如果老人总是身体不舒服,却查不出哪里有问题,很可能患上了老年抑郁症 | 孙新宇




抑郁是一个可以治疗、能够治好的疾病。
所以我们必须得了解它、重视它,
对于老年人更是如此。
孙新宇 · 北京大学第六医院老年科主任医师
格致论道第91期 | 2023年3月4日 北京

大家好,我是来自北京大学第六医院的孙新宇,是一位老年精神心理医生,今天想分享医学中关于精神心理方面的一点知识。
说到精神障碍,或许我们很多人会觉得那是些奇怪的人,唯避之而不及。在我大学毕业的时候,因为一些偶然的原因,我放弃了喜爱的眼科专业,走到了精神科领域。“金眼科,银外科”,而精神科是大家根本就不愿意去的地方。当时我也是很忐忑,这个地方我能不能适应呢?我的一位中学老师跟我说:“新宇啊,你怎么要去跟那些人打交道呢?他们会不会打你啊?”其实当时我也不知道。
时光飞逝,三十年弹指一挥间。今年我工作31年了。我觉得我没有选错,我不但实现了作为医生的初衷,帮到了非常多的深受这个疾病痛苦困扰的人,而且也帮到了我自己和我的家人。心理健康和我们的身体健康一样重要,我想在座的每一个人都会有这样的体会。
今天我们要讲的话题是老年抑郁。现场年轻人比较多,但大家家里也有老人。老人是我们现代社会里不可忽视的一个人群。世界卫生组织(WHO)的老龄化社会标准是65岁以上的人占到7%,而我们中国达到了14.9%,老年人基数是非常大的。今天我们要聊的老年抑郁就是对老年人影响特别大的心理疾病。

在社区里边,一般的老年人群里边抑郁的发生率可以达到5%。这指达到了抑郁症诊断标准,需要医生帮助的这种抑郁。而经过筛查,具有比较明显抑郁症状的人可以达到8%-16%。在一些特定疾病人群甚至更高,有研究发现可能会达到50%。
医学上有个概念,叫“伤残调整生命年”。这概念就是说因为疾病造成寿命的减低。你本来能健康地活到100岁,因为这个疾病,可能只能活到60岁或者70岁,那你的损失就是这个数据。研究发现,抑郁障碍在所有的疾病里是名列前茅的,是一个主要的致残疾病。
抑郁还有一个问题。患者不但自己痛苦、生不如死,而且家人也痛苦,因为他不能工作,他要看病等等,此外还会造成很多社会资源的浪费。
最重要的是,这是一个可以治疗、能够治好的疾病,哪怕在现代医学里这样的疾病也是不多的。所以我们必须得了解它、重视它,对于老年人而言,更是如此。
老年抑郁--隐身的杀手
已完成:30% //////////
如果要用一个词来形容老年抑郁是种什么样的疾病,它最突出的特点是什么,我愿意用“隐身”来形容。
大家看到隐身的时候,自然会想到这是不是藏起来的抑郁。确实,它就是藏起来的。例如一位老人他可能身体有不舒服,那我们会想,他年纪大了,自然就会身体不舒服。

 
我遇到这样一位病人,他是从山西来的,60多岁。他有各种各样的不舒服,消化也不好、身上也疼、大便也不好等等,而且体重明显下降。家人就带他去看病,他做检查花了20多万,去了十几家医院。最后有医生建议他还是看看心理科吧,因为老治不好,检查都没事。他确实是抑郁,当时我记得开了一个主要治疗药物,那个药2元5角6分,当然还有点别的药。这个病人他拿了药回去,吃了两三周,症状好了70%-80%。所以,如果我们能认识到老年抑郁的存在,那不就能早早地摆脱这种痛苦吗?

大家看这张照片里的数据,像科学实验数据吧,其实这是他测的血压。还有些病人会关心他的大便,甚至大便完了以后,他会拿个小棍去挑一挑,看看昨天吃的东西今天有没有残渣。如果有的话,他就会认为自己的消化功能不好。如果一个老人特别地关注他的躯体,你要考虑考虑他是不是情绪出了问题。
我们研究也发现,当一个病人抑郁比较重的时候,去做躯体症状评估时会发现他的躯体症状都非常地突出。他的血压也降不下来,血糖吃药也降不下来。但是当他的抑郁好了,我们没做特别的躯体治疗,躯体症状也就没了。而且后期随访的时候,当抑郁病情波动的时候,躯体症状又出来了。所以我们得出这样一个结论,躯体症状在这个人群里边,是抑郁的一种表现形式。实际他是用身体在说话,告诉你我不舒服。

