千万别这样用!有人已查出“白肺”!丨武汉日历




夏日炎炎
正是需要防晒的时候

市场上的防晒产品琳琅满目
因为使用起来方便又有清凉感
防晒喷雾
成了近几年的网红产品
近日,湖南长沙一位小伙没想到
因使用防晒喷雾不当
竟给自己带来了不小的麻烦
使用防晒喷雾时误吸
20岁小伙检竟查出“白肺”

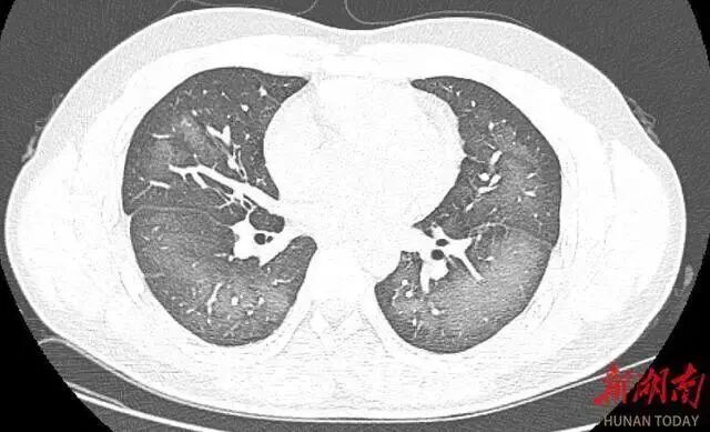
日前,20岁的长沙小伙李林(化名)在外出前使用了防晒喷雾,在对着面部喷洒时一不小心误吸,随即出现胸闷、咳嗽的症状。症状一直持续到第二天仍未好转,他急忙来到湖南省长沙市第三医院就诊。
经检查,肺部CT片显示,李林双肺赫然呈现大范围白色样病变,报告提示“白肺”。
“白肺”一般是指重症肺炎在X线或CT检查下的表现,患者肺部呈现一大片的白色状态,往往会出现呼吸困难、呼吸衰竭,严重者还会出现其他脏器功能障碍。
“白肺”常见于高龄(65岁以上)、免疫力低下、有重要器官慢性病史(如心脏病、中风史、慢性肾脏病、慢性阻塞性肺疾病等)、有多种疾病并存(比如既有高血压、糖尿病,又有心脏病、肺病、肾功能不全)等人群。

只是喷个防晒喷雾
肺部怎么就受损了?
长沙市第三医院放射影像科的接诊医师表示,除了感染、弥漫性肺泡出血综合征等“白肺”最常见的病因外,吸入有害物质如粉尘、喷雾等,也可导致肺部出现大范围白色样病变。这位年轻的患者就是因为使用不当,吸入了一部分防晒产品进入肺部,导致“白肺”的发生。
急诊医生给予吸氧、化痰、抗感染等相关治疗后,李林症状得到明显改善。
很多明星都有过错误示范!
其实说到防晒喷雾的大火
明星的“加持”也有一定原因
但很多人的示范都是错误的!
演员李现↓
演员古力娜扎↓

演员宋轶↓
此前也报道过防晒喷雾
稍有不慎就“引火上身”的事故

2022年8月10日,辽宁省沈阳市一位爸爸,在出门时给孩子喷防晒喷雾,但没留意孩子在玩打火机,防晒喷雾秒变“喷火枪”。
消防员也曾进行实验:用鸡腿模拟人的皮肤,在喷上防晒喷雾约5秒后,拿出点火器点火,此时鸡腿突然着火,还伴有滋滋的声响。

