腰椎管狭窄症合并DISH病的手术治疗


KEYPOINT
1. 合并DISH病的腰椎管狭窄(LSS)患者术后失血量更大、手术时间更长、减压节段平移发生率更高、术前患者腰痛等症状更明显且术后恢复更差;
2. 当DISH病变累及腰椎时(可称为L-DISH)可增加LSS患者术后翻修率;
3. 当DISH病变累及腰椎的患者行减压手术时,应选择保留中线部位骨性结构,包括棘突、棘上韧带和棘间韧带。


   通过上期的内容,我们了解弥漫性特发性骨肥厚(DISH病)弥漫性特发性骨肥厚(DISH病),本期让我们通过几篇文献再来了解一下DISH病对腰椎管狭窄患者的手术治疗的影响。

1
合并DISH病的腰椎管狭窄手术结局

    该文作者为探寻合并DISH病是否对腰椎管狭窄(LSS)患者行后路减压手术的结局产生影响,回顾性分析了184位接受后路减压手术的腰椎管狭窄的患者,通过术前脊柱全长X线片结果,将其中42位合并有DISH病的患者分为D组,余未合并DISH病的142位患者分为N组,通过评估其年龄、性别、美国麻醉医师协会 (ASA)分类、手术时间和估计失血量等数据,探索DISH病是否对LSS患者后路减压手术的结局产生影响。

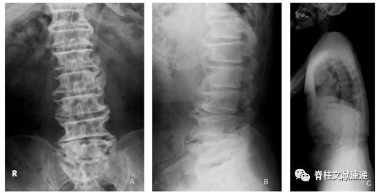
图注:一位83岁合并DISH病的LSS患者的术前X线片,可以明显观察到脊柱前侧新生骨桥的形成
结果显示:D组男性比例明显高于N组。D组的平均手术时间长于N组,并且D组的平均失血量显著大于N组。术后两年,D组较于N组手术节段更易发生椎体前移,且D组术后ODI及SF-8评分显著低于N组。
最终得出结论:与同样接受后路减压手术的未合并DISH病的 LSS 患者相比,合并DISH病的患者的手术特点是失血量更大、手术时间更长、减压节段平移发生率更高、术前患者腰痛等症状更明显且术后恢复更差。
笔者注:DISH病患者由于椎间关节骨质的肥厚变硬、黄韧带骨化等原因可能导致手术操作更复杂,手术时间更长。此外DISH患者的肥胖症比正常患者更为普遍,以往多项研究也证实了肥胖患者在行腰椎手术时,术中失血量更大、所需时间更长,并且术后会出现更多的并发症。DISH病患者脊柱前侧骨桥的存在,特别是当骨桥延伸到腰椎时,将使患者腰椎的活动范围变小,且减压节段的屈曲应力更大,这可能会加速腰椎的退行性病变,导致减压节段术后发生平移的概率更高。
2
再次手术的危险因素

    作者为研究DISH病与LSS手术治疗患者再次手术之间的关系,回顾性分析了1063位接受手术治疗的LSS患者。
结果显示:在初次手术后的平均8.6年内共有115位患者进行了再次手术治疗,DISH病仅发生在胸段的患者与再次手术无关,而当DISH病变累及腰段时(此时将此类患者定义为L-DISH),再次手术率显著高于无DISH病的患者。
结论:当DISH病变累及腰段时(L-DISH)而非DISH病患者与LSS手术治疗患者再次手术独立相关。这可能是由于当DISH病累及腰椎时会导致腰椎活动节段数量减少,腰椎活动范围变小的结果。因此当遇到合并L-DISH的LSS患者行手术治疗后更应仔细随访患者。
3
再手术的病理机制及预防措施

    该文作者为探索合并DISH病的腰椎管狭窄患者在手术的病理机制及预防措施,将613位腰椎管狭窄患者纳入研究,将合并DISH病并且椎体前侧骨桥延伸至腰椎节段的患者定义为L-DISH(D组),腰椎节段没有骨桥形成的患者定义为N组,分别对比评估两组患者的人口统计学数据、翻修手术率、影像学检查等数据。
最总得出结论:D组翻修率显著高于N组,并且行后路椎板切开减压术时保留后侧棘突的患者术后翻修率显著低于劈开棘突的后路椎板切开减压术的患者(如下图所示)。
作者建议当合并DISH病的腰椎管狭窄患者椎体前侧骨桥延伸至腰椎节段,行减压手术时,应选择保留中线部位骨性结构,包括棘突、棘上韧带和棘间韧带。

图注:此图为两种不同的后路减压的手术方式,图A为传统椎板切开减压术,术后保留了棘突、棘上韧带和棘间韧带。图B为劈开棘突的椎板切开减压术,该术式使棘突和棘间韧带在中间纵向分开,双侧椎旁肌在分裂的棘突的侧面。

图注:如图A所示当DISH病患者椎体前侧新生骨桥延伸至腰椎时,因该类患者常常存在棘上、棘间韧带的骨化、棘突肥厚。当行劈开棘突的椎板切开减压术时,后侧解剖结构的改变可能增加受影响节段的机械负荷,导致椎间盘退变和椎间不稳定(箭头所指位置)。图B为行保留后侧棘突、棘上韧带和棘间韧带的传统椎板切开减压术的患者,因后侧解剖结构的存在,可防止局部机械应力的增加,减少了椎间盘退变和椎间不稳定的发生,从而降低了术后翻修率。
审稿:王庆德
供稿:邵   哲
编辑:张振辉
参考文献
1.Okada E, Yagi M, Fujita N, et al. Lumbar spinal canal stenosis in patients with diffuse idiopathic skeletal hyperostosis: Surgical outcomes after posterior decompression surgery without spinal instrumentation. J Orthop Sci. 2019;24(6):999-1004. 
2.Yamada K, Satoh S, Abe Y, Yanagibashi Y, Hyakumachi T, Masuda T. Diffuse Idiopathic Skeletal Hyperostosis Extended to the Lumbar Segment Is a Risk Factor of Reoperation in Patients Treated Surgically for Lumbar Stenosis. Spine (Phila Pa 1976). 2018;43(20):1446-1453.
3.Nakajima H, Watanabe S, Honjoh K, Kubota A, Matsumine A. Pathomechanism and prevention of further surgery after posterior decompression for lumbar spinal canal stenosis in patients with diffuse idiopathic skeletal hyperostosis. Spine J. 2021;21(6):955-962.
往期精彩回顾
1. 弥漫性特发性骨肥厚(DISH病)
2. 腰椎术后复发性腰腿痛原因及其治疗选择
3. 坐骨神经痛的罕见病因--带状疱疹
4. 颈椎侧位X线片中易忽视的重要征象
5. 腰骶椎疾病常用的6种诊断性介入操作
作者简介

邵哲,郑州市骨科医院医师脊柱外科,硕士研究生。毕业于大连医科大学,专注于脊柱疾病的诊断和治疗,以及骨组织工程相关方面基础性研究。
温馨提示
您可以微信留言想要了解的一些主题内容,同时也可以按照文章格式投稿交流(邮箱:spine_express@163.com),期待您的积极参与!

到顶部