继续操作前请注册或者登录。

当我们恐惧和焦虑时,大脑里发生了什么? | 路中华


睡眠,实际上是由大脑精密控制的一个行为。当人的睡眠开始变得不好,比如每天早上5点钟就醒了,可能是脑衰退的一种体现。
——路中华
路中华  
中国科学院深圳先进技术研究院研究员
大家下午好,我是路中华,来自于中国科学院深圳先进技术研究院。今天我来给大家聊一聊:我们头顶上的这个——脑子。
首先我想给大家回顾几个问题,我们为什么能够看到阳光?我们为什么能够闻到花香?我们为什么能够感受到清风拂过我们的脸庞?我们为什么能够走路?我们为什么会歌唱?我们为什么会学习?我们为什么能记忆?我们为什么会有喜怒哀乐?
所有这些关于我们自己的问题,都与我们头顶上、头骨下方这个一公斤多一点的灰白色的器官,有着直接的关系。
虽然我不能告诉大家大脑到底是什么,但我可以公平的说,它是我们人类,或者是我们人类进行的科学试验所要研究的黑盒子之一,甚至我们可以把之一去掉。今天我会用20分钟左右的时间告诉大家how fascinating this black box is.
 
首先在讲之前,我还是想给大家回顾一下,我们怎么来定义大脑,到底什么是大脑?从结构的角度上来讲,一个最简单的方式来定义大脑,就是大脑中有1000亿个神经元。大家可以想象,整个地球上才有100亿个人,大脑中却有1000亿个神经元。
我想大脑之所以能够执行如此复杂的功能,引起我们无限的遐想,一个非常重要的特点,就在于它有着数目众多的神经元。每一个神经元跟我们每一个人一样,我们认识不同的人,操着不同的语言,来自不同的地方,遇到不同事情的时候会有不同的反应。
正是有了1000亿个神经元所组成的,我们管它叫Ensemble的这样一个巨大的集合,我们的大脑才拥有了无与伦比的功能。
 

在一百多年前,西班牙有一个非常著名的神经解剖学家Ramón y Cajal,他发现大脑中的神经元有一个非常关键的特性,就是它们长得都不一样,它们在形态上的差别要远远大于我们每个人之间的差别,所以他就非常细致地把他在大脑皮层中看到这些神经元勾勒了下来。

他当时发现了差不多几十种神经元,我们现在所知道的大脑中所拥有的神经元的数量,要远远多于Ramón y Cajal先生在一百多年前感受的程度。现在随着分子生物学技术的进步,随着光学技术的进步,我们可以更好的去分辨大脑中到底有多少种不同的神经元。
 
我们脑中有一个部分叫小脑,它来负责这些控制运动的神经元,英文叫Purkinje Cell。大家可以看到神经元的样子都是我们所没见过的,它看起来像是一个植物,但是自然界中没有任何一个植物长成这个样子。

它有上边这些像树杈一样的东西,我们管它叫树突,这是神经元的一个非常基本的结构。除此之外,再靠下一点的地方有个圆圆的东西,我们管它叫胞体。
如果把它想象成一个芯片的话,那么芯片利用上面的树突来收集信号,收集信号后进行处理,再通过下面这个小小的结构叫轴突,我这里只显示了一部分,把它传递到跟它连接在一起的神经元上。
 

