这种病比“脑子进水”还可怕



脑脊液是存在于脑室及蛛网膜下腔的一种无色透明的液体,包围并支撑着整个脑部及脊髓,起到托浮作用,避免脑神经受到震荡。
脑脊液渗漏后,就会导致颅内低压,轻则头晕恶心呕吐耳鸣,重则可能发生颅内出血、静脉窦血栓,威胁到生命。

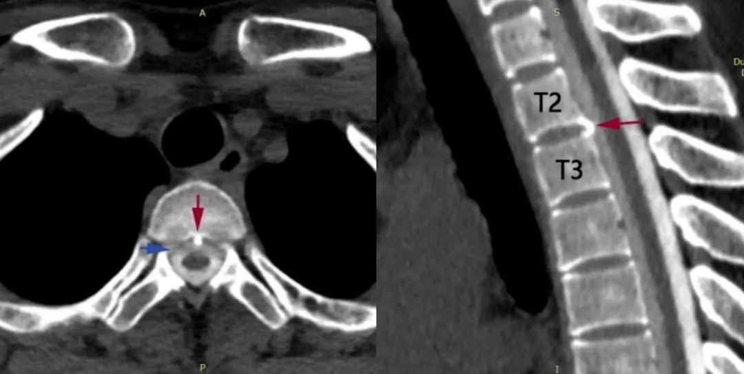
第2、3胸椎之间有“骨刺”形成(红箭头)
刺破硬脊髓膜,造成脑脊液外漏(蓝箭头)
 
有以下症状时
就要小心了
当你
坐着或站立时
头痛头晕无法忍受
伴有恶心呕吐耳鸣
而躺下时症状基本缓解
拉响警报
这是颅内低压的基本症状
需要及时就医
 
近年来
这种病有低龄化趋势
在此小编郑重建议
尽量避免长期伏案低头工作
如果低头时间长
每40分钟-50分钟
要做一些运动、休息
看电脑时
尽量把显示器置于眼睛平视的高度
还有最重要的一条——
减少低头看手机的时间
 
再忙也要抽出时间
照顾下脖子
未来美好生活还在等着你
自己不爱护
以后苦的是自己
 
觉得有用的朋友点“在看”
让更多人看到
不说了
小编去活动颈椎了
 
辛丑年 正月初九
2021-02-20
▼关注央视网©央视网将央视网设为星标好新闻不错过
编辑/设计:子睿文案:张雷责任编辑:寒冬来源:央视网《早安心语》栏目
到顶部