没有经过P图上色的新冠病毒图片:像是很小的比萨饼




目前,网上流传的大多数新型冠状病毒图片都是P过的,或者是示意图,美国疾控中心新发布的图片,非常详细地显示出它的模样。美国疾控中心公共卫生部发布的新图片显示,新型冠状病毒看起来像是很小的比萨饼(上述图片中为蓝色)。

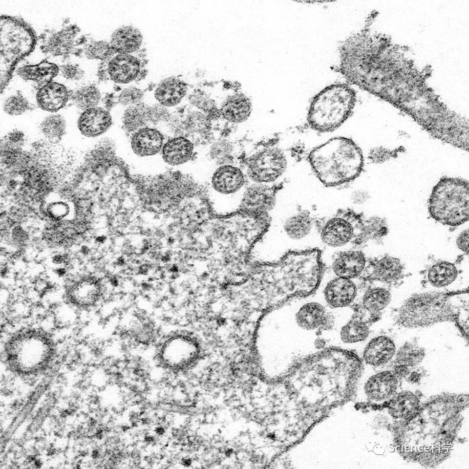
犹他州大学副教授布莱恩·威廉·琼斯(Bryan William Jones)表示,病毒尺寸太小了,传统显微镜看不到,必须使用电子显微镜。

透射式电子显微镜拍摄的新型冠状病毒图片
琼斯说,病毒形状或形态,是对病毒分类的一个重要指标。由电子显微镜拍摄的图片,可以清晰地显示出包括核衣壳蛋白和刺突蛋白在内的新型冠状病毒的3D结构。

扫描式电子显微镜拍摄的新型冠状病毒图片
琼斯表示,透射式电子显微镜拍摄的新型冠状病毒图片中的蓝点,以及扫描式电子显微镜图片中的橙色斑点,都是人为着色的,目的是让普通人更好地了解新型冠状病毒形状。


Science科学 
了解未知 开启认知

按此关注中文公众号
Science科学英语平台 
THE SCIENCE OF EVERYTHING

按此关注英文公众号
TechEdge 
科技 点亮未来

按此关注中文公众号

◢ 豁然开朗请打赏 ◣

分享“票圈”,逢考必过,点亮“在看”SCI录用率提高18%
到顶部