为什么有些自闭症患者如此聪明,他们的大脑有何不同之处?



电影《雨人》把自闭症搬上了大银幕,由达斯汀·霍夫曼饰演的Raymond是一个自闭症患者,但是他有着惊人的记忆力——过目不忘。
他的弟弟由汤姆·克鲁斯饰演,为了争夺父亲留下的300万遗产,弟弟把Raymond带出精神病院,而Raymond完全无法适应外面的世界,无法和他人交流,简单的生活也不能自理。

图注:电影《雨人》截图
但是,他的弟弟还是发现了他过目不忘的能力,通过Raymond的能力,他们在赌场赢了很多钱。
这部电影获得了无数奖项,包括多项奥斯卡奖。Raymond人物原型是金·匹克(Kim Peek),他确实是一位过目不忘的人,据信他现在能一字不差地背出12000多本书。

图注:过目不忘的金·匹克
金·匹克也和电影中的Raymond一样有社交障碍,他曾经确实被认为是自闭症患者,但是随着自闭症数据库的建立,人们重新定义了自闭症,而金·匹克的表现没有在自闭症定义范围内,现在他被认为是患有一种罕见的遗传性疾病——FG综合征,而非自闭症。
在自闭症患者中拥有金·匹克这样过目不忘能力的人也确实有,我印象中比较深刻的是一位黑人画家——斯蒂芬·威尔夏(Stephen Wiltshire),他也算是过目不忘。

图注:正在绘制城市的斯蒂芬·威尔夏
我之前看过威尔夏的纪录片,他乘坐直升机在城市上空游荡一圈,回去后就开始画,他可以把整个城市的俯瞰图给画出来,甚至连一些建筑的窗户个数都没有出错,简直难以置信。
从这两个例子中,我们经常会误认为自闭症患者是一群有着卓业天赋的人群,不过事实上大多自闭症患者并非如此,大多时候只是和这个世界格格不入的人群。

学者症候群:自闭症中的罕见个例
像斯蒂芬·威尔夏这种被称作学者症候群或者自闭学者,这是自闭症中比较罕见的一个群体,他们同样有认知障碍,但却在某一些方面表现出非凡的能力,大多时候是在非语言方面,比如绘画、音乐、记忆、数学、科学等等。
在所有自闭症患者中,大约有10%的人会表现出这种倾向,但是真正达到佼佼者行列的也并不多。

图注:音乐天才德里克·帕拉维西尼
比较出名的有在《最强大脑》中崭露头角的周伟,他有着惊人的心算能力;在音乐方面也有很多奇才,比如无师自通的盲人音乐天才德里克·帕拉维西尼,任何曲子只要听过一次就能演奏出来。
当自闭症患者表现出某方面能力的时候,确实是会达到常人难以达到的高度,因为世俗的很多事物无法影响到他们。
自闭症的行为表现
对于大部分自闭症患者而言,有各种各样的症状。
一些主要症状包括沟通问题,如语言发育迟缓;以及社交障碍,如很难交朋友,保持眼神交流,读懂别人的肢体语言或面部表情等等,也无法表达他们自己的感受。

除此之外,自闭症患者经常还会重复某种行为,或者严格地按照某种规律行事,比如重复的身体动作或者习惯。
这些习惯和肢体动作很难被调整,当遇到不得不调整的时候,他们很容易表现出焦躁不安。
学者症候群也同样存在这些问题,但是他们更加幸运,能够拥有一种普通人能够理解的事物(比如艺术和数学)来和这个世界取得联系。
而大部分自闭症患者并非如此,他们处在了普通人完全无法理解的“空间”,永远无法理解外界,也几乎生活不能自理。

很多人可能还会好奇自闭症患者的大脑是否和常人不太一样。
关于自闭症大脑是否和常人有不同之处,其实这方面研究特别多,包括我们前文提到过的那位金·匹克就做过一系列关于大脑的检测,人们试图通过这种方式来找到自闭症的原因。
但是,到目前为止发现有用的东西并不多,至少现在无法通过大脑检测是否异常来诊断一个人是否患有自闭症,他们的大脑和常人没有太大的区别。
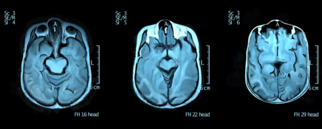
根据《自然》杂志上的一篇报告,自闭症患者大脑的左右脑比普通人的更加对称,而左右不对称的大脑才能够更加协调“互动”。

图注:自闭症患者的大脑更加对称
我们的思维和认知过程在左右脑之间来回穿梭,而闭症患者大脑左右两边的交流有点困难,或者两边没有那么多紧密联系。
另外,自闭症患者大脑的灰质和普通人也不太一样,大脑的灰质越多,则意味着可以处理的信息就越多,而有些自闭症患者会在某些区域灰质突然显著增多,这可能是他们变成某方面“天才”的原因。
自闭症患者大脑的不同基本始于儿童早期并持续到成年,不过许多症状和大脑模式随着年龄的增长而恢复正常,只是有时候会一些并发症。

自闭症离我们有多远?
根据世界卫生组织 (WHO) 的数据,每 160 名儿童中就有 1 名患有自闭症,虽然这个数据被到处引用,但事实证明自闭症患者要远高于这个比率。
其实自闭症患者确实离我们很近,我有个朋友的儿子就患有自闭症,他给我最大的感受就是两三岁了还不爱叫爸爸、妈妈。
一个患有自闭症的人,他在儿童期间就会表现出来,往往男童远高于女童(男女比例为4.2:1),但是他也经常被人误诊,据信至少有一半的人被误诊为自闭症,是否有自闭症需要得到专门的确诊才行。

图注:自闭症伟人
最后
关于自闭症还有一件事是肯定的——我们普通人的社会一直从自闭症大脑中受益,他们非常擅长完成那些对社会真正重要和有意义的任务。
牛顿、爱因斯坦、达尔文都被认为是自闭症患者,自闭症伟人的清单远不止这些,他们给整个人类带来了巨大财富。
所以,如果你身边也有这样的一个人,他可能无法理解我们的社会,但请理解和关爱他们。
你都看到这里了不关注,点赞,分享下吗?
到顶部