继续操作前请注册或者登录。

《自然》子刊:缺氧会加重阿尔茨海默病!科学家发现,缺氧会通过HIF1影响小胶质细胞的线粒体代谢,促进AD进展丨科学大发现



最近有一部评分很高的电影,《困在时间里的父亲》。描述认知障碍的影视作品也不少,不过这部从患者的角度拍摄,着实让奇点糕有点怕怕的。
眨眼间亲人变陌路、时光被偷走,换谁能不怕呢?
阿尔茨海默病(AD)就是这样一种可怕的疾病了。
AD的风险因素很多,遗传、衰老、环境都有重要作用,除此之外很多慢性疾病也会促进AD的进展。可能你想不到,这些慢性疾病对AD影响其实有一个共通的底层机制,那就是“缺氧”!
近日,塞维利亚生物医学研究所的Javier Vitorica和Alberto Pascual领衔的研究团队在Nature子刊Nature Aging期刊上发表论文[3],在一定程度上揭示了非遗传可变因素对阿尔茨海默病进展的影响。
研究者们发现缺氧应激作为一种阿尔茨海默病的非遗传诱因,会通过调控缺氧诱导因子1(HIF1)的活性影响小胶质细胞的线粒体代谢。

图源 | 《困在时间里的父亲》截图
阿尔茨海默病(Alzheimer’s disease, AD),是一种神经退行性疾病,目前世界范围内有超过4000万名患者饱受折磨[1]。
AD的发病机理尚不清晰,主要与遗传和环境因素相关。近年来流行病学调查显示,非遗传的可变因素致病的AD患者比例达到30~50%,比如高血压,肥胖,糖尿病和吸烟等[2]。
AD的主要病理表现之一就是β淀粉样蛋白沉积。大量的研究发现,当淀粉样斑块出现时,小胶质细胞会聚集在其周围建立保护性屏障。然而,随着AD病程的加重,小胶质细胞的防御效应也会大幅减弱。
为什么小胶质细胞的功能会减弱?环境因素会是影响小胶质细胞对神经细胞的保护吗?
小胶质细胞负责清除淀粉样斑块,会聚集到淀粉样斑块附近,在清除过程中会消耗氧气致使缺氧环境的产生。因此,研究者猜想,缺氧很可能是小胶质细胞功能减弱的一个诱因。
研究者首先通过原位杂交和免疫组化相结合的方法,对AD基因敲除小鼠的脑切片进行分析,发现在AD基因敲除小鼠中,一种转录产物,Hif1a mRNA在Aβ斑块周围的小胶质细胞内高表达,而在远离Aβ斑块的小胶质细胞内低表达。

Hif1a mRNA(棕色)在AβAM(绿色)中高表达,蓝色为细胞核 
看起来它和小胶质细胞有一腿!那这个HIF1是何方神圣?
HIF1是一种依赖氧气的转录激活因子,在血管生成和哺乳动物的发育过程中发挥重要作用。HIF1是多亚基复合体,包含HIF1α亚基和HIF1β亚基[4]。其中,HIF1β亚基是稳定的组成型表达,而HIF1α亚基在正常情况下合成后会很快降解。
在缺氧条件下,HIF1α亚基会变得稳定,与协同激活因子P300/CBP发生相互作用进而调控下游的基因转录活性。
 
研究者系统地分析了包含有缺氧诱导的效应元件(HMM)的基因表达图谱,发现在其他神经退行性疾病和衰老基因敲除小鼠中,HIF1的下游靶基因激活不明显,只在AD基因敲除小鼠中转录活跃,进一步验证了AβAM可能是通过HIF1介导的下游信号在代谢上应对低氧环境的挑战。
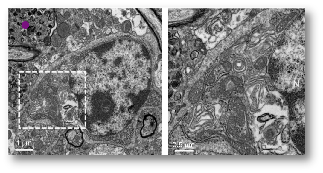
在以往的报道中,HIF1通常是诱导有氧线粒体呼吸转变为糖酵解[5]。有意思的是,研究者发现在AβAM中,HIF1诱导的厌氧性糖酵解和有氧呼吸的反常伴随激活,氧化磷酸化上调。相比对照而言,AD基因敲除小鼠海马区的电镜切片显示,线粒体形态明显延长,这些都表明Aβ斑块周围存在局部代谢应激。

