黄帝内经》里面还记载了世界上最早的腹腔穿刺和腹水引流术。

第一本国家药典实际上并不是欧洲《纽伦堡药典》,而是诞生在中国唐代显庆四年的《新修本草》,它比欧洲纽伦堡药典早了800年。

世界上最早的全麻外科手术记载在《三国志·魏书·华佗传》里。

到了北宋时期,沈括的《梦溪笔谈》中描述了一种小东西,法医用它来判别冤狱,它能帮助那些因为外伤失去说话能力的犯人或受害者,在公堂之上申诉冤情,这个东西叫颡叫子(sǎng jiào zǐ),这其实就是第一次记载在人类文献中的人工喉,这也是咱们中国的发明。

之前,中医孕育出令世人仰望的成就,屠呦呦老师代表中国千千万万的科技工作者,获得了诺贝尔医学和生理学奖。

对于这次得奖,很多人有不同的看法,他们认为青蒿素根本就不是中药,这个奖和中医有多大关系呢?
青蒿素当然不是传统意义的中药,但是回顾屠老师和她的团队的研究过程,我们不难发现,青蒿素的发现理论来源于古代的文献,它的研发过程是中国人现在的努力,而研究过程中的关键环节和重要线索是来自于葛洪的《肘后备急方》。
中医实际是一种可以被多种学科从不同角度阐释和分享的人类智慧的财富。古代中医究竟用什么方法取得了这些成绩呢?
我们把时间轴往前推一段时间,在明朝有一位老先生叫吴有性,住在姑苏洞庭山。
他是一个非常有才华的医学家,通过长时间的临床实践,发现了在当时被叫做瘟疫的特殊疾病。这种疾病和人们平时说的伤风感冒不一样,他用毕生精力研究瘟疫,并写了一本书,这本书的名字叫《瘟疫论》。

《瘟疫论》开篇提到,“夫瘟疫之为病,非风非寒,非暑非湿,乃天气间别有一种异气所感。”
这句话的意思是说,得瘟疫的原因并不是天气温度的变化和一些自然的、物理的因素,而是一种特殊的病原,用他的话来形容便是“此气之来,无论老少强弱,触之者疾病”,“邪自口鼻而入”。
他的判断十分准确,这种病之所以能够发生是因为外来因素,通过人的消化道和呼吸道进入了人体。
他还提到,“大约病遍于一方,延门阖户,众人相同”,他确定这种病是可以传染的,挨家挨户的传播,而且不同人的疾病表现、症状、体征近乎相同。
老先生的书虽是由文言文写成,但是这几句话大家听起来却是似曾相识。这和现代传染病学所讲的传染源、传播途径、易感人群实际上非常一致的。
我们想一想吴老先生那个年代用什么方法获得的这些知识呢?《瘟疫论》这本书成书在明代末年,具体说是崇祯壬午年,公元1642年。
1673年,荷兰列文虎克才改进了显微镜,过了100年以后欧洲人才开始用显微镜探索微观世界。
可是吴老先生在看不到他所称的“异气”的情况之下,用自己分析判断和观察的方法得出了和现代学者们高度一致的准确论断。
  思想早餐  
已完成:40% //////////
中医的研究对象——中药
我们所非议的阴阳五行观察其实是辩论思辨的一种模式。古人的智慧非常需要我们去发掘,如果我们用之得当,就能从中汲取营养,而且可以做出今人难以实现的巨大成就。
人类是否应该仅仅追求生命的延续呢?
实际上除了生命之外,我们还追求思维和方法的延续,这是古人给予我们非常重要的财富。
思维和方法最终不是虚无的,它要落地,要作用于研究对象。
中医的研究对象有中药。
在这里我向大家介绍一种中药——麦冬。人们通常会在家里用一点麦冬泡水喝,它能够起到一种滋阴、清热、清肺的作用。

但这不是我今天讲的重点,关键的问题在于麦冬的功效这么好,是有悠久种植栽培历史的。
浙江是一个中医药大省,历史上有八种中药由浙江生产,天下闻名,我们称作“浙八味”,麦冬就是其中之一。
我们把浙江生产的麦冬叫浙麦冬,尤其是杭州生产的最好,叫杭麦冬,杭州的麦冬又以笕桥镇的麦冬最优。所以过去来讲笕麦冬是上品中的上品,就是极品了。
 