还有一件被忽视的事情,就是年纪大了记性不好。有个老人就说我脑子不行了,我什么也干不了了,饭也不会做了,我现在是个废物。家人说那是不是要痴呆了?但我们检查的时候他什么都会做,这是什么呢?其实这是假性痴呆。
而假性痴呆和真的老年痴呆最大的差别就是真性痴呆是神经退行性疾病,而假性痴呆是个功能性的状态,它是可以治疗的。
但是,痴呆和抑郁之间又存在着密切的关联。在痴呆病人里边,有很多人有抑郁的情绪。在抑郁的病人里边也有认知功能的下降,如果他的抑郁不经过治疗,那发展为痴呆的比例会大大增加。抑郁是痴呆的危险因素,尤其是中老年人群。

   
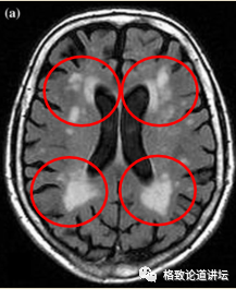
我们能看到这个图大脑前边在侧脑室前后角有两块白的东西,这是白质脱髓鞘,我们也叫“穿靴戴帽”,非常形象。这预示着那部分白质的损害,使得脑的环路受到了影响。人的情感环路实际上是有神经结构支持的。老年的这种情感环路的损害就会造成抑郁,所以老年期的抑郁是有病理基础的。

▲ 多事之秋的老年
另外,老年期还有一个特点就是烦心的事情多。老伴生病了,老朋友去世了,这些都不是什么特别好的事情。有一位老太太是个“老八路”,很有教养,其实生活很好,但是有一段时间她不高兴。孩子们就问妈妈为什么不高兴,她也不说。后来才发现这个老太太被骗走了大约300万。有个骗子不知道跟她说了什么,骗这位老太太去转账。她到了银行,银行的工作人员说:“阿姨,孩子没陪您来,我们不能给您转。”然后老太太出门就给骗子打了个电话,骗子就告诉她,你出门往右拐,那边还有一个银行,你到那个银行如何跟工作人员说。结果老太太就特别听话地把钱转走了。
大家也知道有多少老人上当受骗。这仅仅是智能下降了吗?实际上在某种程度也反映出来老年人某种心理状态,老年期的脆弱感,他的应对能力明显下降。所以作为一个子女,作为一个旁观者,我们对老人的关爱,不仅仅是要关爱他的身体,也应该关爱他的身心。
抑郁症是可以治疗缓解的
已完成:50%//////////
 
那我们能做什么呢?我们能做的其实还是不少的。
首先,如果您觉得家里的老人变得和以前不一样了,变得很奇怪。然后他有些行为的紊乱、情绪不好、非常地懒散,就可以带他去看医生,也可以做一些筛查。
 

▲ 抑郁症筛查量表
这里列出了一个量表,其实这不仅适合老年人,我们也可以做一做。这个表叫PHQ9,如果您的得分大于9分的话,我建议您可以找我,或者找其他的医生看一看。
我们可以做一些治疗。虽然好多病不能治,但抑郁能治。我们医院会把所有的病人在住院期间的好转率、治愈率做一个总结。我所在的老年科实际上是难治的病人比较多的,可能70%以上都是抑郁的病人。我们每年的治愈及好转率都可以达到95.5%以上,所以这是一个能治的病。
能治为什么不治? 能够帮到更多的老人,对我们来说也是一种安慰。

▲ 老年抑郁治疗的多种手段
老年抑郁有很多治疗方法,包括基础治疗,例如锻炼身体、晒晒太阳、参加一点活动、保证好营养。也包括物理治疗,比如MECT(无抽搐电休克治疗)、经颅磁刺激、深部脑刺激等等。
药物治疗和心理治疗是老年抑郁的一线治疗。在药物治疗这个地方,我要特别地说一句。我们有30多种抗抑郁药,总有效率(痊愈、显效、有效的概率)是很高的。但是为什么老人有的时候效果不好呢?
年纪大的老人,尤其是有一点文化的老人,他会去研究说明书,他就担心自己是不能吃这个药的。因为治疗是需要点时间的,所以如果家里老人有这样情况的话,要劝一劝他。
心理治疗也是一个非常有效的方法。心理治疗有10多种,它需要在治疗师的指导下进行。最常用的两种心理治疗,一个是认知行为治疗,一个是正念认知治疗。我在这跟大家稍微科普一下基本原理。

