警惕!23岁姑娘感冒一直不好!医生:30年来头一回碰到



23岁的年轻女孩小殷(化名)
身体一直很棒
她做梦也想不到
始于5月底的一场感冒
却差点让她丢了性命!
感染性休克、重症肺炎、呼吸衰竭
重症脑炎、嗜血细胞综合征
心肌损伤引起Q-T间期延长
心动过缓……
一串串触目惊心的诊断
也一次次触动医生的神经
家属手中有整整6张病危通知单
小殷姑娘身上究竟发生了什么?
 感冒老是治不好?
医生一查倒吸一口冷气 
5月26日,小殷发现自己出现咳嗽症状,以干咳为主,伴畏寒发热,最高体温39℃,同时还出现了头痛、鼻塞、流涕的症状。小殷猜测,自己估计是感冒,便自行服用了感冒药、退烧药,后来又到卫生院输液治疗。但奇怪的是,经过治疗,她的症状并没有得到缓解,小殷依然每天发热,还出现了更为严重的胸闷气促、四肢肌肉酸痛。
五天后,小殷来到海宁市人民医院就诊。检查后,医生发现她的双侧肺部存在少许炎症,查血显示炎症指标偏高。就这样,小殷被收住进呼吸内科病房。
一到病房,医生不禁倒吸一口冷气,检查情况实在太糟糕:
●  血压极低,属于休克血压,经大量输液后,血压也只有70/40mmHg左右。
●  心率120次/分,稍微活动后,心率甚至飙升到140次/分。
●  头痛明显,频繁恶心呕吐,几乎滴水不进。
●  气促明显,呼吸频率达24次。
●  脸色苍白,全身情况很差。
什么病这么严重?很快,小殷的脑脊液检查结果显示,其中含有大量的白细胞,医生考虑小殷确实患有脑炎。但是脑脊液涂片并没找到特殊的病原菌。
那到底是什么感染呢?医生又马上将脑脊液送去进行病原菌的基因检测。所有的检查及治疗都在有条不紊地进行,高频氧疗的呼吸支持用上去了,静脉的升压药也用上去了,降低颅高压的甘露醇也用上去了,减轻炎症风暴的激素也用上了,经验性的抗生素也早就用上了,但患者的病情还在急转直下。
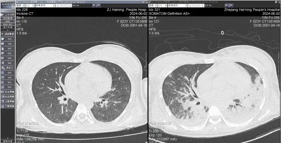
血红蛋白及血小板指标急剧下降,呼吸愈来愈急促,复查肺部CT发现,小殷的肺几乎在24小时内“白”了一半,心率也突然在一夜之间从原来的100次左右下降到最慢45次,心功能的指标也急剧变差。
她竟患上这种罕见疾病!
医生:30年来头一回碰到
患者危在旦夕,怎么办?就在这时,脑脊液的细菌检测结果出来了,出乎所有人的意料,小殷患的竟然是立克次体引起的Q热感染。
呼吸内科医生提到,“这是我从医30年来,第一次碰到这个疾病,我们医院也是第一次碰到这种疾病的重症患者。拿到病原菌报告后我们按指南正规治疗,在患者及家属的积极配合下,艰难闯过一关又一关,终于在入院后第14天,复查脑脊液及复查CT已经完全正常,血液指标也恢复正常,患者可以说没有出现任何后遗症。我们都很替她高兴!”‍

什么是Q热
小殷为什么会得这个病?
Q热是1937年Derrick医生在澳大利亚的昆士兰发现并首先描述,因当时原因不明,故称该病为Q热。Q热是由贝纳柯克斯体(又称Q热立克次体)引起的一种自然疫源性人畜共患病,在自然界中广泛传播,对外界环境的抵抗力很强,在极端环境中可保持长达几个月的感染性。

Q热的传染性


1
传染源‍
家畜是主要传染源,如牛、羊、马、犬等,其次为野啮齿动物,飞禽(鸽、鹅)及爬虫类动物。有些地区家畜感染率为20%-80%,受感染动物外观健康,而分泌物、排泄物以及胎盘、羊水中均含有Q热立克次体。病人的痰液和血液中可以分离出Q热立克次体,但是人类不是主要传染源。
2
传播途径
动物通过蜱虫传播,人通过下列途径传播:
● 呼吸道传播是最主要的传播途径。Q热立克次体多以气溶胶方式感染人类,因此临床上Q热间质性肺炎发生率很高,主要病变为肺泡隔及细支气管周围明显充血水肿,肺泡壁明显增厚,炎性细胞浸润。
● 接触传播:与病畜、蜱粪接触,病原体可通过受损的皮肤、黏膜侵入人体。
● 消化道传播:部分患者可通过消化道直接污染,由消化道感染时,其临床病理变化则多为肉芽肿性肝炎。
● 虫媒传播:被感染的硬蜱或软蜱叮咬或蜱粪通过破损的伤口感染人体。

有什么临床表现?
Q热的表现多种多样,容易造成误诊和漏诊。急性Q热潜伏期2-38天,通常为12-19天。急性Q热有发热、恶心、呕吐,剧烈头痛,腰肌和腓肠肌痛等表现。
起病急骤,体温迅速升高,可达39-40℃,体温持续5-14天后下降,有时发热和无热期交替出现。此外,恶心、呕吐、剧烈头痛,腰肌和腓肠肌痛,有时眼眶、关节、胸部疼痛。少数患者可伴有肝炎、肺炎,个别有腹泻,或偶见皮疹。

是否有特效药治疗?
有,如多西环素、四环素、氯霉素、利福平、磺胺类、沙星类、林可霉素等消炎药,可根据情况,联合使用2到3个消炎药。
医生指出,“虽然患者直到出院也没有能提供接触家禽的病史,我们依然要提醒大家,平时生活中一定要注意休息,过度疲劳引起的全身抵抗力下降是疾病加剧的根本原因。日常生活中,如果出现类似情况,要及时就诊。”
近期热门视频
更多精彩视频,尽在人民网科普视频号,欢迎关注~
推荐阅读

男性特别注意!这种癌一旦发现就是晚期!!

夫妻双双中毒!医生:无特效解毒剂!不要采!

2岁男童住进ICU面临截肢,只因去了趟菜市场?近期已有死亡病例
来源:新街派 生活报综合大潮网、小强热线浙江教科
编辑/盛月
责编/张雯

到顶部