防晒喷雾
应该如何使用才正确?
01
选用温和无刺激、适合自己肤质的产品。如果对酒精不耐受,不要选用含有酒精的防晒喷雾。
02
因个人肤质不同,首次使用前可以把少量防晒喷雾涂抹在耳后、肘关节内侧等部位进行皮试,保持24~72小时,确定无不适反应以后再进行使用。
03
使用防晒喷雾时主要喷洒在身体部位,使用时与皮肤至少保持15~20厘米的距离。使用于面部和颈部时,请先喷洒在手上,然后用手均匀涂抹。若不慎入眼,要立即用水清洗;如有不适要暂停使用。
04
不要在肌肤伤口、红肿或湿疹等有异常的部位使用防晒喷雾。
05
不要在同一个身体部位近距离(如10厘米内)连续喷射超过3秒,防晒喷雾中的推进剂喷出后会迅速挥发吸热,长时间或者近距离使用可能会冻伤皮肤。
06
不要在卫生间、车内等狭小密闭不通风空间内使用,喷洒时要注意通风,使用时紧闭口鼻,勿刻意吸气,避免大量吸入喷雾。
07
应放在儿童接触不到的地方,儿童应在成人监护下使用防晒喷雾。建议给儿童选择配方温和、标识有儿童化妆品标志“小金盾”的防晒产品。
08
防晒喷雾中通常含有易燃物质,请存放在阴凉干燥通风环境中,避免阳光直晒。使用时应远离火源、热源、静电,不得撞击产品,不得将产品或使用完的空罐刺穿或投入火中。
最后还要提醒
在使用防晒产品后
若出现过敏或其他身体不适时
应立即停止使用
并及时前往医院就诊
来源:央视新闻 山西晚报
本 地
上半年湖北软件业务收入增长14.3%
上半年,湖北省软件和信息服务业整体运行态势平稳向好,软件业务收入增长加快,进入第二季度后,增速持续保持在两位数增长区间,高于全国平均水平0.1个百分点,产业规模位居中部第一。详情>>>
百家名企在武汉招贤纳士,超千个岗位等你来
2023年湖北省离校未就业高校毕业生就业服务攻坚行动专场招聘会,8月10日上午9时将在洪山体育馆举行。详情>>>
事关社保!湖北电话公布并开始受理
《社会保险基金监督举报工作管理办法》正式实施后,对于更充分引导社会公众参与社保基金监督,以零容忍态度严厉打击欺诈骗保、套保或挪用贪占等各类社保基金违法行为提供了强有力支持。近日,湖北省人力资源和社会保障厅公布社保基金问题举报电话并开始受理!详情>>>
武汉两场馆发布严正声明
近日,武汉科技馆、武汉美术馆发表最新声明,呼吁大家自觉抵制“黄牛”行为。详情>>>
国 内
两部门再次预拨3.5亿元资金 支持京津冀等地及东北地区防汛救灾工作
针对京津冀等地及东北地区严重暴雨洪涝灾害,8月6日,财政部、应急管理部再次紧急预拨3.5亿元中央自然灾害救灾资金,支持京津冀等地及黑龙江、吉林7省(市)做好防汛救灾工作。详情>>>
多地出手:这样过马路,罚!
过马路喜欢看手机的“低头族”注意了!这样做除了有极大的安全风险,还有可能面临罚款!详情>>>
只需10秒,打开手机的这个救命功能
你打开手机的地震预警功能了吗?地震预警软件和手机的地震预警功能,可以将官方监测到的地震横波乃至纵波变化情况告知使用者,从而能给紧急避险提供宝贵时间。详情>>>
国 际
"中方能来,是超级突破,是历史性胜利!"
中华人民共和国外交部网站8月4日发布消息称,中方将派团出席在沙特吉达举行的乌克兰问题国际会议。对此,乌克兰外长库列巴当天表示,中方代表赴会的消息,“是历史性胜利和超级突破”。详情>>>
突发!莫斯科市长:摧毁
8月6日,莫斯科市长索比亚宁在社交媒体上发文称,一架无人机当天企图靠近莫斯科,在这一过程中被俄防空系统摧毁。详情>>>


添加官方客服
更多福利等你来领
编辑:吴曾
责编:皮瑞奇
编审:邹四清
海报制作:新莓视觉
出品:武汉广播电视台



到顶部