《柳叶刀•呼吸医学》发布首个新冠肺炎病理报告 遗体微创取样



2020 年 2 月 17 日,中科院院士、解放军总医院第五医学中心(302 医院)教授王福生团队的一份新冠肺炎死亡患者病理报告发表于国际知名医学期刊《柳叶刀•呼吸医学》(The Lancet Respiratory Medicine)。
报告指出,逝者肺部表现为弥漫性肺泡损伤和肺透明膜形成,符合严重急性呼吸窘迫综合征(ARDS)表现,肺部总体病理学表现与 SARS 和 MERS 相似。
这份名为 Pathological findings of COVID-19 associated with acute respiratory distress syndrome(COVID-19 与急性呼吸窘迫综合征的病理关系)的报告,是全球首篇对新冠肺炎死亡患者病理检查的文献记录。
患者发病第 14 天死亡
1 月 27 日,王福生院士团队对一例新冠肺炎死亡患者进行了微创病理检查——而非完整尸检。具体来讲,研究团队通过穿刺遗体获取的组织样本(与临床采用的活检操作相同,只是操作时间在患者死亡后),调查死于 SARS-CoV-2(新型冠状病毒)严重感染的患者的病理特征。然而,由于尸检或活检难以实现,目前尚无病理学报告。

 
【 图源 The Lancet Respiratory Medicine 】
在报告中,作者首先介绍了该死亡病例的基本情况(如下图所示):
1 月 8-12 日去过武汉,1 月 14 日(发病第 1 天)出现轻微寒战和干咳症状,但此后并未就医,一直工作到 1 月 21 日;
1 月 21 日,因发烧、寒战、咳嗽、疲劳和呼吸急促等症状于发热门诊就诊;
1 月 22 日(发病第 9 天)胸片显示两肺多处斑片状阴影;另外北京市疾病预防控制中心通过取咽拭子标本,利用反向实时 PCR 检测确诊;
立即转入隔离病房,并通过面罩给氧。雾化吸入干扰素 α-2b,口服洛匹那韦/利托那韦作为抗病毒治疗,静脉滴注莫西沙星预防继发感染。鉴于其严重的呼吸窘迫和低氧血症,静脉注射甲基强的松龙以减轻肺部炎症。接受药物治疗后,体温从 39.0℃ 降至 36.4°C,但仍咳嗽、呼吸困难和疲劳;
1 月 25 日(发病第 12 日),胸片显示患者双肺出现进行性浸润和弥漫的网格状影。由于患有幽闭恐惧症,患者多次拒绝 ICU 的呼吸机支持,因而接受了高流量鼻导管氧疗(HFNC),给氧浓度 60%,流速 40 L/min;
1 月 26 日(发病第 13 日),症状仍无改善,不过血氧饱和度保持在 95% 以上;
1 月 27 日(发病第 14 日)下午,患者低氧血症和呼吸窘迫症恶化。尽管接受了 HFNC(给氧浓度 100%,流速 40 L/min),但血氧饱和度仍降至 60%,并突发心跳骤停。研究组立即进行有创通气、胸部按压和肾上腺素注射治疗,但不幸抢救未成功。患者于北京时间 1 月 27 日 18 时 31 分死亡。

 
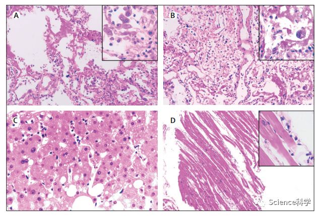
取样患者肺、肝、心脏组织
组织样本取自患者的肺(下图 A 部分为右肺,B 部分为左肺)、肝(下图 C 部分)和心脏组织(下图 D 部分)。组织学检查显示:
双侧弥漫性肺泡损伤伴细胞性的纤维黏液样渗出物。双肺可见间质单核炎性细胞浸润,以淋巴细胞为主。肺泡腔内可见多核合胞体细胞,胞核大,双亲性颗粒细胞质,核仁明显,呈病毒性细胞病变样改变,未发现明显的核内或胞浆内病毒包涵体。新冠肺炎的病理特征与 SARS 和中东呼吸综合征(MERS)冠状病毒感染相似;
右肺组织出现明显的肺泡上皮脱落和肺透明膜形成,显示患有严重急性呼吸窘迫综合征;
左肺组织表现为肺水肿伴透明膜形成,显示早期严重急性呼吸窘迫综合征;
肝样本显示中度微血管脂肪变性和轻度肝小叶汇管区活动性炎症,表明损伤可能由新冠病毒感染或药物性肝损伤引起;
心肌间质内有少量单核炎性细胞浸润,但心脏组织无其他实质性损害。

