体检查出肝囊肿,会变成肝癌么?



现在很多人参加公司体检,在拿到报告单后,有的人发现B超报告有肝囊肿,或大或小,数量不一,就很担心。肝囊肿这是不是肝病?是不是肿瘤?会不会癌变?需不需要手术切除?今天小编就普及一下肝囊肿。

肝囊肿是什么?
长在肝脏上的所有囊泡状病变统称为肝囊肿。由于形成的原因不同,可以分成:
① 最常见的单纯性肝囊肿和多发性囊肿疾病(先天性疾病,通常肝脏及肾脏同时多发囊肿)
② 相对少见的是包虫病、囊腺瘤、先天性肝内胆管扩张;
③ 较为罕见的有恶性肿瘤、创伤肝内血肿、肝内胆汁瘤。
根据2015年的一项研究,女性比男性更容易患肝囊肿。
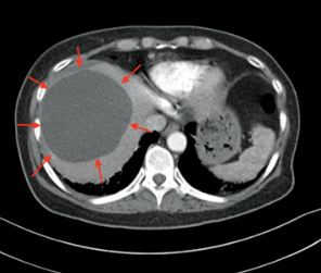
B型超声检查诊断肝囊肿具有敏感性高、无创伤、简便易行等优点,<1cm的囊肿也易检出,准确率达98%,而且能确定囊肿的性质、部位、大小、数目及累及肝脏的范围,为本病的首选检查方法。典型的超声表现是,肝脏上显示的圆形或椭圆形无回声区,部分在囊内可出现分隔;若有囊内出血、感染等,囊液可有高回声的光点,甚至在囊内可发现气泡,这时需结合患者临床症状综合判断。鉴别诊断是排除多囊肝、肝包虫病、肝脏黏液性囊腺瘤等。

肝囊肿
还有一些患者肝脏内囊肿的数量非常多,或是合并脾脏或肾脏内也有多发的囊肿,就需要警惕先天性多囊肝、多囊肾、多囊脾的情况,这类囊肿会随着年龄的增大而增大,但进展非常缓慢,可能后期才会出现肝功能、肾功能的异常。
多囊肝最常发生于多囊肾患者。在多囊肾患者中,肝囊肿的发病率随年龄的增加而增加,年龄小于30岁时约为10%,年龄大于60岁时则超过50%。这些看似来源于胆道上皮的囊肿更常见于晚期肾脏疾病患者。

肝囊肿有哪些症状?
根据2015年的研究,只有约5-10%的肝囊肿会引起症状。
肝囊肿的症状可包括:
① 膨胀或突出的胃
② 腹部饱胀或腹胀的感觉
③ 腹痛,尤其是右上象限
④ 胃灼热
⑤ 恶心和呕吐
⑥ 黄疸
这些症状通常发生在囊肿开始出血时。如果囊肿变得足够大,一个人可能能够通过腹部感觉到它。


肝囊肿需要手术吗?
最常见的单纯性肝囊肿,在超声检查中表现为肝脏内部出现的澄清液体的囊性结构,大部分人都是没有任何症状及不适,偶然体检发现的无症状患者不需要对肝囊肿进行治疗,单纯性肝囊肿也不需要过度关注去反复做检查。
部分人会出现上腹部不适、疼痛或者恶心、厌食等,对于这种会引起腹部不适的肝囊肿或者肝巨大囊肿(即囊肿体积过大),还需谨慎,一方面有伴发肿瘤可能,如囊腺瘤、囊腺癌,另一方面巨大囊肿有自发性出血、感染、破裂及压迫胆道导致梗阻可能,一旦肝脏囊肿感染,单纯抗生素治疗的失败的比例高达70%,即使单纯抗生素治疗可以控制感染,术后也很容易短期内再发生囊肿感染,因此需在医生的指导下做进一步检查及治疗,可行囊肿穿刺抽吸或肝切除等外科手术治疗。