 AD小胶质细胞中参与有氧呼吸相关的基因转录上调

AD基因敲除小鼠海马区细胞线粒体形态异常延展
通过培养小胶质原代细胞,研究者发现HIF1的持续过度激活会促使小胶质细胞细胞周期阻滞,并降低AβAM在体内增殖和聚集在Aβ斑块周围的能力。
那么这究竟会对实际的疾病表现造成怎样的影响呢?
研究者将14月龄的AD基因敲除小鼠分别在正常氧气(21% O2)和缺氧(9% O2)条件下培养21天进行实验。结果发现,在缺氧条件下,鼠脑切片显现出存在更多的Aβ斑块沉积,蔓延和变性轴索,进一步突显了与HIF1激活相关的可变AD危险因素的相关性。

持续缺氧会导致淀粉样斑块附近的小胶质细胞数量显著减少
最后,研究者对AD患者人脑样本分离出的不同类型的细胞进行RNA测序发现,相对于其他细胞而言,HIF1α及其下游的靶基因高度表达于小胶质细胞,这与小鼠和培养细胞的结果一致,可见在人类中,HIF1信号通路也与小胶质细胞的能量代谢密切相关。
以往对AD的研究,主要是从遗传筛选角度入手,比如易感基因apoE4(apolipoprotein E4),基因型为apoE4纯合的个体患有AD的概率达到91%左右[6]。
而近些年来人们对AD的认识转变成血管神经网络整体进行探究,因为AD通常会造成心脑血管的紊乱进而引起缺氧和营养物质的摄取障碍,血管新生和细胞微环境的应激调控成为了治疗AD的新方向。
总之,本研究揭示了淀粉样斑块相邻的小胶质细胞中HIF1信号转导在线粒体代谢中的重要作用。同时也为寻找能够提高小胶质细胞线粒体代谢适应度的药物制剂铺平了道路,以对抗Aβ斑块所施加的应激进而阻断AD进一步恶化。

奇点招人啦
Everybody Hi~!
我们需要新鲜血液,为奇点注入新的能量。
来吧,成为奇点糕,和我们一起整新活儿!

以上就是我们目前正在寻找的小伙伴~
如果你想和奇点糕们一起创作、创新,来加入我们。
简历和作品(如果有的话)请发至:hr@geekheal.com
也可直接加奇点糕的微信(geekheal-xintan)交流沟通,加好友时请备注:招聘+职位+专业领域。

我们在奇点等你。 
参考文献:
1. Blennow K. and Zetterberg H. Biomarkers for Alzheimer's disease: current status and prospects for the future[J]. J Intern Med, 2018, 284(6): 643-663
2. Sala Frigerio C., Wolfs L., Fattorelli N., et al. The Major Risk Factors for Alzheimer's Disease: Age, Sex, and Genes Modulate the Microglia Response to Aβ Plaques[J]. Cell Rep, 2019, 27(4): 1293-1306.e6
3.March-Diaz Rosana, Lara-Ureña Nieves, Romero-Molina Carmen, et al. Hypoxia compromises the mitochondrial metabolism of Alzheimer’s disease microglia via HIF1[J]. Nature Aging, 2021, 1(4): 385-399
4. Wei J., Yang Y., Lu M., et al. Recent Advances in the Discovery of HIF-1α-p300/CBP Inhibitors as Anti-Cancer Agents[J]. Mini Rev Med Chem, 2018, 18(4): 296-309
5. Balamurugan K. HIF-1 at the crossroads of hypoxia, inflammation, and cancer[J]. Int J Cancer, 2016, 138(5): 1058-66
6. Nelson T. J. and Sen A. Apolipoprotein E particle size is increased in Alzheimer's disease[J]. Alzheimers Dement (Amst), 2019, 11: 10-18

本文作者丨中科院小青年
责任编辑丨代丝雨
到顶部