文身的原理是什么?这是身体免疫系统和色素分子之间的持久战



文身是一门古老的艺术,它就像一次永久性的化妆,一旦纹了就很难消除。由于审美和个人兴趣一直在变,所以许多人会后悔自己曾经的文身。
美国一位宝妈在怀孕前6个月,一时冲动花了150美元给自己手臂纹了一个蛇形图案,但是怀孕后文身上长出了疣子,而且顺着文身一直长,让她受惊万分。

图注:故事主人公——杰德·哈维
起初她以为这是怀孕后晒太阳导致的,但是疣子长得越来越疯狂,她不得不选择就医,而医生给它的建议就是必须用液氮摧毁所有的疣子。

之所以疣子会顺着该宝妈的文身一直长,医生给出的解释是,她手臂上靠近文身的地方本来就有一个疣子,而皮肤受到文身的不良影响,在怀孕激素的刺激下彻底爆发了。
那么文身对身体真的有害吗?它为什么能够一直存在呢?

图注:文身的历史非常悠久
文身是一种手术!
为了彰显个性,现在许多人会在自己身体上文身,所以现在文身并不是什么新鲜事,估计几乎每个人多多少少都知道一点文身的知识。
但是,估计很少有人会深入了解文身和身体皮肤的奇妙关系。
首先,文身并不是往皮肤里注入墨水,文身针的情况和钢笔是差不多的,而不是注射器,墨水实际上是刺穿皮肤后在应力的作用下被皮肤吸进去的。
其次,我们还得确定下文身是一种小型手术,而不是简单的艺术。

如果把文身叫作手术的话,很明显它对身体是有害的,毕竟再小的手术也会对身体造成一些伤害。
如果有文身过的朋友肯定都知道,在文身之后身体会出现非常强烈的肿胀,需要很长时间的修养才能恢复,这是因为文身必须将色素注入到真皮层才行。

图注:皮肤的生理结构
我们知道,身体受伤要留疤的话必须到达真皮层,这是因为真皮层包含一些非常重要的人体部分,比如毛细血管,神经、淋巴管等等。
如果文身的针受到污染的话,在真皮层里就很容易发生感染,因为文身而受到感染的人不在少数,甚至有可能感染艾滋病病毒。

任何因为文身感染的情况,都被称作文身失败,当然文身失败的原因不只是文身的针受到污染,它包括许多情况。
当色素进入身体后会发生什么?
我们知道,当文身的色素进入身体后,它会一直保留在那里很长、很长时间。
而它之所以会一直保留在那里,并不是因为墨水浸透了皮肤细胞,而是因为那些色素被我们的免疫细胞捕获了,而且这个过程是免疫系统和色素之间的持久战。

图注:纹身的各种颜料
简单地说就是一个:捕获-释放-捕获-释放……的过程。
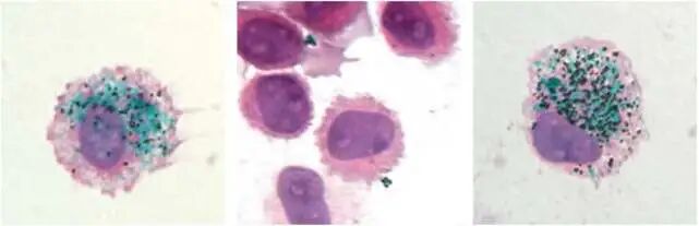
我们的免疫系统有一种被称为巨噬细胞的白细胞,它们的防御方式就是吞噬一切进入人体的物质——每当我们受伤时,它们就会冲过来。
所以,当文身的针头不断刺入我们的身体,皮肤不断吸收墨水时,巨噬细胞就会迅速到达战场,然后将色素分子包裹起来,正是这些巨噬细胞的细胞膜让文身墨水在未来的岁月里保持舒适和稳定。

图注:左-实验鼠尾巴中的色素被吞噬时的色素情况,右-被释放时的情况
然而,巨噬细胞也会死亡,当它们萎缩的时候,实际上墨水又会被重新被释放——就像第一次文身时吸收墨水的情况一样。
只要墨水重新释放出来,其它巨噬细胞又会冲过来把色素再次包裹起来,以免这些异物伤到身体。
文身会随着时间的推移变淡(这个时间很长,往往需要几十年),以前人们认为这是因为墨水随着时间的推移向真皮深处迁移的缘故。

图注:左-巨噬细胞吞噬色素的情况,中-释放色素,右-被新的巨噬细胞吞噬
2018年3月,一项关于文身的科学研究表明,文身变淡更可能是因为文身在这种“捕获-释放”的过程中,微量释放的色素从皮肤中被排出了,所以它变浅了。
当然,现在没有一个研究可以证明,我们的免疫系统在这种过程中是否会受到影响,但一定要清楚它确实需要免疫系统的参与。
可能正因为我们的免疫系统和文身墨水存在着这样的关系,所以那位来自美国的宝妈才会让疣子顺着文身爬。
而她将这段经历发布到了互联网,获得了海量的关注,她呼吁大家文身的时候一定要注意身体,至少不要在疣子的附近文身,不然很可能会和她一样。

图注:哈维手臂原先的一个疣子
最后
文身至少已经存在5000多年了,但我们对它的了解其实并不多,所以要去除文身,对于现在医学水平来说依然很难,对于个人而言这是一件非常痛苦的事。
当然,如果真有必要选择一个文身的话,那么一定要选择正规的地方,注意这是手术,而不是简单的行为艺术。
你都看到这里了不关注,点赞,分享下吗?
扩展阅读:
水银的毒性有多强,是如何影响人体的?
为什么这么多艺术家死于自杀?
为什么人体其他肌肉需要休息,而心脏却可以一直跳动?
到顶部