 
此外,研究组对患者的外周血进行流式细胞术分析(指一种生物学技术,用于对悬浮于流体中的微小颗粒进行计数和分选。可用来对流过光学或电子检测器的一个个细胞进行连续的多种参数分析),发现外周血 CD4 和 CD8 T 细胞数量显著减少,但其状态为超活性,HLA-DR 和 CD38 双阳性率高。CD4 T 细胞中的高刺激性 CCR4+ CCR6+ Th17 浓度增加。
同时,CD8 T 细胞中含有高浓度的细胞毒性颗粒,其中穿孔蛋白阳性的细胞占 31.6%,粒溶蛋白阳性的细胞占 64.2%,粒溶蛋白和穿孔蛋白均为阳性的细胞占 30.5%。
研究结果表明,T 细胞的过度激活,表现为 Th17 的增加和 CD8T 细胞的高细胞毒性,这也部分解释了患者的严重免疫损伤。
及时适当使用糖皮质激素及呼吸机支持
基于上述研究分析,研究团队得出以下结论:
肺炎进展迅速,双肺之间有些许差异;
肝组织显示中度微血管脂肪变性和轻度小叶活动,但尚无确凿证据说明 SARS-CoV-2 感染或药物性肝损伤是病因;
SARS-CoV-2 感染可能不会直接损害心脏;
淋巴细胞减少是新冠肺炎患者的常见特征,可能是与疾病严重程度及死亡率相关的关键因素。
同时,研究团队认为,尽管不建议常规使用糖皮质激素治疗新冠肺炎,但根据该患者病理检查中肺水肿和透明膜形成的病理表现,对于重症患者,应考虑及时适当地使用糖皮质激素及呼吸机支持,预防 ARDS 进展。
毫无疑问,即便这份报告并非遗体解剖病理报告,但也对我们了解新冠肺炎的发病机制、帮助医护人员改进临床治疗策略有重要的意义。
值得一提的是,新冠病毒遗体解剖工作已经展开。2020 年 2 月 16 日,在法律政策允许并征得患者家属同意后,两例新冠肺炎逝者遗体解剖工作在武汉市金银潭医院顺利完成,随后两具遗体解剖病理被送检,预计 10 日内可得到病理报告。
正如相关专家所言:
由解剖获得的新冠肺炎病理,对于探索新冠肺炎患者临床的病理改变、疾病机制等有重大帮助,并能从根本上探究新冠肺炎的致病性、致死性,给未来临床治疗危重症患者提供依据。
在此感谢忍着悲痛签署解剖同意书的逝者家属,也期待两例遗体解剖病理报告的早日公布。
参考资料:
https://www.thelancet.com/journals/lanres/article/PIIS2213-2600(20)30076-X/fulltext

最后提醒大家,上班上学一定要戴好口罩
转发出去让更多人看到!
关注武汉疫情,您需要掌握以下知识】
超7.2万新冠病毒病例分析:粗病死率2.3% 最高为14.8%
中国科大新冠肺炎“炎症风暴”研究重大进展:发现有效阻断药物
六问武汉病毒研究专家
人造泄露传闻再起!网传武汉病毒所一研究生系"零号病人",官方回应!
疫情趋于平缓,病毒命名尚存分歧,传播线路日渐清晰,RO仍需再论
日本的新冠病毒公众防疫指南,简单明了!
细菌和病毒上了天怎么办?
潜伏期再延长,致死率需再议?帝国理工再发重磅报告
囚禁致命病毒的武汉P4实验室到底有多牛?
王炸齐聚武汉,离拐点还有多远?
历史信息
新冠病毒潜在中间宿主或为穿山甲 完整数据待公布
囚禁致命病毒的武汉P4实验室到底有多牛?
春暖花开,席卷中国的疫情在变得更好还是更糟?
新型冠状病毒首张彩照公布,致命恶魔原来长这样!
在飞机上感染病毒概率多大?示意图带你看清
计算机仿真程序告诉你为什么不能出门!
新冠状病毒扑朔迷离的身世,是谁打开了潘多拉的盒子?
SARS病毒实验室泄漏事件十年记事,生物安全的这根弦,一刻也不能放松
先不提双黄连能否抑制新型冠状病毒,显然可以抑制智商
新冠状病毒疫情预测与发展,大流行风险或高于SARS
武汉出院患者 他们经历了怎样的治疗过程?
蛇?蝙蝠?水貂?新型冠状病毒究竟来源于哪种动物?
《柳叶刀》老年有慢性病史的男性可能更易患新型冠状病毒肺炎!(中英双语)
同济新发现:亚裔可能更易感染新冠状病毒?勿断章取义别被标题了!
新英格兰医学杂志:新冠状病毒疫情更难控制或因致命性更低
【最新】Science:华南海鲜市场“翻盘”了?恐不是新型冠状病毒发源地!
武汉封城:谁导致了新型冠状病毒的疫情?除了吃货,果子狸、竹鼠、蛇...这锅谁背?
与时间赛跑:新型冠状病毒肺炎引发大范围传播风险有多大?
武汉疫情海报:敬畏大自然,共生才能共存
武汉的冠状病毒从哪儿来?又是怎样传染人类?来龙去脉或许很简单
最新:新型冠状病毒感染肺炎确诊217例!从病情病理到口罩选择,大众该如何预防?
防治新冠肺炎怎么吃才营养?戳我!
以史为鉴,敬畏自然

END


Science科学 
了解未知 开启认知

按此关注中文公众号
Science科学英语平台 
THE SCIENCE OF EVERYTHING

按此关注英文公众号
您的关注和转发,是对科学事业最大的支持!

◢ 豁然开朗请打赏 ◣

点击“星标”,给予支持!点击“在看”,助力传播!
到顶部