高烧40℃,肺部“发霉”了!她回想起那次家里搞卫生...



家住杭州的王女士(化名)
怎么也没想到
自己只不过在家打扫了卫生
居然住进了医院
一查肺部竟然“发霉”了
反复高烧,硬抗3天
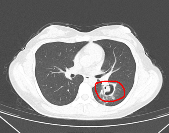
肺部长出一个个“小树芽”
一周前,家住杭州的王女士(化名)出现咳嗽、乏力,还发热。
刚开始,她以为是普通的感冒,自己在家吃点退烧药就行,没想到扛了三天却仍然反复高热,最高到了40℃。
朋友一看不妙,赶紧将她送往附近的杭州师范大学附属医院。
接诊的感染性疾病科(肝病科)周翔主任医师从肺部CT上发现,王女士的肺部长出了一个个“小树芽”,怀疑是霉菌性肺炎。

霉菌为何会长进肺里?
她想起来一个细节
一个月前,王女士发现家中衣柜出现霉斑,便对发霉的部位做了清扫,但没有做好防护。
清扫之后,她就出现阵发性咳嗽,但是程度比较轻微,所以未引起重视。
 
为了进一步确诊病情,周翔为王女士做了纤维支气管镜检查,果然发现气道壁上缀着大量白色菌斑,化验后确认是曲霉菌。
周翔判断,这些灰尘中很有可能混入了各种霉菌。王女士平时喜欢昼夜开窗通风,正值南方五月份气候回暖,阴雨不断,空气潮湿是利于霉菌生长的天然条件。霉菌在人体内可引发肺部、口腔、皮肤甚至全身感染。
霉菌滋生的季节
如何做好自身防护?
周翔表示,霉菌感染和环境有一定关系。
家中的墙角、窗台、厨房水池灶台、厨具餐具、冰箱内部、洗手间浴室、洗衣机内部、空调、长时间不用的书籍和地毯等地方,都容易滋生霉菌。

大家要做好以下几点:
01
做好居家清洁工作
定期晾晒被褥,勤打扫,及时清理发霉物品。可以用消毒水,如3%的过氧化氢、苏打水,或1:1调配的水和白醋进行清洁,也可以对书籍、地毯等进行阳光晾晒。
打扫卫生时要戴口罩和手套,以免误吸。
02
室内注意通风
霉菌喜欢在潮湿的环境中生长,因此家中或办公室要注意通风,尤其在梅雨季节。
在潮湿重灾区可以挂一袋吸湿盒或除湿包,也可以使用除湿机或空调,使室内湿度保持在40%-50%之间。
尽量减少室内绿植栽培,避免土壤中的霉菌滋生。
03
不要囤积过多的食物
一旦发现食物发霉要及时扔掉,隔夜的食物也不要吃。
04
提高自身的免疫力
多参加体育锻炼,保持充足的睡眠,保持乐观的情绪,补充优质蛋白质。
近期热门视频
更多精彩视频,尽在人民网科普视频号,欢迎关注~
推荐阅读

空心菜成“最毒绿叶菜”?很多人还蒙在鼓里…

警惕!一家四口游玩归来,全部确诊!

7类食物最伤肝尽量要少吃,留意肝脏异常的6个报警信号!
来源:“健康杭州”微信公众号
编辑/盛月
责编/张雯

到顶部