在编辑人类基因这个问题上,我坚决支持一个方向,同时坚决反对一个方向 | 王皓毅




当我们有了改变DNA序列的工具和能力,
几乎所有跟生命有关的产业和研究都将极大地提高能力和效率。
王皓毅 · 中国科学院动物研究所研究员
格致论道第86期 | 2022年9月17日 北京

大家下午好!很高兴有机会在这儿跟大家分享关于基因编辑技术的一些知识。我是王皓毅,来自中国科学院动物研究所,我今天演讲的题目叫做《编辑生命之书》。
基因是什么?
我要讲的第一个内容,是带大家回顾一下中学生物学。我仍然觉得每个人都应该时时提醒自己,生命到底是什么,以及我们是什么。基因这个词大家都知道,但是基因到底意味着什么,我想不一定有很多人能说得明白。

要说基因,我们先说一下人类。作为人类,我们都是由细胞组成的。我们身上有数十万亿个细胞,就像积木一样拼在一起,成为一个复杂的人体。我们可以看到这张图上面,有各种各样形态、功能都不一样的细胞。我们的神经细胞、皮肤细胞、肌肉细胞、免疫细胞等都不一样,但是它们具有一个共同的结构,就是在图像中显示的一个小圆点——它们的细胞核。
根据细胞的功能,可以将其分为两类。一类叫做体细胞,这类细胞不会变成你的后代,它只是组成我们这台机器的功能元件。还有一类细胞叫做配子细胞,指男性的精子或者女性的卵子,只有这些细胞可以成为你后代身上的细胞。刚才提到细胞里面有一个细胞核,这个细胞核里储存的就是我们传给后代最关键的遗传物质。如果把这些细胞拿到显微镜底下,我们用特殊的碱性染料处理细胞核里的物质,就会看到有一些线状物体可以被染上颜色,叫做染色体。

除了红细胞,我们身体每个细胞的细胞核中都储存着染色体。在特定细胞周期阶段,我们可以用肉眼在显微镜下观察到染色体,就是这群像小虫子一样的东西。

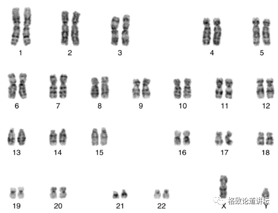
如果我们把染色体做一个仔细的区分,会发现每一条染色体的大小和形状都不一样。经过染色之后,它有不同的条带,所以有经验的人来辨认可以把它排出序号。在上图中,可以看到有23对染色体,这明显是一个男性的细胞,因为它有一条X染色体、一条Y染色体,剩下的22对叫做常染色体,一半来自父亲,一半来自母亲。那么这个染色体上面到底是什么东西?。

▲DNA分子缠绕形成染色体
在这张图的最下面,就是在显微镜下看到的染色体,我们可以把它想象成一个织成的毛线团,把它展开后就会变成毛线,而毛线又是由更细的纤维组成的。按照这个逻辑,染色体也是一样的,把它一层一层地拆解开,其实它就是一个由很长很长的分子缠绕起来的物质。当你把它拆散到分子层面,就是最上面的双螺旋这条线,这个线就是我们说的DNA分子。长长的DNA分子缠绕在红色小球上,这个小球是帮助缠绕DNA的蛋白质,然后再由这个像链珠一样的结构做多轮的缠绕,最后形成包裹在细胞核里的染色体。

当我们把最上面的DNA分子拉直,就会发现它是对称结构,像拉锁的两条链。旁边脱氧核糖和磷酸组成的链是一个不变的结构,但它中间其实有像拉锁上咬合的齿一样的东西,叫做碱基,在这张图里用四个不同的颜色表示。这些碱基之间有非常强的一一对应关系,科学家用4个字母来代表,G跟C对应,T跟A对应。这样一个简单的逻辑就可以实现化学信息的编码和储存。左边这条链从上往下读的话,我们可以清楚地读出GTTCA,一旦我知道了这条链的顺序,我就可以读出另外一条链的顺序,因为字母之间的匹配是一一对应的,所以另外一条链的信息可以从这一条链完美地复制和记录下来。这就是DNA双螺旋的基本结构。

