研究揭示新冠病毒如何全面攻击人体




新型冠状病毒患者在感染后会产生一些症状,一些人可能从轻微症状 (发烧、疲劳、咳嗽) 发展到难以置信的严重症状(呼吸困难、低血氧水平、肾脏受损等)。在《科学》杂志上的一篇新文章中,来自抗击COVID-19的前线医生们的观点揭示了这种疾病是如何从让患者出现微不足道的不适演化成危及生命的器官衰竭的。

新冠病毒最主要的传播方式是通过空气中的飞沫。这种新型冠状病毒会攻击细胞上具有ACE2受体的结合位点。最初,症状很轻或完全没有,一个人甚至不知道自己已经被感染。然后,病毒就会进入肺部。肺部的脆弱组织内衬恰好充满了病毒所喜爱的ACE2受体,于是病毒的攻击就开始了。当白细胞开始对抗感染时,病毒和免疫系统之间的战斗阻碍了肺部为血液提供氧气的能力。
前线白细胞释放出称为趋化因子的炎症分子,这反过来又会召唤更多的免疫细胞,针对并杀死受病毒感染的细胞,留下的是液体和死细胞--脓包。这就是肺炎的基本病理,其相应的症状是:咳嗽、发热、呼吸急促等。

这时,患者就会遇到一个岔路口。从这时起,有些患者在吸氧治疗和休息的帮助下,转危为安,开始恢复。然而,其他人则会出现更严重的并发症,例如急性呼吸窘迫综合征(ARDS),这时肺部无法提供足够的氧气来维持生命。这些患者最终往往要靠呼吸机来维持生命,可悲的是,他们中相当一部分人无法战胜病毒。
即使是在肺部反应不致命的患者中,也会对其他器官造成损害,包括心脏和肾脏。医生们仍在努力解释病毒是如何攻击心脏的,但人们认为病毒产生的血块可能是关键。这也可以解释病毒对肾脏的破坏性影响,因为肾脏会过滤血液,当血块堆积时,肾脏会被血块堵塞。

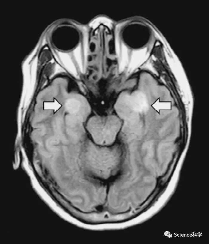
此外,新冠病毒如何影响大脑,是医护人员正在努力解决的另一个主要问题。相当一部分患者出现癫痫发作和脑部肿胀,但目前还不清楚病毒是如何攻击脑干或神经皮层的,而这两个部位都有ACE2受体,病毒可能会附着在这两个部位,也不清楚病毒是否会扩散到保护中枢神经系统许多重要部位的脑脊液。有可能是病毒对血液的影响最终导致了大脑中的反应,因为血块可能会引起肿胀,并引发任何一系列严重的神经系统症状。
归根结底,很显然,关于这种新冠病毒以及它是如何攻击人体的,还有很多未解之谜。为什么有些患者能够幸免于难,而另一些患者的病情却迅速恶化?这个问题可能还需要一段时间才能得到答案,但不乏医生和科学家们日以继夜的努力来回答这个问题。


Science科学 
了解未知 开启认知

按此关注中文公众号
Science科学英语平台 
THE SCIENCE OF EVERYTHING

按此关注英文公众号
TechEdge 
科技 点亮未来

按此关注中文公众号

◢ 豁然开朗请打赏 ◣

分享“票圈”,逢考必过,点亮“在看”SCI录用率提高18%
到顶部