“会不会是你们搞错了?”75岁爷爷竟确诊乳腺癌!乳腺癌容易“盯上”哪些人?



“我一个老大爷,怎么会得乳腺癌?”
几天前,75岁的张老伯因胸部有肿块来到海军军医大学第三附属医院嘉定院区普外科就诊,经检查竟然是乳腺癌,他十分震惊。“我一直觉得只有女的才会得乳腺癌,男的怎么会得乳腺方面的疾病呢?”张老伯十分不解。
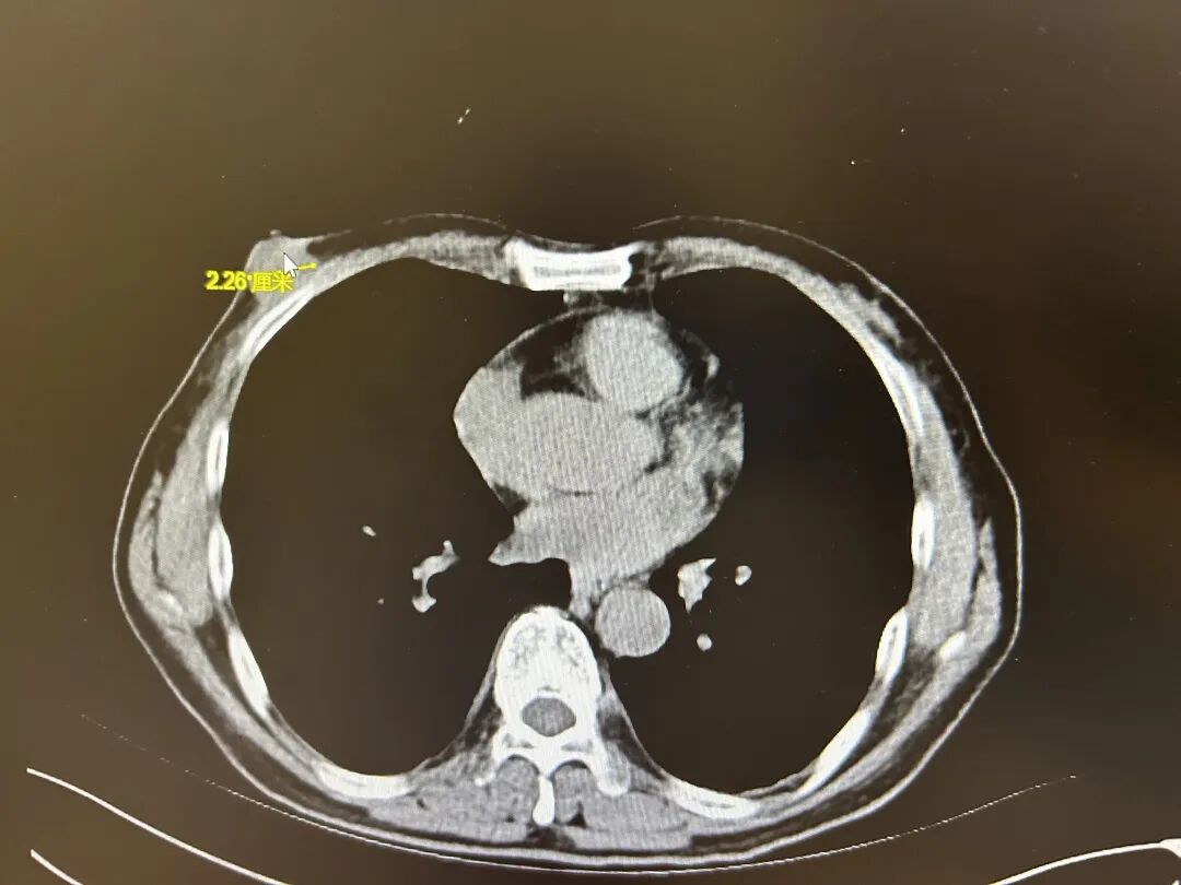
影像报告显示,张老伯的右乳有一个直径约为2厘米的肿块,初步诊断考虑是乳腺恶性肿瘤,不及时切除有转移风险。经术后病理检查,确诊张老伯为乳腺癌。一段时间的治疗后,目前张老伯恢复良好,进入术后辅助化疗阶段。

影像报告显示2厘米的乳腺肿瘤
海军军医大学第三附属医院嘉定院区普外科主任医师杨丰介绍,男性由于雌激素水平很低,乳腺体积远远小于女性,因此乳腺健康往往被忽视,“有的男性病发后羞于就诊,最终导致病情延误。”
“从临床上来看,男性乳腺癌人群就诊时病程偏晚,甚至出现乳头血性溢液,腋窝淋巴结肿大转移了才来就医。这时候很可能已经是中晚期,手术治疗效果会差很多,甚至丧失了手术机会。”杨丰说道。

什么样的男性容易得乳腺癌?
又该怎样预防呢?
杨丰介绍,男性乳房发育、长期过量饮酒、过度服用含有雌激素的补品、胸部有辐射病史等因素都会增加罹患乳腺癌的机会。此外,超重肥胖会明显增加乳腺患病机会,因为多余的脂肪细胞能将体内雄性激素转变为雌性激素,导致体内激素水平失调。家里有乳腺癌家族史的市民也要格外留意。
“女性可以每年定期进行一次乳腺检查,男性一旦乳房上摸到硬块,尤其是那种边界不清、质地坚硬、活动度较差的无痛性肿块,一定要及时到医院就诊。”杨丰提醒道。
乳腺癌容易“盯上”哪些人?






近期热门视频
更多精彩视频,尽在人民网科普视频号,欢迎关注~
推荐阅读

没有比这更适合夏天的了(我猜你没喝过)

夫妻双双确诊癌症!医生感叹:真别再这样做了!得不偿失...

2岁男童住进ICU面临截肢,只因去了趟菜市场?近期已有死亡病例!
来源:人民网科普综合新闻晨报、 上海嘉定、人民网
编辑/盛月
责编/张雯

到顶部