这个地球上最重要的化学反应,产生的能量是全人类每年消耗的10倍 | 匡廷云院士




通过合成生物学等进步改造光合生物,
满足国家能源和农业的需求,
为科技强国、为民族的复兴进一步贡献我们的力量。
匡廷云 ·中国科学院院士
格致论道第61期 | 2020年11月22日 北京

大家好,非常高兴也非常荣幸,今天有机会在这里跟大家交流一下我们光合膜蛋白团队,在研究光合膜结构与功能研究道路上的经历和体会。
光合作用是绿色植物利用太阳光能,把二氧化碳和水合成有机物放出氧气。在地球上,陆地生态系统的植物以及海洋生态系统的光合生物,它们每年通过光合作用合成了有机物,大约是2200亿吨,相当于人类每年消耗的能耗的十倍。
光合作用合成有机物放出的氧气,几乎是地球上所有的生命所需要的食物和氧气的来源。它放出的氧气是地球上大气中氧气的最初来源,当今人类文明所需要的古生物燃料,不管是煤、石油、天然气都是古代植物光合作用直接和间接的产物。
 

▲ 光合作用的意义
光合作用是地球上最大规模的能量和物质转换过程,是人类赖以生存和发展的物质基础。光合作用的研究多次获得诺贝尔奖,所以诺贝尔奖评委会评价光合作用是地球上最重要的化学反应。它是重要的科学问题,而且与当今人类面临的能源、资源、环境问题密切相关,但是光合作用研究的核心问题是光合作用的高效吸能、传能、转能机理。
 

▲ 叶绿体模型
光合作用高效吸能、传能、转能的过程是在光合膜上,具有一定的分子排列和空间构象的叶绿素蛋白复合体和有关载体中进行的。
 

▲ 光合膜及膜蛋白复合物模式图
要把光合膜蛋白的结构与功能结合起来,才能最终阐明光合作用高效吸能、传能、转能的微观机理。因为在光合膜上能量的传递效率大约是94%到98%,能量的转换几乎是百分之百。
一旦把光合作用吸能、传能、转能的机理,光合膜结构与功能的分子机理的研究取得革命性的突破,在理论和实践上的意义是非常大的。
光合膜蛋白创新团队的历史和传承
已完成:20% //////////
中国科学院植物所光合膜团队研究的历史,应该追溯到半个多世纪以前,中国植物生理学家、中国植物生理学的泰斗汤佩松先生。

 ▲ 汤佩松先生
在半个多世纪以前,他就在我国开启了植物呼吸作用与光合作用的研究。而我本人在六十年代初从苏联留学回来以后,在汤先生的领导下开始了光合作用的研究。
 

▲匡廷云在苏联莫斯科大学学习
在八十年代初,我应邀到美国密西根州立大学和美国能源部合办的植物实验室,跟Arnzen C.J教授合作研究光合膜蛋白的结构功能,取得了重要的成果。回国以后,我在中国开始了光合膜结构功能的研究领域。
但是对我们中国光合膜结构与功能研究影响最深刻的、影响最大的应该是在上个世纪1986年在美国召开的第七届光合作用大会。非常荣幸,我被邀请作为此次大会报告会的主席。
 

▲紫色光合细菌反应中心膜蛋白三维空间结构解析
在这次大会上邀请了德国马普生物物理研究所的哈特穆特·米歇尔团队,在会上报告了他们的紫色光合细菌反应中心光合膜蛋白空间结构的解析,这是在科学前沿最富有挑战的领域里取得这样重大的突破。
 
因为膜蛋白是脂质膜蛋白复合体,它不溶于水。所以当时在晶体学生化和化学界都认为不溶于水的脂质膜蛋白不可能拿到结晶。但是哈特穆特·米歇尔把这种不可能变成了可能。
 
也就是说,他们拿到了紫色光合细菌反应中心膜蛋白的晶体,而且成功进行了X光衍射,在原子水平阐明了它的空间结构。
 
也就是在这样一个科学前沿,这样一个最富有挑战领域取得这么大的突破,在整个会场上沸腾了,每个参会的科技工作者心里产生了巨大的震撼。两年以后,他们获得了诺贝尔化学奖。

▲1988年诺贝尔化学奖获得者:哈特穆特·米歇尔、罗伯特·胡贝尔、约翰·戴森霍费尔
这个会议开完以后,我就回到了中国。我跟我的老师汤佩松先生汇报了这次国际光合作用大会最大的亮点和最大的突破,就是德国马普学会米歇尔团队,紫色光合细菌反应中心膜蛋白三维空间结构的解析。
我觉得光合膜蛋白结构功能的研究太重要了,但是国际上竞争太激烈,难度也很大。汤佩松先生当时就给我下了决心,就说再困难我们中国也要开展,而且我们要进行学科交叉,就把梁栋才先生和常文瑞先生请来了。
 