当我们谈到基因的时候,到底什么是基因?其实基因这个概念仍随着生物学的不断发现而快速发展,整个领域里大家还在不断地探讨、不断地修正、不断地补充基因的功能和定义。以我个人的理解,基因更多的是一个信息的概念,它的物理实体是DNA分子,是DNA上这四个碱基所组成的序列,但基因本身是它所代表的生物功能信息。染色体上的DNA长链是一本用4个字母写成的书,当有一个特定的段落代表了某一个特定的意义时(目前最为公认的功能是编码一个蛋白质),它就是一个基因。

基因到底是怎么发挥作用的,什么叫做它有特定的生物学意义?答案就在于基因虽然储存在细胞核里,但它可以经过一系列复杂的生物化学变化,由DNA序列转变成RNA序列,再由RNA的序列指导蛋白质的合成。
蛋白质大家都清楚,是我们生命活动里最主要的大分子,它可以催化各种各样的生物学功能和化学反应,使细胞体现不同的功能。但是合成多种多样蛋白质的最底层信息,是储存在DNA序列上的。我们所有细胞里的重要功能分子,它组装的信息和方法都储存在了DNA的分子序列里。

▲生命的中心法则
因此,生物学有一个最重要的核心定律,叫做中心法则。存储基因的DNA上面有一个复制环,代表DNA自己可以不断地复制,把自己的信息进行抄写传递给后代。同时,DNA可以通过转录,把它的信息抄写在另外一个分子mRNA上面,mRNA经过翻译的过程可以产生出各种各样的蛋白质,从而使我们的细胞执行特定的生物学功能。

我们来做一个简单而形象的类比,我们把所有染色体上面DNA分子的字母顺序都读出来,这个整体的信息就是基因的总和——基因组。它对应的就是一本书,这本书就是生命的天书,写的内容决定了我们是人,还是一只老鼠、一个大肠杆菌、一只兔子。它本质的、底层的化学分子是一模一样的,唯一使我们不一样的就是4个字母的排列顺序。
计算机用0和1两个数字,就可以组成五彩斑斓的程序和AI算法,非常神奇。可以想象,我们的生命也是用A、T、G、C四个字母来书写信息,产生了这么丰富的生命大千世界。你打开基因组这本书之后,它会有一个一个的章节,每一个章节对应的就是一个染色体,所以我们人类这本书有46个章节,其实是23对章节。46个章节的每个章节里面有很多段落,每一个有意义的段落就是一个基因。所以我们整个基因组就是一本用4个字母写成的书,用化学分子排序记录的生命信息。

▲有性生殖过程
还有一个重要概念,在我们人类或者大多数高等生物繁衍的过程中有一个有性生殖的过程。由母亲提供一个卵子,里面携带着23条染色体,也就是23章的书。然后由父亲提供一个精子,携带着23条染色体。精卵结合之后会形成一个受精卵,受精卵会把这46条染色体完整地组合在一起,形成一个新的孩子。这时,生命之初只是一个单细胞,单细胞在母亲的肚子里漂浮大概一周的时间,才能从一个单细胞变成一个由多个细胞组成的结构,叫做囊胚,囊胚会植入到母亲的子宫壁里面,逐渐地长成一个胎儿。
在这个过程中,从一开始只有一个细胞的受精卵,到后面分裂成成千上万的细胞,每一次分裂,这个细胞的细胞核都要复制一次,也就意味着这个细胞核里的46条染色体要完美地复制一遍,平分到两个细胞里。所以,一开始父母给你的信息会非常精确地拷贝到你身体的每一个细胞里。
基因编辑是什么?
已完成:40% //////////
基因其实就是一个化学的文本,基因编辑就是编辑用化学语言写成的文本。

人类大概有2万多个基因,我们可以用这个技术让一个特定基因失去功能(敲除一个基因),就相当于在书里面删掉一段话。现在的技术还可以精确地改变特定的基因序列,甚至可以实现单个字母的精确修改。我可以到想要的特定章节、特定段落,把一个A改成一个G,或者把一个C改成一个T。另外我们还可以定点地整合大片段,把一个新基因放到特定的位置上,相当于在这个章节里增加一段新的语言,给它构建一个新的意义。

