继续操作前请注册或者登录。

颈椎侧位X线片中易忽视的重要征象


KEYPOINT
1. 项韧带骨化的发生率和分型;
2. 项韧带骨化的提示意义。



    在确诊颈椎病时,MR的作用越来越大,门诊患者往往携带颈椎MR就诊,颈椎X线的作用似乎变小了。其实不然。颈椎X线片在判断颈椎曲度、骨质增生、间隙变窄、韧带骨化等方面仍有很大作用,其中项韧带骨化往往提示了颈椎退变的病变性质和责任节段。下面我们通过3篇文献进行回顾。
1
文献一

    该文献由姜建元教授团队发表,回顾性分析了372例颈椎病患者,得出如下结论:
1.颈椎病患者的项韧带骨化发生率为49.7%;
2.将项韧带骨化分成5型,如下图所示,分别为局灶型(A)、连续型(B)、间断型(C)、混合型(D)、其他型(E);
3.局灶型和连续型提示颈椎不稳,间断型、混合型和其他型提示OPLL的可能;
4.局灶型是最常见的项韧带骨化类型;
5.C4/5和C5/6是最常发生的节段。



2
文献二

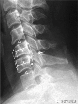
     该文献也由姜建元教授团队发表。文献进一步指出:
1.局灶型项韧带骨化的位置往往位于椎管最狭窄的水平;
2. 局灶型项韧带骨化的位置与椎体骨赘的大小有关;
3. 局灶型项韧带骨化的位置与椎间盘退变的程度有关。如下图所示:C5/6颈椎不稳、骨质增生,项韧带骨化发生于C5和C6棘突之间。

3
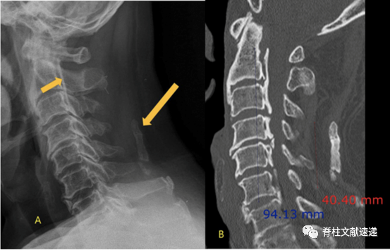
文献三

    该文献进一步指出了项韧带骨化和OPLL的相关性,并举出3个病例,如下图。



     总之,项韧带骨化是容易被忽视的X线征象,对诊断颈椎病或颈椎OPLL具有很大帮助。
审稿:王庆德
供稿:毛克政
编辑:张振辉
参考文献
1. Wang H, Zou F, Jiang J, Lu F, Chen W, Ma X, Xia X, Wang L. Analysis of radiography findings of ossification of nuchal ligament of cervical spine in patients with cervical spondylosis. Spine (Phila Pa 1976). 2014 Jan 1;39(1):E7-E11. doi: 10.1097/BRS.0000000000000037. PMID: 24270934.
2. SWang H, Zou F, Jiang J, Lu F, Chen W, Ma X, Xia X, Wang L. The correlation between ossification of the nuchal ligament and pathological changes of the cervical spine in patients with cervical spondylosis. Spine (Phila Pa 1976). 2014 Dec 15;39(26 Spec No.):B7-11. doi: 10.1097/BRS.0000000000000430. PMID: 25504097.
3.Kim MS, Park HJ, Lee SY, Kim JN. Association between ossification of the posterior longitudinal ligament and ossification of the nuchal ligament in the cervical spine. PLoS One. 2019 Nov 6;14(11):e0224729. doi: 10.1371/journal.pone.0224729. PMID: 31693687; PMCID: PMC6834259.
往期精彩回顾
1. 颈前路术后吞咽困难原因分析及预防
2. 上颈椎的微创技术
3. 颈椎病性肌萎缩
4. 【一文读懂】下颈椎骨折是如何进行AO分型的
5. ACAF—治疗颈椎后纵韧带骨化症(OPLL)新技术
作者简介

毛克政,河南省人民医院脊柱脊髓外科主治医师。专注于脊柱疾病的诊断和治疗。
温馨提示
您可以微信留言想要了解的一些主题内容,同时也可以按照文章格式投稿交流(邮箱:spine_express@163.com),期待您的积极参与!

到顶部