进入房间的“猴子”
腿部的异物不仅让特里·洛夫莱斯通过催眠回忆起了魔鬼穴发生的事情,也让他想起了小时候的一段经历。
特里出生于1955年5月。在20世纪60年代初,当他大约6、7岁的时候,他曾受到过精神创伤,而原因是定期有“猴子”在晚上进入他的房间并邀请他去玩。
![]()
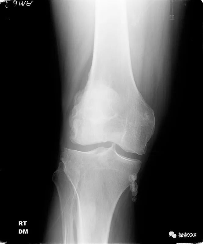
特里·洛夫莱斯的腿部异物
有时特里会接受邀请,有时他非常害怕并向父母尖叫。然而就像许多父母一样,特里尖叫被认为是噩梦。但对于特里来说,有一个“人”似乎总是和猴子在一起,而且对他似乎很友好。那是一位戴着假发的女性,显然是为了看起来更人性化,对她来说也显得更有母性。
在2017年,特里终于将这个童年时的经历与他在魔鬼穴发生的事情联系了起来:猴子实际上是灰色的外星人,而戴着假发的女性则是一个被称为“苏”的神秘人。
凌晨到访的陌生人
2017年11月17日凌晨3点左右,特里醒来,发现自己坐在客厅的椅子上。而对面,坐着一个陌生人。这个人是一位身材娇小的亚洲女性,头上戴着一顶假发。
那顶假发看起来很可笑......我知道这听起来很疯狂,但这是我首先想到的事情。
当特里心里这么想时,对方用心灵感应的方式说道:“你不喜欢我的假发?一样的。和我们上次见面时一样。”
![]()
特里的下一个想法是:“你为什么在这里?你为什么在我的客厅?你是谁?这和我的膝盖有关系吗?”
她用心灵感应回击道:“是的。这与你的膝盖有关。”
随后,对方告诉特里,它们在“几代人、成千上万的人”的身上放了这种东西。然而当特里追问这些东西有什么用处时,对方两次回避了这个问题,只是说它们有很多用途。
她告诉我特里,她是一个外星人和地球人的混血儿,现在她为她的宿主,也就是外星人工作。当对方把眼镜摘下来后,特里看到了她的全脸,并立刻就认出了她。这个人就是特里小时候被称为“苏”的那位女士。
更多的信息
在特里六岁和七岁的时候,他曾看到不明飞行物,同时还有这个女人。她曾带特里去了一个“游乐区”。特里隐约记得它是圆形的,有灰色的软垫地板,里面里光线充足。这个女人会一直都在那里,和包括特里在内的一些孩子玩游戏。这些游戏通常涉及符号,包括一些三角形和圆形。
而这次这个女人的再次出现,让特里明白了她的身份。在特里的追问下,对方说特里的双腿上都有植入装置,而这些东西是地球上的医生无法拆下来分析的。而且,她的主人,也就是外星人也不会允许这种事发生。不过,她告诉特里,
它们会来把这些东西从你身上取走。它们会在半夜从你身上拿走,你不会有任何痛苦。
“苏”告诉特里,在月球的另一面外星人有一个基地。它们在那里已经生活了两代多,还有一些混血人出生在那里。但这些人从未去过地球。它们有一个推进系统可以让它们在17小时内从月球到火星。它们的母舰就停靠在月球上,而一些小型飞船往返于月球背面和地球之间。而月球上的氦3可以为它们提供能源。它们认为地球无法容纳这么多人。因此它们的目标就是帮助尽可能多的人登上月球,然后到达火星。
特里腿部的植入物已经消失
2017年11月16日,当特里早上醒来时,感到双腿胯部和膝盖疼痛。之后他发现腹股沟两侧都出现了圆形的瘀伤,右侧的挫伤呈花瓣状,中间还有一个洞。随后的X光检查显示,金属物体已从他的右大腿上消失,但两根细长的金属丝仍留在他的肌肉中。
正如“苏”说的那样,外星人把植入物取走了。
《魔鬼穴事件》
特里后来写了一本书,名叫《魔鬼穴事件》。特里说,这本书出版后,军用飞机,包括两座和四座飞机,以及没有注册号码的空客350飞机,经常飞过他的房子。这些飞机呈土橄榄色,每周至少两次(通常是每天)飞越。特里拍摄了许多飞机照片,其中一张似乎显示不明飞行物与一架飞机在同一画面中。
![]()
同时自从这本书出版以来,已经有4000多个人联系了他,他们渴望分享自己的故事。特里后来出版了一本书,书中收集整理了三十个在魔鬼穴发生的不明飞行物事件。这些故事是从美国、南非和澳大利亚《魔鬼穴事件》读者提交的1400多封电子邮件中提炼出来的,关于记忆和时间缺失、胎儿被盗、不明飞行物目击事件、精神控制和外星人绑架的故事。
更多文章合集