基因编辑技术到底是怎么实现这件事情的呢?还是再次回溯,细胞里面有细胞核,细胞核里有染色体,染色体上缠绕的是DNA分子,DNA分子的A、T、G、C排列序列,就是我们在说的基因信息。

灰色的双螺旋是DNA的分子,彩色的蛋白质就是基因编辑工具,你可以把它想象成一个微观的剪刀或者抓手,就像分子机器一样。这些不同形态的蛋白质可以特异性识别DNA序列,它就像一个文字的读取器,可以精确地结合到你所要去结合的位置。比如我们需要编辑21号染色体的某一位置的某个基因的某个特定区域,一旦定位到这个位置后,蛋白质就可以进行化学操作,使A、T、G、C的序列发生改变。所以,尤其是上图最右面这个技术,叫做CRISPR-Cas9技术,成为了现在最常用、最易用、效率最高的基因编辑技术。

这两位科学家因为解析了CRISPR-Cas9识别DNA序列的原理,获得了2020年的诺贝尔化学奖。

大家可以看到,图片中上面是经过冷冻电镜解析的蛋白质结构,中间绿色的是RNA的结构,CRISPR-Cas9系统是由这个蓝色的蛋白质跟绿色的RNA结合起来的复合物,可以去基因组里寻找跟这个RNA匹配的DNA序列,一旦序列发生了完美的匹配,这个蛋白质就会被激活,从而实行特定的功能,修改特定位点的DNA序列。底下的是一张简化的模式图,它其实就是一个分子尺度下特定的识别DNA序列并进行操作的文字处理器。
基因编辑能做什么?
已完成:50% //////////
基因编辑到底能做什么?我们刚才提到,在这个星球上,几乎所有的生命都是以DNA作为最基本的生命信息储存分子。也就是说,我们跟一个细菌、一棵海藻最根本的区别就是我们DNA序列储存的信息不同,这4个碱基的排列顺序不同。

所以,当我们有了改变DNA序列的工具和能力,几乎所有跟生命有关的产业应用、研究都可以被基因编辑技术赋能,无论是对于农作物精确的育种改造,还是对于工业微生物基因的改造,或是对于动物模型的构建,都能极大地提高能力和效率。还有很重要的一点,人类的很多疾病是由基因缺陷导致的,是否可以通过编辑我们自身的基因解决疾病的问题,使我们更加健康?这也是很重要的应用场景。

举几个简单的例子。大家看这张动画,在显微镜底下,这是一个模拟的单细胞受精卵。一根针可以把基因编辑的蛋白注射到受精卵里,在生命的一开始就对基因进行改造。

▲上:小鼠动物模型
下:猴子动物模型
上方图中这是一只小鼠的受精卵,通过在生命之初把基因的序列改造之后,再把这个受精卵移植到受体的子宫里面,无论这个受精卵发生多少次分裂,已经被改造的基因都会传递到身体的每个细胞里。这样一步就可以得到一个身上每个基因都被精确修改过的动物模型。我们中国科学家也取得了很好的成效,可以实现对非人灵长类动物中猴子的基因改造。
为什么要做这个事情呢?这可以对我们的科学研究提供有力的帮助。比如说有些疾病是因为基因缺陷导致的,我们没有办法直接在人的身上做非常复杂的实验、进行药物筛选研究,但我们可以用小鼠甚至用其他非人灵长类作为模型模拟这个疾病,那我们就需要把人类的基因突变在动物身上进行复现。

▲不长角的公牛
这是美国科学家做的另外一个工作。因为在养牛的时候公牛喜欢打架,会导致非常多的伤害,提高维护成本。所以他们就在牛的受精卵里敲除了角发育需要的基因,这些公牛就不长角了。这也是一个有趣的应用。

▲生长更快的猪
这个是我们研究组的工作,在中国有一种特产的猪,它的肉质很好,但是不如工业繁殖用的猪长得快。所以我们就对它一个特殊位点的单个碱基字母做了修改,使它的生长速度快速提升。图中上面的猪是经过基因编辑的,下面的猪是野生型的。在同样的六月龄,经过改造的猪成长速率大大提高。而这个改造甚至都没有发生在基因编码区里,它只是发生在一个非编码区的单个字母上,就产生了这么显著的效果。