▲“世纪之约”:汤佩松(左上)、梁栋才(右上)、匡廷云(左下)、常文瑞(右下)
我们四个人在汤先生家的书房里就开了一次会议,决定了我们中国一定要开展光合膜蛋白结构功能的研究,而且决定有钱也要做,没有钱也要做。
 
所以我们把这次在汤先生书房里头开的这次会议,称为光合膜蛋白一次“世纪之约”的会议。从那个时候就拉开了中国科学家参与世界科学前沿光合膜蛋白结构功能研究的序幕。
紧接着就是植物所团队和生物领域团队紧密结合来开展光合作用,光系统Ⅱ反应中心结构与功能的研究。我们摸索了五年没有突破,后来得不到经费的支持,这种结合也就停止了。但是我们光合膜蛋白的生化研究、功能研究一直在继续。
我非常不甘心,上个世纪九十年代末,我主持了“973项目”,第一批光合作用的研究。我在这个项目里,设立了第九子课题——光合膜蛋白空间结构研究。
植物所和生物物理所又结合起来公关,经费不够,但得到“973项目”支持,也得到中科院的支持和国家自然科学基金委员会的支持。
 

经过五、六年生物物理所和植物所学科交叉,我们终于突破了高等植物第一个植物光合膜蛋白捕光叶绿素a/b蛋白复合体空间结构的解析。国际同行认为这是光合作用的一次重大突破,而且以全文的封面文章发表在Nature上。
 

▲高等植物豌豆PSI-LHCI 2.8 Å高分辨率晶体结构(Qin et al., Science, 2015)
这之后,中国科学院植物所的光合膜蛋白创新团队,在2015年首次在原子水平上全面解析了光系统I及天线色素超分子蛋白复合体的空间结构,以长文形式发表在Science杂志封面上。为阐明光系统I高效吸能、传能、转能的微观机理打下了很好的基础。

国际同行给予了很高的评价,认为这是一项里程碑性质的工作,而且认为是一项真正的突破,是一项典范的研究工作。同时在Science的同期刊物上,邀请国际同行专家撰写了专题评论的文章,给予了高度的评价。
 
硅藻的光合作用机制研究
已完成:50% //////////
我们团队在高等植物研究的基础上,同时把目标聚集在海洋光合生物,特别是硅藻。
 

▲硅藻细胞
硅藻它在海洋里头有数万种。有人说,硅藻是海洋中的“霸道总裁”,因为它占海洋生物合成原初生产力的40%,对全球来讲是20%。
 而且它在碳、氮、磷、氧、硅等元素的循环中也起很大的作用,它有很强的光合作用能力。它的外壳本身就是二氧化硅就是天然的纳米材料。它是浮游生物,在海洋的一定深度光质光量衰减,它能吸收绿光。

▲可见色光在海洋表面及不同深度的分布
高等植物看到是绿色的一片片的麦田、一片片的森林。但是高等植物它进行光合作用主要吸收蓝光和红光,而绿光基本上不吸收。所以绿光反射,我们看到高等植物是绿色的。
但是硅藻,它在海洋的深处只有蓝光和绿光,它能吸收绿光,它的机制是什么?它是浮游生物,在海水的深层它吸收绿光包括蓝光,但是它浮到海洋的表面它要抵抗强光的照射,所以它有极强的抗光氧化的能力。
但是,这些机制不清楚。
 
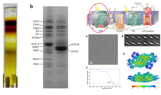
我们认为,它主要的是跟光合膜色素蛋白的结构和功能分不开,所以我们首先在国际上分离了硅藻捕光色素蛋白复合体。它是个岩藻黄素-叶绿素a/c蛋白复合体,是目前国际上最独特的捕光天线蛋白复合体。
 

▲硅藻天线蛋白复合物-岩藻黄素-叶绿素 a/c蛋白复合体(FCP)分离、结晶
那么在分离提取光合功能鉴定的基础上,我们拿到了它的结晶,而且经过同步辐射,包括上海光源和日本SPRING-8同步辐射光源。
 

▲FCP晶体X-射线衍射
经过X光衍射,我们在1.8A的原子水平的基础上,在国际上首次解析了硅藻捕光叶绿素蛋白,岩藻黄素-叶绿素a/c蛋白复合体,也就是FCP的空间结构。
 