这些控制运动的神经元Purkinje Cell排列在一起,形成一个非常有序的结构,互相之间形成一个传递和解算信息的有序结构,看起来就像这张图一样。

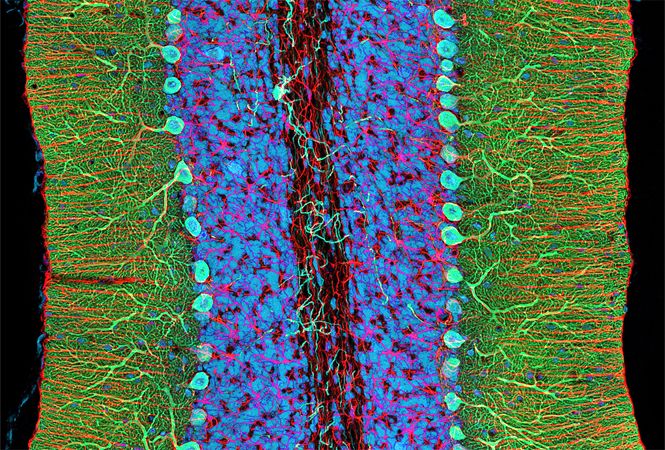
一般来讲,我们都认为大脑是智力的源泉,它是学习和记忆的基础。在人的大脑中有一个结构叫做海马,这里有很多控制记忆的神经元,我们用现代分子遗传学的方法,把不同种类神经元标记成不同颜色的时候,它看起来是这个样子。
 

这个看起来是不是非常像一棵一棵的树?这个是控制睡眠的神经元,大家可能觉得睡眠是一个非常简单的行为,我困了自然就睡。
事实上睡眠是由大脑控制的,是一个非常精准的行为,而你看到的这些神经元根本就不是来自于哺乳动物,也不是来自于人类,他们实际上是来自于小小的苍蝇,苍蝇大脑中控制睡眠的神经元就是这个样子的。
刚才说了大脑最根本的特性,是它有1000亿个形态和功能各不相同的神经元,那么脑到底在做什么?我想大家每个人都知道一点,我可以和大家回顾一下。
 
大家一般说到大脑的时候都认为,它是智力的源泉,但是大脑同时控制着我们的生理和运动功能,你能够正常走路都是由大脑来控制的。假设你一侧的半规管出现问题,也就是它投向大脑的平衡信息出现问题的时候,我们就不能正常行走了。

睡眠,实际上是由大脑精密控制的一个行为。当人的睡眠开始变得不好,比如每天早上5点钟就醒了,可能是脑衰退的一种体现。
人不同于很多其他的植物,他有非常复杂的社交行为。比方说猫咪在抱着你的腿撒娇的时候,实际上这是猫咪的一种需要,我们人也有非常强烈的社会交往需要,我们在后边还会讲到。
人能够学习和记忆,不光是在学校里读书,学习课本上的知识,学习打牌,知道打牌输了的时候往脸上贴纸条,这也是学习的一部分。
 

我们人还有一些非常特别的,经过自然选择保留下来的行为,比方说冒险的行为,大家觉得非常简单,实际上冒险一点都不简单,它是经过大脑非常复杂的计算,才能够执行的一个行为。
后边还会讲大家的七情六欲,我们为什么会喜怒哀乐?我希望带给大家的一个观点是,大脑不光是智力的源泉,非常重要的,它也是情感的源泉。
总结一下大脑的功能,我认为可以分成四个部分,第一是我们能够感知周围的环境,第二个是运动控制。不光是运动,包括我们的生理都是由大脑来控制的。
第三是我们经常提到的学习和记忆,最后是情绪和情感。对于大脑的结构来讲,一个基本的特点就在于,不同的大脑区域可以控制不同的功能。比方说你的前额叶皮层就是用来控制情感的,包括你的决策。
刚才演讲的唐克扬老师说,他走到山上,在思考怎么样建好建筑,在进行抉择的时候,他的前额叶皮层应该是非常活跃的。我们人有五种感知觉系统,你能够感受外面的世界,都是由后边颞叶来控制的,小脑和大脑的一部分皮层是用来控制运动的。
我们的呼吸心跳这些基本的功能是由脑干的一些非常重要的核团或者叫神经元来控制的。这个是大脑在结构上的一个非常重要的特点,不同的区域,执行不同的功能。
 