还有一种较为常见的肝囊肿病因为包虫病,即寄生虫棘球蚴虫的感染,这种寄生虫常见于狗、狐狸、羊、马、牛等动物,其实人并不是棘球蚴虫的主要“感染对象”,只要采取积极措施可以预防,防治方法就是保持手卫生,减少跟狗、狐狸等上述提及的动物接触,尤其是野生动物,在旅游亲近大自然的同时,注意与野生动物保存距离,同时更应该注意的是另一个重要传播途径就是食用野味,家中有饲养宠物狗,需定期至宠物医院检查寄生虫感染,宠物狗感染棘球蚴虫早期发现及治疗可降低人感染可能。如经医生诊断明确为包虫病,主要治疗方式为手术治疗,抗寄生虫药物辅助治疗。
多囊肝的治疗方式,除非病变局限于肝的一叶,且伴有症状,或疑有恶变者,一般多不主张手术治疗。多囊肝当发现其中个别囊肿增大迅速,压迫邻近脏器,严重影响病人日常生活或心肺功能时,可以对较大的囊肿进行反复穿刺抽液。如果病人全身情况良好,肝功正常,也可做开窗术,以减轻压力,缓解症状,促使肝细胞再生。有条件者可进行肝移植,以彻底根治本病。
多囊肝合并多囊肾的治疗,多囊肝的治疗参照以上方案。多囊肾没有症状时,可观察并定期复查肾功能。若出现症状(如腰痛、血尿、高血压、肾功能衰竭等),则需要手术治疗,包括穿刺或切开囊肿,降低囊肿压力,有时可以延缓病变的进展和肾功能衰竭,必要时进行透析疗法。根治的方法需要肾移植。
肝囊肿会发生癌变吗?
通常来说,大多数的肝囊肿是先天形成的,不属于肿瘤范畴,更不存在恶性一说,一般情况下体积也不会改变。从临床情况来看会增大的单纯性囊肿极少,能引起症状的则更少。
单纯性囊肿往往更常见于肝右叶,且在女性中更多见。
在无症状单纯性囊肿患者中,女性/男性比约为1.5:1,但在有症状的或有并发症的单纯性囊肿患者中,女性/男性比为9:1。
但是也不能完全排除肝囊肿不会癌变的可能。
一种是比较少见的囊性改变的恶性肿瘤,就比如说是囊腺癌,经常被医生误诊成是肝囊肿。
另一种情况见于一些肝囊肿患者,由于囊肿容易反复发生感染,在长期的、反复的炎症的刺激下发生了癌变。


肝囊肿患者日常的饮食保健
① 多吃可提高免疫力的食物。如山药、乌龟、香菇、猕猴桃、无花果、苹果、沙丁鱼、蜂蜜、牛奶、猪肝等。
② 肝囊肿患者应多抗癌,抗肿瘤,增强免疫力的食物,补充足量的蛋白质。其中硒,铁含量丰富的菠菜,海类食品,鸡蛋等可以适当多食,具有较好的抗癌防癌功效。每天应保证摄入足够的蛋白质,豆制品、牛奶、瘦肉中蛋白质含量丰富。山药、香菇、蜂蜜、猪肝,新鲜水果中的猕猴桃、苹果、葡萄等可提供机体所需的维生素及矿物质,增强机体免疫力,保证囊肿处于生长缓慢,不癌变的状态。同时调料品中的大蒜具备很好的抗癌,防癌,助消化作用可适当食用。
③ 患上肝囊肿多吃富含维生素的食物。如新鲜的水果、蔬菜等,这样不仅可以为机体提供所需的营养,而且还可起到辅助抗肿瘤、抗癌的作用,从而保证肝囊肿始终处于不癌变的状态。
④ 肝囊肿的患者还要注意饮食要偏向清淡,不要食用辛辣刺激、油炸、烟熏性食物,发酵性食物。特别严禁烟酒,否则很可能加速囊肿生长。
END

到顶部