为取悦男友,德国女子花百万做2次断骨增高手术,结果怎么样了?



“如果能长高10厘米,我愿意用我的美貌来换。”
这是我一个朋友经常挂嘴边的话,他认为有很多方面是可以通过后天努力改变的,但唯独身高是“硬伤”,真的无能为力!
在这么一个人人都希望有大高个大长腿的时代,德国31岁的特雷西亚却因为自己1米8的身高而感到“羞耻”。
事实上,你很难想象,特雷西亚原本的身高只有1米6几,她做了2次手术,花了6年的时间,前前后后花费了超过128000英镑(117.2万人民币),才将身高增加了13.5厘米。
最关键的是,她选择的是非常危险的断骨增高术,2次手术后,她也很幸运,没有出现非常恶劣的后遗症。
幸运女神似乎非常眷顾她,她为何还会在公开场合表示自己因为身高而羞耻呢?是后悔了吗?

为了取悦丈夫选择增高手术
据《每日邮报》报道,特雷西亚是一名网红,近日她在网络上公开表明,她很后悔接受了增高手术,增高想法最早是由她前夫提出来的,她很羞愧,自己居然接受了这样一个荒唐的想法,并且也这么去做了。
当时他们刚刚结婚,婚后丈夫一直在特雷西亚面前强调自己喜欢“高个子”,并向特雷西亚科普了“断骨增高术”。
原本以为丈夫就是随口说说,开玩笑的,没想到在接下来的生活中,丈夫无时无刻都在P UA特雷西亚,大概意思就是:你不是我喜欢的大高个,并不完美,如果你离开我,你什么都不是。
这样的话说了几十次之后,渐渐地特雷西亚似乎被洗脑了,最终在24岁的时候,她接受了第一次断骨增高术,手术很成功,将双腿延长了3.3英寸。
然而,事情并没有这样结束,在丈夫的纠缠下,特雷西亚在2019年的时候,又进行了第二次手术,这一次双腿又延长了2.1英寸。
拥有大长腿的特雷西亚迅速在网络走红,收获了一大批粉丝,而她和丈夫的婚姻却走到了尽头,两人于第二次手术6个月后分居。
摆脱了前夫,现在的特雷西亚坦然接受增高后的自己。虽然增高手术吃了很多苦头,但是,至少效果是让自己满意和高兴的。
通过改变外形,特雷西亚也越来越自信,年少时她总被其他同龄人欺凌,如今也能坦然面对被欺凌的创伤。

断骨增高术
特雷西亚的成功,是不是意味着我们普通人也可以通过增高术来长高呢?我相信,你看完接下来的介绍,你再也不敢有这样的想法!
顾名思义,想要增高,要先断骨。这种手术理论上是可行的,实施起来风险非常大。
众所周知,到了一定年龄,我们的骨骼就不会再生长了。
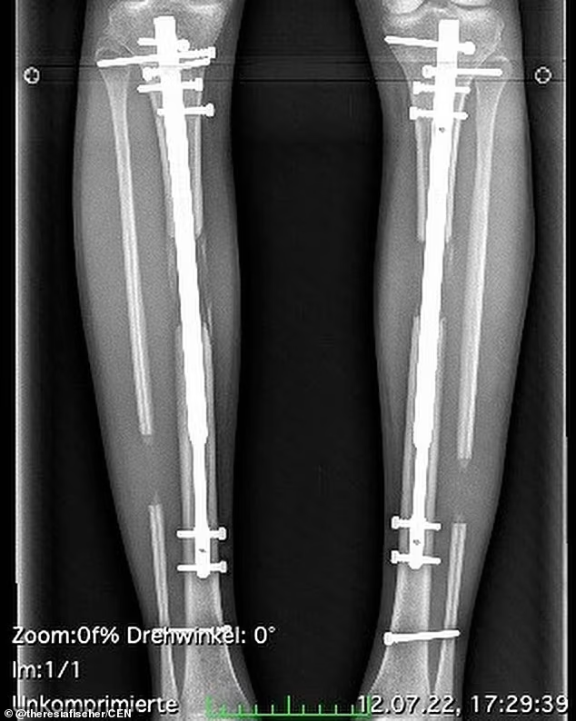
断骨增高术的原理就是:先将腿骨截断,然后对骨头给予一定的刺激,让骨细胞、肌肉和血管等组织不断生长,将断开的部分愈合起来,来达到骨骼延长的效果。

同样经历2次断骨增高术的布莱恩,详细描述了自己的手术经历:
第一次手术,他的胫骨和腓骨被打断,然后挖空了胫骨内部,取出骨髓,再将一根钢杆放入骨头内(可伸缩),用螺钉将其固定。最后还要用钉子将骨头和外部的仪器固定。
手术后需要坐在轮椅上,而且每天都要进行痛苦的腿骨分离训练。
每天,布莱恩都要用扳手旋转腿部的固定器4次,试图将断开的骨头一点点分开。据介绍,这样硬生生将骨头分开的旋转,10次才能增加0.5毫米。
康复的时间长短因人而异,布莱恩花了2个多月的时间做复健。12月份手术,2月份才拆除固定器,结果他长高了约三英寸。
他表示“这个过程最痛苦的就是睡觉,醒着的时候都还可以忍受,因为这是你自己的选择和追求,你不会放弃,你会忍,但晚上那种疼痛感让你根本无法睡眠,身体极度缺觉,心情也会很低落。”
2023 年 3 月,布莱恩进行了第二次手术,这一次他选择打断了大腿骨,又长高了三英寸。
2次手术,布莱恩花费了106,000 美元。
他坦言:“断骨增高术是一件非常疯狂的事情,极其昂贵、耗时、困难、痛苦,且风险很大,自己真的很幸运!”

断骨增高术安全吗?
看完这个过程,就能明白这个手术的风险是非常高的,在我们国家,这种手术是被禁止的。
断骨增高术其实并不是最近几年才有的,很早的时候就出现了,只是最开始这项技术是用来治疗疾病的,例如一些先天骨骼畸形、小儿麻痹症等等。
根据国家的相关规定,这种技术是不允许用于疾病以外的症状,如果纯粹是为了美,是不允许的。因为风险实在是太高了。
2019年,江苏的一个小伙子也尝试做了这个手术,结果手术失败,最终落得残疾,终身需要坐轮椅。
手术最大的风险就是要在骨头上放置钢钉,就有可能造成发炎、组织损伤等一系列症状。
手术后的康复也因人而异,有的人骨头长得快,肌肉、血液和神经这样的组织长得慢,就会出现损伤,导致瘫痪。
好不容易能站起来了,也有可能出现术后并发症。
总之,很多症状是难以预料的。

最后
其实,我认为,身高虽然是评价一个人的一项重要标准,但是人是一个复杂的个体,主要还是要看综合分的。
身高上的不足,还是可以用其他方面来弥补的。
尤其是现在社会越来越进步,无论是有趣的灵魂,还是好看的外表,都是可以被人们喜爱的。
至于断骨增高术,还是不要去尝试,用我奶奶的话来说:“老了有你受的!”
你都看到这里了不关注,点赞,分享下吗?
扩展阅读:
● 生长激素过剩会怎么样?一个生为侏儒,死为巨人的疯狂故事
● 美国3岁男孩太壮外号迷你绿巨人!基因突变,竟和比利时蓝牛一样
● 植物为什么能在体内生长?男子体内发现小树苗,已长到5厘米高
● 6号染色体缺失,英国女孩变成“三无人类”,睡觉都需要安眠药

到顶部