继续操作前请注册或者登录。

新研究发现:新冠病毒易感染猫和雪貂




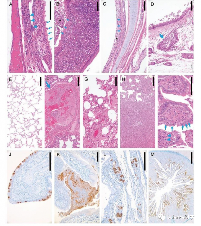
美国《科学》杂志8日发表的新研究发现,新冠病毒容易感染猫和雪貂,而对狗、猪、鸡、鸭等感染性微弱。目前,对于新冠病毒起源以及中间宿主等还没有定论,哪种动物最适合作为实验模型来评估新冠药物和疫苗对人体的功效仍是一大难题。在这一研究中,研究人员比较研究了不同动物对新冠病毒的敏感性,包括猫、狗、猪、鸡、鸭等家畜。

研究选取了两个病毒株:F13-E和CTan-H。研究人员通过动物的鼻腔接种使其感染新冠病毒,然后检测病毒在各部位的复制情况。结果发现,病毒在其他动物体内复制很少,但在雪貂上呼吸道、猫的呼吸系统和消化系统复制较多。幼猫的感染更为严重。
研究负责人、中国农业科学院哈尔滨兽医研究所研究员、中国科学院院士陈化兰在接受新华社记者书面采访时表示,这项研究证明,雪貂可以用作新冠病毒疫苗和药物评估的模型动物。猫高度易感,应该密切监测和保护疫区的猫。狗、猪和家禽等动物对新冠病毒不易感。该研究将对新冠病毒的溯源具有重要指导意义。



Science科学 
了解未知 开启认知

按此关注中文公众号
Science科学英语平台 
THE SCIENCE OF EVERYTHING

按此关注英文公众号

◢ 豁然开朗请打赏 ◣

分享“票圈”,逢考必过,点亮“在看”SCI录用率提高18%
到顶部