胎儿处女膜闭锁并阴道积液


今天跟大家分享一个病例
外院孕妇孕31周以骶尾部前方囊实性包块考虑畸胎瘤转诊,我院超声检查如下:


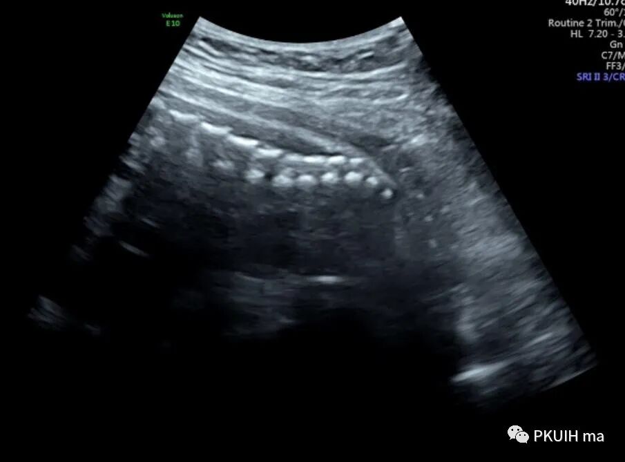
胎儿骶尾部结构清晰、未见明确占位性病变


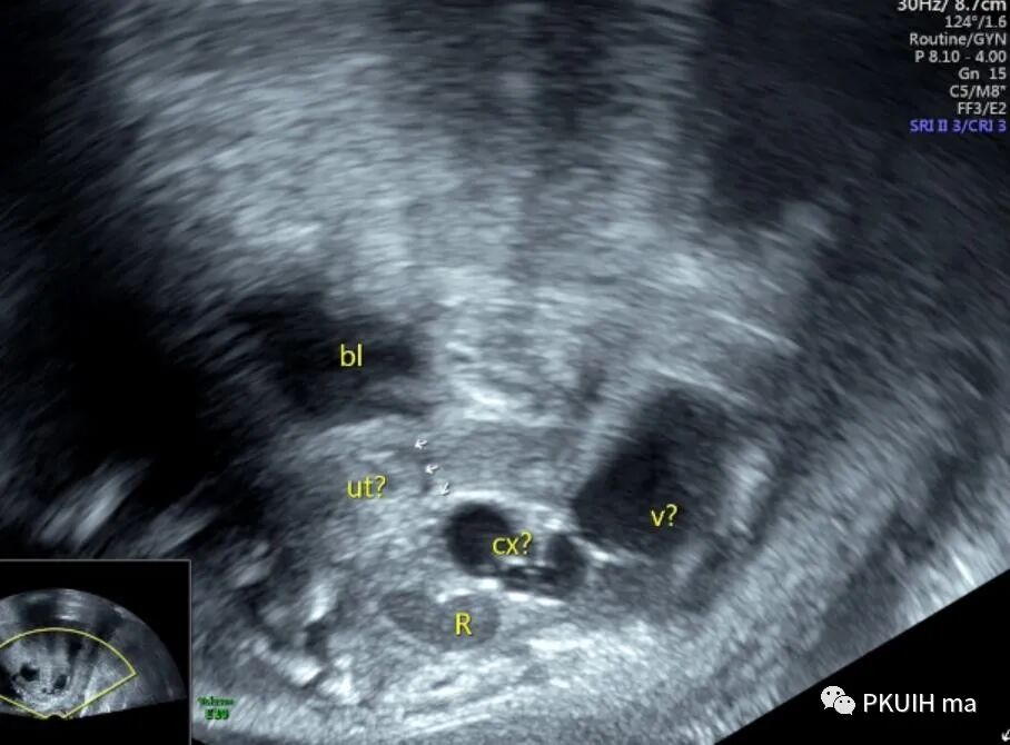
超声显示外生殖器为女性特征,肛门前方见囊性回声,冠状切面显示囊性回声延至会阴处
囊性回声似呈葫芦状,下方大,上方小

胎儿臀位,改用经阴道超声检查,囊性包块边界清晰,与周围组织分界清。
结合以上图像考虑为处女膜闭锁合并阴道积液,由于包块不规则不能除外合并阴道斜隔等其他异常。
先天性处女膜闭锁是最常见的女性外生殖道先天性畸形,系胚胎发育过程中阴道末端的泌尿生殖窦组织未腔化,导致未能向前贯穿所致。患儿常于青春期时因闭锁的处女膜阻塞经血排出致腹绞痛被发现,但在胎儿期很难诊断。子宫阴道积液比较少见,发病率为1/16000,绝大多数患者至青春期时因逐渐加剧的周期性下腹痛,但无月经来潮而被发现。严重者伴便秘、肛门坠胀、尿频或尿潴留等症状。部分可于婴幼儿甚至新生儿期被发现。
子宫阴道积液分为2种类型:其一为泌尿系统泄殖腔发育畸形;其二为母体雌激素分泌致胎儿子宫腺体过度分泌黏液样物质积于子宫阴道内。女性胎儿在胚胎发育过程中,融合的副中肾管被细胞填塞,副中肾管内的上皮细胞板退化停止造成处女膜闭锁。而处女膜闭锁可导致阴道积液。原因可能为胎儿期子宫腺体分泌亢进,导致大量子宫阴道积液。
当女性胎儿或女婴出现盆腔囊肿应想到先天性处女膜闭锁合并阴道积液的可能,当怀疑胎儿处女膜闭锁合并阴道积液时建议注意仔细观察胎儿泌尿系统。对于鉴别诊断需与腹部肿瘤或其他囊性病变(比如卵巢囊肿、输尿管囊肿、脐尿管囊肿、肠系膜囊肿、肠重复等)鉴别,同时还须与永存泄殖腔畸形鉴别。而对于骶尾部畸胎瘤的超声表现,骶尾部畸胎瘤回声复杂多样,可表现实性、囊性或囊实混合性,多以囊实混合多见。体积一般较大,多向外生长,单纯的内生型及单纯囊性很少见。CDFI:肿物内可以有血流信号,部分血流较丰富。本例由于囊性回声不规则,很容易和周围肠管混合一起而误认为骶尾部Ⅳ型畸胎瘤。

到顶部