笕麦冬为什么这么好?因为它颜值特别高。笕麦冬个体特别大,长的像我们平时吃的腰果,而且经过加工炮制之后香气浓郁,功效也特别出众。
麦冬分为上中下三等,在上等麦冬里要求必须是笕桥镇出产、种植的麦冬。
然而,就是这样久负盛名的笕麦冬,如今却消失在公众的视线里。它去哪儿了呢?
2005年9月,有关专家组团一起到浙江、到杭州、到笕桥来寻访笕麦冬。他们走过了田间、地头、村舍、水井旁、道路边、小溪畔,找了很多地方,最后一无所获。
科学家们不死心,过了一些时间他们又来到了笕桥,努力寻找,终于在街边绿化带里面发现了野生的麦冬。
他们对这些麦冬的研究结果大失所望,这根本不是笕桥麦冬,而是宁波山上移栽来的草冬。
这次笕桥之行让科学家们彻底绝望了,现在可以判断笕麦冬已经绝种了。
为什么笕麦冬会绝种呢?
有一部分是药物生产经济方面的原因。麦冬商品来源主要有两个地方,一个是四川地区栽培的川麦冬,另一个是浙江栽培的杭麦冬。
川麦冬一般栽种之后,到第二年清明和谷雨之间就可以采收了,生产周期比较短。
但是笕麦冬、杭麦冬要到第三年夏至到小满才可以采收,所以它的生产周期要比川麦冬长,农民种植它的时候遇到了经济方面的阻力,觉得不划算,自然把种麦冬的地改种了其他果蔬。
如此若干年过去之后,名闻天下的笕麦冬绝种了。
我们现在听起这件事儿觉得非常可惜,从古至今优秀的笕麦冬没有被保留下来,就因为我们人类的一念之差,造成了一个优秀物种的绝种,这是非常令人可惜的事情。
所以在保有延续古人的思维和方法的时候,我们同时也要对古书里面的这些资源进行充分的保护,只有这样思维和方法才能落地。
我们要尽可能多的保留下这些研究对象,包括古代的文献,资源等,这样我们的研究才能够逐步的推进。
也许有人会说麦冬是否失传,其实跟我关系不太大,我不吃中药,因为中药有毒。
我们现在看到很多这样的报道,如肝毒性,肾毒性,诸如此类关于中药不良反应的报道。
我要告诉大家的是,只要是药物,无论是中药还是西药,治疗作用和副作用永远是它与生俱来的属性,就像一枚硬币有正面就一定有反面,我们不可能只享有一个硬币的面值,而不去看到它背面的花纹,我们用的所有药物都存在治疗作用和副作用。
  思想早餐  
已完成:60% //////////
被降服的毒药
下面我将介绍几种毒药。
第一个花很美,毛茛科植物,它的主根入药以后叫乌头;副根,就是侧根,叫附子。

乌头和附子的毒性非常大。史书上记载的第一个女刺客就是用乌头下的毒,毒死了一位王妃,大家有兴趣的话可以看一看《汉书》中的记载。
乌头毒性非常大,少量的乌头可以让一个成年人顷刻毙命。
说到乌头,我想起我大学毕业后当第二年住院医的时候。
一个夏天的夜晚,一个年轻的男性患者,被他的家属搀扶着走进了急诊室。他浑身颤抖,眼睛已经有点睁不开了,嘴唇青紫。
我们医院所在地的社会治安不是特别理想,我的第一反应是这个人药物过量,我刚要把这个情况汇报给上级大夫,病人状况非常不好,需要马上做心电图。
结果发现多源的心律失常,也就是早搏,接着将他送往监护室进行抢救。上级大夫带着我一起抢救,抢救了一夜,患者终于转危为安了。
抢救过程中的空闲时间,我要向他的家人询问病史,他为什么病成这样?
他的家人告诉我,他喝了一种自制的药酒。
第二天我向他的家人询问能否把药酒拿来看看,他的家人同意了并把药酒拿来,那是一个半透明的塑料瓶,里面装的满满的,打开以后闻起来酒香四溢。
随后我向他的家人讨要了这瓶药酒进行研究。得到授权之后,我把里面的药倒出来,拿剪刀把瓶子剪开,发现里面有30多头完整的、没有炮制的乌头,就是这个图片上的植物,它的主根毒性非常大。
但是,我们翻开古代文献发现这样一个问题,在古代用这个药的经验非常丰富。
在很多文献里,尤其抢救危重症病人的时候,经常会用到附子和乌头。尤其是附子,人们用它抢救休克(循环濒临衰竭)的病人,然而古人的利用方法是长时间的煎煮,把药放在水里面,煎中药一个小时以上,方能饮用。
通过现代研究我们发现,原来乌头和附子里面剧毒的部分是双酯型生物碱,有两个酯键。长时间用水加温煎煮,第一个酯键断裂的时候,它的毒性变为原来1/200,如果第二个酯键也断裂了,它的毒性变为原来的1/2000,但是它的治疗功效被保留下来了。
我们用现代科学可以解读这些古时候的经验积累。
朱砂,《神农本草经》里面把它列为上品,因为久服可以轻身不老,延年益寿。