它是一个同质两聚体,而且在膜的表面与氢键相结合。而叶绿素c到叶绿素a的能量传递是百分之百,而且传递的时间速率是60到100飞秒。
更重要的就是岩藻黄素,它跟蛋白结合以后形成不同的的状态,特别是两端的六元环处在极性的状态,就能使它的吸收光谱红移,让它吸收到绿区的绿光。所以在深水里,它能吸收绿光,由于它有硅藻黄素,能够抗强烈的光氧化。
 

▲硅藻光系统II-天线蛋白超分子复合物(PSII-FCP)结构
因此 ,我们就破解了硅藻吸收绿光及抗强光的分子机理,更重要的,我们又进一步跟清华大学合作,首次解析了硅藻的光系统II核心复合物及天线FCP,这样一个超大分子复合物的空间结构是二聚体,而且有70个蛋白亚基。
 
我们解析了300个叶绿素分子、150多个胡萝卜素的结构状态,阐明了它们高效吸收绿光及传能的途径和抗光氧化及光保护的机制。
 

▲硅藻PSII-FCPII中的色素排布和能量传递
这两项工作,使我们在国际上率先破解了硅藻能高效的吸收蓝绿光,而且高效的进行能量的传递和转换,以及光保护的机制。

Science期刊在同期邀请了国际著名的专家同行撰写写了专评,认为我们开展的这两项硅藻的研究,是光合膜结构功能中捕光传递系统的里程碑性质的工作。
 
在这个工作以后,我们又第一次解析了红藻,光系统I的核心复合物及天线色素,以及绿藻光系统II的核心复合物与天线色素的超分子结构。

也就是说,我们第一次揭示了红藻、绿藻在海水一定的深度,为什么能够高效的吸能、传能、转能的结构基础。
研究成果与荣誉
已完成:90% //////////
 
我们团队多年来,研究了从原核到真核,从低等的光合生物到高等的光合生物,它们光合膜蛋白的结构功能的差异,进一步解释了不同的光合生物,在不同的光合环境条件下,它们传能、转能的分子机理,而且也为光合作用,光系统演化的规律提供了基本的线索。

我们以上这些研究得到了各界的高度评价,几年来的研究包括和合作者的研究入选了2019年中国科学十大进展,也入选了2019年中国科技十大进展新闻。2019年、2015年两次分别入选了生命科学十大进展,而且同时入选了2019年海洋科学十大进展。
 

 
我个人也受到了国际光合作用及氢能持续发展大会,以及亚洲、大洋洲光生物学大会以及中国植物生理和植物分子生物学学会给予的荣誉。我非常感谢,但是我想这不是对我个人,是对我们的团队和合作者研究工作的肯定。
 

最后我要讲的一点是,这么多年来持续研究,为光合作用研究的终极目标“彻底揭示光合作用高效转能的分子机理”提供了坚实的结构基础和分子基础。
 
我们还要进一步站在科学的前沿,通过学科的交叉,来研究光合作用的终极目标,我想不仅能够彻底揭示自然界光合作用高效转能这样一个机理。同时,也可能能用物理和化学的语言来阐述或阐明这样一个生物学的过程。
 

▲智能化植物工厂• 中国厦门•中科三安
我想到,那个时候就可以跨越无机世界到生命世界不可逾越的鸿沟,并能为提高作物的光能利用效率,设计新型的高光效植物,以及模拟光合作用开辟太阳能的新途径、生产清洁能源、以及打造智能化的植物工厂提供理论依据,并提供新思路、新途径、新技术。

当然,我最后还要讲,我想我们的团队还会继续跟合作者进行合作交叉,应该就是说进一步站在科学的前沿去发展新的领域。通过合成生物学等进一步改造光合生物,更满足国家能源和农业的需求,为科技强国、为民族的复兴进一步贡献我们的力量。
 
这就是我今天要汇报的,我们团队这几年的工作。
 
谢谢大家!
- END -
文章和演讲仅代表作者观点,不代表格致论道讲坛立场。
版权说明:
未经授权严禁任何形式的媒体转载和摘编,
并且严禁转载至微信以外的平台!

更多阅读
第一时间观看格致论道演讲视频?
请关注“中科院格致论道讲坛”官网和B站号



原称“SELF格致论道”,是中国科学院全力推出的科学文化讲坛,由中国科学院计算机网络信息中心和中国科学院科学传播局联合主办,中国科普博览承办。致力于非凡思想的跨界传播,旨在以“格物致知”的精神探讨科技、教育、生活、未来的发展。欢迎关注格致论道官网:self.org.cn,微信公众号:SELFtalks,微博:格致论道讲坛。
到顶部