继续操作前请注册或者登录。

CR:阿尔茨海默病研究获重大突破!中国科学家培育出世界首个全面模拟人类AD的大鼠模型丨科学大发现



阿尔茨海默病(AD)是老年期最常见的慢性疾病,以进行性记忆下降和认知功能减退为特征。AD不但严重影响了病人的生活质量,也给患者家庭和社会带来沉重负担。
AD的组织病理学变化主要是老年斑(SP)、神经元纤维缠结(NET),基于此,科学家已经提出了β淀粉样蛋白假说[1]和Tau蛋白异常磷酸化假说[2]来解释发病机制。尽管在发病机制的研究方面取得了进展,但迄今为止,疾病治疗的研究几乎都没有取得成功。主要原因之一是缺乏能够全面模拟疾病的动物模型。
实际上,在过去的20年里,科学家已经开发了200多种AD动物模型。大多数AD模型是过度表达人类App(淀粉样前体蛋白)基因的转基因小鼠。这些模型虽然可以观察到Aβ蛋白的沉积,却没有出现其他AD病理特征,比如tau病理和神经元死亡。因此,如何开发能够全面模拟AD发病机制的模型,是研究人员急需解决的问题。
近日,来自清华大学药学院的鲁白教授领衔团队在著名期刊Cell Research发表重要研究结果[3]。
在这项研究中,他们使用CRISPR-Cas9基因编辑技术,用人源化且携带三个人类家族突变的App基因成功替换了大鼠同类基因,这就保证了App基因在大鼠体内的正常表达,而避免之前模型的过表达情况。让人惊喜的是,这个AD大鼠模型表现出类似于AD患者的病理和疾病进展,这在AD模型中尚属首次。

论文首页截图
考虑到与小鼠相比,大鼠的生理行为特征更接近人类,鲁白团队将大鼠作为改造对象。
他们先在NCBI中检索了大鼠和人类App基因的DNA序列,并分析了由App基因第16、17外显子编码的Aβ42肽序列。为了构建App基因敲入大鼠,他们将大鼠App基因的Aβ42的序列及其周围突变位点序列替换为人类序列。具体来讲,就是将Swedish突变(K670N和M671L)引入16号外显子,将Beyreuther/Iberian(I716F)和Arctic(E693G)突变引入到第17号外显子。
此外,为了实现Aβ序列的人源化,还引入了G676R、F681Y和R684H三个氨基酸的替换突变。
最后,他们使用CRISPR/Cas9基因敲入技术,获得纯合App敲入大鼠,命名为纯合AppNL-G-F。至此,他们成功将三个分布在App基因的两个外显子上的家系突变,同时准确无误地敲入大鼠基因组,并实现人源化,这是一项非常具有挑战性的工作[4]。

使用CRISPR/Cas9技术产生带有三个家族突变的App敲入大鼠
为了了解这个模型与以往转基因模型相比的优势,鲁白团队从病理层面和行为层面对该AD模型进行了评估。
首先,AppNL-G-F大鼠确实避免了转基因技术中App过度表达的问题。App转基因小鼠最大的缺陷是App蛋白表达水平比正常水平高得多,这会扰乱小鼠的正常生理功能。因此,很难判断在动物中观察到的突触和行为缺陷,是由于Aβ蛋白的沉积,还是由于非生理性表达的App及其代谢物。而嵌合App基因的表达由大鼠内源启动子驱动,保留了App及其代谢物的内源水平。
其次,模型显示了全面的Aβ病理学特征。AppNL-G-F大鼠小脑中存在着丰富的Aβ寡聚体和斑块,它们在小脑中的空间分布也与人类AD大脑中的淀粉样病变相似。
鲁白团队还观察到类似于人类的Tau蛋白异常磷酸化形成神经元纤维缠结(NET)。tau蛋白病理性聚集而形成的神经原纤维缠结是AD的另一个标志,而迄今为止报告的App突变小鼠模型都没有表现出tau病理学。这显示了AppNL-G-F大鼠模型的另一优越性。
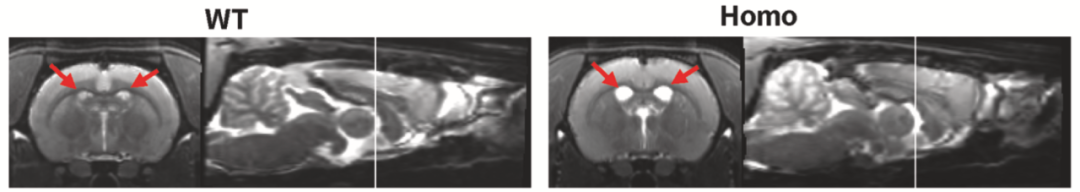
此外,这个大鼠模型还表现出由细胞凋亡和坏死性凋亡介导的神经元死亡,以及大脑皮层的严重萎缩,从MRI图像上可以观察到脑室扩大。而无论是转基因的“一代小鼠模型”[5],还是基因敲入的“二代小鼠模型”[6],都没有出现神经元的死亡或脑萎缩。

