法国去年12月已出现新冠病例,和中国无关,但溯源仍很难




SARS-COV-2于2019年12月下旬就已在法国传播(SARS-COV-2 was already spreading in France in late December 2019)论文作者来自法国塞纳-圣但尼医院集团、法国国家健康与医学研究院和巴黎大学发文时间:2020年5月3日在线发表在国际期刊International Journal of Antimicrobial Agents上。
点击播放视频
引 言法国于2020年1月24日报告了首批SARS-COV-2相关感染病例,2例病例均有前往中国武汉市的旅行史。据我们所知,这2例病例被认为是法国的首批确诊病例。COVID-19最常伴有流感样疾病(influenza-like illness, ILI)。当中国面临COVID-19爆发时,欧洲国家正与季节性流感作斗争。
鉴于COVID-19和流感样疾病之间的临床症状相似,因此我们决定回顾性地在巴黎附近的我院(指的是塞纳-圣但尼医院,下同)重症监护室(ICU)收集的呼吸道样本中寻找SARS-COV-2。方法-回顾性分析选定的记录
我们回顾性分析2019年12月2日~2020年1月16日期间因ILI而住院的ICU患者的病历,入院时多重FilmArray PCR(可检测20种导致上呼吸道感染的常见病毒和细菌,包括流感病毒、常见冠状病毒,但不包括SARS-COV-2)测试结果为阴性。
我院采集的每份呼吸道样本均在ThermoScientific公司的-86°C冷冻室中冷冻,保存4年,以备进一步分析。根据病历,对同时有ILI症状(发热高于38.5°C、咳嗽、鼻炎、咽喉痛或肌痛)和磨玻璃样阴影(ground glass opacity)的患者采集的样本进行SARS-COV-2 RT-PCR。样本选择说明见图1。

图1.用于测试的样本选择过程。
COVID-19测试
在2020年4月6日~9日期间对14个选定的生物库进行了SARS-COV-2 RT-PCR测试。严格按照Charité方案在QuantStudio7(Thermofisher)设备上进行针对SARS-COV和 SARS-COV-2泛基因组中编码包膜蛋白的E基因的RT-PCR测试。根据制造商的建议,用Gene finder COVID19 Plus RealAmp试剂盒(IFMR-45)对阳性结果进行验证(图2)。
这种试剂盒针对3个病毒基因(RdRp、E和N基因,分别编码病毒RNA依赖性RNA聚合酶、包膜蛋白和核衣壳蛋白)和细胞RNAse P基因进行检测,以确认呼吸道样品的质量。

图2.依照Charité方案的RT-PCR测试结果。
研究结果在研究期间,我们的分析中纳入了58例因ILI而住院的患者中的14例(24%)。其中1例样本为阳性,获取自一名42岁的在阿尔及利亚出生的男性,他在法国生活多年,是一名鱼贩子。
他的最后一次旅行是在2019年8月期间前往阿尔及利亚。在他的症状出现之前,他的一个孩子已出现了ILI。他的病史包括哮喘和II型糖尿病。他出现咯血、咳嗽、头痛、发烧等症状,持续4天,并于2019年12月27日前往急诊病房。
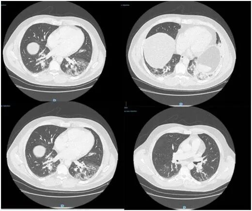
初步检查无异常,所做CT扫描显示双侧下叶磨玻璃样阴影(图3),入院时他有淋巴细胞减少症,C反应蛋白和纤维蛋白原升高,但原降钙素处于正常范围。在急诊病房采集的痰液样本中没有发现病原体。这名患者入住ICU,接受抗生素治疗,因病情发生好转于2019年12月29日出院。

图3.在基线时进行胸部CT扫描。
讨 论我们报告了一例COVID-19患者,该患者比法国的首批报道病例早了一个月。入院时,这名患者出现了之前在中国和意大利患者队列中常见的临床症状和放射学模式。确定第一例感染患者具有重大的流行病学意义,这是因为它极大地改变了我们对SARS-COV-2及其在法国传播的认识。
此外,由于这名患者与中国没有联系,最近也没有旅行,这表明这种疾病在2019年12月底就已经在法国人群中传播。还需要开展进一步的研究来评估SARS-COV-2在法国境内的实际发生情况、2019年末和2020年1月期间SARS-COV-2在人群中的实际传播程度,并探索当时可能发生的未被注意到的死亡情况。截至2020年5月10日,法国境内存在176782例COVID-19病例,其中26313例死亡,但是我们的研究结果表明,这些数字可能低估了COVID-19的实际负担。
最近的2项研究提示着大约18%~23%的SARS-COV-2感染者是无症状的;大约55%的感染者是由身份不明的感染者引起的。我们的结果强烈支持这两种观点,提出在2020年1月期间,许多无症状的患者没有被诊断出来,并促成了这一流行病的传播。此外,由于这些结果改变了我们对COVID-19疫情动态的理解,这也意味着用于预测SARS-COV-2传播的演变和结果的几个模型可能是基于有偏差的数据,需要根据疫情的实际概况进行调整。我们的研究存在几个局限性。首先,由于所进行的分析是回顾性的,病历资料并不全面,可能遗漏了一些相关信息。其次,由于RT-PCR的灵敏度和可能损害样本质量的储存技术,我们无法排除假阴性结果。为了避免任何假阳性结果,我们采取了所有通常的预防措施,我们通过两种不同的技术和不同的工作人员对测试结果进行验证。
第三,我们将我们的分析限制在少数样本上,我们将所选的医学记录限制在仅限于症状和胸部CT相符的ICU患者,即使大多数患者实际上有轻微的症状。第四,我们将分析范围限制在当时多重FilmArray PCR测定结果为阴性的患者中,尽管文献中已经描述了交叉感染的情况。
最后,我们在巴黎北部地区进行了一项单中心研究,该地区在这一流行病中面临着特别高的负担。这些限制可能解释着为何我们只能在我们研究的人群中识别出一例SARS-COV-2感染者。


Science科学 
了解未知 开启认知

按此关注中文公众号
Science科学英语平台 
THE SCIENCE OF EVERYTHING

按此关注英文公众号
TechEdge 
科技 点亮未来

按此关注中文公众号

◢ 豁然开朗请打赏 ◣

分享“票圈”,逢考必过,点亮“在看”SCI录用率提高18%
到顶部