首份新冠大样本CT研究:发病3周内病变迅速 可筛无症状者首份新冠大样本CT研究:发病3周内病变迅速 可筛无症状者



病毒核酸检测无疑是确诊新冠状肺炎的“金标准”,不过肺部疾病诊断治疗中非常关键的CT在这场疫情中也同样发挥着巨大作用。当地时间2月24日,《柳叶刀》(The Lancet)子刊《柳叶刀-传染病》(Lancet Infectious Diseases)在线发表了华中科技大学同济医学院附属协和医院放射科和武汉市金银潭医院放射科联合团队的研究论文“武汉81例新冠肺炎的影像学表现:一项描述性研究”。

 
该联合团队首次对新冠肺炎患者肺部影像学的演变进行了系统性的充分表征,这篇论文也是目前在知名期刊上发表的第一篇新冠肺炎大样本影像学表现研究文章。研究回顾分析武汉协和医院和武汉金银潭医院两家医院经核酸检测确诊新冠肺炎肺炎的81例患者的CT影像资料。旨在描述新冠肺炎患者在病程不同阶段的CT特征,为临床早期诊断提供参考。
论文通讯作者为华中科技大学同济医学院附属协和医院放射科主任兼介入科主任郑传胜、武汉金银潭医院放射科主任樊艳青。武汉协和医院放射科史河水教授为该文的第一作者,该院韩小雨硕士和蒋南川医师为共同第一作者。
作者们的实际经验得出,新冠肺炎的影像学特征是多样的,从表面正常到弥漫性均有。此外,在疾病发展过程中的不同阶段会获得不同的影像学结果。作者们提及,在最初的新冠肺炎患者中,从刚发病到发展为急性呼吸窘迫综合征(ARDS)最短仅为9天。因此,及早识别这些患者非常关键。
纳入研究的81例患者于2019年12月20日至2020年1月23日住院。31例(38%)直接暴露于华南海鲜市场,15例(19%)是和新冠肺炎患者有近距离接触的医护人员,7例(9%)家庭聚集性,其余28例(35%)没有明确的接触史。
81例患者根据发病与CT扫描时间间隔将患者分组:第1组15例(亚临床期患者;症状出现前CT检查)、第2组21例(症状出现1周内CT检查)、第3组30例(症状出现超过1周不足2周内CT检查)和第4组15例(症状出现超过2周不足3周内CT检查)。
武汉协和医院的CT资料由史河水和韩小雨负责,史河水是一名具有30年经验的资深胸部放射科医生,韩小雨是一名有4年解读胸部CT影像经验的放射科住院医师。武汉金银潭医院CT资料的两名读片医生则均较为资深,樊艳青有12年经验,蒋南川有10年经验。

 
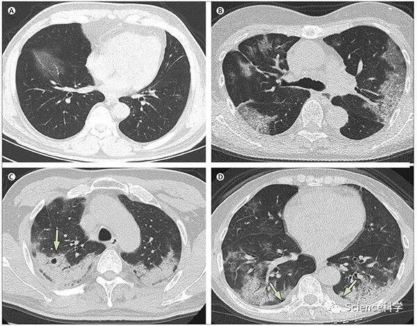
(A)56岁男性,发病第3天;(B)74岁女性,发病第10天;(C)61岁女性,发病第20天;(D)63岁女性,发病第17天。
研究结果显示,81例患者中,男性42例(52%),女性39例(48%)。平均年龄49.5岁。四组患者在年龄、性别和基础疾病上无显著统计学差异。
CT上81例均呈现异常,肺部病变平均累及10.5肺段。其中第1组2.8肺段,第2组11.1肺段,第3组13.0肺段,第4组12.1肺段。人体的肺部共有5个肺叶,左肺有上下2个肺叶,右肺有上中下3个肺叶,每个肺叶又可以细分到肺段(lung segments),左、右肺通常分别有10个支气管肺段。
该研究发现,新冠肺炎主要CT表现为双侧(64,79%)、肺外周分布为主(44,54%)以及边界不清(66,81%)磨玻璃影(53,65%),多累及右肺下叶(225/849,27%)。
第1组(n=15)主要表现为单侧(9,60%,)、多中心(8,53%)磨玻璃影(14,93%)。第2组(n=21)病变多为双侧(19,90%)、弥漫性(11,52%)磨玻璃影(17,81%)。此后,磨玻璃影持续减少(第3组17/30,57%;第4组5/15,33%),实变和混合型病变为第3组、第4组患者的主要CT表现(第3组12/30,40%;第4组8/15,53%)。
总体而言,新冠肺炎患者的胸部CT显示肺浸润性病变,甚至出现在无症状患者中。发病1-3周内,病变迅速从单侧、局灶性病变进展为双肺弥漫性磨玻璃影,后期合并实变。
研究团队认为,这项研究显示,结合影像学与临床及实验室检查,有助于新冠肺炎患者的早期诊断。

