“我是心脏,请帮帮忙!”






01

什么是冠脉?为什么要检查冠脉?
人体各组织器官要维持正常的生命活动,就需要心脏不停地搏动来提供血液。然而,日夜操劳的心脏本身,也同样需要血液为它提供营养和能量。而为心脏供血的,就是我们今天的主角——冠状动脉,简称冠脉。

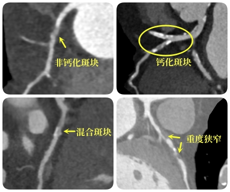
冠脉行走于心脏表面,分成左右两支,源源不断地为心脏输送新鲜血液。当冠脉处发生病变,如硬化、钙化、形成斑块时,会导致冠脉管腔狭窄甚至闭塞,血液无法正常提供给心脏,从而导致心肌缺血、缺氧甚至坏死等一系列重大问题!
如果您经常感到不明原因的胸闷胸痛、劳累或情绪激动后心脏区域疼痛不适、体检时心电图明显异常等情况,一定要警惕是否是冠脉出了问题,请第一时间到医院心内科就诊。
02

什么是冠脉CTA?冠脉CTA有什么作用呢?
冠脉CTA,即冠状动脉CT血管造影,是通过静脉注射造影剂,在造影剂流经冠脉时,利用螺旋CT机器进行快速多层扫描和图像重建技术,从而生成冠状动脉的清晰图像。

心脏及冠脉VR重建  显示心脏及冠脉的三维立体形态
冠脉CTA可以很好地观察冠状动脉是否有硬化、钙化、斑块情况以及管腔是否狭窄、闭塞,也可以评估冠状动脉支架或搭桥术后血管情况,在临床上准确率可以高达90%以上。


冠脉CTA对于绝大多数人群均可进行,检查流程简单方便,安全性很高,检查使用的造影剂安全稳定,检查后几天内便可代谢排出。冠脉CTA凭借其快捷、安全、准确等优势,目前在临床上已经广泛应用。
简而言之一句话:冠状动脉CTA,无创、简便、用处大!
03

做冠脉CTA检查需要注意什么?
为了保证检查安全顺利以及影像质量清晰,以下几点注意事项请您牢记!
1.请详细告知医生您是否有其他方面病史及过敏史,严重心肝肾功能不全、严重心律失常、碘过敏等患者不能做冠脉CTA检查。
2.请详细告知医生您近期是否在服用药物,如二甲双胍类药物,需要在医生指导下,检查前、后各停药一段时间。
3.检查前4小时内建议不要进食,可以适当饮水,避免检查时因紧张等原因导致恶心呕吐。 
4.检查前12小时内不要服用导致心率提高的食品、饮品、药品等,如酒、茶、咖啡、功能饮料、特殊药物。
5.检查时放松心态,避免紧张。平时心率较快的患者,须在医生指导下服用药物,稳定心率后再进行检查。

临沂市妇幼保健院已开展冠脉CTA检查多年,检查技术娴熟、影像诊断精确、当天就诊当天检查,大学院区配备有双源螺旋CT检查设备,扫描速度快、辐射剂量低、图像精度高,让您方便又安心,为您的生命健康保驾护航!
04

专家简介

李丹 副主任医师,临沂市妇幼保健院医学影像科副主任(主持工作)
专业特长:从事医学影像工作20余年,擅长全身各系统的影像检查与诊断,在妇科、产科、儿科疑难疾病的影像诊断方面具有丰富的诊断经验;尤其在胎儿磁共振检查技术及诊断方面有较高造诣,2012年获得美国HOPE基金高级研修班学员资格,到上海儿童医学中心进修学习,并于2013年在全市范围内率先开展了胎儿磁共振检查,并根据危重症产科需求开展了胎盘病变的磁共振检查,完善了产前影像检查手段,现已成为市内领先的特色检查技术;参与编写著作1部,发表论文4篇;获得临沂卫校优秀临床带教老师荣誉称号,并连续两年被医院评为青年拔尖人才。
社会兼职:山东医学高等专科学校兼职副教授,临沂市妇幼保健协会医学影像专业委员会主任委员,临沂市医院协会医学影像专业委员会副主任委员,临沂市中西医结合学会胸心专业委员会副主任委员,临沂市医学影像质量控制中心副主任委员,山东省研究型医院协会影像诊断分会委员,临沂市医学会放射专业委员会委员,临沂市中西医结合学会医学影像专业委员会委员。
就诊地点:临沂市罗庄区清河路1号临沂市妇幼保健院(滨河院区)
联系电话:0539-3212717(滨河院区),3216125(大学院区)
【妇幼健康科普,传播健康知识】

想获得更多的健康咨询
公共平台搜索"临沂市妇幼保健院"
或扫描二微码添加关注
服务热线:400-6090-776
到顶部