首篇新冠病例CT大样本分析:发病 3 周内肺部病变迅速



当地时间 2020 年 2 月 24 日,华中科技大学同济医学院附属协和医院放射科和武汉市金银潭医院放射科联合团队的论文 Radiological findings from 81 patients with COVID-19 pneumonia in Wuhan,China:a descriptive study(武汉 81 例新冠肺炎病例的影像学表现:一项描述性研究)发表于《柳叶刀》(The Lancet)子刊《柳叶刀·传染病》(The Lancet Infectious Diseases)。
而这篇论文也是首篇在知名期刊上发表的新冠肺炎大样本 CT 影像研究论文。
首篇新冠病例 CT 大样本论文
研究人员对上述两所医院的新冠肺炎患者(经下一代测序或 RT-PCR 确诊)做了连续胸部 CT 扫描,并对其影像学特征与分布进行了回顾性分析。
根据症状发作时间与第一次 CT 扫描之间的间隔,81 例于 2019 年 12 月 20 日-2020 年 1 月 23 日期间入院的患者共分为 4 组:第 1 组 15 例(亚临床患者)、第 2 组 21 例(≤ 1周)、第 3 组 30 例(1-2 周)、第 4 组 15 例(2-3 周)。

 
【81 例患者的基本特征及症状】
研究人员得到的具体数据主要如下:
所有患者平均病变肺段数为 10.5,第 1 组 2.8,第 2 组 11.1,第 3 组 13.0,第 4 组 12·1;
所有患者肺部异常表现主要为双侧(64 例,79%)、外周(44 例,54%)、边界不清(66 例,81%)、磨玻璃影(53 例,65%),主要累及右肺下叶(849 个节段中的 225 个,27%);
第 1、2 组出现磨玻璃影的患者较多:第 1 组肺部异常表现有单侧(9 例,60%)、多焦点(8 例,53%)、磨玻璃影(14 例,93%);第 2 组肺部异常表现有双侧(19 例,90%)、弥漫性(11 例,52%)、磨玻璃影(17 例,81%);第 3 组磨玻璃影 17 例(57%),第 4 组磨玻璃影 5 例(33%);
第 3、4 组出现实变和混合性病变的患者偏多:第 3 组 12 例(40%),第 4 组 8 例(53%)。

 
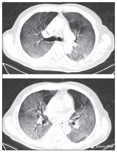
实际上,研究团队也着重关注了有既往病史的患者。下图是一名患有慢性肺病(结核病)、入院第 12 天因呼吸窘迫症去世的 60 岁男性患者的不同级别的 CT 影像。根据其发病第 8 天的 CT 影像,两肺可见广泛的磨玻璃影,几乎累及整个下叶、大部分上叶和右肺中叶,“白肺”(肺部显影呈一大片的白色状,一般是肺部被炎症所侵润的表现),并伴有空气支气管造影。

 
论文指出,新冠肺炎患者的胸部 CT 会显示肺浸润性病变,无症状感染者也会表现出胸部 CT 成像异常——在发病 1-3 周内,病变迅速从单侧、局灶性病变进展为双肺弥漫性磨玻璃影,后期合并实变。
可以看出,影像学检查结合临床、实验室检查将有助于新冠肺炎的早期诊断。
CT 告诉我们什么?
实际上,上述研究也受到了同行认可。
2 月 24 日当天,香港大学李嘉诚医学院放射科 Elaine Y P Lee 团队也在《柳叶刀·传染病》(The Lancet Infectious Diseases)发表了名为《新冠肺炎:CT 告诉我们什么?》的文章。

 
该文章肯定了上述团队的大样本 CT 研究,认为该研究为患者临床症状不同阶段 CT 影像的演变过程提供了支撑:
CT 是检测新冠肺炎的一种重要方法,即使在无症状患者中亦是如此。当核酸检测结果呈假阴性时,CT 检测显得尤其重要。
实际上有专家曾对 CT 影像结果的准确性提出过质疑,但不可否认的是,CT 对新冠肺炎早期诊断仍具有积极意义。

DD龙提醒大家
上班上学一定要戴好口罩
转发出去让更多人看到!
关注武汉疫情,您需要掌握以下知识
【推荐】面对潜在大流行风险,全球只有团结协作才能打好防疫战
报告称全球约三分之二的新冠病毒病例未被发现
【推荐】扑朔迷离的病毒起源,重症高死亡率和无症状感染传播,为疫情拐点到来增添了一丝疑云。
【推荐】遏制病毒的“机会之窗”正在关闭,新冠病毒不消失,会怎样?
超7.2万新冠病毒病例分析:粗病死率2.3% 最高为14.8%
中国科大新冠肺炎“炎症风暴”研究重大进展:发现有效阻断药物
六问武汉病毒研究专家
人造泄露传闻再起!网传武汉病毒所一研究生系"零号病人",官方回应!
疫情趋于平缓,病毒命名尚存分歧,传播线路日渐清晰,RO仍需再论
日本的新冠病毒公众防疫指南,简单明了!
细菌和病毒上了天怎么办?
潜伏期再延长,致死率需再议?帝国理工再发重磅报告
囚禁致命病毒的武汉P4实验室到底有多牛?
王炸齐聚武汉,离拐点还有多远?
历史信息
新冠病毒潜在中间宿主或为穿山甲 完整数据待公布
囚禁致命病毒的武汉P4实验室到底有多牛?
春暖花开,席卷中国的疫情在变得更好还是更糟?
新型冠状病毒首张彩照公布,致命恶魔原来长这样!
在飞机上感染病毒概率多大?示意图带你看清
计算机仿真程序告诉你为什么不能出门!
新冠状病毒扑朔迷离的身世,是谁打开了潘多拉的盒子?
SARS病毒实验室泄漏事件十年记事,生物安全的这根弦,一刻也不能放松
先不提双黄连能否抑制新型冠状病毒,显然可以抑制智商
新冠状病毒疫情预测与发展,大流行风险或高于SARS
武汉出院患者 他们经历了怎样的治疗过程?
蛇?蝙蝠?水貂?新型冠状病毒究竟来源于哪种动物?
《柳叶刀》老年有慢性病史的男性可能更易患新型冠状病毒肺炎!(中英双语)
同济新发现:亚裔可能更易感染新冠状病毒?勿断章取义别被标题了!
新英格兰医学杂志:新冠状病毒疫情更难控制或因致命性更低
【最新】Science:华南海鲜市场“翻盘”了?恐不是新型冠状病毒发源地!
武汉封城:谁导致了新型冠状病毒的疫情?除了吃货,果子狸、竹鼠、蛇...这锅谁背?
与时间赛跑:新型冠状病毒肺炎引发大范围传播风险有多大?
武汉疫情海报:敬畏大自然,共生才能共存
武汉的冠状病毒从哪儿来?又是怎样传染人类?来龙去脉或许很简单
最新:新型冠状病毒感染肺炎确诊217例!从病情病理到口罩选择,大众该如何预防?
防治新冠肺炎怎么吃才营养?戳我!
以史为鉴,敬畏自然



Science科学 
了解未知 开启认知

按此关注中文公众号
Science科学英语平台 
THE SCIENCE OF EVERYTHING

按此关注英文公众号
您的关注和转发,是对科学事业最大的支持!

◢ 豁然开朗请打赏 ◣

点击“星标”,给予支持!点击“在看”,助力传播!
到顶部