PVP/PKP术后残留腰背痛原因分析


KEYPOINT
1. 术前骨密度水平较差、骨折节段较多、椎内存在真空裂隙征、筋膜损伤、术中累及椎间小关节和骨水泥分布不理想被确定为OVCF患者PKP术后残余背痛的独立危险因素;
2. 对伴有以上危险因素患者,术中我们更应该避免损伤到椎间小关节并尽可能地达到较为满意的骨水泥分布。


   骨质疏松症是最常见的代谢性骨疾病,以骨矿物质流失和骨强度减弱为特征,是导致老年患者椎体压缩性骨折的主要原因,在老年人群中主要表现为突发性腰背痛。经皮椎体成形术(PVP)和经皮后凸成形术(PKP)是最常用于治疗骨质疏松性椎体压缩性骨折(OVCF)的微创手术方法,大部分患者术后腰背部疼痛症状都能得到明显的缓解,但仍有少部分缓解术后仍然残留不同程度的腰背部疼痛,了解术后残留腰背部疼痛的原因及危险因素可以帮助我们更好的为患者制定恰当的治疗措施。

1
PKP术后残留背部疼痛的危险因素

该文献作者为了确定经皮椎体后凸成形术(PKP)治疗骨质疏松性椎体压缩骨折(OVCF)患者残余背部疼痛的发生率和危险因素,共将809 名患者纳入研究,术后使用视觉模拟量表 (VAS) 评估背痛强度,将术后存在中重度疼痛(VAS 评分 ≥ 4)定义为术后残余背痛,结果显示63 名(7.8%)患者中发现术后残留背痛,并通过多变量逻辑回归分析显示术后残留背痛的危险因素包括术前存在椎内真空裂隙征(OR 2.93,P = 0.032),术前存在筋膜损伤(OR 4.11,P = 0.014),术中累及椎间小关节(OR 12.19, P < 0.001) 和分离的水泥分布 (OR 2.23, P = 0.043)。

图注:没有伴随筋膜损伤的椎体压缩性骨折在T1 WI(A1)、T2 WI(A2)和T2-STIR WI(A3)MRI图像上无明显信号变化。伴有筋膜损伤的椎体压缩性骨折在 T1 WI (B1) 显示低信号,在 T2 WI (B2) 和 T2-STIR WI (B3) 显示高信号。

图注:图A为PKP术后CT结果显示PKP孔道未累及椎间小关节;图B显示PKP孔道累及左侧椎间小关节;

图注:图A显示PKP术后水泥分布良好;图B显示PKP术后骨水泥分布分离;
最终作者得出结论:PKP 后 809 名 OVCF 患者术后残余背痛的发生率为 7.8%。术前椎内真空裂隙征的存在、术前存在筋膜损伤、术中累及椎间小关节和分离的水泥分布被确定为残余背痛的独立危险因素。
2
PVP术后残留背部疼痛的原因分析

该文献作者为分析PVP术后腰痛缓解不满意的可能原因,将1316位行PVP治疗的OVCF患者纳入研究,收集人口统计学、临床数据和手术数据并加以分析PVP术后腰痛缓解不满意的相关因素。最后得出结论:PVP术后残留背部疼痛的发生率为4.6%;术前骨密度水平较差、腰背部筋膜损伤、骨折的节段较多、骨水泥注入量不足、骨水泥分布不理想、抑郁是OVCF患者PVP术后残留背部疼痛的危险因素。

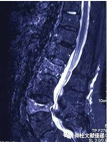
图注:MRI压脂像结果显示患者术前合并腰背部筋膜损伤

图注:PVP术后X线结果显示骨水泥分布较为满意;

图注:PVP术后X线结果显示骨水泥分布较差;

图注:压缩的骨小梁会在局部形成硬化层(左,红色箭头),这会影响PVP术中水泥的分散(右,绿色箭头);
笔者注:了解PVP或PKP术后残留腰背部疼痛的原因及危险因素可以帮助我们更好的为患者制定恰当的治疗措施,但目前相关方面的研究和文献还较少,目前文献的结果提示我们临床中遇到术前存在椎内真空裂隙征、胸背部筋膜损伤、术前骨密度水平较差、多阶段骨折、抑郁的患者时,术中我们更应该避免损伤到椎间小关节并尽可能地达到较为满意的骨水泥分布。
审稿:王庆德
供稿:邵   哲
编辑:张振辉
参考文献
1. Li Y, Yue J, Huang M, et al. Risk factors for postoperative residual back pain after percutaneous kyphoplasty for osteoporotic vertebral compression fractures. Eur Spine J. 2020;29(10):2568-2575.doi:10.1007/s00586-020-06493-6.PMID:32507918.https://www.ncbi.nlm.nih.gov/pubmed/32507918.
2. Yang JS, Liu JJ, Chu L, et al. Causes of Residual Back Pain at Early Stage After Percutaneous Vertebroplasty: A Retrospective Analysis of 1,316 Cases. Pain Physician. 2019;22(5):E495-E503.PMID:31561662.https://www.ncbi.nlm.nih.gov/pubmed/31561662.
往期精彩回顾
1.PVP术后新发椎体骨折危险因素分析
2.椎体椎弓根螺钉增强术中使用骨水泥多少最佳?
3.椎体后缘离断症分型及其手术治疗
4.腰椎翻修之手术策略
5.腰椎翻修手术之影像学评估
作者简介

邵哲,郑州市骨科医院医师脊柱外科,硕士研究生。毕业于大连医科大学,专注于脊柱疾病的诊断和治疗,以及骨组织工程相关方面基础性研究。
温馨提示
您可以微信留言想要了解的一些主题内容,同时也可以按照文章格式投稿交流(邮箱:spine_express@163.com),期待您的积极参与!

到顶部