冠状面上,与 WT 相比,纯合AppNL-G-F大鼠的侧脑室扩大
在行为层面上,鲁白团队测试了AppNL-G-F大鼠的空间学习记忆功能和情景记忆功能。无运动功能障碍的AD大鼠在Morris水迷宫 (MWM) 测试中显示出空间认知缺陷,无视觉功能障碍的AD大鼠在触摸屏操作测试中显示情景认知缺陷。这些实验表明AppNL-G-F大鼠的空间学习记忆以及情景记忆均受损。
除此之外,鲁白团队在评估模型的过程中还发现:AppNL-G-F大鼠的病理变化(Aβ沉积、神经胶质增生、tau病理、突触变性、认知缺陷)发生的时间顺序,都与AD患者相似;而且,tau病理总是出现在Aβ沉积之后,这似乎提示着Aβ沉积与tau病理之间存在着因果关系。这些发现为继续深入研究AD发病机制提供了方向。
更有趣的是,雌性AppNL-G-F大鼠表现出比雄性更具侵袭性的Aβ病理进展,这与在人类中观察到的非常相似:大约三分之二的AD患者是女性。这提示着AppNL-G-F模型在揭示AD发病性别差异的潜在机制中可能发挥作用。
总之,AppNL-G-F大鼠模型表现出更类似于AD患者的Aβ斑块沉积、小胶质细胞激活和神经胶质增生、进行性突触变性和 AD 相关的认知缺陷,同时研究者还观察到了 tau 病理学、神经元凋亡和坏死性凋亡以及脑萎缩。
与之前的模型相比之后,不难看出,AppNL-G-F大鼠模型为AD研究、识别新的药物靶点以及测试治疗方法提供了不可或缺的工具。
期待中国科学家的这一重大基础研究进展,能给AD的治疗带来新的突破。

参考文献:
【1】Selkoe DJ, Hardy J. The amyloid hypothesis of Alzheimer's disease at 25 years. EMBO Mol Med. 2016 Jun 1;8(6):595-608. doi: 10.15252/emmm.201606210. PMID: 27025652; PMCID: PMC4888851.
【2】van der Kant R, Goldstein LSB, Ossenkoppele R. Amyloid-β-independent regulators of tau pathology in Alzheimer disease. Nat Rev Neurosci. 2020 Jan;21(1):21-35. doi: 10.1038/s41583-019-0240-3. Epub 2019 Nov 28. PMID: 31780819.
【3】Pang K, Jiang R, Zhang W, Yang Z, Li LL, Shimozawa M, Tambaro S, Mayer J, Zhang B, Li M, Wang J, Liu H, Yang A, Chen X, Liu J, Winblad B, Han H, Jiang T, Wang W, Nilsson P, Guo W, Lu B. An App knock-in rat model for Alzheimer's disease exhibiting Aβ and tau pathologies, neuronal death and cognitive impairments. Cell Res. 2021 Nov 17. doi: 10.1038/s41422-021-00582-x. Epub ahead of print. PMID: 34789895.
【4】https://www.tsinghua.edu.cn/info/1175/89139.htm
【5】Sasaguri H, Nilsson P, Hashimoto S, Nagata K, Saito T, De Strooper B, Hardy J, Vassar R, Winblad B, Saido TC. APP mouse models for Alzheimer's disease preclinical studies. EMBO J. 2017 Sep 1;36(17):2473-2487. doi: 10.15252/embj.201797397. Epub 2017 Aug 1. PMID: 28768718; PMCID: PMC5579350.
【6】Kawasumi M, Chiba T, Yamada M, Miyamae-Kaneko M, Matsuoka M, Nakahara J, Tomita T, Iwatsubo T, Kato S, Aiso S, Nishimoto I, Kouyama K. Targeted introduction of V642I mutation in amyloid precursor protein gene causes functional abnormality resembling early stage of Alzheimer's disease in aged mice. Eur J Neurosci. 2004 May;19(10):2826-38. doi: 10.1111/j.0953-816X.2004.03397.x. PMID: 15147316.


责任编辑丨BioTalker
到顶部