UFO与外星人未解之谜安德里森事件远古核战争麦田怪圈埃德加·凯西
外星灰人“瘦鲍勃”视频详细分析
腿部的异物不仅让特里·洛夫莱斯通过催眠回忆起了魔鬼穴发生的事情,也让他想起了小时候的一段经历。
特里出生于1955年5月。在20世纪60年代初,当他大约6、7岁的时候,他曾受到过精神创伤,而原因是定期有“猴子”在晚上进入他的房间并邀请他去玩。
特里·洛夫莱斯的腿部异物
有时特里会接受邀请,有时他非常害怕并向父母尖叫。然而就像许多父母一样,特里尖叫被认为是噩梦。但对于特里来说,有一个“人”似乎总是和猴子在一起,而且对他似乎很友好。那是一位戴着假发的女性,显然是为了看起来更人性化,对她来说也显得更有母性。
在2017年,特里终于将这个童年时的经历与他在魔鬼穴发生的事情联系了起来:猴子实际上是灰色的外星人,而戴着假发的女性则是一个被称为“苏”的神秘人。
凌晨到访的陌生人
2017年11月17日凌晨3点左右,特里醒来,发现自己坐在客厅的椅子上。而对面,坐着一个陌生人。这个人是一位身材娇小的亚洲女性,头上戴着一顶假发。
那顶假发看起来很可笑......我知道这听起来很疯狂,但这是我首先想到的事情。
当特里心里这么想时,对方用心灵感应的方式说道:“你不喜欢我的假发?一样的。和我们上次见面时一样。”
特里的下一个想法是:“你为什么在这里?你为什么在我的客厅?你是谁?这和我的膝盖有关系吗?”
她用心灵感应回击道:“是的。这与你的膝盖有关。”
随后,对方告诉特里,它们在“几代人、成千上万的人”的身上放了这种东西。然而当特里追问这些东西有什么用处时,对方两次回避了这个问题,只是说它们有很多用途。
她告诉我特里,她是一个外星人和地球人的混血儿,现在她为她的宿主,也就是外星人工作。当对方把眼镜摘下来后,特里看到了她的全脸,并立刻就认出了她。这个人就是特里小时候被称为“苏”的那位女士。
更多的信息
在特里六岁和七岁的时候,他曾看到不明飞行物,同时还有这个女人。她曾带特里去了一个“游乐区”。特里隐约记得它是圆形的,有灰色的软垫地板,里面里光线充足。这个女人会一直都在那里,和包括特里在内的一些孩子玩游戏。这些游戏通常涉及符号,包括一些三角形和圆形。
而这次这个女人的再次出现,让特里明白了她的身份。在特里的追问下,对方说特里的双腿上都有植入装置,而这些东西是地球上的医生无法拆下来分析的。而且,她的主人,也就是外星人也不会允许这种事发生。不过,她告诉特里,
它们会来把这些东西从你身上取走。它们会在半夜从你身上拿走,你不会有任何痛苦。
“苏”告诉特里,在月球的另一面外星人有一个基地。它们在那里已经生活了两代多,还有一些混血人出生在那里。但这些人从未去过地球。它们有一个推进系统可以让它们在17小时内从月球到火星。它们的母舰就停靠在月球上,而一些小型飞船往返于月球背面和地球之间。而月球上的氦3可以为它们提供能源。它们认为地球无法容纳这么多人。因此它们的目标就是帮助尽可能多的人登上月球,然后到达火星。
2017年11月16日,当特里早上醒来时,感到双腿胯部和膝盖疼痛。之后他发现腹股沟两侧都出现了圆形的瘀伤,右侧的挫伤呈花瓣状,中间还有一个洞。随后的X光检查显示,金属物体已从他的右大腿上消失,但两根细长的金属丝仍留在他的肌肉中。
正如“苏”说的那样,外星人把植入物取走了。
《魔鬼穴事件》
特里后来写了一本书,名叫《魔鬼穴事件》。特里说,这本书出版后,军用飞机,包括两座和四座飞机,以及没有注册号码的空客350飞机,经常飞过他的房子。这些飞机呈土橄榄色,每周至少两次(通常是每天)飞越。特里拍摄了许多飞机照片,其中一张似乎显示不明飞行物与一架飞机在同一画面中。
同时自从这本书出版以来,已经有4000多个人联系了他,他们渴望分享自己的故事。特里后来出版了一本书,书中收集整理了三十个在魔鬼穴发生的不明飞行物事件。这些故事是从美国、南非和澳大利亚《魔鬼穴事件》读者提交的1400多封电子邮件中提炼出来的,关于记忆和时间缺失、胎儿被盗、不明飞行物目击事件、精神控制和外星人绑架的故事。
更多文章合集
UFO与外星人未解之谜安德里森事件远古核战争麦田怪圈埃德加·凯西
外星灰人“瘦鲍勃”视频详细分析