大脑不同于人体的任何一个圈,刚才跟大家讲过,它有1000亿个神经元,从细胞的数目上来讲,它和身体的其他器官没有显著的区别,但是大脑之间的神经元是通过电信号相互传递信息的,这是大脑不同于身体里其他器官的特征,下面我会用一段非常简单的视频和大家解释一下。
每一个细胞、每一个神经元都相当于一个芯片,这个芯片会受到两种信号的影响,一种是红色信号,是激活它的信号,另外一种是蓝色信号,是抑制它的信号。经过它自己的解算后,会做出一个决定,也就是到底要不要发出这个信号。它发出的这个信号是电信号,我们在神经科学上管它叫动作电位,大家注意一下,它有红色和蓝色的信号集合。
当这个信号达到一定程度的时候,一个信号传递到下游的轴突上,这就是一个动作电位。动作电位传递到下游,每一个神经元再跟下游的1000多个神经元发生信息交互,所以它们信息交互的复杂程度远远超过了我们的想象,我认为这在一定意义上是对还原论的终极挑战,想要用还原论的方法来解答生物芯片是怎样工作的,我认为在一定程度上来说,是不可能的事情。
 
我们为什么关心大脑?为什么关心脑科学?我想除了它是我们人类认知和最终挑战的目标之一,还有一个非常重要的原因在于,大脑功能如果出现了异常,会带来非常多的疾病。
我下面给大家举个例子,比方说大家都非常关心的老年痴呆症,左边是一个正常人的大脑形态,右边是得了老年痴呆症以后的。

大家可以看到它皮层的厚度大大缩减了,我们用来执行学习、记忆、情感以及运动的这些相关信息的神经元,有50%到60%以上都丧失了,它丧失了这些非常核心的部分,也就导致我们丧失了学习和记忆的能力,你不知道你的家在哪了,你不认识你的女儿了。
 
除此之外,画面中的这位老人得了另外一种神经疾病,也是一种神经退行性疾病,叫帕金森氏症。可以看到他在静息态时,有非常严重的震颤。
那么这个震颤是由什么产生的呢?在中脑里,有一些神经元叫多巴胺神经元。我们到现在还不清楚其中的缘由,随着人年龄的增长,这些多巴胺神经元会逐渐死亡,当它死亡超过85%的时候,就会出现这位老人在静息态的震颤症状。
 

除此之外还有一些,比如睡眠方面的疾病,不光人会得这个病,狗也会得,视频里这只狗得了一种非常奇怪的睡眠症,叫发作性睡眠症,大家可以观察一下,它刚才还玩得好好的,但是当控制睡眠的神经元出现问题的时候,它就会不由自主的睡过去,像现在,就已经完全睡过去了。

大家可以想象,如果是人也得了这样的疾病,你能开车吗?你能骑自行车吗?很显然是不能的,甚至连走路都不行,你走着路也会睡过去。但很快它会再醒过来,这些神经元有一些监护性的机制,发现你在不应该睡觉的时候睡过去,就会把你叫醒。
我想说明一点,大脑真的非常复杂,很多事情看起来容易,但日常生活中的每一件事情都是有精密调控的,哪怕它出现一点问题,都会给你的生活带来很大的困扰。
 
那么回到我们的正题,恐惧和焦虑。其实这只是一个引子,我会利用恐惧和焦虑两个例子,具体解释大脑各部分可以执行不同的功能。我最后的结论是,恐惧是由大脑中不同区域来执行的。其实你理解吗?你不理解。我理解吗?我很多时候也不理解。
回到我们刚才提到的,我们是用还原论的方法来拆分大脑,但实际上,我们在分析大脑功能的时候会遇到很多困难。
所谓恐惧,就是当你在树林里见到一只大老虎以50公里的速度朝你冲过来,你所有的生理和心理反应的集合就叫恐惧。当你走在路上,离树林还有200公里远,你就担心遇到大老虎,这叫焦虑。
那么控制焦虑的脑区看起来跟控制恐惧的脑区是一样的,说句实在话,我也不理解这到底是怎么回事。


左:控制恐惧的脑区和神经环路
右:控制焦虑的脑区和神经环路
但是有一些我们是理解的,比方说大脑中的一些特定结构,是跟恐惧和焦虑有着直接关系的。大脑中有一个跟杏仁差不多大小、长的也像杏仁的结构叫杏仁核,它的功能消失,人就完全没有恐惧了。他可以在大街上朝着汽车走过去,完全没有任何恐惧的感觉。
 