 
值得一提的是,上述论文发表的同期,香港大学李嘉诚医学院放射科Elaine Y P Lee等人也在《柳叶刀-传染病》发表了评论文章“新冠肺炎:CT告诉我们什么?”。该评论文章肯定了郑传胜团队关于新冠肺炎患者在病程不同阶段CT特征的大样本研究成果,认为该研究为患者临床症状开始时CT的演变过程提供了间接证据。
评论文章中提到,这一发现表明,CT是检测新冠肺炎的一种敏感方式,即使在无症状的个体中也是如此。当患者有明确的旅行史或者与确诊患者有过密切接触时,CT可以与核酸检测一起作为筛查工具。
值得一提的是,对一小部分核酸检测结果呈假阴性的患者中,CT检测可能尤其重要。

DD龙提醒大家
上班上学一定要戴好口罩
转发出去让更多人看到!
关注武汉疫情,您需要掌握以下知识
【推荐】面对潜在大流行风险,全球只有团结协作才能打好防疫战
报告称全球约三分之二的新冠病毒病例未被发现
【推荐】扑朔迷离的病毒起源,重症高死亡率和无症状感染传播,为疫情拐点到来增添了一丝疑云。
【推荐】遏制病毒的“机会之窗”正在关闭,新冠病毒不消失,会怎样?
超7.2万新冠病毒病例分析:粗病死率2.3% 最高为14.8%
中国科大新冠肺炎“炎症风暴”研究重大进展:发现有效阻断药物
六问武汉病毒研究专家
人造泄露传闻再起!网传武汉病毒所一研究生系"零号病人",官方回应!
疫情趋于平缓,病毒命名尚存分歧,传播线路日渐清晰,RO仍需再论
日本的新冠病毒公众防疫指南,简单明了!
细菌和病毒上了天怎么办?
潜伏期再延长,致死率需再议?帝国理工再发重磅报告
囚禁致命病毒的武汉P4实验室到底有多牛?
王炸齐聚武汉,离拐点还有多远?
历史信息
新冠病毒潜在中间宿主或为穿山甲 完整数据待公布
囚禁致命病毒的武汉P4实验室到底有多牛?
春暖花开,席卷中国的疫情在变得更好还是更糟?
新型冠状病毒首张彩照公布,致命恶魔原来长这样!
在飞机上感染病毒概率多大?示意图带你看清
计算机仿真程序告诉你为什么不能出门!
新冠状病毒扑朔迷离的身世,是谁打开了潘多拉的盒子?
SARS病毒实验室泄漏事件十年记事,生物安全的这根弦,一刻也不能放松
先不提双黄连能否抑制新型冠状病毒,显然可以抑制智商
新冠状病毒疫情预测与发展,大流行风险或高于SARS
武汉出院患者 他们经历了怎样的治疗过程?
蛇?蝙蝠?水貂?新型冠状病毒究竟来源于哪种动物?
《柳叶刀》老年有慢性病史的男性可能更易患新型冠状病毒肺炎!(中英双语)
同济新发现:亚裔可能更易感染新冠状病毒?勿断章取义别被标题了!
新英格兰医学杂志:新冠状病毒疫情更难控制或因致命性更低
【最新】Science:华南海鲜市场“翻盘”了?恐不是新型冠状病毒发源地!
武汉封城:谁导致了新型冠状病毒的疫情?除了吃货,果子狸、竹鼠、蛇...这锅谁背?
与时间赛跑:新型冠状病毒肺炎引发大范围传播风险有多大?
武汉疫情海报:敬畏大自然,共生才能共存
武汉的冠状病毒从哪儿来?又是怎样传染人类?来龙去脉或许很简单
最新:新型冠状病毒感染肺炎确诊217例!从病情病理到口罩选择,大众该如何预防?
防治新冠肺炎怎么吃才营养?戳我!
以史为鉴,敬畏自然



Science科学 
了解未知 开启认知

按此关注中文公众号
Science科学英语平台 
THE SCIENCE OF EVERYTHING

按此关注英文公众号
您的关注和转发,是对科学事业最大的支持!

◢ 豁然开朗请打赏 ◣

点击“星标”,给予支持!点击“在看”,助力传播!
到顶部