柿子、山楂吃多了胃里会长石头?



不知不觉,佳节将至,阖家团聚的时刻总少不了吃些瓜果零食,山楂、柿子、黑枣是很多人冬天衷爱的食品,尤其是糖葫芦,更是小朋友的最爱。每到秋冬时节,医院总会来一些腹部不适、消化不良的患者做影像检查,大夫总会问:“最近有没有吃山楂、柿子?”,有些人的报告单里提示:胃石症。有的长辈也会告诫我们:“柿子、山楂不要多吃,会长石头!”



吃柿子、山楂和胃里的“石头”有什么关系呢? 
因为山楂和柿子中的鞣酸(单宁酸)含量很高,尤其是未成熟的果实,在胃酸的作用下,可以与胃中的蛋白质结合形成不溶于水的沉淀物,不易消化,甚至还会集结成团,形成一种常见的胃石——植物性胃石,并不是真正意义上的石头哦。 
胃石症有什么表现呢?

大多数病人有上腹部疼痛、胀痛、食欲不振、消化不良、恶心等表现,严重者可造成胃溃疡、胃穿孔、肠梗阻等。 
                      
如何判断是否得了胃石症呢?
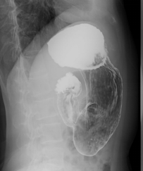
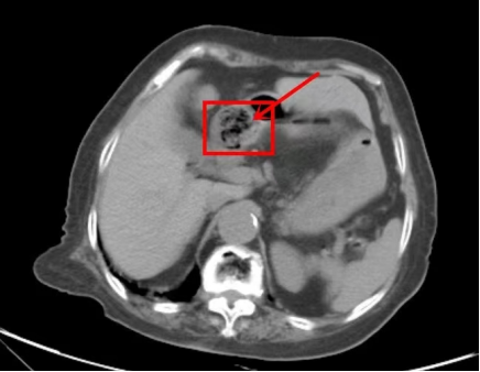
如果您最近吃了大量的柿子、山楂、黑枣、石榴等,又出现上述症状,请前往正规医院行钡餐、 CT 或胃镜检查。 


上消化道钡餐检查

腹部CT检查

胃镜检查
听人说喝可乐就能治疗胃石?

确实有研究表明碳酸饮料对刚形成不久的植物性结石有一定疗效,但对其他类型的胃石疗效并不明显,此外胃石症并发胃粘膜糜烂、溃疡者禁忌使用,有症状请及时就医,在医生指导下进行治疗。 
怎样避免得胃石症呢?
1、避免空腹吃柿子、山楂或黑枣等。
2、避免酒后、饮茶后吃柿子、山楂或黑枣等。
3、平时有烧心、反酸等胃酸分泌过多的人应避免食用。
4、胃动力差、排空延迟的老人及小儿避免食用。
5、避免与海鲜、牛羊肉、奶制品等高蛋白同时。
【妇幼健康科普,传播健康知识】

关注我们·更多精彩

想获得更多的健康咨询
公共平台搜索"临沂市妇幼保健院"
或扫描二微码添加关注
服务热线:400-6090-776
到顶部