除了动物以外,很多科学家在植物基因改造方面也做了大量工作,可以生产保鲜期更长的番茄,以及抗不同病害的主要农作物,这些都在进行广泛的研究和应用。
对人类的基因编辑
已完成:70% //////////
最后说一下人类基因的编辑。

回到这张图,我必须要强调,编辑人类的基因必须要严格地区分编辑的是体细胞还是配子细胞。因为如果编辑的是一个成年人的体细胞,你改造的只是他的部分细胞,且改造的基因不会传递给后代。所以这是一个相对来说安全性较高、伦理争议更低、正在被积极研发用于治疗不同疾病的应用方式。

▲体细胞基因编辑应用
这里面区分一下,有两个类型的应用。一种叫做体内的基因编辑和基因治疗,可以把这些改造基因的蛋白和试剂直接注射到你的血液里,让它到你特殊的组织脏器里,在体内改造你的某些细胞的基因。另一类叫做体外的基因治疗,就是说有一些细胞,我们可以把它从人的身体里取出来,比如说我们的造血干细胞、淋巴细胞,都可以很容易地从体内提取出来,养在实验室的培养皿里,在体外完成基因的改造后,再把这个细胞回输给患者。所以这两种方法其实都有不同层次的应用。

简单举例来说,这是一个体内基因治疗的例子。我们可以用输血的方式,把包裹着基因编辑蛋白的颗粒注射到人的血液里。这些颗粒就会进入到人的肝脏,被肝脏细胞吸收,蛋白就会进入肝脏细胞的细胞核,完成精确的DNA序列的修改。

▲镰状细胞贫血同样可以使用基因编辑治疗
这就是另一类的体外基因治疗,我们知道在中国的两广地区有一些高发的遗传病,比如说地中海贫血,就是由于跟红血球发育有重要关系的基因存在缺陷。这时我们就可以把患者体内的造血干细胞取出来,在体外用基因编辑技术把发生突变的基因纠正过来,然后再把这些造血干细胞移植给患者。这些造血干细胞可以终身维持患者的造血,因为它的基因已经被修复了,所以产生出来的红细胞也是正常的,能够更好地执行功能。这只是很少的例子,我们还有很多很多应用的例子,比如对肿瘤进行干涉,还有一些传染病也可以用基因编辑来治疗。
可以开展人类可遗传的基因编辑吗?
已完成:80% //////////
除了刚才提到的体细胞,我想格外说一下配子的基因编辑。
大家一定要意识到,这跟刚才我提到的体细胞基因编辑是不同概念的事情,因为当你编辑一个人的配子,你影响的不是这个人,而是他的后代。也就是说这个生命还没有被创造出来,他并没有知情权和同意权,这是第一点。
第二点,一旦你改造了胎儿最早期的基因,你改造的就不是他某一些细胞里的基因,而是他身上每一个细胞的基因,包括这个人将来的配子细胞。如果这个孩子被改造了,只要他有后代,他的后代也会继承被改造过的基因,这就不是一个人部分细胞的问题了,而是他身上的全部细胞和他子孙后代基因的问题。
所以这就不能由个人去做价值判断,甚至都不是一个国家、一个文化可以做价值判断的,因为他将来可以通婚,可以跟别人产生家庭、孩子,都会产生影响。这还涉及到人类公平,我们要思考,改造生命最本质的基因信息,人类的尊严、人类的公平是否会受到挑战?所以人类的可遗传基因编辑其实是一个很严肃的话题。
大家或许还记得,在2018年年底发生了基因编辑婴儿事件,这也是第一次受精卵在经过编辑后产生婴儿,当时这件事情引起了轩然大波。

我作为这个领域的从业人员,第一时间跟我的同行一起,针对这个事件性质的定性为国家提供了意见。我们也第一时间在不同的媒体发声,声明我们对将基因编辑应用到可遗传人类基因上这种非常不负责任的行为的谴责。同时我们也撰写了专业的学术论文,去批评、阐释这个实验和应用为什么是不负责任的。

