韩国加湿器杀人事件:杀菌剂放入加湿器,结果酿成上万人死亡的惨案


冬天天气干燥,尤其是开空调的时候,室内空气更是异常干燥。
于是,便有人通过开加湿器的方式,来应对室内的干燥状况。

加湿器
然而,说起来你可能不敢相信。
2011年,韩国发生过一起近年来最大的安全事故,导致事故发生的根源,就是加湿器的使用。
这起事故的发生共计造成了67万多人患病,1.4万多人惨死,一时间直接轰动了整个世界。
好好的加湿器,为什么就成了害命的“凶手”?

加湿器
本期文章内容,大川就带你回顾下,韩国近年来最大的安全事故,韩国加湿器杀人事件。
看完,你还敢乱用加湿器吗?
不明原因肺炎席卷韩国
时间回到2011年4月。
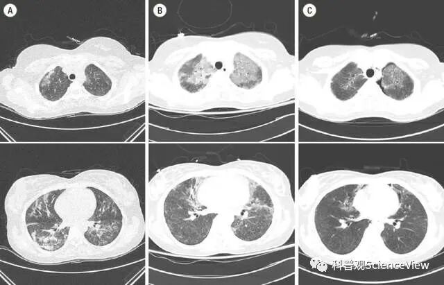
韩国首尔医院里陆续报告了28例孕妇的不明肺炎案例,其中有4例甚至出现了死亡症状。

大量孕妇患上不明肺炎
她们都是由肺炎引起了肺部纤维化症状,症状严重便会导致急性呼吸衰竭,乃至死亡的发生。
与此同时,韩国多地也陆续报告了大量类似病例,他们的症状都基本相同。

肺部纤维化
这让韩国相关医疗部门,不得不高度重视起了此次不明肺炎,因为从肺炎的蔓延速度,感染后的严重程度来看,这都不是普通传染病那么简单。
然而值得一提的是,通过对不明肺炎患者进行检查却发现,他们体内并没有感染任何致命病菌,或是新型病毒。
一时间,医疗部门也对这不明肺炎的爆发问题,变得束手无策。

韩国爆发不明肺炎
用我们中国的一句老话来说,知己知彼,方能百战百胜。
但韩国对这次不明肺炎的产生,却根本摸不着头脑,它符合传染病具备的一切特征,但却不具备传染病产生的一切原因。

韩国一时间闹的人心惶惶
更可怕的是,越来越多人都出现了不明肺炎的感染症状,一开始报告出来的是几百例感染者,后来一度猛涨到了几万,甚至是几十万。
死亡人数也从个位数,暴涨到了几千,几万人次。
一片黑色恐慌,也逐渐在整个韩国蔓延了开来……
罪魁祸首竟然是加湿器?
就在韩国相关医疗部门感到束手无策之际,一个不经意间的发现,却似乎给整个事件带来了转机。
有人发现,患有不明肺炎的患者,似乎都有同一个习惯,那就是开加湿器。

加湿器
要知道,韩国属于北方地区,当地的气候相对来说是比较干燥的。
因此,加湿器也就成了大部分韩国家庭必备的电器。
大部分家庭,一年的12个月当中,甚至至少有4个月都会用到加湿器。

韩国气候相对干燥
顺着这条线索,相关人员便开始了进一步的调查,这一查不要紧,还真发现了至关重要的线索。
从理论上来说,加湿器的工作原理,就是将水汽化,以喷雾的形式释放到周围空气中,以达到加湿的目的。
基于这样的工作原理,加湿器的存在,本身是不可能对人体健康,造成任何损害的。

加湿器正常工作不会对人体健康产生损害
但在韩国,很多人使用加湿器的时候,往里面加的并不是普通水。
而是配合专用消毒剂一起使用……

配合加湿器使用的消毒剂
根据相关人员的进一步调查发现,所有感染不明肺炎的患者,无一例外都是往加湿器里加消毒剂使用的。
而那些正常使用加湿器的人,则都没有患上不明肺炎。
答案显而易见,正是消毒剂惹的祸,加湿器只是“帮凶”。
害人的加湿器消毒剂
经调查发现,韩国当时有一款名为“Oxy”的加湿器杀菌剂,在加湿器消毒剂市场上几乎处于垄断地位。

Oxy加湿器杀菌剂
它的主要成分是聚六亚甲基胍(PHMG),这种化学物质能够有效抑制细菌、病毒的活性,在使用过程中产生的聚合物,还能起到吸附大部分细菌、病毒的作用。
更关键的是,它的价格相对便宜。
如此高性价比的产品,一经推向市场,便在瞬间受到了广大消费者的青睐。

Oxy加湿器杀菌剂广告
原本“Oxy”加湿器杀菌剂的发明初衷,是为了帮助消费者清洁加湿器。
但不知是处于它的夸张宣传,还是出于消费者对它“高级功能”的解锁能力。
“Oxy”加湿器杀菌剂开始一度被用于了,配合水添加在加湿器的储水舱内,来对空气进行“净化”。

“Oxy”被兑在水里用于空气“净化”
这一“高级功能”一经解锁,便在整个韩国推广了起来。
品牌方也未出面清澄这种错误做法的后果会是怎样,看到产品的销量猛增,索性默认了消费者们的这一错误做法。
然而随着使用的人数越来越多,这样做的危害也最终暴露了出来。

受害的孩子正接受吸氧治疗
不规范的加湿器消毒剂使用方式,不仅造成了不明肺炎的产生,还有很多人更是因此患上了哮喘等疾病。
从2011年不明肺炎患者的报告,到2016年,对相关涉事企业的进一步调查报告出炉,一直持续了5年。

“OXY OUT!”,韩国民众开始抵制“Oxy”
而截止到2020年。
根据韩国政府的统计数据表明,“加湿器杀人事件”共计导致67万多人患病,死亡人数也一度达到了1.4万多人。
韩国加湿器杀人事件后续
韩国加湿器杀人事件被曝光后。

“Oxy”产品被民众集中丢弃销毁
相关涉事企业因逃避检查、虚假广告,以及造成重大安全事故等原因,最终受到了严厉惩罚。
Oxy当时的负责人更是难辞其咎,被判处了7年有期徒刑。

“Oxy”首席执行官Ataur Safdar致歉
虽然涉事企业和涉事人员都得到了严厉惩罚。
但对于那些受害者,尤其是已经死亡的受害者来讲,一切已经都没有意义……
写在最后
最后,大川有必要说一下。
冬天天气干燥,大家在使用加湿器的时候,一定也要注意安全。
网上有很多添加到加湿器的“香味剂”之类的产品,能不用还是尽量不要用的好。

加湿器
因为你不确定这种物质吸入肺里,会不会对身体健康造成损害。
除此之外,还有香薰、电子烟之类能产生烟雾的产品,在生活里,大川也是不建议使用的。

电子烟危害不容小觑
虽然一开始用的时候,不会感觉到它们的危害,反而还觉得它能给你带来片刻欢愉。
但随着时间的推移,它们对身体的危害,却会一点点浮现出来。
等到身体出现问题才想到停下使用,可就已经晚了……
到顶部