大家在这个图上看到了什么?或许有人看到了一个漂亮的小姑娘,或许有人看到一位丑陋的老太婆。同样的一张图,为什么会看得不同呢?因为我们脑海里投射出来的东西有可能不是特别一样。
对一个问题的看法,决定了你最后感知这个问题的态度。同样是退休,有的人会非常高兴,我退休了,可以游山玩水了,不用天天早上早起了,我想干什么干什么。但有些人会觉得我退休了,没用了,再也不能给社会创造价值了,我真的是老了。
同样是这样一件事情,他的感知是不一样的。而抑郁的病人更多的是负性的感知。我们可以告诉他怎么去转变自己的感知。因为每个人都会面临着很多问题,总想看到那个不好的地方,你能快乐吗?

所以认知行为治疗是用专业的方法,帮助老人看到全面的东西,效果非常好。我们有循证证据,这是明确有效的心理治疗方法。
那么正念治疗是什么呢?正念是不加评判地关注当下的体验。
你是不是会觉得,这有什么了不起的吗?你在听孙大夫讲课,肯定是在想她说的是什么。但是听我讲课的时候,你是不是也会走神?那么正念是不是就是一直想好的东西,然后就好了呢?也不是。而是需要一个方法帮助你如何去生活。
例如说吃饭,狼吞虎咽地吃饭可能食之无味。但是如果你细细地静下心来体会,即使吃米饭的时候,都会觉得米饭特别香。实际上,正念就是当我们做什么事的时候,关注在什么事上。

▲ 正念治疗
 
老年人更愿意接受正念的治疗方法,因为它来源于东方文化,对生活没有干扰,对身体没有危害,同时效果也特别好。我的研究发现,老年人在8周的治疗中,前2周睡眠就明显地改善了,到第8周的时候焦虑、抑郁明显改善。当然,这个过程还会延续,因为这是学习的过程。这个研究目前还在进行,病人没有一个脱落的(即离开试验)。

  ▲ 老年抑郁正念治疗模式
我们还发现,正念对脑网络产生了影响,它使得我们皮层的高级中枢对于下层的控制增强了,然后不良的反馈减弱了。

▲ 正念认知法能有效缓解老年抑郁障碍患者的抑郁症状
Front. Psychiatry 13:841461.doi: 10.3389/fpsyt.2022.841461
大家或许知道,我们细胞中染色体的端粒和长寿有关系。研究显示,接受正念治疗的人端粒要更长,那就是说正念会让你更健康、更长寿。正念不是一个单纯的治疗,它实际上是我们的健康储蓄。如果你想让自己的生活更好的话,也可以稍微尝试一下,不仅仅是抑郁和老年的时候。
幸福的终极目标
已完成:90% //////////
有一次我看了一位老人,是一位95岁的非常著名的编辑。她的耳朵不太好,又得了抑郁。我们调整以后好了,我还问她,如果说让您选择生命的长度、生命的宽度或者生命的质量的话,您会选择什么。她说我肯定不只选择长度,也不关心宽度,我更在意生命的质量。

我想,这句话实际上是很多人的心声,我们活着就想活得更好,活得每天都幸福。
作为一名医生,我看到我的病人慢慢地好起来,心里是非常欣慰的。我看到他们渴望的眼神,有的时候会有些惭愧。我愿意用我所有的身心帮助到他们,希望他们都能够快乐 。

作为一个家人,作为一个孩子,我也有一个小小的劝告。当老人痛苦的时候,他表达不出来。他会说很多很多的难听的话,你可能会生气,但实际上他真的是难受。如果你多一些关照,能够理解他的痛苦的话,我们能够更好地帮到他。这个病是可以治疗的,我们所有的医生都愿意帮他。
最后再回到我们的话题。其实生命是特别美好的,我们希望每天都幸福。一位古希腊哲人说过:“快乐的生活是身体无痛苦,灵魂无烦恼。”这就是幸福的终极目标,希望我们所有人都能达到。
谢谢大家!
- END -
文章和演讲仅代表作者观点,不代表格致论道讲坛立场。
版权说明:
未经授权严禁任何形式的媒体转载和摘编,
并且严禁转载至微信以外的平台!

更多阅读

 
 

原称“SELF格致论道”,是中国科学院全力推出的科学文化讲坛,由中国科学院计算机网络信息中心和中国科学院科学传播局联合主办,中国科普博览承办。致力于非凡思想的跨界传播,旨在以“格物致知”的精神探讨科技、教育、生活、未来的发展。欢迎关注格致论道官网:self.org.cn,微信公众号:SELFtalks,微博:格致论道讲坛。
到顶部