继续操作前请注册或者登录。

Nature最新研究成果:线粒体功能障碍和脂质积累


6月5日,来自美国宾夕法尼亚大学的Nancy M. Bonini 团队以及来自普渡大学的Gaurav Chopra团队,联合在《Nature》上发表最新研究成果,绘制了体内自然发生的衰老胶质细胞的轨迹,并表明这些细胞与关键的衰老现象有关:线粒体功能障碍和脂质积累。

一、线粒体功能障碍与衰老胶质细胞的关系
研究内容:
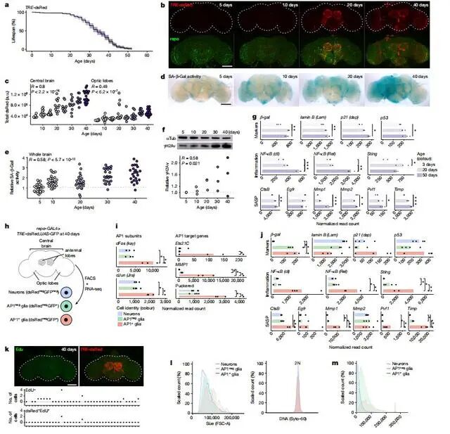
识别出衰老的果蝇大脑中自然发生的衰老胶质细胞,并发现这些细胞与线粒体功能障碍和脂质积累有关。
利用激活蛋白1 (AP1)活性筛选衰老细胞,并确定衰老胶质细胞可以出现在对神经元线粒体功能障碍的反应中。
衰老胶质细胞通过线粒体功能障碍促进非衰老胶质细胞的脂质积累。
研究方法:
荧光激活细胞分选(FACS)技术用于从果蝇大脑中分离特定的细胞群体。
高通量筛选,包括RNA-seq和脂质组学分析,用于识别与衰老相关的分子变化。
通过RNA干扰(RNAi)模拟线粒体功能障碍,并观察其对胶质细胞衰老的影响。
研究结果:
在果蝇大脑中,AP1+胶质细胞与衰老现象有关,特别是在神经元线粒体功能障碍的背景下。
在衰老胶质细胞中靶向AP1活性可减轻衰老生物标志物,延长寿命和健康寿命,但可能以增加大脑氧化损伤为代价。
二、线粒体功能障碍与脂质代谢
研究背景:线粒体功能障碍与脂质代谢和积累之间的关系备受关注,因为线粒体在细胞内的脂质代谢过程中扮演着核心角色。
可能的影响:虽然直接来自宾夕法尼亚大学的此方面具体研究未在提供的参考文章中提及,但基于其他研究,可以推测线粒体功能障碍可能导致脂质代谢的紊乱,进而引发脂质在细胞内的异常积累。
美国宾夕法尼亚大学的研究揭示了线粒体功能障碍与衰老胶质细胞之间的关系,并强调了线粒体功能障碍在脂质积累和代谢中的重要性。
到顶部