在恐惧和焦虑出现异常的时候,会通过很多精神疾病反映出来。比方说我们有一类精神疾病叫情感障碍affective disorder,它影响成年人会更多一些,比如抑郁症、焦虑症、恐惧症、强迫症,这些都和刚刚提到的那些神经元的功能失常有关系。下面讲一下我们目前正在做的工作,我们主要是关注大脑的疾病。
这是一位小朋友做的画,后面还有几张,色彩非常斑斓,我不太懂得绘画,但我觉得挺好看的。




这些画到底是谁画的呢?实际上是一个只有5岁的英国小姑娘,她叫Iris Grace,她在绘画方面有着不同寻常的天分,但与此同时,她也是一个患有自闭症的孩子。

这个孩子可以画出刚才那样美轮美奂的图画,但是她一句话都不会说,她没有办法跟人进行正常的交流,很显然她的大脑在发育的过程中出现了一些异常。
那么出现这些异常的原因到底是什么?我们能不能找到异常在哪里,并且给予她干预,让她有一个正常的生活,这就是我们正在研究的一个很关键的方面。
 
那么讲到了自闭症,什么是自闭症?自闭症又叫做孤独症或者孤独性谱系障碍,是广泛性发育疾病的一种代表疾病。一般我们国内的统计认为,每100个孩子中有1个孩子会得自闭症,美国的统计是1:68,韩国统计认为,每33个孩子中有1个得自闭症……不同的国家有不同的统计。
 
刚才说过,我们0到14岁的患者超过200万,但98.7%没有得到治疗。我想跟大家强调一点,我们通常认为自闭症是孩子的疾病,实际上不是的,自闭症是一种完全失能的疾病,意思是得了自闭症的孩子,他一生都需要其他人的照顾。聋哑人有工作和学习的能力,但是自闭症的孩子是完全失能的,会给家庭带来非常沉重的负担。
 
一般提起自闭症,大家都会想到《RAIN MAN》这部电影,达斯汀霍夫曼饰演的这个角色,有着无与伦比的数学计算能力,但他完全没有办法跟人交流,没有社交能力,这也是自闭症名字的由来。
我们在科学上可以用比较准确的方法来鉴定自闭症,这些孩子到底有怎样的缺陷?下面的例子就是他们在视觉上的缺陷。
这两幅图是一样的,其中有一个是得了自闭症的孩子,我们用仪器追踪他的目光停留在图画的哪个地方。大家可以看到,左边是得了自闭症的孩子,他的目光一直停留在图画的中央;另一个是正常的孩子,他就可以看到图画的不同部分,这也是目前我们能为自闭症诊断所做的一些努力。
 

在临床上,AMERICAN PSYCHIATRIC ASSOCIATION 出过一本非常厚的书来指导医师对自闭症进行诊断。

我觉得自闭症它不是单一的一种疾病,它是一个广泛性发育障碍,它包括非常多的亚型,一些我们到现在也没有办法准确界定的亚型。
在所谓的医师手册中,有一系列的行为案例,比如说一共有15个不太正常的行为,如果孩子出现了上述行为中的五个,就可以认为他患有自闭症,如果他出现了十个,就可以认为他是非常典型的自闭症。
所谓的行为异常都有什么呢?包括缺乏展示,缺乏语言沟通和互动,缺乏兴趣和快乐分享,对名字缺乏反应,有重复动作等。大家可以看到这些都是对外在动作的判断,并不是非常准确的界定,对于它内在的本质是缺乏了解的。
 
总结来讲,什么叫自闭症?其实在临床上它可以用两句话来概括,就是他缺乏应有的行为,出现了异常的行为,这是非常笼统的定义。我觉得这连诊断都谈不上,就更不要去谈如何干预和治疗自闭症。
对于自闭症诊断还有一个非常重要的挑战,自闭症实际上是发育障碍的一种,在自闭症的孩子中有70%到80%会出现智力发展缺陷。它会出现合并症,这在自闭症的诊断中是一个非常重要的因素,而且非常难以剥离。
很多患者会有神经发育方面的疾病,比如ADHD就是多动症,再比方说,很多孩子有学习障碍,沟通障碍,脑瘫癫痫之类的,除此之外也会有并发,因为大脑是非常复杂的器官,我们不应该只用其中一个作为核心症候,而将社会交往的行为缺陷单独剥离。
因为它包含了很多其它相似的疾病,或者说很多疾病都会具有这样的特点。怎样去解决这个问题呢?我认为整个学术界,包括医疗界还存在很大的争议。
 
