按摩后,这里竟长出个“小苹果”!医生提醒:这个部位很危险→



按摩是不少人青睐的放松方式,但如果按错地方,或者用力方式不恰当,可能会带来意想不到的伤害!
因按摩发生“事故”的案例,媒体此前也报道过不少。
有湖北武汉的男子用筋膜枪给眼睛按摩了两个月,没想到竟导致了白内障!
也有浙江女子在一家按摩店,做所谓的“瘦腹”按摩,没想到肚子痛到半昏迷,到医院一查竟是肾脏大出血!

颈部按摩被按出“肿块”
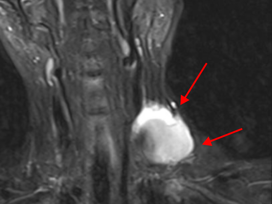
最近上海一医院,就接收了一位病患,竟是因为颈部按摩被按出了一颗苹果大小的“肿块”!
去年正月期间,文女士觉得脖子不太舒服,就让自己丈夫帮忙进行颈部按摩来放松一下,可第二天发现左侧的颈部鼓了一个包,在当地医院检查后发现是左颈内静脉瘤,文女士决定暂时保守治疗,同时观察病情变化。
然而,一年的时间里,肿块不退反增,变得越来越大。文女士十分担心,她来到医院就医。

医生经过询问病史,以及细致的检查后,明确诊断为左颈内静脉假性动脉瘤,而且文女士的静脉瘤体巨大,最大直径达到7厘米,一旦破裂就会有生命危险!
外力导致的血管内膜损伤是颈部静脉损伤最为常见的原因,因此医生推断病因很可能和文女士一年前的颈部按摩存在直接的关系。
发现肿物的前一天晚上,文女士的颈椎感到难受,加上过年期间比较繁忙,特别劳累,就想通过按摩来舒缓。可能因为丈夫按摩的手法和力度没有把握好,从而导致了颈内静脉的病变。

除了瘤体巨大,还有大量血栓,瘤体破口的长度约2厘米,还存在血栓脱落导致肺栓塞的风险,加之文女士还有缺铁性贫血等情况,病情极为复杂。

这个部位不要按!
医生介绍,颈部连接着头部和身体,支撑着头颅,同时还是呼吸、循环和消化等重要器官的通道,因此在人体结构中承担着至关重要的作用。
文女士发生病变的颈静脉部分,是人体头部血液回流心脏的通路,主要作用就是调节血管系统容量。
如果颈部受到外力打击、牵拉或扭转,可能会导致颈部动脉或静脉的破裂或撕裂,从而导致严重的出血、休克以及脑梗等并发症。
因此,按摩的时候,颈部可不能随意乱按!医生提醒:按摩颈部有风险,以下事项需注意!
1
当颈部出现异常不适,不能单纯地以为是劳累所致,应该尽早到正规医院明确原因,排除不宜推拿按摩的疾患之后,再进行推拿按摩。
2
谨慎进行颈部按摩,尽量去正规医疗机构进行按摩,操作者不仅要有熟练、准确的推拿手法,还必须对风险有一定的认知,绝对禁止使用强力、粗暴的推拿手法。
3
按摩推拿治疗的次数不宜过多,过度推拿按摩会加速颈椎退变,反而导致病情加重。
4
推拿按摩时,应选好体位,被按摩者应处于完全放松的状态。
5
按摩时避免过强用力和大幅度旋转头颅;按摩还应避开颈部血管走行区域。
6
一旦怀疑颈部血管损伤,及时前往医院就诊。
近期热门视频
更多精彩视频,尽在人民网科普视频号,欢迎关注~
推荐阅读

重金属超标!空心菜成“最毒绿叶菜”?很多人还蒙在鼓里…

50岁后少穿3种鞋,伤脚又伤膝!再好看也不要穿

7类食物最伤肝尽量要少吃,留意肝脏异常的6个报警信号!
来源:杭州交通918综合新闻坊 、上海交通大学医学院附属瑞金医院
编辑/杨玥(实习生)
责编/张雯

到顶部