但是我们现在有知识了,知道朱砂的主要成分是天然的硫化汞矿石,重金属汞。长时间服用绝不会让人不老延年,而是会汞中毒。
 
但是我们再看古代文献又发现一个问题,为什么古人很少记载急性汞中毒的问题?
吃朱砂的人那么多,没有看到几个急性中毒,那是因为古人有一套方法加工朱砂,不让它表现出太大的毒性。
朱砂里如果混有单质的汞或者可溶性汞盐,它的毒性就会很大,如何把这两种都去除掉呢?
因为硫化汞非常难溶,所以吞到肚子里之后基本上是以原形从肠道排出,不会导致明显的中毒。
古人用的方法叫水飞,这是一种非常聪明的方法。
把天然朱砂矿石放在研钵里面,加上冷的山泉水,慢慢研磨它,研磨之后上面不溶,就形成了红色的悬浊液,把悬浊液倾倒出来之后,让它自然沉淀,沉淀以后把上面这层清水倒出来,再换上新的清水,不断的反复操作,直到它变得非常细。
有了这层水的保护,虽然摩擦生热,但水会降温,不至于温度太高,让硫化汞分解出有毒的单质汞,通过一遍一遍的水洗,把可溶性的汞盐洗脱了,这样的话把它的毒性降低,提高了药用安全。
听到这里,您可能会有这样的疑问,如果硫化汞没有太大用,为什么不把它从国家药典上剔除?中成药一用它汞就会超标,干脆不再保留这种药物不是更省事么?
原因在于,看起来毒性大而且药效不明显的药物,未必永远没有用。比如下面要给大家介绍的这两种东西的毒性可比硫化汞要大。
其中一个就是砒霜,因为天然砒霜存在一些含铁的杂质,所以颜色是红的,我们也叫红信石。

另一种是砷的化合物,砷是一种有毒的非金属元素,砷的化合物也可以导致人中毒。

这两种物质过去来讲一般都是用外,很少内服。但是经科学家研究后,扩展了它们的使用范围。
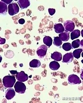
有一个教授叫张亭栋,他通过研究发现,砷制剂可以让急性早幼粒细胞进行分化,逐渐诱导它分化成为接近成熟的细胞,这样的话大大缓解了病人的肿瘤负荷。
 

过去急性早幼粒急性是髓性白血病里最凶险的类型,容易出现DIC,弥散性血管内凝血,导致严重的内脏出血,甚至会导致人的死亡。
过去如果诊断急性早幼粒,他的生存时间可能是几个月。
但是现在不一样了,有了砷制剂以后,我们可以通过口服,不用做造血干细胞移植了,那么这些患者可以获得良好的生活质量,达到长时间的完全缓解。
所以说,我们把古人的智慧和方法加载到我们的研究对象上,逐渐产生新的知识和技术,我们应该珍视这些技术。
世界是如此美妙,如此绚烂,当我们用单一声音讲述它,描述它时,很可能让它变得苍白和冷漠,这不是我们的初衷。
让我们以历史为师,以前辈为师,以科学精神为师,让智慧像生命般繁衍,谢谢大家。
版权说明:未经授权严禁任何形式的媒体转载和摘编,并且严禁转载至微信以外的平台!
文章和演讲仅代表作者观点,不代表格致论道讲坛立场。

推荐阅读
点击图片直达原文




“格致论道”,原称“SELF格致论道”,是中国科学院全力推出的科学文化讲坛,由中国科学院计算机网络信息中心和中国科学院科学传播局联合主办,中国科普博览承办。致力于非凡思想的跨界传播,旨在以“格物致知”的精神探讨科技、教育、生活、未来的发展。获取更多信息,欢迎关注格致论道官网:self.org.cn,微信公众号:SELFtalks,微博:格致论道讲坛。

到顶部