稍微讲一下自闭症的病因到底在哪里?它到底是由遗传因素决定,还是由环境因素决定?先给大家普及一个知识,如果是同卵双胞胎,意味着100%的遗传物质是一样的;如果是异卵双胞胎,就只有50%的遗传物质是一样的。
如果同卵双胞胎的患病几率远远高于异卵双胞胎,就证明遗传因素在其中有非常关键的作用。大家可以看到孤独性谱系也就是自闭症,它的遗传因素是非常关键的。同时,遗传因素也在精神分裂、情感障碍、多动症这些精神疾病的发病过程中起到了非常重要的作用。
 

另外我们还会关注环境因素,我们这里讲的环境因素不是大家一般关心的环境因素,比方说水、空气、食物,我们关心的是胎儿在发育过程中,母体带给胎儿的环境,包括围产期缺氧、先兆性流产,这些事件对胎儿环境来说是压力因素,会对胎儿患上自闭症起促进作用。

那么它的病因到底是什么?实际上我们知道,但也不知道,我觉得用一个比较笼统的说法,就是神经系统、神经元在发育过程中的异常,造成了神经环路结构和功能的缺陷。这是一句非常含糊的话,可到底是什么原因,我们还不是很清楚。
 
关于它的治疗,目前主要采取康复训练,实际上康复训练就跟我们在家里训小狗是一样的。这也反映了我们在治疗自闭症过程中遇到的问题,我们根本不知道它的病因是什么,也就谈不上干预,所以目前是以这种比较低效的康复训练为主。下面讲一下这些科学研究怎样才能解决神经疾病面临的问题。
这个小老鼠是我们实验室中的,这是它发作癫痫的样子,它患有羊角疯,会不由自主的抽搐。如果测量它大脑内部的电活动,是大大高于平常水平的,大家可以看到有四肢僵直的情况,是非常痛苦的。

大家仔细观察,这时有一束蓝光进来了。这是我们用现代光遗传的手段,在给大脑的神经元“踩刹车”,抑制住它不正常的电活动。当蓝光进来的时候,小老鼠很快就恢复运动了。这说明,想要治疗神经系统疾病就必须找到它的发病原因,开发出新的技术手段才能对它进行干预。
 

下面再给大家讲一个例子,就是帕金森氏症的例子。刚才这个老人大家已经看过了,帕金森症是我们在神经系统中唯一一个非常清楚的病症,我们知道它是在哪个节点出现了问题,因此就在他的大脑中植入了一个电极,植入在出现问题的这个区域,当我们打开电极的时候,就可以抑制这个区域的非正常活动了。

大家可以看到,医生将开关打开,电极开始放电,我们就能抑制非正常活动区域的活性了。

大家注意观察这位老人,他的震颤很快就消失了,几乎是立竿见影的。现在你让老人去做一些精细的动作,就不像刚才在激活电极之前的那样,完全没有办法做任何动作。

我想科学研究的伟大意义就在这里,只有我们了解了这个疾病的本质,才能够开发出干预疾病的有效方法。希望未来有一天,我们也能够找到关于自闭症可靠的治疗方法,非常感谢大家,谢谢。


推荐阅读
点击图片直达原文





“SELF格致论道”讲坛是中国科学院全力推出的科学文化讲坛,致力于精英思想的跨界传播,由中国科学院计算机网络信息中心和中国科学院科学传播局联合主办,中国科普博览承办。SELF是 Science, Education, Life, Future的缩写,旨在以“格物致知”的精神探讨科技、教育、生活、未来的发展。获取更多信息,欢迎关注微信公众号:SELFtalks,微博:SELF格致论道讲坛


到顶部