也因为这个事情,全世界都意识到必须要有一个规范,有一个全世界的共识来约束这些不负责任的行为。所以,由国际的学术共同体组织了一个人类可遗传基因编辑的委员会。这个委员会由几十个国家的科学院共同派出代表,我很荣幸作为中国的代表之一参加了这个委员会。

▲https://www.nap.edu/catalog/25665/heritable-human-genome-editing
我们经过近两年的会议和讨论,最后形成了一份报告。这个报告可以在图片底部的网址免费下载,里面非常详尽地阐述解释了什么是基因,什么是遗传学,什么是遗传疾病,什么是基因编辑技术,基因编辑技术潜在的应用和它的风险。
经过大家的讨论,最终有三个非常主要的结论。第一,现阶段任何可遗传的人类基因编辑都不应该进行临床应用。你可以在实验室做研究,但是不可以把经过编辑的胚胎或者是配子细胞形成一个胎儿,植入到母亲的子宫里,让它变成一个人。因为当前的技术发展还无法达到足够的精准,效率和精准度都没有达到要求。
但这不代表不可遗传的基因编辑不能应用,因为这两者应用的技术门槛是不一样的。比如说对于一些遗传病的治疗,编辑人的体细胞,不需要100%精确,只要有一部分细胞的基因被成功地编辑好,它就可以对疾病有帮助。但当你去做可遗传基因编辑的时候,我们不能容忍一个错误,因为这会变成一个胎儿。如果有一个错误的话,这个孩子就出现了有风险和错误的基因改造,会影响其全身所有基因及其后代。所以在可遗传和不可遗传基因编辑之间的应用有非常清晰的分界,这两种应用对于技术的要求也不一样。
第二点就是在任何国家计划批准相关临床应用之前,一定要有一个国家级别的和国际的透明监督机制,来监督整个科学研究的进展和这个团队是否已经达到了足够高的技术水平。所以对于科学领域的人来说,我们从来不去盲目地说什么技术是永远不可以应用的,我们只是评价当前的技术手段还不应该被应用。如果你将来要应用,需要达到一个足够好的科学技术水平。我们在这个报告里也详细地列出了必须达到什么样的技术标准,才可以考虑进行应用。
第三点,即使你达到了非常高的技术标准,在国家和国际的监督下达到了一定技术水平,那你初始的应用也应该局限在非常特殊的情况下——就是严重的、致死的遗传缺陷疾病。在这种情况下,才可以考虑应用在人类可遗传的基因编辑中。
我今天最后想留给大家的就是当我们谈论基因编辑时,不能泛泛而谈某一类技术是否安全有效,我们必须要针对它的特定应用、特定场景来讨论。这里面我想做两个最重要的区分。一个是当我们编辑人类基因的时候,进行的基因改造到底是可遗传的还是不可遗传的,这个我刚才已经花了足够的时间来讲述。
第二个就是编辑的目标到底是为了治疗疾病还是增强,这是很不一样的应用。疾病是有清晰定义的,但增强则是把健康的人的某一些特征,用基因的改造方式进行提升。这个对于社会公平、伦理以及人的尊严,都存在更大的挑战,需要更多的社会共识才能推进。
所以我认为目前最主要应该是集中力量,把不可遗传的基因编辑应用于重要疾病的治疗上,这也是我们研究组以及众多的国内外科学家、公司都在努力推动的事情。
希望基因编辑可以更好地服务人类的未来,谢谢!
- END -
文章和演讲仅代表作者观点,不代表格致论道讲坛立场。
版权说明:
未经授权严禁任何形式的媒体转载和摘编,
并且严禁转载至微信以外的平台!

更多阅读
第一时间观看格致论道演讲视频?
请关注“中科院格致论道讲坛”官网和B站号



原称“SELF格致论道”,是中国科学院全力推出的科学文化讲坛,由中国科学院计算机网络信息中心和中国科学院科学传播局联合主办,中国科普博览承办。致力于非凡思想的跨界传播,旨在以“格物致知”的精神探讨科技、教育、生活、未来的发展。欢迎关注格致论道官网:self.org.cn,微信公众号:SELFtalks,微博:格致论道
到顶部